Tous les forums
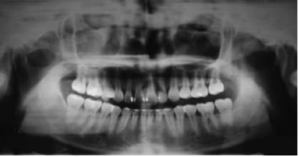
extraire la 38 ou plutôt la 37?
16/02/2013 à 14h35
que feriez vous dans ce cas? extraire la 37 et tracter la 38 en position de la 37 ou preserver la 37 qui semble-t-il a un pronostic endodontique defavorable!
quel est le meilleur rapport benefice risque?
16/02/2013 à 15h02
Extraire la 37 sans hésiter et tenter ta chance pour le tractage de 38.
C'est mois ou il y a plein de carie en bouche ?
--
หมอจัดฟัน
16/02/2013 à 15h07
seespan écrivait:
-----------------
> Extraire la 37 sans hésiter et tenter ta chance pour le tractage de 38.
>
>
> C'est mois ou il y a plein de carie en bouche ?
>
> --
> หมอจัดฟัน
Quel pronostic concernant la traction d'une sagesse quasi horizontale comme sur la pano?
La question m'interpelle, je suis en général favorable aux extractions/tractions des 8, mais c'est typiquement le cas ou j'ai un doute...
16/02/2013 à 15h15
Si utilisation de mécanique classique ça s'aurait en effet un peut complexe (mais pas impossible je pense). La principal difficulté serait de ne pas exercer des force de réaction trop important au niveau de la 6.
Donc éviter un arc continue.
Avec une minivisse ou autre ancrage squelettique je ne vois pas de problème particulier.
Une minute je crois que j'ai une photo
--
หมอจัดฟัน
16/02/2013 à 15h22
seespan écrivait:
-----------------
> Si utilisation de mécanique classique ça s'aurait en effet un peut complexe
> (mais pas impossible je pense). La principal difficulté serait de ne pas exercer
> des force de réaction trop important au niveau de la 6.
> Donc éviter un arc continue.
>
> Avec une minivisse ou autre ancrage squelettique je ne vois pas de problème
> particulier.
>
> Une minute je crois que j'ai une photo
>
> --
> หมอจัดฟัน
J'en prends bonne note.
Je suis bête omni, et les ortho du coin sont pas très loquaces... (en gros "t'occupe c'est nous les pro retourne donc à tes plâtrages de caries".. je grossis le trait mais si peu ^^ ).
Mici ^^
16/02/2013 à 15h29
Le crochet TMA permet de redresser l'axe de la 8, vue qu'il s'appuis sur le fil principale s'a permet de répartir la force de réaction sur l'ensemble de l'arcade. Si tu essayer d'utiliser un fil droit les force de réaction serait trop important secteur 3 et tu aurais création d'un canting.
Conjugé a l'action du ressort TMA il faut exercer une force de traction pour fermer l'espace ( le point d'appuis doit etre le plus bas possible sur la 8 pour minimiser l'effet mesioversion de la force.
Une solution est de coller un bouton en distale de la couronne et d'avoir une chaîne élastormérique relier a la 6. La chain passant sur la couronne de la 8 contrera la tendance a l'extrusion du ressort TMA.
Dans ce cas commencer par corriger l'axe de la 8 avant la traction me parait compromis sa créerait une interférence occlusal avec la 28 egréssé ou alors il faut l'extraire avant. Plus la correction pure de l'axe de la 8 engendrerait une extrusion très dure a controlé si elle n'est pas assez rapproché de la 6.
Sur le shéma c'est le role de la ligature en métal reliant les deux molaires. Sur ce coup le shéma est trompeur les fléches laisse penser que le role et de raprocher les deux dents quand le seul role et de limiter la distalization extrusion qui accompagne automatiquement la distoversion de la dent.
Pour contré cet distalization egression la traction avec la chaîne élastomérique est efficace.
Bon avec une minivisse c'est quand meme plus simple.
--
หมอจัดฟัน
16/02/2013 à 15h47
Si ça t’intéresse envois mois un mp, j'avais du faire un présentation sur les moment en mécanique en première année. Je me servait de ce cas de figure pour expliquer les forces de réaction. Pourquoi ta molaire quand tu la redresse elle égresse et se distalize.
--
หมอจัดฟัน
16/02/2013 à 16h01
seespan écrivait:
-----------------
> Si ça t’intéresse envois mois un mp, j'avais du faire un présentation sur les
> moment en mécanique en première année. Je me servait de ce cas de figure pour
> expliquer les forces de réaction. Pourquoi ta molaire quand tu la redresse elle
> égresse et se distalize.
>
>
> --
> หมอจัดฟัน
Non je n'ai pas besoin d'autant de détails. Je le disais, je suis omnipraticien, sans intention de "faire de l'ortho" en plus. J'ai vu les résultats souvent mauvais que cela donne (le confrère dont j'ai repris le cabinet faisait ses traitement odf lui même et ... ben bof).
