Cookie Consent byPrivacyPolicies.comGuide chirurgicale avec une IMPRIMANTE 3D - Eugenol
3f3boxni50k58rq7e9ce9ddqrxgk - Eugenol
dentiste57

16/02/2013 à 00h48

depuis que je me suis acheté une imprimante 3D, je fais moi même mes guides chirurgicaux.

j'ai trouvé ça il y a quelques mois avec l'intention de réaliser des petits objets pour les gamins et des guides pour mes chirurgies.
http://cubify.com/cube/index.aspx?tb_cube_learn

voici un cas en images, j'espère que ça plaira, ça fait un moment que je n'ai rien posté sur nonol et suis en manques de critiques et de compliments.

j'attends vos commentaires.


3f3boxni50k58rq7e9ce9ddqrxgk - Eugenol
dentiste57

16/02/2013 à 00h52

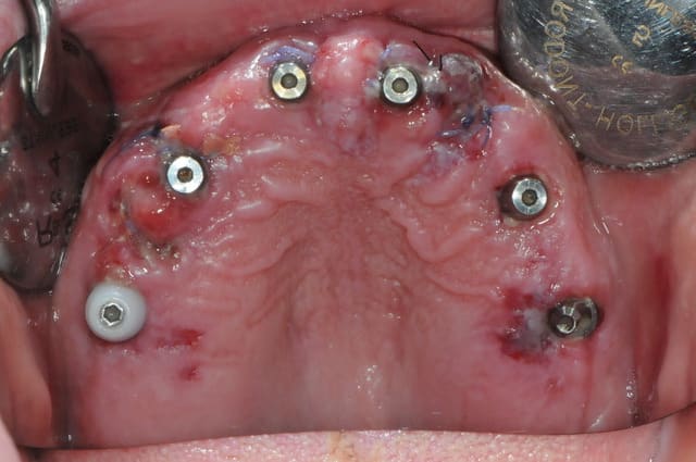
la patiente a été opérée hier et j'ai mis ses prothèses aujourd'hui.

la veille de l'intervention j'ai imprimé le model 3 D.

Dsc 0262 jq57ch - Eugenol
Dsc 0263 h090xw - Eugenol
Dsc 0264 kssb87 - Eugenol
Dsc 0265 a2p6nw - Eugenol
Dsc 0267 wg00cf - Eugenol
Dsc 0271 ggza3f - Eugenol
Dsc 0272 baudmt - Eugenol
Dsc 0273 htb4bw - Eugenol
Dsc 0274 fbbcgg - Eugenol
Dsc 0278 clmjej - Eugenol
Dsc 0282 ym59ok - Eugenol

3f3boxni50k58rq7e9ce9ddqrxgk - Eugenol
dentiste57

16/02/2013 à 00h54

je remercie Rachel et Arnaud qui se sont prêtés à la délicate tâche de l'assistante opératoire.

Dsc 0310 c60dcv - Eugenol
Dsc 0312 f6teo2 - Eugenol
Dsc 0321 dvkint - Eugenol
Dsc 0323 rbae6b - Eugenol

Photo thumb 45 lnhuvp - Eugenol
wakrap

16/02/2013 à 02h09

Fabuleux ce vers quoi on va avec ces nouvelles technologies.

Mais 1500$ pour une imprimante comme ça, je vais attendre 2 ou 3 ans pour mieux à 200$.


1309531 ours brun n5iukf - Eugenol
seespan

16/02/2013 à 04h06

Bonjour
Il y a un ans je m'était pencher sur l'impression trois D, le but étant la realisation de guide chirurgicaux pour l'orthodontie et autre joyeuseté. Plusieur problème avec votre approche :

1 Le matériaux que vous utiliser pour votre guide n'est pas un matériaux qui a reçut un agrément pour étre utilisé en bouche. Des fabricant propose des imprimantes 3D avec des matériaux ayant reçut un agrément pour étre utilisé en bouche.

