Cookie Consent byPrivacyPolicies.comEspace vestibulolingual pr pose d'un 5x11,5 (PHOTO SCANNER) - Eugenol

Espace vestibulolingual pr pose d'un 5x11,5 (PHOTO SCANNER)

Ploukinette

12/03/2013 à 12h23

Bonjour a tous,

j'ai une question de débutante mais avant d être confrontée à cette interrogation concrètement je ne m'étais jamais posé la question :)

Je dois poser une 36 (implant Nobel replace conical connection).

Lors de mon analyse scanner, je constate que au niveau de l'épaisseur crestale vestibulolinguale, je suis tout à fait a l'aise pr poser un 5x11,5mm.

En revanche, sur les 2 premiers millimétres de hauteur (au niveau cortical) , je n'ai pas 8mm en vestibulolinguale, comme il faudrait pr être bien pour poser un 5mm, mais j'ai tout juste 5mm (à peine)... La crête est en fait plus fine tout en haut de la crête, ce qui est je pense assez commun, puisque après l'extraction très ancienne, l'os s'est remodelé donnant cette petite lame de couteau (quand même épaisse d à peine 5 mm donc...)

Alors que faire?

- choisir un implant de diamètre inférieur alors que je peux et dois même poser un 5 MM pr remplacer une molaire qui sera en plus volumineuse en mesioditstal , et en plus que finalement il n'y a que les deux premiers millimètres en hauteur qui gêne

- enfouir mon implant a deux millimètres en profondeur pour atteindre la zone adéquate (d ailleurs, en postérieur, a combien faut il enfouir l implant de manière idéal?

- lors de la chirurgie, réséquer la crête pour enlever les 2 mms top fins et atteindre le plateau idéal de 8mm? Et donc tenir compte de cela dans la planification?

Ou autre?



Je vous remercie pour répondre à cette question...
J'espère avoir été clair...

Merci...


Images jm2g2g - Eugenol
dr_0le

12/03/2013 à 13h04

je pencherai pour la plastie osseuse afin d'être dans les meilleures conditions.

Il faudrait quand même voir le niveau de GA. si c'est pour se retrouver au niveau de la GL après la plastie, c'est embêtant.

de toute façon avec 5mm tu ne pourras rien poser. même le NP risque d'être limite.. surtout pour une 36.


Ploukinette

12/03/2013 à 13h18

Merci pour la réponse...

Comment ferais tu alors toi?

Tu ne poserais rien ? Tu ferais une greffe osseuse avant.....??!!!


Ploukinette

12/03/2013 à 13h38

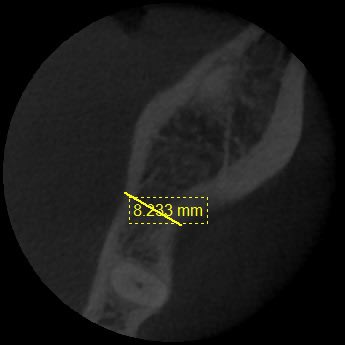
Voici les photos

Épaisseur de crête au niveau du trait rouge.

Implant 36 vestibulo lingual   2mm uyvgs1 - Eugenol
Implant 36 lhy2sh - Eugenol

Ploukinette

12/03/2013 à 13h44

VOici la suite

Crete fine1 by6drq - Eugenol
Crete fne 2 lz2zwv - Eugenol
Coupe plus haute dpzgpt - Eugenol

Images jm2g2g - Eugenol
dr_0le

12/03/2013 à 14h08

Cas favorable au niveau osseux..
Pourquoi une greffe,
Tu poses ton wp en enfouissant un peu. Il va y avoir un remaniement osseux au niveau du col et tu pourras réaliser ta prothèse dans de bonnes conditions.

Pourquoi faire compliqué quand on peut faire simple...


