Cookie Consent byPrivacyPolicies.comCEREC - Eugenol

CEREC

Img 2951 flo3gr - Eugenol
molinarius

28/02/2013 à 16h28

DLLB écrivait:
--------------
> Je n'ai pas de CEREC, mais les "supers" faces occlusale, avec sillons 2ere 3ere
> etc, colorations et autres, 99,9% des patients n'en ont rien à faire.
> J'ai même déjà eut la remarque en montrant une superbe molaire ceramoceramique
> avec un joli fond de sillon coloré comme sur la voisine: "pourquoi vous m'avez
> fait une dent cariée, j'ai demandé de la céramique pour avoir une blanche."
> Ca peut être au top pour nous dentistes c'est tout. Je me demande donc si le
> résultat donné via CEREC et autres n'est pas amplement suffisant?
>

la question est, de mon point de vue le rapport investissement / temps / résultat ...
Le cerec sous sa configuration actuel n'est pas à la hauteur de l'investissement .

Les cameras qui arrivent à grand pas , ont elles, je pense un intérêt plus grand ...
je ne sais pas comment le calcul Tx horaires ce fait au cabinet , mais je ne penses pas que le temps passé à modéliser , préparer l'usinage , finition, cuisson de céramique etc soit très rentable pour un prat ...
Après on peut très bien avoir envie , aimer , utiliser et posséder un tel équipement ..

Bon concernant l'aspect final du prothèse . . avec ou sans maquillant , fond de sillons , ou cuspides ..... après chacun fait comme il veut .... une voiture reste et restera un bout de tôle un moteur avec 4 roues ....


87 ujotte - Eugenol
Spatouille

28/02/2013 à 16h57

DLLB écrivait:
--------------
> Je n'ai pas de CEREC, mais les "supers" faces occlusale, avec sillons 2ere 3ere
> etc, colorations et autres, 99,9% des patients n'en ont rien à faire.
> J'ai même déjà eut la remarque en montrant une superbe molaire ceramoceramique
> avec un joli fond de sillon coloré comme sur la voisine: "pourquoi vous m'avez
> fait une dent cariée, j'ai demandé de la céramique pour avoir une blanche."
> Ca peut être au top pour nous dentistes c'est tout. Je me demande donc si le
> résultat donné via CEREC et autres n'est pas amplement suffisant?
>

la forme donne la fonction et vice versa ...

après c'est sûr qu'un fond de sillon maquillé n'influence pas la fonction mais une belle photo de jolies dents naturelles teinte A4 avec au milieu une belle prothèse teinte A1 et les désidératas du client-roi devraient se tasser un peu ...

maintenant ne pas glacer des vita blocs, ce n'est pas terrible pour la plaque et pour la solidité notament (toute céramique ayant subie un choc mécanique, ici l'usinage grattage ajustage, doit être réhomogénéisée par un cycle thermique ...)



Avatar2 u3u8yh - Eugenol
riccyman

28/02/2013 à 17h41

riccyman écrivait:
------------------
> C'est autant de boulot en moins pour des prothésistes.

Bon ok, y a un fond de connerie dans ce que j'ai écris.

La dépendance à un machin, un sav, de la maintenance, des plots qu'on te vends cher, je crois. Je pense que c'est des emmerdes.

Du temps passé devant l'écran à faire de la CAO, moi ça me saoulerais. Et de la CAO, j'en ai bouffé.

http://www.eugenol.com/sujets/399409-le-cadeau-de-riccyman?page=1#post_659933

Le piètre Eugénologue.

--
'' ils ont su me convaincre, et ma muse insolente, abjurant ses erreurs se rallie à leur foi.'' Georges BRASSENS


Photo thumb 45 lnhuvp - Eugenol
wakrap

28/02/2013 à 21h19

Je crois qu'effectivement la CAO peut être chiante, moi ça m'éclate. Il y a du boulot pour toutes les préférences et le travail de molinarius réunit le meilleur des deux mondes.
Reste à prendre en compte la demande des patients que, objectivement, la machine au cab impressionne.