http://objet.com/3d-printing-materials

2 Vous n'avez aucune garantie sur la fiabilité de votre guide.
Les machines utilisé pour l'impression de guide professionnel sont relativement coûteuse (premier prix 20 000$). Il ne faut pas confondre résolution ( la taille du voxel imprimèe ) et précision de la reproduction.
Par exemple si vous scanner une empreinte vous avez une très bonne résolution mais si vous faite des mesures comparative sur le modèle en plâtre coulée et sur la modélisation obtenue par scanner vous avez des différence de mesures qui sont de l'ordre de 0.5 mm. ( distance intercanine, overjet, deepbite )
A l'heure actuel si vous voulez présenter un cas devant l'american board of orthodontique, il vous faut les modèles pré et post traitement, seul un modèle digital est accepté l'autre doit être en plâtre.


L'entreprise de mon pére utilise pas mal l'impression 3D pour la réalisation de maquette 3D près coulée. Il s'était penché sur l'achat direct de la machine mais il y a deux problème qui les a fait renoncé malgrès les économies et le coté pratique a réalisé directement l'impression chez eux.

- ces machines tombe souvent en pane et le prix de la SAV rogne pas mal sur les économie réalisé. La ça ne vous concerne pas trop car je ne pense pas que vous prévoyez d'utiliser votre machine 2O fois par jours.

2 Plus embêtant ces machine on besoin d'étre calibré très régulièrement ( et je parle de machine qui plus cher que la votre )si on veut garder une bonne précision, les outils et le personnel qualifié nécessaire pour cette opération font qu'acheter une machine unitaire était non rentable, sous traiter était encore la meilleur option.

Le problème dans votre cas et que si votre machine se dérègle (et elle va se dérégler ) vous n'allez pas vous en apercevoir.

A l'AAO il y avait eu pas mal de conférence sur la 3D, leur verdict pour l'imprimante 3D, une machine utilisable en cabinet arrivera dans 5 ans. Pour l’instant les modèles professionnel sont encore trop cher pour être rentable.

Mon conseil réaliser votre guide chirurgical sur ordinateur, mais délégué l'impression a des professionnels.

Vous pouvez aussi contacter la société qui vous a fournie la machine et leur demander si elle est compatible tant au niveau des matériaux que de la précision avec la réalisation de guide chirurgicaux. Ils devraient vous répondre très très rapidement :-) :-).





--
หมอจัดฟัน


41467 100000418256397 4215 n ypxyho - Eugenol
Blette

16/02/2013 à 09h08

Avec plaisir mon grand :0)


steph94

16/02/2013 à 09h48

salut,

Une question : quel est ton format d'exportation des fichier simplant afin de fabriquer ton guide ? (si tu utilise simplant) ?

merci.


olivier

16/02/2013 à 10h58

oui peux tu nous décrire ton protocole stp


Logo m4n3gc - Eugenol
drmarcus

16/02/2013 à 11h38

Je vois que Seespan est super au fait. Je suis impressionné (pas en 3D LOl).

Le principal dans l'immédiat est que tu te fasses plaisir. Bravo en cela et je te donne mille fois raisons. Amuses toi!
Dans ce cas je vois un excellent compromis.... qui n'enlève rien à ton excellente capacité.
Contrairement à moi tu partages en ce moment et pour ce un grand merci.

--
"La seule chose promise d'avance à l'échec, c'est celle que l'on ne tente pas" Paul Emile VICTOR


3f3boxni50k58rq7e9ce9ddqrxgk - Eugenol
dentiste57

16/02/2013 à 12h15

seespan écrivait:
-----------------
> Bonjour
> Il y a un ans je m'était pencher sur l'impression trois D, le but étant la
> realisation de guide chirurgicaux pour l'orthodontie et autre joyeuseté.
> Plusieur problème avec votre approche :
>
> 1 Le matériaux que vous utiliser pour votre guide n'est pas un matériaux qui a
> reçut un agrément pour étre utilisé en bouche. Des fabricant propose des
> imprimantes 3D avec des matériaux ayant reçut un agrément pour étre utilisé en
> bouche.
>
bla,bla,bla ... (c'est pas méchant hein !)
quand tu fais un guide chez ton prothésiste tu n'a pas d'agrément non plus. les matériaux ne sont pas utilisés comme des dispositifs médicaux mais des comme "guides" (au vrai sens du terme) pareil qu'un simple guide en résine transparente pour visualiser ton couloir prothétique. les mêmes que ceux qu'on a tous fait sur un coin de table à l'arrière du cabinet.