C'est pour la planification des soins. J'ai tendance, dans des cas ou "je ne sens pas" la sagesse, à préférer réaliser une endo+conjointe, qui est traitement que je connais bien. Ce que je ferai bien moins désormais.
16/02/2013 à 17h59
Euhhh au risque de choquer les plus conservateurs d'entre vous, moi j'extrais les 2 dents (37 et 38) et je pose un implant en 37.
Quoique 37 ne semble pas complètement en bout de course...
16/02/2013 à 18h09
dent2669 écrivait:
------------------
> Euhhh au risque de choquer les plus conservateurs d'entre vous, moi j'extrais
> les 2 dents (37 et 38) et je pose un implant en 37.
Mieux vaut une molaire saine qu'un implant non?
17/02/2013 à 14h30
Perso:
Extrait 38 48 soins de toutes les caries et tenter sauver 37.
Si ça ne marche pas: implant.
17/02/2013 à 15h01
Tu es un homme sage.
Racines fines et longues et fragiles, risque de fracture, proximité du canal dentaire, racine de la 38 fermées, mauvaise position de la 38 qui va gêner la cicatrisation osseuse, et si complications -> obligation d'extraire la 38, mouvement othodontique très important dans un os néo formé pauvre, risque important de fonte de la racine 38, longueur d'un traitement qui donnera envie de l'arrêter.
Pour moi, très peu de chance de réussite.
Et grandes chances que quoique que tu fasses, cela se termine par un implant zone 37 à moyen ou long terme.
Si échec après une extraction de ta part, ce sera de 'ta faute'.
Faut savoir que plus jeune, j'ai souvent été charmé par les orthos, et c'est toujours l'omni qui répare les pots cassés.
18/02/2013 à 14h00
Perso mois je dirais ça se redresse, mais d'un autre coté j'ai pas des tonnes d'expérience non plus.
A l'occasion je demanderais a mes prof ce qu'ils en pense et je vous tiendrais au courant.
Mais voir que si on fait extraction de 37 et échec de traction de 38 on peut toujours mettre un implant au niveau de 37.
Bon la bien sure il faut suivre le protocole d'écrit par paradoxe. On essaye de tracter et si au bout de 1 ans sa marche pas, on laisse a l'omni de soins d'expliquer qu'il faut un implant.
Sinon sérieusement avec des minivisse pas besoin de baguer les deux arcades le dispositif peut être très discret.
--
หมอจัดฟัน
18/02/2013 à 15h27
dr_0le écrivait:
----------------
> Perso:
> Extrait 38 48 soins de toutes les caries et tenter sauver 37.
> Si ça ne marche pas: implant.
+1
Vu l'état de la denture sur la pano, il faut mieux commencer par des choses simples, puis réévaluer la motivation, avant de se lancer dans un ttt multiattaches potentiellement cariogène.
A mon sens, on ne peut pas juger du pronostic de la 37 sans y être allé voir.
18/02/2013 à 15h41
+2
à la fac on aurait fait exo 37 et ortho 38, traitement interminable avec toutes les théories universitaires et les avis des grands savants de la profession.
Bon courage
18/02/2013 à 15h41
+2
à la fac on aurait fait exo 37 et ortho 38, traitement interminable avec toutes les théories universitaires et les avis des grands savants de la profession.
Bon courage
18/02/2013 à 16h44
"quel est le meilleur rapport benefice risque?"
Hum , c'est pas la bonne question .
Je mets au défi quiconque de me sortir des cas traités par des grands de notre monde me remettant une 38 correctement en place d'une 37 grâce à l'ortho...)))
P'tain des fois je suis méchant avec les grandes pointures ;) .
19/02/2013 à 00h01
je m'occuperais d'abord de l'hygiène et des caries avant de réfléchir à l'ortho.
Puis rétro de la 37 et voir en fonction.
ça serait un tt ortho uniquement pour remettre la 38?
19/02/2013 à 06h04
alapex écrivait:
----------------
> "quel est le meilleur rapport benefice risque?"
>
>
> Hum , c'est pas la bonne question .
> Je mets au défi quiconque de me sortir des cas traités par des grands de notre
> monde me remettant une 38 correctement en place d'une 37 grâce à l'ortho...)))
Il n'y quasiment pas de spécialiste en ortho sur nonol
Verdict des prof, redresser cette dent est parfaitement faisable mais :
- surement plus d'un ans de traitement
- risque de résorption radiculaire laissant la dents avec un rapport couronne racine défavorable sur le long terme
Eux ils peuvent faire mais ça ne leur semble pas la meilleur option pour le patient, si il avait était plus jeune ça se serait discuté.
Ensuite en discuté avec le patient, j'avais vue un cas réalisé par un généraliste japonais ou il avait distalisé une 45 avec une minivisse pour pouvoir faire un bridge.