Capture d  cran 2015 03 12 12.28 - Eugenol
chicot29

28/02/2013 à 21h24

Mouais. Quand tu fais pulpec molaire , sc33 et taille dans la séance, réaliser la couronne après ça prend le chou à force quand il y a plusieurs dents à faire en plus je te raconte pas. Mal de crâne garanti. Pour les onlays par contre c'est un plus mais vu qu'il n'y a pas un radis et pas de remboursements (sc17 max) .......


Capture d  cran 2015 03 12 12.28 - Eugenol
chicot29

28/02/2013 à 21h46

Bilan de la journée, 6 endos taille et empreintes dans la séance , + 4 autres dents préparées; Sérieux j'ai pas le temps de faire mumuse avec un cerec, j'ai la tete assez farcie comme ca. Bon c'est pas comme ca tous les jours hein !

R29 uvltlt - Eugenol
R49 enunsh - Eugenol
R22 vkd0tr - Eugenol
R23 pmkimv - Eugenol
R26 gr1kkt - Eugenol
R34 w9wpow - Eugenol

Img 0052 dkvbyu - Eugenol
Leandro

28/02/2013 à 21h54

Joli travail!


Capture d  cran 2015 03 12 12.28 - Eugenol
chicot29

28/02/2013 à 22h03

J'ai eu un cerec, pour ne pas avoir la tête grosse comme une pastèque il faut : une secrétaire qui s'occupe des devis de la prise de rendez vous et de l'administratif, une assistante au fauteuil, 2 fauteuils (ben oui les urgences sont à prendre si rendez-vous longs ca fait souffler en plus le patient en cours de soins) et un prothésiste au cabinet qui gère l'usinage, maquillage. C'est une machine extra ordinaire et tu fais des choses vraiment sympa avec. Mais bonjour l'usine à gaz, il faut que ça dépote et tous les jours.


Capture d  cran 2015 03 12 12.28 - Eugenol
chicot29

28/02/2013 à 22h09

Leandro écrivait:
-----------------
> Joli travail!

Merci.469.95 euros de CA, pas cher payé. Jeudi prochain à la pose par contre......


Photo thumb 45 lnhuvp - Eugenol
wakrap

28/02/2013 à 22h10

Comme quoi, chaque organisation de cabinet répond à des attentes différentes.
Le principal handicap en métropole c'est la sous évaluation des soins et la structure des cabinets qui en découle. Ce n'est pas sans raison que c'est la pays où le cerec se développe le moins.
Les cabinets les plus performants n'en ont pas besoin et le cerec leur serait probablement préjudiciable si l'on se réfère à ton expérience chicot.

C'est différent dans un pays normal où la prothèse n'est pas là pour contrebalancer les soins indigents.


Capture d  cran 2015 03 12 12.28 - Eugenol
chicot29

28/02/2013 à 22h33

Si tu n'as pas une bonne technique d'endo fiable reproductible et rapide, t'es mort dans ce pays de merde. Les onlays ne sont pas remboursés, et je ne me vois pas faire des cavités complexes en composite sous digue pour 40 euros.


Nouveau image bitmap fz77zh - Eugenol
Sethef

28/02/2013 à 22h38

Question bête: pourquoi à ce moment là ne pas faire plus de couronnes sur dents vivantes? Dans mon cas, je le propose systématiquement dans les cas où l'onlay est refusé, sans cerec pour ma part mais je m'en accommoderai volontiers.
Une couronne, ce n'est jamais qu'un gros onlay.

Je préfèrerai toujours une dent vivante à une dent dévitalisée, quelle que soit la qualité de l'endo.


Capture d  cran 2015 03 12 12.28 - Eugenol
chicot29

28/02/2013 à 22h49

J'ai quelques couronnes cerec à mon actif sur dents vivantes. Certaines se sont un peu énervées.))))) Et ça fout les boules grave. Une dent avec une grosse carie c'est pas la peine de lui rajouter le traumatisme d'une préparation périphérique c'est onlay ou pulpec pour moi. Qu'ils affectent le spr 57 aux onlays plutot qu'aux inlay cores et là ça change la donne on entre dans le 21 eme siècle et je me rachète une bécane.