> 2 Vous n'avez aucune garantie sur la fiabilité de votre guide.

> > 2 Plus embêtant ces machine on besoin d'étre calibré très régulièrement ( et je
> parle de machine qui plus cher que la votre )si on veut garder une bonne
> précision, les outils et le personnel qualifié nécessaire pour cette opération
> font qu'acheter une machine unitaire était non rentable, sous traiter était
> encore la meilleur option.
>
> Le problème dans votre cas et que si votre machine se dérègle (et elle va se
> dérégler ) vous n'allez pas vous en apercevoir.
>
> A l'AAO il y avait eu pas mal de conférence sur la 3D, leur verdict pour
> l'imprimante 3D, une machine utilisable en cabinet arrivera dans 5 ans. Pour
> l’instant les modèles professionnel sont encore trop cher pour être rentable.
>
> Mon conseil réaliser votre guide chirurgical sur ordinateur, mais délégué
> l'impression a des professionnels.


qui feront la même chose sur une machine plus cher...

là tu confonds précision de la réalisation du guide et précision de la chirurgie avec des guides.

quand on fait faire un guide chir par Nobel ou autres avec un appuie muqueux, tu n'as absolument aucune assurance de forer exactement là où il faut même si ce dernier est trans-vissé.
le guide ne sert ici uniquement qu'à situer approximativement le point d'impact du foret et l'axe par la même occasion, pas à lui faire une confiance aveugle et tout poser à partir de lui.
le reste c'est au chirurgien de contrôler ce qu'il fait.
je fait bien évidemment des radios per op pour me permettre de visualiser si mes axes sont bons ou non, bref comme une simple pose d'implants à "main levée".




RépondreCiter
1309531 ours brun n5iukf - Eugenol
seespan

16/02/2013 à 13h05

dentiste57 écrivait:
--------------------

> bla,bla,bla ... (c'est pas méchant hein !)
> quand tu fais un guide chez ton prothésiste tu n'a pas d'agrément non plus. les
> matériaux ne sont pas utilisés comme des dispositifs médicaux mais des comme
> "guides" (au vrai sens du terme) pareil qu'un simple guide en résine
> transparente pour visualiser ton couloir prothétique. les mêmes que ceux qu'on a
> tous fait sur un coin de table à l'arrière du cabinet.
>
Faux les résines de prothèse on l’agrément pour pouvoir étre utiliser en bouche. Si votre prothésiste achète de la résine acrylique destiner a la prothèse dentaire of course ( si il va se fournir chez le maquettiste du coin car c'est moins cher c'est différent).
Pour objet (la boite d'ont j'ai mis le lien) ils font des appareil prothètique, gouttiere et guide chirurgical avec leur machine mais uniquement avec le matériaux ayant reçut l'agrément pour ça.
Regarder leur site et vous verrer que pour différente utilisation il y a différent cahier des charges. Objet n'est pas le plus gros producteur d'imprimante au monde. Mais meme a bangkok (qui n'est pas leur siége officiel en asie ils ont des bureaux avec une centaine d'ingénieure).
Pour votre machine elle a une visé de divertissement, elle n'a en aucune manière était conçus pour réaliser des guides.


