Cookie Consent byPrivacyPolicies.comavis sur isi-endo de Pred - Eugenol

avis sur isi-endo de Pred

Capture d  cran 2015 03 12 12.28 - Eugenol
chicot29

23/05/2013 à 14h15

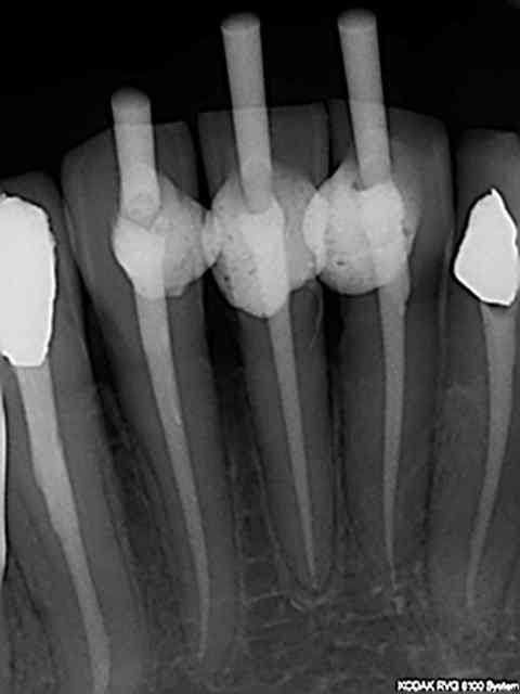
Je viens d'essayer le orange sur 31 41 42, ben il vaut mieux virer le controle de couple sinon tu n'as pas fini. Du coup j'ai dégainé le r25 réciproc et 20 mn plus tard c'était réglé pour les 3.

R20 dbqhml - Eugenol
R22 ue63ne - Eugenol

4a338550 6a5b 47ea b2a7 d3cb675c5076 oni5gh - Eugenol
fistule69

23/05/2013 à 16h02

A l'apex, toujours à l'apex, cela devient lassant !

Bon job !

Il faut vraiment que les endo arrivent pour roder le mien.
R40 ou R50, tu les utilises quand ?
A bientôt.


Avatar eugenol pe0ymx - Eugenol
nicklebenou

23/05/2013 à 16h22

@bill: en fait je n'ai que les rouge et orange ma collègue avait commandé le coffret d'initiation et j'avoue que quand j'obture j'aime bien avoir une ampliation assez large. Jusqu'à présent je n'ai jamais eu à me servir du jaune à ce jour.


Marque a3 orange fyvhyq - Eugenol
Marc Apap

23/05/2013 à 16h33

Pourquoi vous emmerder ? A l'heure actuelle, les meilleurs, les plus rapides et les moins fragiles sont les Reciproc.
Hallboy, tu sais comment je m'en sers.


Capture d  cran 2015 03 12 12.28 - Eugenol
chicot29

23/05/2013 à 16h37

fistule69 écrivait:
-------------------
> A l'apex, toujours à l'apex, cela devient lassant !
>
> Bon job !
>
> Il faut vraiment que les endo arrivent pour roder le mien.
> R40 ou R50, tu les utilises quand ?
> A bientôt.

4 eme degré le R 40, le 50 jamais. A marc , évidemment que tu as raison, mais javais un set d'isi endo qui trainait depuis un certain temps.))))))
En outre, Je "spote" l'apex avec un instrument de rotation continue en 25, monté sur endo master après le r25 (en général mtwo 25).


4a338550 6a5b 47ea b2a7 d3cb675c5076 oni5gh - Eugenol
fistule69

23/05/2013 à 17h04

SPOTE ? élargissement volontaire à la LT ou depassement intentionnel ???
Merci


Capture d  cran 2015 03 12 12.28 - Eugenol
chicot29

23/05/2013 à 19h36

spoter l'apex en 25 électroniquement avec l'endo master. Les repères visuels sur le r25 (sans localisateur)pouvant etre source d'erreur (minime certes en général ).


4a338550 6a5b 47ea b2a7 d3cb675c5076 oni5gh - Eugenol
fistule69

23/05/2013 à 21h40

Repère orange sur gold, 3 leds vertes (constriction), avant la LED rouge ( dépassement), c'est ca ?
Donc SPOTER = LED orange


Capture d  cran 2015 03 12 12.28 - Eugenol
chicot29

23/05/2013 à 23h31

Aller à l'apex avec l'instrument du diamètre et de la conicité du cone d'obturation controlé par localisateur (j'utilise le mtwo 25 sur l'endomaster (réglé à -0,5mm de la lt avec fonction reverse à l'apex), il ne force pas du tout et pour cause le r25 est passé avant), d'ou des radios cone en place impeccables à 90% ( 1 fois sur 10 je coupe 1 mm maxi de dépassement). Je rappelle que je mesure la lt initialement avec un S1 protaper sur endomaster.


Blue eye thumb medium dx1i0w - Eugenol
bill

24/05/2013 à 01h20

Pour Hallboy (et ceux que ça intéresse):


Blue eye thumb medium dx1i0w - Eugenol
bill

24/05/2013 à 01h44

Marc Apap écrivait:
-------------------
> Pourquoi vous emmerder ? A l'heure actuelle, les meilleurs, les plus rapides et
> les moins fragiles sont les Reciproc.

Sûrement Marc mais ici pas besoin d'acheter un nouveau CA ou un nouveau moteur dédié.


doagui

24/05/2013 à 02h42

J'hésite à passer à un système de ce genre...