Photo thumb 45 lnhuvp - Eugenol
wakrap

01/03/2013 à 00h28

Ah ah, on avait eu un formateur canadien, venu admirer nos vahinés et nous former un peu aussi, il était spécialisé dans les inlay onlay par secteur et nous avait expliqué que chez eux, déjà au XXeme siècle, ils avaient des cotations très précises pour les différents types d'onlays selon la surface restaurée avec les remboursements qui vont avec par les assurances sociales canadiennes.


Capture d  cran 2015 03 12 12.28 - Eugenol
chicot29

01/03/2013 à 09h18

Mais nous aussi on a ce système. sc7, sc12, sc 17.)
Rien ne nous empêche de faire des onlays à ce tarif, le système fiscal français est bien fait sur ce point car c'est déductible des impôts. )))))))


marcus

01/03/2013 à 10h23

King of PAP écrivait:
---------------------
.
> Si je comprends bien, ceux qui ont un CEREC sont supers contents, et ceux qui
> n'en ont pas trouvent ça nul...
> Ca va bien m'aider à prendre ma décision...

+1000

Cette profession comptant un très grand nombre d'individualistes forcenés chacun de nous voit midi à sa porte et pense qu'il est le seul à détenir la vérité !

Dans tous les post ou on demande un conseil rares sont les réponses qui font l'unanimité


Capture d  cran 2015 03 12 12.28 - Eugenol
chicot29

01/03/2013 à 11h15

J'en ai eu un. C'est une machine extra ordinaire. Mais pas dans un système bolchevique ou la qualité est une notion qui n'existe pas. Au mieux tu as l'impression de donner de la confiture à des cochons. "ça a l'air bien docteur mais on m'a déjà fait du blanc et c'était gratuit, vous pouvez pas me faire la même chose ?" et la intérieurement tu te dis "vas ch..."


santon

01/03/2013 à 11h38

Connaissez-vous le site

http://www.cfao-cadcam.net ?

un site sympa où on apprend plein de choses sans s'écharper.


Bazaruto 2007 ircsez - Eugenol
jumpingjackflash

01/03/2013 à 16h07

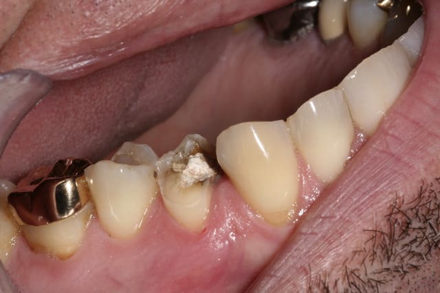
peut on reprocher aux patients de ne pas connaître un système qu'un grand nombre de praticiens ignorent?
il y a gros effort de communication à faire pour expliquer le service que l'on propose aux patients
la gestion du temps est très différentes, le blocage de grandes plages horaires m'a amené à demander obligatoirement des acomptes pour bloquer un rdv donc plus d'annulation et plus de rdv manqués.
J'ai peu de provisoires qui se balades donc pas de rescellement en urgence.
Si P K Thomas revenait à me hanter je pourrai toujours prendre une fraise diamant fine et rajouter des gousigousi pour satisfaire ma vanité.
je travaille en connect et la précision des pièces est incomparable
je vais encore m'améliorer, quand ça foire c'est de ma faute et je progresse en regardant mes photos
je ne fais pas mumuse je bosse et je me fais plaisir en rendant un service rémunérer ce qui me semble être la finalité de mon métier

Img 3997 dk8k6g - Eugenol
Img 0426 jmyxaz - Eugenol
Img 5364 apxucc - Eugenol
 mg 7102 nax8qq - Eugenol
 mg 6276 umegd9 - Eugenol
 mg 6424 aeia7y - Eugenol
 mg 7430 nqcynh - Eugenol
Greuet franck 1965 04 02 x 2012 12 10 17 01 26 3 cvkaam - Eugenol
Greuet franck 1965 04 02 x 2012 12 18 09 40 50 3 lu0lwd - Eugenol
Greuet franck 1965 04 02 x 2012 12 18 11 08 55 3 iykklo - Eugenol
 mg 6901 jfyxlf - Eugenol
 mg 7355 ktalef - Eugenol
 mg 7359 u1bpvu - Eugenol
 mg 6411 byidhl - Eugenol
 mg 7309 zwaijz - Eugenol
 mg 7314 o38j8u - Eugenol

87 ujotte - Eugenol
Spatouille

01/03/2013 à 18h27

c'est du beau travail jumpingjack !

oui le cerec est une belle machine, heureusement pour mes confrère et moi qu'elle ne correspond pas à tous les exercices libéraux ...