> là tu confonds précision de la réalisation du guide et précision de la chirurgie
> avec des guides.
>
> quand on fait faire un guide chir par Nobel ou autres avec un appuie muqueux, tu
> n'as absolument aucune assurance de forer exactement là où il faut même si ce
> dernier est trans-vissé.
> le guide ne sert ici uniquement qu'à situer approximativement le point d'impact
> du foret et l'axe par la même occasion, pas à lui faire une confiance aveugle et
> tout poser à partir de lui.
> le reste c'est au chirurgien de contrôler ce qu'il fait.
> je fait bien évidemment des radios per op pour me permettre de visualiser si mes
> axes sont bons ou non, bref comme une simple pose d'implants à "main levée".
>

Donc si je suis bien, vous avez utiliser une reconstitution 3D pour choisir le lieux et l'axe d'implantation de vos implant. Ce qui est passage coute cher en temps praticien, radio 3D et logiciel.
Vous vous éte casser le cu sur le design de votre guide (parce que je suppose que ça prend au moins une demi heures).
Et vous l'imprimer sur une machine qui a était conçus pour la fabrication d’acessoir de vitrine ou de boite playmobile ?

La logique m’échappe, l'impression en elle même avec un matériaux bio compatible ça coûte quasiment que dalle. Pas de temps ou de travail technicien, vous envoyer le fichier par internet, impression livreurs et c'est plier.
Pour le mat biocompatible c'est pas que ça va faire beaucoup de différence en bouche, c'est que si pepin il y a, ils pourront vous aligner la dessus.


En plus autant sur la position de forage je veux bien que ce soit pas précis précis sans appuis fixe, mais pour l'axe d'insertion lui même avec un tunnel d’entré calibré et sertie par une bague c’est quand même plus précis qu'a main levée.

Ensuite pour la boite que je connaissais il voulait acheté pour l'impression de maquette de bijoux ( ce qui me semble quand même moins précis qu'un guide implantaire ). Sur une imprimante a 50 000 $, les dérèglements de position sont trop important pour qu'il puisse se passer du technicien.






--
หมอจัดฟัน


Mario ycg44a - Eugenol
Mario180

16/02/2013 à 13h19

seespan écrivait:
-----------------
> dentiste57 écrivait:
> --------------------
>
> > bla,bla,bla ... (c'est pas méchant hein !)
> > quand tu fais un guide chez ton prothésiste tu n'a pas d'agrément non plus.
> les
> > matériaux ne sont pas utilisés comme des dispositifs médicaux mais des comme
> > "guides" (au vrai sens du terme) pareil qu'un simple guide en résine
> > transparente pour visualiser ton couloir prothétique. les mêmes que ceux qu'on
> a
> > tous fait sur un coin de table à l'arrière du cabinet.
> >
> Faux les résines de prothèse on l’agrément pour pouvoir étre utiliser en bouche.
> Si votre prothésiste achète de la résine acrylique destiner a la prothèse
> dentaire of course ( si il va se fournir chez le maquettiste du coin car c'est
> moins cher c'est différent).
> Pour objet (la boite d'ont j'ai mis le lien) ils font des appareil prothètique,
> gouttiere et guide chirurgical avec leur machine mais uniquement avec le
> matériaux ayant reçut l'agrément pour ça.
> Regarder leur site et vous verrer que pour différente utilisation il y a
> différent cahier des charges. Objet n'est pas le plus gros producteur
> d'imprimante au monde. Mais meme a bangkok (qui n'est pas leur siége officiel
> en asie ils ont des bureaux avec une centaine d'ingénieure).
> Pour votre machine elle a une visé de divertissement, elle n'a en aucune manière
> était conçus pour réaliser des guides.
>
>
> > là tu confonds précision de la réalisation du guide et précision de la
> chirurgie
> > avec des guides.
> >
> > quand on fait faire un guide chir par Nobel ou autres avec un appuie muqueux,
> tu
> > n'as absolument aucune assurance de forer exactement là où il faut même si ce
> > dernier est trans-vissé.
> > le guide ne sert ici uniquement qu'à situer approximativement le point
> d'impact
> > du foret et l'axe par la même occasion, pas à lui faire une confiance aveugle
> et
> > tout poser à partir de lui.
> > le reste c'est au chirurgien de contrôler ce qu'il fait.
> > je fait bien évidemment des radios per op pour me permettre de visualiser si
> mes
> > axes sont bons ou non, bref comme une simple pose d'implants à "main levée".
> >
>
> Donc si je suis bien, vous avez utiliser une reconstitution 3D pour choisir le
> lieux et l'axe d'implantation de vos implant. Ce qui est passage coute cher en
> temps praticien, radio 3D et logiciel.
> Vous vous éte casser le cu sur le design de votre guide (parce que je suppose
> que ça prend au moins une demi heures).
> Et vous l'imprimer sur une machine qui a était conçus pour la fabrication
> d’acessoir de vitrine ou de boite playmobile ?
>
> La logique m’échappe, l'impression en elle même avec un matériaux bio compatible
> ça coûte quasiment que dalle. Pas de temps ou de travail technicien, vous
> envoyer le fichier par internet, impression livreurs et c'est plier.
> Pour le mat biocompatible c'est pas que ça va faire beaucoup de différence en
> bouche, c'est que si pepin il y a, ils pourront vous aligner la dessus.
>

