Tous les forums
résorption osseuse implant à 3 mois... que faire ??
28/02/2013 à 21h15
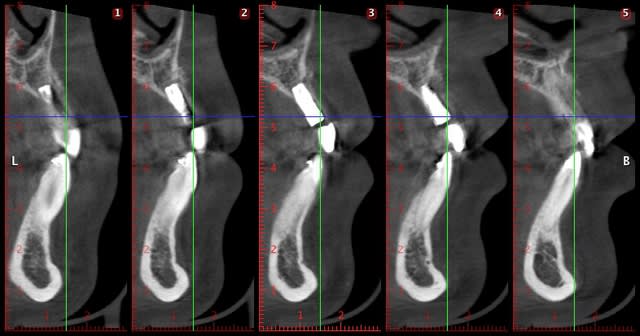
implant posé en 12 (agénésie) il y a 4 mois, le cbct montrait environ 4,4 mm en VP j'ai donc posé un 3,3/10 Zimmer (pas en TSV, qui commence à 3,7 de diamètre mais en SV)
ci joint les radio : le jour de la pose : os autour de l'implant, et cbct préop et .... radio et cbct à 4 mois...
je ne sais pas quoi faire !!
help please ???
28/02/2013 à 21h25
4.4-3,3= 1,1 ...
Sachant qu'il faut laisser au moins 2 mm en vestibulaire...le compte n'y est pas...il fallait obligatoirement une technique d'augmentation osseuse ( rog par ex)..
Il faut donc déposer, reconstruireet et reposer...Ca va etre long.....
28/02/2013 à 21h43
C'est pas pour en rajouter, mais il me semble y avoir un autre problème :
Entre implant et dents adjacentes, il y a (a vue de nez) trop peu de distance, donc pas de vascularisation correcte de cet os : j'aurais choisi plus fin (monobloc a priori).
Bref, tu peux, me semble-t-il, le virer et faire une (putain d') augmentation pour poser tranquille ensuite
28/02/2013 à 21h49
J'AI AUGMENTE EN VESTIBULAIRE !!!!!!!!!!!!!!
(pardon je ne l'ai pas précisé)
Bio oss/ Bio guide
et c le drame qd meme !
en MD, pas bp de place, mais la jeune fille n'en pouvait plus de l'ortho....
28/02/2013 à 21h59
docraf écrivait:
----------------
> et c le drame qd meme !
> en MD, pas bp de place, mais la jeune fille n'en pouvait plus de l'ortho....
Ce qui ne change rien au fait que trop peu, c'est trop peu : il faut un implant plus fin.
Tu aurais même pu opter pour un monobloc de 2,5mm éventuellement si c'est pour faire une petite latérale.
28/02/2013 à 22h46
et si on faisait une ROG en laissant l'implant en place ???
c mon premier echec.... je suis abbatu... je ne me vois pas déposer l'implant ...
et si dépose il y a, il risque de ne plus y avoir de mur palatin... et donc pas de ROG.... mais un préèvement / bloc.... non ??
merci pour vos réponses
28/02/2013 à 22h59
peut être que tu aurais du t’intéresser à l'expansion...avant, mais c'était avant...
--
xbk
"Si tous ceux qui croient avoir raison n'avaient pas tort, la vérité ne serait pas loin" Dac Pierre
28/02/2013 à 23h08
c'est mort...y a plus qu'a déposer...
petites questions...çà serrait fort lors de la pose? tu avais taraudé?
je demande çà juste parce que le comportement vis à vis de l'os est différent entre un implant conique et cylindrique... et que si tu es habitué au tsv tu as peut être pris de mauvaises habitudes...
trop fin, trop compressif, pas assez de place autour donc vascularisation insuffisante...c'est le cocktail de choc...
P.S: pour info, si tu voulais en plus un implant 2 parties, conique, compatible avec ta trousse zimmer mais plus petit...il y avait le 3.2mm legacy3 ID
http://www.implantdirect.com/us/pop-out/Legacy3_853213_ImplantTour_HiQ2.htm
28/02/2013 à 23h14
pluton écrivait:
----------------
> c'est mort...y a plus qu'a déposer...