Capture d  cran 2015 03 12 12.28 - Eugenol
chicot29

01/03/2013 à 22h32

Vous les prothos pouvez bénir tous les jours notre nomenclature obsolète. Si un jour le remboursement des inlay core étaient transvasés sur les onlays ceram, aie, aie aie. Déjà qu'il y a quelques années la sécu était sensée ne pas rembourser sans qu'il y ait de coulée métallique.......
Jumping jack flash tu prêches un convaincu, mais pragmatique. (ton patient avec l'endo couronne a perdu 367, 5 euros de remboursements (122.55 fois trois) je sais c'est complètement con mais ça aide)
J'adore nos politiques avec le mot "innovation" à la bouche, si tous les domaines sont traités comme le dentaire, on va plonger grave.


G-P

01/03/2013 à 22h38

chicot29 écrivait:
------------------
> J'en ai eu un. C'est une machine extra ordinaire. Mais pas dans un système
> bolchevique ou la qualité est une notion qui n'existe pas. Au mieux tu as
> l'impression de donner de la confiture à des cochons. "ça a l'air bien docteur
> mais on m'a déjà fait du blanc et c'était gratuit, vous pouvez pas me faire la
> même chose ?" et la intérieurement tu te dis "vas ch..."

Problème de communication peut-être ?
J'ai un modèle en plâtre avec des onlay/CCC emax dessus, et j'explique tous les avantages d'un onlay par rapport à de la résine.
Evidemment ça prend du temps de convaincre et j'ai parfois l'impression d'être plus un commerçant qu'un soignant... merci aux 40,97€ de prise en charge sur les onlay....


Capture d  cran 2015 03 12 12.28 - Eugenol
chicot29

01/03/2013 à 22h44

Je ne pense pas. Avec 500 prothèses fixes à l'année. Le reste à charge est un élément décisif. Ou alors il ne faut pas leur donner le choix.


87 ujotte - Eugenol
Spatouille

01/03/2013 à 22h48

je sais chicot29, de même que le très mauvais remboursement des onlays favorise ic + cc ...

après sauf erreur, la suède n'a pas notre nomenclature et il y a plus de prothos qu'en france alors va savoir ...


Img 2951 flo3gr - Eugenol
molinarius

01/03/2013 à 22h50

oui c'est du beau travail ..

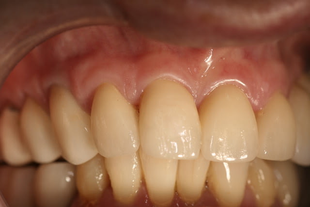
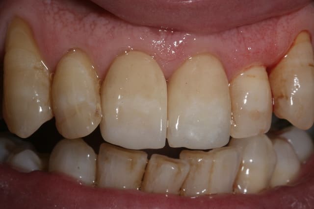
Cependant je suis sure que ces types de cas ne se réalisent pas en deux temps trois mouvements!
il y du temps d'usinage , beaucoup de modelage pour parvenir à de tels cas et autant pour la finition .. donc on en revient toujours au même .. le temps que vous passez dessus vous ne le passez pas au fauteuil ...secu ou pas , votre rentabilité est ailleurs..
Sur le 1er cas de jump.... reconstitution au maxillaire , il y a plusieurs usinage(quelques heures) et un certain de temps finition à la pièce à main ... et sur d'autre plusieurs cuisson de maquillage sans doute ...
Que certains prats soient doués à jouer les prothésistes ;) c'est une chose mais je suis sure que c'est plus par plaisir de faire de la prothèse :) plutôt qu'un intérêt financier ... je me trompe jumpingjackflash ?


123...