Je veux bien que tu me dises à quelle boite il faut s'adresser pour que "ça ne coute pas cher"
Si certains se cassent le cul à mettre au point ces solutions, c'est qu'elles ont un réel intérêt.


>
> En plus autant sur la position de forage je veux bien que ce soit pas précis
> précis sans appuis fixe, mais pour l'axe d'insertion lui même avec un tunnel
> d’entré calibré et sertie par une bague c’est quand même plus précis qu'a main
> levée.
>

L'implanto, c'est toujours "à main levée". (un peu comme tout travail en bouche, amha)

Pour l'instant la chirurgie guidée utilisant le bras humain comme un simple levier de perceuse, c'est une belle idée qui n'existe pas encore. Mais on n'est pas contre une aide pour se simplifier la tâche, gagner du temps opératoire, de la simplicité, et de la sécurité.


> Ensuite pour la boite que je connaissais il voulait acheté pour l'impression de
> maquette de bijoux ( ce qui me semble quand même moins précis qu'un guide
> implantaire ). Sur une imprimante a 50 000 $, les dérèglements de position sont
> trop important pour qu'il puisse se passer du technicien.

t'as besoin d'un technicien pour régler une machine complexe, mais une bête machine de particulier à laquelle on demande un travail fin, mais sans plus, je vois pas pourquoi ça serait pas à la portée d'un dentiste qui s'y intéresse.
On veut pas des guides de lancement de navettes pour la NASA, juste une aide opératoire.


1309531 ours brun n5iukf - Eugenol
seespan

16/02/2013 à 13h49

Mario180 écrivait:

> Je veux bien que tu me dises à quelle boite il faut s'adresser pour que "ça ne
> coute pas cher"
> Si certains se cassent le cul à mettre au point ces solutions, c'est qu'elles
> ont un réel intérêt.
Oui ce que je dis, utiliser des machines et logiciel complexe pour économiser des clopinette sur la réalisation du guide me semble ridicule.
Pour les boites pas cher, je m’intéresse surtout a l'impression d'arcade entière pour différente application orthodontique, vue que le prix de l'impression elle même est fonction de la quantité de matériaux imprimé je vois mal comment un guide pourrait être moins cher qu'imprimer une arcade. Le prix est bas, c'est a dire sur la chaîne des élément qui vous amène a sa réalisation l'étape la plus chère n'est pas son impression.
Prix coutant 2 a 5 $ ensuite le prix est multipliée par la boite qui a la bécane. Mais comparait au temps passé par le dentiste sur la conception du modèle c'est peanuts.


>
>
> >

>
> Pour l'instant la chirurgie guidée utilisant le bras humain comme un simple
> levier de perceuse, c'est une belle idée qui n'existe pas encore.

Jamais dis le contraire, j'ai juste dit quand cas d'édentement total sans appuis fixe dentaire, un guide n'est certe pas très précix sur le positionnement du point de forage dans le sens transversal et antéro postérieur.Par contre si imprimé par une machine pro l'axe d'insertion sera très précis (par rapport au guide of course).

