Cookie Consent byPrivacyPolicies.comEsthetique tout court ou esthétique sur implant? - Eugenol

Esthetique tout court ou esthétique sur implant?

leonardo

11/03/2013 à 12h29

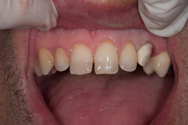
Un cas de canine restauré par implant+faux moignon individualisé en zircone+ couronne en zircone haute translucidité et céramique feldspathique.

Moignon zircone individualise p1malo - Eugenol
Concavite canine inesthetique sfjlzs - Eugenol
Puit acces trop petit vdk2ey - Eugenol
Moignon vue naturelle sct1jg - Eugenol
Profil emergence corret u481f9 - Eugenol

Android jyzura - Eugenol
Tavéca

11/03/2013 à 13h13

jolie boulot, une radio pour voir dessous.


leonardo

11/03/2013 à 13h25

Je convoque le patient pour un contrôle. Je me rends compte que j'ai perdu le réflexe de la rétro-alveolaire depuis que J'ai installé un cône beam et que j'ai viré l'appendice en question de mon champs de vision ;-)


Bouddha 2 wmj1zk - Eugenol
HAIG

11/03/2013 à 21h50

Tu as oublie de mettre du tartre comme sur les autres dents ça serait encore plus naturel !!!!!!!!!!!!!!

--
" Douter c'est penser et du doute vient le progrès" Descartes

HAIG d(º¿º)b


leonardo

11/03/2013 à 22h14

Tu me montres comment on fait?


Bouddha 2 wmj1zk - Eugenol
HAIG

12/03/2013 à 09h14

C'est plus facile de nettoyer, c'est mieux pour le parodonte et pour tes photos de publier des bouches propres ce sera pas plus mal.
Ou tu penses que la gingivite augmente l’esthétique?

--
" Douter c'est penser et du doute vient le progrès" Descartes

HAIG d(º¿º)b


leonardo

12/03/2013 à 09h36

Bonjour Haig
Ma motivation ici n'est pas de montrer des photos impeccables mais de partager des cas, des astuces et des techniques. On n'est pas a l'europerio que je saches.

J'ai des photos après détartrage malheureusement moins démonstratives.

Regardes ce post vraiment degeu sur le plan hygiène:

http://www.eugenol.com/sujets/400551-centrale-extraction-implantation-mise-en-esthetique-immediate-dent-naturelle

Il procède de la même démarche de partage sans fard.

Ceci dit tu as raison évidement. C'est mieux quand c'est tout propre. Maintenant, mes patients sont souvent adressés et si je commence a faire le boulot du correspondant, pas sur que je dure dans le métier!

Bonne journée.


Bouddha 2 wmj1zk - Eugenol
HAIG

12/03/2013 à 10h03

Bonjour Leonardo ,

je considère que quand on publie, et peu importe la tribune, nous avons une responsabilité.
Car cela établit une norme ou un exemple, tu sais comme moi que implanter dans un environnement bactérien, n'est pas la norme. Et il ne faut pas que nos confrères le pensent.
Ici aux Canaries , les échecs en implants représentent 60 a 70 % des plaintes et cela doit être la même chose en France.
Donc eviter la contamination du site et détartrer est la première démarche a adopter.
Cela ne te coutait rien de passer vite fait un coup de détartreur au début de ta séance, le temps que l’anesthésie s'installe.
Ne crois-tu pas ?
A priori tu travailles bien donc justement mets tout ton exercice a ce niveau, c'est la seule façon que nous avons de temps en temps de caresser l'excellence.
Sois plus exigeant encore avec ton prothésiste car il peut mieux faire pour la canine qui est bien mais manque un peu de vie.
Tu peux éduquer et former aussi tes correspondants.

Pense que l'Europerio c'est tous les jours et pour tous les patients ainsi tu dureras.

Tkt je suis un chieur !!1

--
" Douter c'est penser et du doute vient le progrès" Descartes

HAIG d(º¿º)b