Pourquoi un bridge et pas un implant ? très simple le patient ne voulait pas d'implant (la minivisse par contre pas de problème)
Si joint de illustration tiré de publication, juste pour montrer a notre amis alapex que si pour une raison X ou Y ont veut récupérer cette 8 c'est faisable, compliqué cher mais faisable.
--
หมอจัดฟัน
19/02/2013 à 19h38
Merci chers confreres pour votre expertise
jeudi matin j'extraierai la 37 ensuite on essaiera de faire qq chose avec la 38 le patient comprend que l'issue est aleatoire donc si ca marche pas je lui poserai un implant.
19/02/2013 à 20h30
Tiens-nous au courant.
Les nombreux soins sont-ils faits ? As-tu une rétro de la 37 ?
20/02/2013 à 20h12
seespan écrivait:
-----------------
>
> Verdict des prof, redresser cette dent est parfaitement faisable..
>
> Eux ils peuvent faire...
Moi aussi je saurais faire ! Je serais moi aussi capable de redresser et de mésialer cette molaire. Mais je ne le ferais pas car je pense que c'est une très mauvaise solution.
1 : Il y a un chemin beaucoup trop long à faire parcourir aux apex de la 38 dans un os très dense tout contre le canal dentaire. Rien que cela, ça élimine d'emblée cette option.
2 : Il faut gérer la composante verticale d'égression qui accompagne systématiquement tout mouvement de redressement comme celui-là. C'est faisable sans trop de difficulté avec des ancrages osseux, il suffit de bien penser sa mécanique.
3 : Plus difficile est le contrôle transversal. La dent basculerait automatiquement en lingual (c'est mécanique) et sur une distance de déplacement aussi grande ce serait extrêmement délicat à gérer, beaucoup plus difficile en tous cas que le contrôle vertical.
4 : Il faut voir aussi que cette dent est sous-muqueuse. Il est toujours difficile de laisser collé un tube avec un fil, des boucles, une mécanique précise dans cette zône sans que la muqueuse ne réagisse à un moment donné car c'est un environnement très réactionnel à la présence de tout élément étranger.
Oublie l'idée de te servir de la 38 pour remplacer la 37, ce n'est pas la bonne solution.
Daniel
21/02/2013 à 03h01
Dancha écrivait:
----------------
> seespan écrivait:
> -----------------
> >
> > Verdict des prof, redresser cette dent est parfaitement faisable..
> >
> > Eux ils peuvent faire...
>
> Moi aussi je saurais faire ! Je serais moi aussi capable de redresser et de
> mésialer cette molaire. Mais je ne le ferais pas car je pense que c'est une très
> mauvaise solution.
> 1 : Il y a un chemin beaucoup trop long à faire parcourir aux apex de la 38 dans
> un os très dense tout contre le canal dentaire. Rien que cela, ça élimine
> d'emblée cette option.
Plus de détail possible ? j'avais trouvé pas mal d'article sur l'extrusion de 8 du bas avant extraction quand il y avait un rapport avec le nerf.
> 3 : Plus difficile est le contrôle transversal. La dent basculerait
> automatiquement en lingual (c'est mécanique) et sur une distance de déplacement
> aussi grande ce serait extrêmement délicat à gérer, beaucoup plus difficile en
> tous cas que le contrôle vertical.
La par contre je ne suis pas si vous appliquer un force sur la face vestibulaire
1 ne risque t'on pas d'avoir plutôt une tendance a :
- rotation de la couronne en linguo distal
- version de la couronne en vestibulaire
2 cette tendance ne peut t elle pas être contrebalancer par une bête force de traction avec un bouton sur la face linguale.
> 4 :
> c'est un environnement très réactionnel à la présence de tout élément étranger.
La je vous fait une confiance aveugle avec votre système de minivisse vous éte un peut le spécialiste de cette zone.
>
> Oublie l'idée de te servir de la 38 pour remplacer la 37, ce n'est pas la bonne
> solution.
Ce que dise aussi mes prof, faisaible mais mauvaise idée. Si le patient était plus jeune pourquoi pas mais la un implant c'est bien.
> Daniel
--
หมอจัดฟัน
22/02/2013 à 17h44
seespan écrivait:
-----------------
> > 3 : Plus difficile est le contrôle transversal. La dent basculerait
> > automatiquement en lingual (c'est mécanique) et sur une distance ..
> La par contre je ne suis pas si vous appliquer un force sur la face vestibulaire
>
> 1 ne risque t'on pas d'avoir plutôt une tendance a :
> - rotation de la couronne en linguo distal
> - version de la couronne en vestibulaire
>
> 2 cette tendance ne peut t elle pas être contrebalancer par une bête force de
> traction avec un bouton sur la face linguale.
>
J'ai complété le schéma que tu avais posté plus haut dans le plan sagittal, fais comme ça dans un plan frontal au niveau 48 et tu verras.
Daniel