Mais on n'est
> pas contre une aide pour se simplifier la tâche, gagner du temps opératoire, de
> la simplicité, et de la sécurité.

Sur mais tout ça est fonction de la capacité du guide a retranscrire la prescription prévue, donc de la reproductibilité de sa forme.


> t'as besoin d'un technicien pour régler une machine complexe, mais une bête
> machine de particulier à laquelle on demande un travail fin, mais sans plus,

La machine est pas complexe pour deux sous,le fonctionnement est le même dans tout les cas. C'est juste que même avec une machine qui vaut la peau du cu, si vous voulez etre sure que ce qui imprimer correspond aux cordonné dans l'ordinateur il faut serrez les boulon toute le temps.

Je ne sais pas d'ou ça vient mais c'est comme ça. La stéréolitographie n'a pas l'aire de soufrire de se problème

je
> vois pas pourquoi ça serait pas à la portée d'un dentiste qui s'y intéresse.

Parfaitement a ça porté,il suit une formation technique pour vérifier que la bécane est bien réglé.

> On veut pas des guides de lancement de navettes pour la NASA, juste une aide
> opératoire.

Ben la mario si tu dis que tu as besoin de moins de précision pour une guide chirurgical que pour des maquettes de bijoux fantaisie qui vont être sortie a 100 exemplaire tu est mure pour dentexia. L'étape la plus précise c'est s'assurer que le logement pour les pierres permet leur insertion et leur sertissage. Pour avoir sertie des pierres je peux t'assurer que tu as quand même un peut de jeux.




--
หมอจัดฟัน


PopHip

16/02/2013 à 14h11

dentiste57 écrivait:


> bla,bla,bla ... (c'est pas méchant hein !)
> quand tu fais un guide chez ton prothésiste tu n'a pas d'agrément non plus. les

c'est pour cela qu'il faut les "bannir"

> matériaux ne sont pas utilisés comme des dispositifs médicaux mais des comme
> "guides" (au vrai sens du terme) pareil qu'un simple guide en résine
> transparente pour visualiser ton couloir prothétique. les mêmes que ceux qu'on a
> tous fait sur un coin de table à l'arrière du cabinet.

oui bah c'est de la m... :) et il faut qu'on évolue


antares

16/02/2013 à 15h16

peux tu nous dire le temps que tu as passé entre la fin de la planif implantaire sur ordi et la fin de l'impression 3D du guide : en gros le temps nécessaire pour la conception et la fabrication du guide.


Android jyzura - Eugenol
Tavéca

16/02/2013 à 15h33

Ingénieux, bravo dentiste 57 pour ton partage et ton inventivité.
Bien sûr certaines questions se posent et Seespan veille au grain!
Mais je pense que l'avenir est là.


1309531 ours brun n5iukf - Eugenol
seespan

16/02/2013 à 15h45

Je veille pas au grain, mais je prévois de bosser avec cette technologie, mais dans ma branche (l'ortho) les machines avec une précision et reproductibilité suffisante sont encore trop cher pour un cab privé.
Mais j'en vais discuter avec le représentant d'un labo allemand qui proposer une solution alternative type invisalign, dans un futur proche les machines seront dans le cab. Sa boite sans fouté eux ils faisait surtout les machines ( et surtout les gallette en plastique qui au passage avaient toute l'agrément pour pouvoir etre placées en bouche) pour thermoformage sous vide. En gros il imprime l'arcade et font la gouttière par thermoformage.

L'impression en elle même ne coûte pas cher, se qui coûte chére c'est la conception des différentes étape pour faire bouger les dents, soit un technicien doit le faire (invisalign), soit un dentiste. Dans tout les cas c'est la que ça douille.




