Cookie Consent byPrivacyPolicies.comavis sur isi-endo de Pred - Eugenol

avis sur isi-endo de Pred

tarski

06/03/2013 à 09h55

Bonjour, quelqu'un a -t'il testé le "isi-endo" de Pred : instrument ("presque") unique en rotation continue.

Des avis ?


Mario ycg44a - Eugenol
Mario180

06/03/2013 à 15h54

up?


Avatar eugenol pe0ymx - Eugenol
nicklebenou

08/03/2013 à 14h48

Salut ,j'ai fait ma première bio avec ce matin sur une 24 pas évidente(crochet apical sur la vestib). en 15 min terminé sans problème. Mais une seule endo ne permet pas de juger la fiabilité du système; je vous tiens au jus d'ici quelques jours.
bon courage à vous


Mario ycg44a - Eugenol
Mario180

08/03/2013 à 17h17

Merci de ton retour !


Avatar eugenol pe0ymx - Eugenol
nicklebenou

14/03/2013 à 11h27

Je voulais vous faire part d'un désagrément ressenti hier avec le système cité. Nécro sur une 13 (rien de bien spécial mis à part une dent très très longue 28mm LT) J'ai pris une sueur quand l'instrument ma donné un effet de vissage très important (sur 6-7mm) , j'ai même cru que j'allais exploser l'apex. Est ce que vous avez eu ce ressenti?
J'ai une bio 46 cette après midi je vais ressayer et je vous donnerai mon retour. La semaine prochaine j'ai deux ou trois bio molaires donc j'aurai un avis plus tranché j'en suis certain.
Bonne journée à tous


Capture d  cran 2015 03 12 12.28 - Eugenol
chicot29

14/03/2013 à 12h46

J'utilise le 25/07 (stop orange) seulement pour la finition à la lt sur endomaster ca passe meme dans les canaux courbes. Je ne peux pas me séparer du r25 réciproc pour la mise en forme.
J'oubliais , pas de cathétérisme manuel sur ce cas.)))))

R49 rw5jjj - Eugenol

Avatar eugenol pe0ymx - Eugenol
nicklebenou

15/03/2013 à 14h26

j'ai fait ma bio 46 hier aprem, j'ai encore eu une sensation de vissage dans le dernier tiers, mois que la veille mais là j'étais averti. J'ai quand même passé un coup de revo s 25 (9%) pour évaser plus l'entrée. Les canaux étaient courbes en mésial et cela a progressé sans problème en tout cas, ca c 'est un point positif. J'ai 3 bio molaires la semaine prochaine je retesterai.
bonne aprem


eusebius

15/03/2013 à 15h09

juste essayé sur une endo....


même sensation de "vissage" et de "gros" travail de la lime...


c'est pas les "sensations" que je préfère, mais très bonne lime...


ti

15/03/2013 à 16h25

les gars passez au Wave-One c'est trop magique.
Franchement pathfile et wave one 100% garantie


Avatar eugenol pe0ymx - Eugenol
nicklebenou

16/03/2013 à 00h32

Bio sur une 14 en fin d'après midi avec 2 beaux crochets apicaux. J'en ai sué épais pour arriver à passer ces fameux crochets (cathétérisme manuel, pas encore essayé le rotatif, d'ailleurs si quelqu'un peut me conseiller une marque à essayer). Puis j'ai testé mon système revo s qui a buté (lime jaune) à 3mm de ma LT, j'ai repassé une lime manuelle pour pas créer de bouchons, irrigation et j'ai testé l'isi endo et beh à mon grand étonnement en quelques secondes je suis passé jusqu'à ma LT dans les deux canaux. J'ai fini avec le revo 25 qui est plus évasé (9%) à l'entrée pour faciliter mon obturation.
J'avoue que sur les canaux courbes et difficultés anatomiques j'ai trouvé que c'était vraiment efficace, je ne reviens pas sur l'effet de vissage que je n'aime pas vraiment mais en faisant attention je pense que ce sera plus aisé dans quelques temps.
Je continue les tests pendant une semaine
Bon week à tous


Mario ycg44a - Eugenol
Mario180

16/03/2013 à 09h46

Merci pour ton expérience très instructive.

Il semble qu'un essai s'impose.


Avatar eugenol pe0ymx - Eugenol
nicklebenou

20/03/2013 à 17h20

Salut à tous, j'ai fait quelques bio de plus sur différents patients (molaires surtout), j'ai testé à nouveau le système; ma conclusion est que cela est une très bonne lime, aucun problème pour passer les courbures et pénètrent très rapidement jusqu'à l'apex. Je n'ai plus été embêté par l'effet de vissage qui m'avait dérangé les premiers coups. Je ne sais pas s'il existe différents diamètres, j'ai utilisé une lime rouge diamètre 25, 5% me semble t'il de conicité, ce que je trouve un peu faible.
Mon avis est positif au final. Je pense même passer sur ce système (plutôt que le revo s), tout en conservant la lime rouge du revo qui permet une obturation plus aisée à mon gout.

n'hésitez pas à poster vos retours je suis preneur.
Bonne aprem


Blue eye thumb medium dx1i0w - Eugenol
bill

20/04/2013 à 02h18

salut,

d'autres avis ?

Vous faites un cathétérisme manuel je suppose ?

S'il y a d'autres retours je suis preneur.
Merci.


