Cookie Consent byPrivacyPolicies.comcentrale extraction implantation mise en esthétique - Eugenol

centrale extraction implantation mise en esthétique immédiate dent naturelle

leonardo

11/03/2013 à 13h17

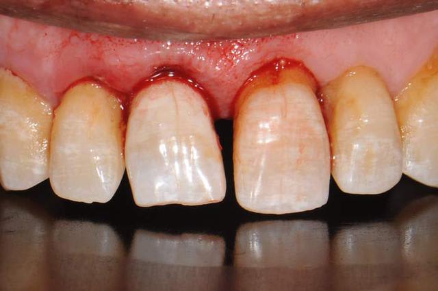
Dent cassée vers 14h, remise en place vers 17h...sur un implant...5 mois plus tard, la gencive remonte!

Cone beam fracture iw5sgg - Eugenol
Implant positionnement palatin u9ekin - Eugenol
Vue palatine p3gh07 - Eugenol
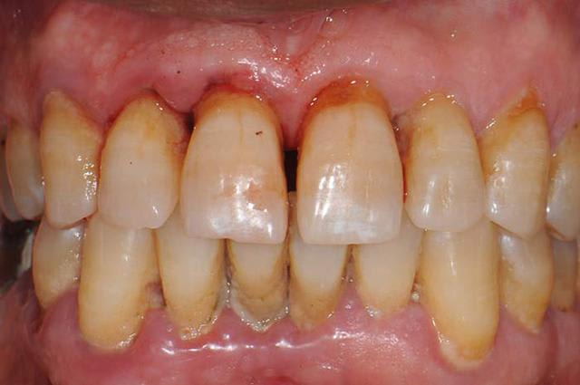
Situation urgence initiale rnrnkj - Eugenol
Extraction 1 xr1qez - Eugenol
Plateau extraction apex cle silicone lourd xqpp4g - Eugenol
Prothese visee vue palatine bnsa5j - Eugenol
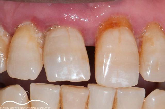
Vue naturelle xrwxxt - Eugenol
5 mois post reimplantation qdrkis - Eugenol

Humator t9r5wy - Eugenol
humator

11/03/2013 à 14h06

c'est un ma fois bien beau boulot. Par contre, le terrain! c'est plutôt crado! (je me demande si l'indication de EIMCI était la bonne, voir même l'implanto) t'as une image radio?

--
N.Hum


leonardo

11/03/2013 à 14h19

C'est bien ce qui m'étonne et ce pourquoi je met ce cas en ligne>>>Il montre bien comment une approche "robuste" au plan technique peur survivre même en terrain miné...Certains patients sont réfractaires a notre motivation a l'HBD, mais portent-il, seuls, la responsabilité de nos échecs? Ce cas semble dire que non...
J'ai perdu le réflexe de la RA depuis que j'ai installe un cone beam. Je vais convoquer le patient pour un contrôle.


3f3boxni50k58rq7e9ce9ddqrxgk - Eugenol
dentiste57

11/03/2013 à 14h34

chouette!
merci pour cette belle illustration.

je ne ferai qu'une seule petite remarque; j'aime pas trop l'utilisation de l'ancienne dent, je préfère tout de même des résines moins cra cra


RépondreCiter
leonardo

11/03/2013 à 15h03

J'ai fait passer la dent naturelle a l'autoclave et ensuite, après solidarisation au moignon titane, je tout scellé avec deux couches de composite nano photo liquide de chez GC . A partir de la elle me semble être une option moins risquée biologiquement et esthétiquement qu'une résine poreuse sur le moyen et le long terme. Qu'en penses-tu?


Photo pluton1b h9n4ea - Eugenol
pluton

11/03/2013 à 15h22

quitte à utiliser la dent, j'aurais fait en premier une empreinte à l'alginate pour faire une gouttière thermoformée qui aurait permis un repositionnement plus précis de la couronne en bonne position et non un peu inclinée comme ici...
voir reconstruire la dent tout en compo si la dent ne peut plus s'adapter comme il faut...

mais bon c'est vrai que j'ai tout le matériel à disposition au cab...ceci explique cela...
sinon une bête clef avec du silicone lourd...


leonardo

11/03/2013 à 16h37

Oups, j'ai oublié la photo de la clé. Dont acte. La dent fracturée a pu être mobilisée par le silicone.
Il aurait fallu penser à solidariser la dent en bonne position avant de faire une clé. De la discussion jaillit la lumière.
Bonne remarque en tout cas. Merci d'avoir regardé et surtout d'avoir commenté.
Je te souhaite une bonne semaine.

Plateau extraction apex cle silicone lourd vw6c2f - Eugenol

Mario ycg44a - Eugenol
Mario180

12/03/2013 à 10h10

Tu as bien rendu service au patient (plus que lui-même quand on voit sa motivation)
Beau travail donc, et merci pour le partage.

On attend d'admirer le travail définitif en photo avec les dents propres et pas d'oedème ;)

(Et le sourire du patient... qui ne risque pas d'être compliqué à atteindre vu ce qui semble être son niveau d'exigence : définitivement c'est aussi un élément décisionnel avant un traitement de ce type)