La seule chose qui m'ennuie c'est qu'il m'avait semblé lire que pour être efficace l'hypochlorite devait agir pendant 20 minutes minimum (en étant renouvelée plusieurs fois pendant ce laps de temps). Si on passe à un système plus rapide est-ce qu'on ne risque pas des complications dues à une action trop courte de l'hypo ?


hachehaine

24/05/2013 à 03h10

chicot29 écrivait:
------------------
> Je viens d'essayer le orange sur 31 41 42, ben il vaut mieux virer le controle
> de couple sinon tu n'as pas fini. Du coup j'ai dégainé le r25 réciproc et 20 mn
> plus tard c'était réglé pour les 3.

Pourquoi tu as dépulpé les incisives mandibulaires ? En dehors du trou de la cavité d'accès , elles avait l'air saines ,non ?


Capture d  cran 2015 03 12 12.28 - Eugenol
chicot29

24/05/2013 à 10h31

Pour le plaisir de faire 3 sc14 et 3 sc6 et de m'en mettre plein les poches.


Avatar eugenol pe0ymx - Eugenol
nicklebenou

24/05/2013 à 14h51

Salut chicot29, toi qui utilise le reciproc, est ce que l'on peut utiliser un autre système dessus en rotation continue simple?
J'envisage d'investir dans ce système là à court ou moyen terme, mais j'ai pas mal de réassort de revos ou autre. Je me demandais si je pouvais finir de les utiliser avec ce moteur ou s'il valait mieux que je les termine puis que j'investisse la dedans après.
Merci par avance


4a338550 6a5b 47ea b2a7 d3cb675c5076 oni5gh - Eugenol
fistule69

24/05/2013 à 15h09

Bonjour à toi, j'utilise le gold depuis 3 ans.
Il existe une liste des principaux systemes et le mode Dr'S où tu parametres le couple et la vitesse.
Tu peux investir de suite.


Avatar eugenol pe0ymx - Eugenol
nicklebenou

24/05/2013 à 15h12

ah super car j'ai fait le tour du marche, il y a plein de système mais celui qui semble se détacher est le gold. Vu le prix (sans localisateur j'en ai déjà un ) c 'est à peine plus cher que les autres.
Tu l'utilises avec localisateur intégré toi?


Capture d  cran 2015 03 12 12.28 - Eugenol
chicot29

24/05/2013 à 15h57

nicklebenou écrivait:
---------------------
> Salut chicot29, toi qui utilise le reciproc, est ce que l'on peut utiliser un
> autre système dessus en rotation continue simple?
> J'envisage d'investir dans ce système là à court ou moyen terme, mais j'ai pas
> mal de réassort de revos ou autre. Je me demandais si je pouvais finir de les
> utiliser avec ce moteur ou s'il valait mieux que je les termine puis que
> j'investisse la dedans après.
> Merci par avance

Bien sur , il marche aussi en rotation continue.


4a338550 6a5b 47ea b2a7 d3cb675c5076 oni5gh - Eugenol
fistule69

24/05/2013 à 23h18

Reciproc ce soir pour reprise endo ( 3 ème utilisation).

Effectivement la progression ne fonctionne que lorsque le canal est perméable, d'où ma question :
Comment faites vous pour désobturer vos canaux ?
- lime manuelle coupée 2O jaune
- lime rotation continue dédiée
J' ai cassé une MTWO reprise bague rouge et bleue ! Pas bien !
Toujours le même problème, forcé pour aller plus loin ou rester ZEN au risque de ne pas réaliser une reprise correcte.
Et vous ?

@Chicot29 : tu désobtures avec la mtwo rouge 7% ?
car je pensais que la R25 pouvait progresser spontanément.


Capture d  cran 2015 03 12 12.28 - Eugenol
chicot29

24/05/2013 à 23h43

RTE avec le R25 évidemment si c'est obturé avec de la résine sans cone ......
Un coup de s1 protaper si il bloque ce qui arrive si le diamètre du canal est trop fin.


4a338550 6a5b 47ea b2a7 d3cb675c5076 oni5gh - Eugenol
fistule69

24/05/2013 à 23h56

Jamais avec le systeme TWO ?
S1 avec pression ?
Je ne l'ai jamais utilisé.


Capture d  cran 2015 03 12 12.28 - Eugenol
chicot29

25/05/2013 à 01h16

avec pression mais ne pas forcer, comme avec tous les instruments d'ailleurs.


200106 10150128247663588 709988587 6466236 5598391 n d7mksb - Eugenol
hallboy

09/09/2013 à 14h10

l'espece demouvement particulier du 25.5 ( circonferentiel? ) c'est quoi ?? on brosse un peu toutes les parois??


Pierre-E

11/10/2013 à 19h59

Je viens de voir le commercial et ai commandé 3 plaquettes.

Vos impresssions après plusieurs mois ???


Pour le mouvement particulier, c'est de le remonter en le faisant "tournoyer dans le canal", tu fais le tour du canal en remontant, quoi :) (explicatino du commercial)


Blue eye thumb medium dx1i0w - Eugenol
bill

12/10/2013 à 01h06

salut,
je trouve le système assez sympa même si la sensation d'aspiration me gêne parfois.
Je tourne à 400t/mn mais j'ai réduit le couple donc ça va mieux et l'instrument semble toujours progresser de la même manière.
C'est un peu déroutant car on te dit d'aller direct à LT après une lime manuelle.
Par contre pour le "tournoiement" comme tu vas direct à l'apex quasiment, je pense que c'est plus pour évaser ensuite le canal en remontant.
Hormis la sensation donc, bon système pour moi.