Ploukinette

12/03/2013 à 14h13

ben tu m'as dit avec 5 mm tu mettras rien...du coup j'ai flippé mdr...

mais quand tu dis enfouir, j enfouis de cb?? je me met sous la corticale ?? (ne te moque pas de mes questions si elles sont nulles stp!!!!)

merci


Images jm2g2g - Eugenol
dr_0le

12/03/2013 à 14h43

perso je prefererai un RP .
tu grattes un peu la crête pour te mettre au niveau osseux avec ton implant.
t'as de la place, du bon os.. ne t'en ais pas trop ..


Ploukinette

12/03/2013 à 14h48

donc après avoir ouvert je reseque un peu (fraise à os? pince gouge??) et quand je constate un plateau assez correct avec ma sonde graduée, je commence me forages...c'est comme ça que tu ferais?

ok pr le Rp mais la 36 sera large et je me dis quun 5 mm serait mieux...mais si il est trop large il est trop large hein...


Photo pluton1b h9n4ea - Eugenol
pluton

12/03/2013 à 15h32

Ploukinette écrivait:
---------------------
> donc après avoir ouvert je reseque un peu (fraise à os? pince gouge??) et quand
> je constate un plateau assez correct avec ma sonde graduée, je commence me
> forages...c'est comme ça que tu ferais?


ouaip...fraise à os par ex, ou bone scraper comme çà tu récoltes en plus du bon nonos autogène pour peaufiner au col s'il y a quelques spires exposées...;-)

remarque...tu devras peut être ne poser qu'un 10mm...

remarque 2: le nonos semble bien dense...n'oublies pas de tarauder!!! (le replace est un implant compressif, non auto-taraudant!!! attention en os dense si tu veux pas avoir de cratérisation!!!)


Ploukinette

12/03/2013 à 15h37

ok super merci!!!

effectivement si je descend vaut mieux peut être assurer avec un 10 d autant plus qu'on fore à +1mm.

question comme ça...l os que j ôte, je le fais patienter dans quoi??? :)

ok je passerais bien mon taraud pr os dense...

je l enfouis à cb selon toi? j ai du mal à savoir et à imaginer jusquou je devrais l enfouir...


merci!!!


daidouman

12/03/2013 à 15h41

Salut,

Pour une 36 aucun intérêt de poser au dela de 10 mm surtout s'il s'agit du diamètre 5.
Ton implant est conique donc ta corticale résistera bien.
Enfouis le d' 1/2 mm de plus pour etre bien sûr qu'apres ostéointégration il te restera bien 10 mm intraosseux et tout ira bien. On est à la mandibule et ton diamètre est large. Pas de problème.


Ploukinette

12/03/2013 à 15h43

tu sais quoi pluton, j aimerais tellement pouvoir dire moi aussi comme toi "attention l os est dense" "attention l os est mou..

comment tu fais... :'(


Tooth4ever

12/03/2013 à 16h56

ça me fascine toujours autant des poseurs d'implant qui cherchent sur le net un mode d'emploi.... pas sur qu'un patient qui lit ce post se rendra en confiance chez son praticien pour poser un implant.


Photo pluton1b h9n4ea - Eugenol
pluton

12/03/2013 à 17h09

Ploukinette écrivait:
---------------------
> tu sais quoi pluton, j aimerais tellement pouvoir dire moi aussi comme toi
> "attention l os est dense" "attention l os est mou..
>
> comment tu fais... :'(

j'ouvre les yeux et je chausse mes lunettes...
j'examine la corticale osseuse, c'est épais dans ce cas là donc dense en haut
j'examine la trame osseuse sous-jacente, plus ou moins radio-opaque et donc plus ou moins dense...
tu es à la mandibule, ici certainement avec un os D2 le taraud c'est surtout pour la partie trans-corticale pour éviter une cratérisation...dessous çà peut être mou (le foret qui fait "plouf" et là une petite lanterne doit s'allumer dans ta tête "sous forage apical" pour la stab primaire, etc...

c'est comme tout: étude minutieuse des examens complémentaires et capacité de s'adapter lors de la chir car parfois les images trompent...