Avatar eugenol pe0ymx - Eugenol
nicklebenou

20/04/2013 à 11h24

Salut, pour moi oui toujours cathé manuel lime 10 ( la plupart du temps). J'ai commandé une séquence d'isi endo plus large que les 25 pour voir si je peux faire avec celle ci uniquement je les attends.


Blue eye thumb medium dx1i0w - Eugenol
bill

20/04/2013 à 19h07

OK merci.

Dans le kit intro il y a un instrument jaune pour débuter les canaux "fins", un rouge pour les normaux et l'orange pour la finition des canaux larges.

Une fois la lime 10 à LT vous y allez directement avec l'instrument rouge à LT ?
Apparemment c'est ce qui est préconisé, je ne trouve rien sur le sujet, si quelqu'un a un lien ?
Merci.


denlv35

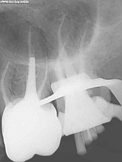
23/04/2013 à 17h11

essai depuis quelques jours , en effet petit effet de vissage à retenir.

Par contre rapide, rapide, très rapide
ci joint la radio d'une endo prémolaire hier en 8 minutes chrono

je vous laisse juger la qualité de l'obturation au thermafill
système à vivement conseiller

B a 20130422 10887 tfo6f0 - Eugenol

Avatar eugenol pe0ymx - Eugenol
nicklebenou

17/05/2013 à 12h30

salut à tous, juste pour dire que j'ai reçu il y a quelques jours les limes les plus larges du système isi-endo. Je viens de faire une 48 ce matin en demi heure (digue etc...) plutôt satisfaisante. Le système m'a convaincu.

Dubrulle pvjfyu - Eugenol

Image r6habu - Eugenol
Thomas Crown

17/05/2013 à 23h40

Très prometteur.. Lk10 puis 3 limes? 3cnx? Ciment Sealapex , non?


Blue eye thumb medium dx1i0w - Eugenol
bill

18/05/2013 à 02h18

Je teste aussi depuis qq jours.

Un peu surprenant par rapport au protaper puisque après passage d'une K10 à LT on doit aller à LT avec le jaune pour les canaux étroits et le rouge pour les "normaux"

J'avoue que malgré ce qui est préconisé j'ai du mal à me décider à y aller d'un coup, un seul ! Trouillard !!! :-)

Mais très efficace effectivement.

Par contre effet d'aspiration important je trouve avec le jaune au premier passage quand le canal est fin.


Avatar eugenol pe0ymx - Eugenol
nicklebenou

21/05/2013 à 12h47

pour la radio, j'ai utilisé une lime 10, puis uniquement l'isiendo jusqu'à l'apex après avoir bien sûr utiliser le localisateur sous dige pour déterminer ma LT.
Pour le ciment j'utilise du sealite + revo condensor c 'est vrai que ca a fusé épais dans le péri-apex.
Je n'ai plus d'appréhension à aller à la LT direct avec ces limes là, j'ai fait plus d'une trentaine de bio je n'ai pas eu de casse même sur les canaux compliqués.


Blue eye thumb medium dx1i0w - Eugenol
bill

22/05/2013 à 17h53

Tu es allé dans la courbure avec le jaune après simple passage d'une lime K10 nick ?

Par rapport au protaper je les trouve assez rigides et bien sûr de plus en plus quand on augmente le diamètre, j'hésite encore dans les canaux courbes... ;-)


Avatar eugenol pe0ymx - Eugenol
nicklebenou

23/05/2013 à 00h10

salut à toi, j'ai passé le orange direct à la LT quand j'étais dans la dent j'ai senti très peu de résistance honnêtement j'étais surpris par ma radio de contrôle et de la courbure. Ma radio préop était légèrement floue donc je n'avais pas anticipé la courbure.
J'ai fait 4 bio molaires avec la même lime avant de la jeter, sur deux de la douzaine des canaux que j'ai traité avec j'ai eu deux canaux mésiaux sur lesquels cela a commencé à "forcer" légèrement donc j'ai passé ma séquence de revo s(que j 'avais à portée de main)pour passer la contrainte.
Je n'ai pas commandé de jaune en fait mais j'ai traité quelques prémolaires très fines et avec des apex en s avec les rouge c 'est passé sans problème.
Je pense que l'effet de vissage que je ressens est peut être lié au fait que je n'ai qu'un contre angle endo reduction 128:1 mais je ne peux régler le couple.
D'ailleurs quelqu'un pour me conseiller un moteur spécifique (pas sur l'unit) style x-smart plus, antran, sendolyne et les budgets...?


200106 10150128247663588 709988587 6466236 5598391 n d7mksb - Eugenol
hallboy

23/05/2013 à 01h14

je ne trouve aucun lien qui donne des details sur les longuers /diametres/conicitées /tarifs.... mm sur le site de Pred il n'y a rien...


Blue eye thumb medium dx1i0w - Eugenol
bill

23/05/2013 à 01h25

@nick : tu as des plaquettes avec instruments assortis, de mémoire 1 jaune, 2 rouges et 1 orange.
J'ai un x-smart et la sensation de vissage existe, j'ai diminué le torque mais faut être vigilant quand même ;-)

@hallboy : j'ai la plaquette au cabinet, je te dis ça demain


200106 10150128247663588 709988587 6466236 5598391 n d7mksb - Eugenol
hallboy

23/05/2013 à 01h55

merci bill;)
combien ils coutent?