--
หมอจัดฟัน


Photo pluton1b h9n4ea - Eugenol
pluton

16/02/2013 à 16h01

la chirurgie est belle, le cas bien conduit...

pour information, ceux qui ont suivi (oui c'est vrai qu'il fallait s'accrocher...) "le cadeau de Béotien" savent que ce que vous montre D57 n'est pas nouveau...
la planification ne prend pas beaucoup plus de temps qu'une planif normale, l'impression du guide, selon la taille et la machine, entre 1 et 3 heures environ
béo est certainement plus pointu que moi sur ce sujet mais l'un comme l'autre, nous avons déjà réalisés et utilisés des guides de ce type, n'est-ce pas D57???
je pense que celui que je t'avais envoyé t'a donné l'envie de le faire par toi même...;-)

actuellement, je suis en train de réfléchir à un système à la fois plus précis et moins encombrant (en zone dentée encastrée)


3f3boxni50k58rq7e9ce9ddqrxgk - Eugenol
dentiste57

17/02/2013 à 12h04

je viens de lire tout ça, ...

le lien de seespan est très intéressant mais le fait que le guide soit biocompatible ou non est sans aucun intérêt pour les implanto.

"Objet Bio-Compatible material (MED610™) is a rigid material featuring great dimensional stability and colorless transparency. The material is ideal for applications requiring prolonged skin contact of over 30 days and short term mucosal-membrane contact of up to 24 hours. Objet Bio-Compatible material has 5 medical approvals including Cytotoxicity, Genotoxicity, Delayed Type Hypersensitivity, Irritation and USP Plastic Class VI*"

dans tout les cas de figure ce guide ne reste pas plus de quelques secondes en bouche comme par exemple une clé en plâtre, une petite cuillère ou un capuchon de stylo.
ici, sur ce site on parle d'une mise en place du produit sur des durées de mise en bouche dépassant les 24 heures.
dans le cas d'un chirurgie guidée, cette problématique est donc sans objet. elle prend tout son sens si l'élément doit être porté plusieurs heures ou plusieurs jours.

je le répète donc, le guide à pour but d'aider le praticien à déterminer (approximativement) l'axe et la position des implants. en aucun cas, on ne peut faire une confiance aveugle à ce type de guide et de quelques marques qu'il soient.
seules les guides à appuie dentaires sur de petits encastrements peuvent donner satisfaction.

si j'ai bien compris, seespan, ta problématique est différente; tu souhaites effectuer des mouvements dentaires d'un patient à travers un ordinateur, répliquer (imprimer) ces mouvements sur un modèle stéreolithographique et effectuer une gouttière que le patient portera pour créer les forces orthodontiques?? est ce cela ?

si c'est le cas , je comprends parfaitement ta problématique de précision dans la réalisation et dans la confiance qu'il te faut accorder aux modèles stéréo. mais dans ma problématique de pose d'implant, une telle précision n'est absolument pas utile, un 1/2 mm ( voir 3/4 de mm) de différence ne changera rien, ou alors, c'est que l'indication du guide n'est pas bonne et qu'il faut faire un lambeau pour avoir le contrôle et le visuel.

je vous mets les radios per-op.

secteur 1:
à l'aide du guide je détermine la position et l'axe de l'implant.
retrait du guide et contrôle radio puis pose des implants

R3 xoxf4v - Eugenol
R6 gmafwc - Eugenol
R21 r0p7zg - Eugenol
R23 kfgykj - Eugenol

3f3boxni50k58rq7e9ce9ddqrxgk - Eugenol
dentiste57

17/02/2013 à 12h11

secteur 2:
on voit bien ici que cette méthode reste suffisamment précise pour longer le sinus sans le pénétrer.
je n'en demande pas d'avantage.

