Cookie Consent byPrivacyPolicies.comAménagement gingival péri implantaire - Eugenol

Aménagement gingival péri implantaire

P1010130 jpci1f - Eugenol
MarcB6

27/02/2013 à 13h37

Bonjour à tous
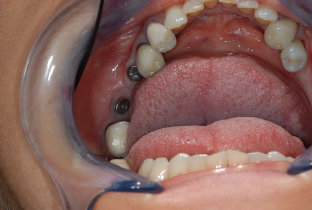
je souhaiterai gagner de la gencive attachée en vestibulaire de 46 et 45 avant la pose des dents.
Quelles sont d'après vous les meilleures options,
GEC ou greffe de conjonctif enfoui...
Tracés d'incsion idéaux...
Ce sont des sites difficiles d'accés, et les sutures pas toujours évidentes à réaliser pour fixer les greffons...
Merci pour vos avis

--
Marc

Dsc 0052 uixvl6 - Eugenol
Dsc 0049 cw2owg - Eugenol
Dsc 0047 bmfwyb - Eugenol

alex33

27/02/2013 à 13h48

MarcB6 écrivait:
----------------
> Bonjour à tous
> je souhaiterai gagner de la gencive attachée en vestibulaire de 46 et 45 avant
> la pose des dents.
> Quelles sont d'après vous les meilleures options,
> GEC ou greffe de conjonctif enfoui...
> Tracés d'incsion idéaux...
> Ce sont des sites difficiles d'accés, et les sutures pas toujours évidentes à
> réaliser pour fixer les greffons...
> Merci pour vos avis
>
> --
> Marc
Je pense que tu ne peux pas échapper à la greffe épithélio-conjonctive, associée à un lambeau déplacé apicalement


G-P

27/02/2013 à 15h16

Plus difficile à gérer après la pose des implants en tous les cas. Tu as quand même un peu de gencive attachée, je laisserais comme ça.


145 kssowa - Eugenol
Chicot30

27/02/2013 à 15h44

Honnêtement c'est plutôt un truc à faire avant, mais ici tu as tout de même un peu de gencive attaché, je laisserai aussi comme ça en insistant sur les brossettes.

--
"C'est parce que la vitesse de la lumière est supérieure à celle du son que certains paraissent brillants avant d'avoir l'air cons."


P1010130 jpci1f - Eugenol
MarcB6

27/02/2013 à 15h56

Bonjour alex33,
Sur un cas similaire implants 45/46/47 j ai fait ce lundi comme tu dis:
greffe EC et lambeau déplacé apicalement.
je trouve qu il n y pas trop de problème pour fixer le greffon ec sur le site receveur par contre c est moins évident de suturer apicalement le lambeau.
J ai à peu près essayé toutes les techniques, GCE, tunellisation pour plusieurs sites, enveloppe et conjonctif, sans arriver à trouver un arbre décisionnel pour opter pour telle ou telle technique.
C est un peu la raison de ma question sur ce forum, je cherche à partager mon expérience et avoir des retours de praticiens qui font ça régulièrement.
Pour répondre à GP, bien sur que je pourrai laisser comme cela, le souci c est que sur du long terme 5/7 ans on a parfois des problèmes de péri implantite associes à une perte osseuse...
Dans le cas présenté, j avais fait extraction implantation de la 46 et pose de l implant en 45, la gencive n était pas terrible déjà, j ai gagné du conjonctif en 45 grâce à mon trace d incision mais pas en 46.
Je préfère pour cette raison, même après la pose des implants, améliorer le site et avoir un bandeau de gencive attachée avant de poser les dents.

Marc


Bazaruto 2007 ircsez - Eugenol
jumpingjackflash

27/02/2013 à 16h45

G-P écrivait:
-------------
> Plus difficile à gérer après la pose des implants en tous les cas. Tu as quand
> même un peu de gencive attachée, je laisserais comme ça.

attaché à quoi, à la vis de cicatrisation?


01 ukhwbq - Eugenol
ʎqqoq

27/02/2013 à 17h01

Pour quelle raison t'as préféré l'EII?


Blason dql7mj - Eugenol
growler

27/02/2013 à 17h10

Bonjour Marc,

tu pourrais utiliser éventuellement le mucograft qui a la capacité d'être colonisé par les cellules épithéliales. Un peu comme on le voit ici réalisé avec le terudermis (le plus difficile étant effectivement dans cette zone de suturer apicalement la muqueuse réclinée en demi-épaisseur):

http://ajouimplant.blogspot.fr/2012/09/3-on-1-surgery-for-clp-dental-implant.html

http://ajouimplant.blogspot.fr/2012/02/ramus-bone-graft-gbr-for-severely.html


@+


P1010130 jpci1f - Eugenol
MarcB6

27/02/2013 à 17h36

ʎqqoq écrivait:
---------------
> Pour quelle raison t'as préféré l'EII?

Je pratique l'EII à chaque fois que c'est possible et cela depuis 7/8 ans.
Le temps de traitement est raccourci, une seule intervention pour le patient, l'alvéole a un potentiel de cicatrisation maximum, la perte osseuse est réduite...
Les cas ou j'évite de faire EII:
Proximité du Nerf mandibulaire,
impossibilité de poser l'implant dans un axe idéal, imossibilité d'obtenir un bon blocage primaire (encore que dans ces cas je fais du 2 temps et j'enfouis mon implant).