>
> petites questions...çà serrait fort lors de la pose? tu avais taraudé?
>
> je demande çà juste parce que le comportement vis à vis de l'os est différent
> entre un implant conique et cylindrique... et que si tu es habitué au tsv tu as
> peut être pris de mauvaises habitudes...
> trop fin, trop compressif, pas assez de place autour donc vascularisation
> insuffisante...c'est le cocktail de choc...
>
> P.S: pour info, si tu voulais en plus un implant 2 parties, conique, compatible
> avec ta trousse zimmer mais plus petit...il y avait le 3.2mm legacy3 ID
>
> http://www.implantdirect.com/us/pop-out/Legacy3_853213_ImplantTour_HiQ2.htm
Je commence à croire que t as des parts chez Id ))
28/02/2013 à 23h41
dr_0le écrivait:
----------------
> Je commence à croire que t as des parts chez Id ))
sur ce point, je vais être très clair:
- j'aime beaucoup le produit, je l'utilise depuis de nombreuses années avec succès et j'en parle autour de moi...
- cette parfaite connaissance du produit et mon expérience à forcément intéressé ID france...je fais des communications, des conférences pour eux, je vais organiser des cours/TP à la manière de study club et je suis payé à la "vacation" pour çà...
- maintenant, je ne suis pas "marié" à ID, je tiens à conserver ma liberté de parole, et c'est pourquoi je pose aussi d'autres marques: dentium et leone pour l'instant...et qui sais...pourquoi pas une autre marque si elle veut vraiment développer MON implant (enfin, notre implant avec drmarcus...le projet est toujours dans nos têtes...notre seul regret, c'est que Niznick nous as fait une réponse type "fin de non recevoir"...quel dommage...)
28/02/2013 à 23h58
Ça serrait +\_ normal quoi... Mais pas la même sensation qu'avec un TSVP, c sur....
J'ai passe le forêt pilote 2,2 et puis le kit d'expansion osseuse de mis (abramowitch ou je ne sais plus quoi....)
Ben oui ds je ne suis pas habitue à ce genre d'exercice, je n'ai pas tout mis ds le premier message ...
J'aurais "fracturé" la table vestibulaire ??
Personne ne tenterait une rog en laissant l'implant en place ???
Et si on dépose on fait quoi ???????? Rog ??? Bloc autogène ??????
01/03/2013 à 00h08
si tu veux faire une ROG il te faudra une membrane rigide non résorbable en titane ou en PTFE renforcée titane car tu n'a plus de mur palatin...
mais comme toujours, c'est ces put... de tissus mous qui en te feront voir de toutes les couleurs...
01/03/2013 à 00h43
Pour moi ce serait dépose de l'implant avant de faire ta ROG parceque tenter une ROG sur l'implant actuel c'est pas gagné... et si ça plante une deuxième fois ça va être compliqué de proposer la dépose et rog pour le 3em round...
Donc pour moi et dans l'ordre
- dépose de l'implant avec bon curetage et désinfection
- pose d'un implant plus long pour aller chercher la stabilité primaire et le volume osseux plus important dispo en apical
-os de banque + membrane non résorbable + pins de fixation
Je pense pas que les tissus mous soit trop emmerdant à gérer, l'implant actuel sert de piquet... c'est aussi pour ça que je ferais la repose le même jour... En plus je trouve ton implant actuel plus bas que les collets des dents d' à coté (ptetre radio trompeuse?) du coup le nouveau tu peux l'enfouir un peu plus et donc récupérer un peu d’élasticité pour faire ta ROG
Lors de ta première pose tu dis avoir augmenté le volume Vestibulaire. Comment? a même la corticale? membrane ou pas?
Ce n'est que mon avis et d'autres bien plus calés que moi pourraient t'aider... y a plus qu'à espérer qu'ils se manifestent...