R12 ynotap - Eugenol
R14 bxf2h8 - Eugenol
R15 i9nafz - Eugenol
R11 ypic0j - Eugenol
R17 kniyhv - Eugenol

ladendur

17/02/2013 à 12h18

dentiste57 écrivait:
--------------------
> je viens de lire tout ça, ...
>
> le lien de seespan est très intéressant mais le fait que le guide soit
> biocompatible ou non est sans aucun intérêt pour les implanto.
>
> "Objet Bio-Compatible material (MED610™) is a rigid material featuring great
> dimensional stability and colorless transparency. The material is ideal for
> applications requiring prolonged skin contact of over 30 days and short term
> mucosal-membrane contact of up to 24 hours. Objet Bio-Compatible material has 5
> medical approvals including Cytotoxicity, Genotoxicity, Delayed Type
> Hypersensitivity, Irritation and USP Plastic Class VI*"
>
> dans tout les cas de figure ce guide ne reste pas plus de quelques secondes en
> bouche comme par exemple une clé en plâtre, une petite cuillère ou un capuchon
> de stylo.
> ici, sur ce site on parle d'une mise en place du produit sur des durées de mise
> en bouche dépassant les 24 heures.
> dans le cas d'un chirurgie guidée, cette problématique est donc sans objet. elle
> prend tout son sens si l'élément doit être porté plusieurs heures ou plusieurs
> jours.
>


Le forage à travers ton guide va entrainer des particules de celui-ci et la se sont des années quelles vont y rester !!! DANGER


3f3boxni50k58rq7e9ce9ddqrxgk - Eugenol
dentiste57

17/02/2013 à 12h45

camlog commercialise des petits tubes en titane je crois.


1309531 ours brun n5iukf - Eugenol
seespan

17/02/2013 à 13h04

dentiste57 écrivait:
--------------------

>
> dans tout les cas de figure ce guide ne reste pas plus de quelques secondes en
> bouche comme par exemple une clé en plâtre, une petite cuillère ou un capuchon
> de stylo.
> ici, sur ce site on parle d'une mise en place du produit sur des durées de mise
> en bouche dépassant les 24 heures.
> dans le cas d'un chirurgie guidée, cette problématique est donc sans objet. elle
> prend tout son sens si l'élément doit être porté plusieurs heures ou plusieurs
> jours.
Oui mais vous utiliser le guide pendant une chirurgie, donc en effet des particules peuvent s'infiltrer.

Encore une fois il s'agit plus de vous couvrir qu'autre chose, en cas de pépin ce sera a vous de prouver que ce matériaux est sans danger.
Vous ignorer le degrès de précision de cette machine, elle est peut etre très préçise mais les information ne sont pas disponible.
Pour une imprimante il vaut faut deux donnée la résolution d'impression et la précision. Ces donnée sont disponible pour les imprimante d'objet. Le modèle de base a une résolution de l'ordre de 20 micron ( voxel 28*16*16 micron) et une précision de 0.1 mm.
Pour objet ils se sont assurer que leur machine était compatible avec un usage médical tant sur la précision que sur les matériaux.

Pour votre imprimante pas donnée sur la précision seulement sur la définition.
Et encore une fois ces machines se dérègle relativement facilement. Cette machine a une visé de création artistique on ne lui demande pas d’être reproductible. Les machines Professionel a usage médical on était conçut et tester pour ça.

Vous pouver vous faire aligner pour manque a l'obligation de moyen.

> si j'ai bien compris, seespan, ta problématique est différente; tu souhaites
> effectuer des mouvements dentaires d'un patient à travers un ordinateur,
> répliquer (imprimer) ces mouvements sur un modèle stéreolithographique et
> effectuer une gouttière que le patient portera pour créer les forces
> orthodontiques?? est ce cela ?

Oui exactement ce que fait invisalign on peut déja passer par des société privé pour faire imprimer les modèle et réaliser les gouttière dessus.


--
หมอจัดฟัน


ladendur

17/02/2013 à 13h52

dentiste57 écrivait:
--------------------
> secteur 2:
> on voit bien ici que cette méthode reste suffisamment précise pour longer le
> sinus sans le pénétrer.
> je n'en demande pas d'avantage.

Cet implant pénètre de 5 à 6 mm dans le sinus.


dcs

17/02/2013 à 16h31

un petit scan de contrôle serait interessant .


12