Ploukinette

12/03/2013 à 17h55

tant mieux pour toi tooth4ever si lors de ton premier implant, tu ne te posais pas de question...ça devaiy être être méga méga inné chez toi...

quand tu n as jamais senti d'os pr de vrai, sauf sur des modèles anato, et ben tu l'as jamais senti...


merci pluton.


Tooth4ever

12/03/2013 à 18h38

je dis juste que pour un premier implant, et même la suite, avant de se lancer, il est préférable de suivre une vrai formation clinique, et pas des formations powerpoint le soir dans un bel hotel...

on ne peut pas faire d'implantologie comme ça...

certes, la formation française universitaire est mauvaise, et réussit à mettre des dentistes libéraux sans formation; pour faire des tous et les reboucher ça passe... mais pour ce genre d'acte, avec possibilité de lésions nerveuses, et de complications... je ne trouve pas ça très sérieux.

Effectivement faire un trou dans de l'os c'est pas bien compliqué, et tu le verras par toi même..

Mon commentaire n'avait rien de personnel, mais à lire ce post, on peut se demander s'il s'agit d'un espace dédié à des professionnels...


Images jm2g2g - Eugenol
dr_0le

12/03/2013 à 18h49

Tooth4ever écrivait:
--------------------
> ça me fascine toujours autant des poseurs d'implant qui cherchent sur le net un
> mode d'emploi.... pas sur qu'un patient qui lit ce post se rendra en confiance
> chez son praticien pour poser un implant.


il y a toujours une première fois...
tu auras beau faire la meilleure formation au monde sur macchabées ou mâchoires de cochons, tu auras toujours cette appréhension le jour de la première pose...

dire le contraire serait mentir..

ploukinette, tu devrais peut être demander à quelqu'un de superviser ton geste pour cette fois..


Ploukinette

12/03/2013 à 18h50

et ben tant qu'il y aura pas plus de place à la sapo je pense que je continuerais à poser des questions sur ce forum et même si elles te herissent ...

je suis qqun de très sérieux et je me sens tout à fait prete. les questions viennent simplment quand on se pose des questions et j estime qu aujourd'hui je n ai pas à rougir de mes questions parce que au moins je me les pose...

enfin je trouve ça vraiment gonflant...j adore eugenol mais il y à toujours des inconnus qu'on rien compris qui viennent te dire qu'ils font mieux que tout le monde...

et pr finir oui je suis professionnelle, alors merci et au revoir!


Ploukinette

12/03/2013 à 18h54

oui dr ole,il y aura qqun avec moi mais ce n'est pas l acte en lui même qui m intrigue mais c'est plutôt que c la première fois en vraie situation...alors c même plutôt excitant...

ensuite avoir vos avis cest toujours agréable je vs fait entierement confiance.

et enfin, la question sur la densité osseuse...je ne vois pas en quoi elle vous choque Car ce sera après quelques poses que je sentirais ce que c'est que les différentes densités...


enfin voilà!


bonne soirée


Avatar ow44t3 - Eugenol
Chicot

13/03/2013 à 23h04


Regarde le catalogue Nobel, un implant tapered 10 mesure ......... 10,6 mm ! Tiens en compte pour ta plannif, surtout si tu fais un plateau osseux et que tu enfuis...

--
;O)


Bouddha 2 wmj1zk - Eugenol
HAIG

13/03/2013 à 23h12

Une petite question, tu as combien de longueur de crête édentée au niveau de ta 36 ??

--
" Douter c'est penser et du doute vient le progrès" Descartes

HAIG d(º¿º)b


Ploukinette

17/03/2013 à 09h45

haig,

d'un point de contact à l 'autre j'ai 10 mm.

pourquoi?


flicflac

17/03/2013 à 20h22

si au niveau osseux plus que 14mm= 2 implants RP
tel que dit par Pluton: tu récoltes en plus du bon nonos autogène pour peaufiner au col s'il y a quelques spires exposées...;-)membrane et referme le tout ou sinon je crois que l'utilisation d'un implant astra Profile élimine ce tracas, qui est quand même léger.