Marc


P1010130 jpci1f - Eugenol
MarcB6

27/02/2013 à 17h48

growler écrivait:
-----------------
> Bonjour Marc,
>
> tu pourrais utiliser éventuellement le mucograft qui a la capacité d'être
> colonisé par les cellules épithéliales. Un peu comme on le voit ici réalisé avec
> le terudermis (le plus difficile étant effectivement dans cette zone de suturer
> apicalement la muqueuse réclinée en demi-épaisseur):
> @+

Bonjour Olivier, ça me fait plaisir de te lire.
Ca faisait longtemps que je n'avais plus rien posté...
Merci pour ton avis, tu as raison les sutures apicales d'une gencive libre réclinée en demi-épaisseur c'est pas ce qu'il y'a de plus simple.
Parfois je fais un lambeau en 1/2 épaisseur, je fixe un greffon conjonctif et je suture par dessus, c'est une technique un peu plus simple que la greffe épithélio conjonctive avec sutures apicales.
Je ne sais pas ce qu'en pense notre maître et notre mentor à tous en chirurgie mucco gingivale Olivier Noa...

Amitiés

--
Marc


P1010130 jpci1f - Eugenol
MarcB6

27/02/2013 à 17h53

jumpingjackflash écrivait:
--------------------------
> G-P écrivait:
> -------------
> > Plus difficile à gérer après la pose des implants en tous les cas. Tu as quand
> > même un peu de gencive attachée, je laisserais comme ça.
>
> attaché à quoi, à la vis de cicatrisation?


je parle de gencive kératinisée attachèe à l'os et au pilier implantaire.

--
Marc


alex33

27/02/2013 à 19h32

growler écrivait:
-----------------
> Bonjour Marc,
>
> tu pourrais utiliser éventuellement le mucograft qui a la capacité d'être
> colonisé par les cellules épithéliales. Un peu comme on le voit ici réalisé avec
> le terudermis (le plus difficile étant effectivement dans cette zone de suturer
> apicalement la muqueuse réclinée en demi-épaisseur):
>
> http://ajouimplant.blogspot.fr/2012/09/3-on-1-surgery-for-clp-dental-implant.html
>
> http://ajouimplant.blogspot.fr/2012/02/ramus-bone-graft-gbr-for-severely.html
>
>
> @

Bonjour, tu cites le mucograft, certain d'entre vous l'utilise t'il?
J'ai fait ma thèse sur l'Alloderm, et la Puros Dermis de Zimmer, mais aucune des deux n'est dispo... Et je ne suis pas trop chaud pour l'instant pour prélever de l'autogene.
Comment l'utilisez vous? Je pensais en prendre pour le recouvrement des récessions.
Peut -on le laisser à nu?


arno

27/02/2013 à 19h45

Vu qu'il y a un peu de GA, pourquoi pas tout simplement réenfouir les implants et décaler les traits d'incisions lors de la nouvelle mise en fonction pour gagner qq mm de GA...
Tu gagnes pas énorme, mais pour le patient c'est quand même plus simple qu'une GEC.


P1010130 jpci1f - Eugenol
MarcB6

27/02/2013 à 20h01

arno écrivait:
--------------
> Vu qu'il y a un peu de GA, pourquoi pas tout simplement réenfouir les implants
> et décaler les traits d'incisions lors de la nouvelle mise en fonction pour
> gagner qq mm de GA...
> Tu gagnes pas énorme, mais pour le patient c'est quand même plus simple qu'une
> GEC.

Salut Arno,
Merci pour ta réponse,
je pense qu on ne doit pas gagner beaucoup de GA avec cette technique.
l as tu déjà pratiquée? si oui, qu as tu obtenu comme résultat? Quantité de GA?
Merci d avance

--
Marc


Blason dql7mj - Eugenol
growler

27/02/2013 à 20h23

oui alex33 le mucograft peut être laissé "à nu". Certains, pour être sûrs que seules des cellules épithéliales kératinisées le colonisent, ajoutent en apicale un strip de gencive attachée pour cerner le mucograft.


On a toujours la belle video de noahaxeltiger qui nous montre l'intérêt du mucograft VS greffon epithélio-conjonctif: http://www.eugenol.com/sujets/398685-amenagement-des-tissus-mous-en-phase-pre-implantaire


Photo pluton1b h9n4ea - Eugenol
pluton

27/02/2013 à 21h50

si ma mémoire est bonne, MarcB6 était avec nous à la formation de chir mucogingivale que tu avais organisé growler à lyon il y a un peu moins de 3 ans...
et je constate que tes besoins de révisions, marc, sont à peu près au même stade que les miens...

pour info, une nouvelle "promo" est quasi certaine de voir le jour cet automne avec Noah sur Paris...et avec des implants un peu plus réalistes que les vis à placo casto...;-)

je vous tiendrai tous au courant via nonol dès que le projet sera plus avancé...;-)


P1010130 jpci1f - Eugenol
MarcB6

27/02/2013 à 22h33

pluton écrivait:
----------------
> si ma mémoire est bonne, MarcB6 était avec nous à la formation de chir
> mucogingivale que tu avais organisé growler à lyon il y a un peu moins de 3
> ans...
> et je constate que tes besoins de révisions, marc, sont à peu près au même stade
> que les miens...
>
> pour info, une nouvelle "promo" est quasi certaine de voir le jour cet automne
> avec Noah sur Paris...et avec des implants un peu plus réalistes que les vis à
> placo casto...;-)
>
> je vous tiendrai tous au courant via nonol dès que le projet sera plus
> avancé...;-)

Salut Pluton,
Ta mémoire est très bonne, j étais bien à la formation de mucco à Lyon.
Excellents souvenirs...
J ai fait beaucoup de progrès depuis en mucco gingivale.
Je n ai pas trop de soucis en denture naturelle,
Par contre quand il y a des implants j ai tendance à hésiter entre les différentes techniques chirurgicales.
Tous les avis et conseils sont bienvenus
Amitiés
--
Marc


Bouddha 2 wmj1zk - Eugenol
HAIG

27/02/2013 à 22h46

l'Alloderm est toujours interdit en France ??

--
HAIG d(º¿º)b