Tous les forums
CEREC
06/10/2014 à 20h14
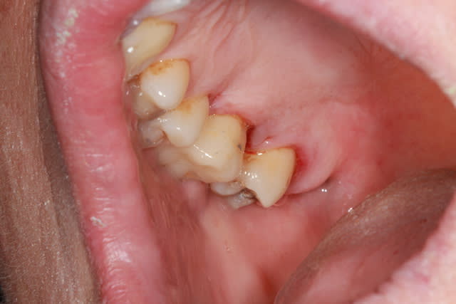
sur le cas que je vous ai montré plus haut , la limite est au moins 1mm supra gingival , dans l'émail.
j'ai préféré délabrer plus car contexte bruxomane et perte d'une paroi proximale
Mais j'ai bien pris note de vos suggestions
un cas réalisé depuis : une endocouronne réalisée la semaine dernière sur une nécrose d'origine paro ,
surfaçage + laser pendant la cuisson , a voir dans le temps...
1h d'endo + CVI
prep : 10 minutes
paramétrage usinage 10 minutes
usinage + cuisson 35 minutes => surfaçage arcade complète + essayage du biscuit
pose 10 minutes
rdv de 2h30
07/10/2014 à 01h02
DrPoulish écrivait:
-------------------
> 1h d'endo + CVI
> prep : 10 minutes
> paramétrage usinage 10 minutes
> usinage + cuisson 35 minutes => surfaçage arcade complète + essayage du biscuit
> pose 10 minutes
>
> rdv de 2h30
c'est sure !! moi j'aurai fait
1h d'endo +cvi
10minute d'empreinte pour le prothésiste
1 semaine plus tard... rdv d'1/2 heure pour pose.
rdv de 1 semaine 3/4heure....
p'tain , j'suis mauvais!
16/10/2014 à 17h31
C'est un joli cas mais ce n'est pas une endocouronne , c'est une couronne-endo très différent du point de vue comportement mécanique. Il aurait été possible d'être moins agressif en faisant une endo-V-Prep.
La couronne endo est une composition qui existe quand on a du mal a abandonner l'ancien monde, mais qu'on est conscient qu'il y a de nouvelles solutions !!
Persévérance on y est presque.
DrPoulish écrivait:
-------------------
> sur le cas que je vous ai montré plus haut , la limite est au moins 1mm supra
> gingival , dans l'émail.
> j'ai préféré délabrer plus car contexte bruxomane et perte d'une paroi proximale
>
> Mais j'ai bien pris note de vos suggestions
> un cas réalisé depuis : une endocouronne réalisée la semaine dernière sur une
> nécrose d'origine paro ,
> surfaçage + laser pendant la cuisson , a voir dans le temps...
>
> 1h d'endo + CVI
> prep : 10 minutes
> paramétrage usinage 10 minutes
> usinage + cuisson 35 minutes => surfaçage arcade complète + essayage du biscuit
> pose 10 minutes
>
> rdv de 2h30
16/10/2014 à 17h32
C'est un joli cas mais ce n'est pas une endocouronne , c'est une couronne-endo très différent du point de vue comportement mécanique. Il aurait été possible d'être moins agressif en faisant une endo-V-Prep.
La couronne endo est une composition qui existe quand on a du mal a abandonner l'ancien monde, mais qu'on est conscient qu'il y a de nouvelles solutions !!
Persévérance on y est presque.
http://www.jcda.ca/article/d140
Bon c'est en anglais mais fait par des français!!!
c'est le standard de l'enodocouronne.
DrPoulish écrivait:
-------------------
> sur le cas que je vous ai montré plus haut , la limite est au moins 1mm supra
> gingival , dans l'émail.
> j'ai préféré délabrer plus car contexte bruxomane et perte d'une paroi proximale
>
> Mais j'ai bien pris note de vos suggestions
> un cas réalisé depuis : une endocouronne réalisée la semaine dernière sur une
> nécrose d'origine paro ,
> surfaçage + laser pendant la cuisson , a voir dans le temps...
>
> 1h d'endo + CVI
> prep : 10 minutes
> paramétrage usinage 10 minutes
> usinage + cuisson 35 minutes => surfaçage arcade complète + essayage du biscuit
> pose 10 minutes
>
> rdv de 2h30
17/10/2014 à 11h54
dentiste57 écrivait:
--------------------
> DrPoulish écrivait:
> -------------------
>
> > 1h d'endo + CVI
> > prep : 10 minutes
> > paramétrage usinage 10 minutes
> > usinage + cuisson 35 minutes => surfaçage arcade complète + essayage du
> biscuit
> > pose 10 minutes
> >
> > rdv de 2h30
>
> c'est sure !! moi j'aurai fait
>
> 1h d'endo +cvi
> 10minute d'empreinte pour le prothésiste
>
> 1 semaine plus tard... rdv d'1/2 heure pour pose.
>
> rdv de 1 semaine 3/4heure....
>
> p'tain , j'suis mauvais!
LOL ! comment perdre 45 mn par couronne avec une machine de 80 000 euros en plus obsolète ( faut up grader à l'omnicam mon gars !) -)))
Mais bon le plot il ne coute pas cher. Ahem, ahem, ahem ! -))))
Mais bon l'avantage c'est que ca oblige à travailler par rendez vous longs.
15/04/2017 à 14h12
Bonjour
Je bosse sur cerec depuis 2 ans. celà a changé ma pratique. (je peux explique comment et pourquoi cette machine est un benediction)
Actuellement je change d'activité et je revends tout mon materiel dont le CEREC
Si vous etes interessé : [email protected]
Materiel très bien entretenu , peu utilisé et très bon prix.
27/06/2023 à 13h02
Pour déterrer ce post,
Maintenant que nous sommes en 2023, la primescan permet une empreinte en un temps record,
Le Cerec est pour moi une bombe, si et seulement si vous êtes adeptes du concept bio mimétique et des restaurations adhésives collées.. autrement, je ne m’y risquerai pas ..
Elle vaut le coup pour mes onlay et mes Overlay / endocouronnes en enamic (monolithique hors zircone) et les lava ultimate (onlay compo)
Le temps d’usinage est minuscule, et polis c’est pas si degueu surtout avec un coup de maquillant..
Pour les secteurs antérieurs je suis toujours avec la technique classique du Prothesiste