01/03/2013 à 17h20
bouboule écrivait:
------------------
Enfin un utilisateur de pins;)
Tu ne penses pas que la longueur mesio distale sera juste, malgré la Rog?
L'espace entre la centrale et la canine est qd même très réduit...
02/03/2013 à 01h22
si dans son systeme y a un diametre plus petit c est mieux. Chez moi ce serait 3 mm... Mais je suis pas sur que l echec vienne de là...
02/03/2013 à 09h14
l'erreur a été surtout de poser pendant le traitement orthodontique, l'os au niveau de l'espace créé était beaucoup trop jeune. La perte osseuse va vraiment être difficile à rattraper ici.
02/03/2013 à 13h01
Je ne pose pas d'implant...
M'enfin,l'examen de la radio préimplantaire montre pour la 11 un manque d'a peu près 8mm d'os, la 21 6mm, comme la 13.
Supposons qu'on remonte dans le temps, avant l'ortho et l'implant, était il possible déjà par les greffes ou autres appositions de "sauver" ce bloc antérieur?
02/03/2013 à 15h40
Là, avec ma jeune expérience, si l'ortho dit que ce n'est pas fini, je ne cède pas à la patiente "impatiente", l'implant en bicortical ici est risqué étant donné l'épaisseur vestibulaire résiduelle.
De plus le traitement ortho étant en cours le remaniement était probablement en cours enfin ça dépend du stade du traitement...
La solution ici pour moi,dépose, greffe ou ROG avec membrane pin'sée titane et ensuite repose après tout ça.
L'avis de nos confrères expérimentés est judicieux.
Mais si tu avais bien expliqué à ta patiente les risques d'échec et que tu prends en charge ça peut passer s'il y a eu une bonne communication au départ.
Mais c'est en faisant des bêtises qu'on avance et je suis loins d'être la dernière.
Courage (le secret c'est la communication avec le patient).
--
"C'est parce que la vitesse de la lumière est supérieure à celle du son que certains paraissent brillants avant d'avoir l'air cons."
05/03/2013 à 00h12
Sur la rétro on suspecte une résorption proximale. C'est pt être juste à cause de la radio.
Moi j'attendrai le délai initialement prévu d'osteointegration et je fais un lambeau de mise en fonction d'emblée trapézoïdal "polyvalent".
- si l'os proximal est intact, je garde l'implant, ROG vestibulaire avec membrane péricarde. Contrôle après 6 mois et mise en fonction
- si l'os proximal est en effet résorbe (j'en doute) dépose de l'implant ce qui nous amène à une perte osseuse verticale et horizontale: prélèvement ramique et greffe en coffrage. Après 4 mois contrôle et pose d'un implant de 3mm de diamètre. Après 4 mois contrôle de l'implant. Idéalement j'essayerai de redémarrer le trte ortho pendant cette période de 8 mois.
Implanter ou greffer pdt le trte ortho ne présente pas de risque, si la physiologie osseuse est respectée (distances, manipulation ..) on peut même profiter des remaniements osseux. Je travaille tjs en parallèle a l'ortho.
Tu t'en sortiras si la patiente est bien informée.
05/03/2013 à 11h17
C'est curieux,au cours d'un congres Marius Steigman a monte un cas clinique semblable avec un probleme identique.Il donne comme explication possible,un temps de latence trop court entre le traitement d'ortho et la pose de l'implant.
Le seul cas de ce genre que j'ai fais j'ai attendu 10 mois (involontairement).
Vos reflections?
05/03/2013 à 20h59
billabong,
ta réponse est claire, précise, et me donne un sérieux coup de main, ce que j'attends de ce forum confraternel,
je ne pense pas que toutes les réponses soient aussi bienveillantes ....
certaines sont plutôt du style "ben ouais, c marrant comme t ds la merde avec ta patiente"
je suis eugenol depuis un moment sans intervenir souvent, je suis donc content d'avoir une aide précieuse devant ce cas qui serait mon 1er échec en implanto.... on se sent moins seul... merci aussi à dov, etc.......