Cookie Consent byPrivacyPolicies.comDevinette: Il n'y a pas qu'en implanto que ça peut merder - Eugenol

Devinette: Il n'y a pas qu'en implanto que ça peut merder grave.

1309531 ours brun n5iukf - Eugenol
seespan

13/03/2013 à 06h03


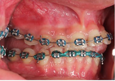
SI joint les photo intra buccal pre traitement et pendant traitement.
Comment expliquer vous le développement ce canting en frontal et de l'open bite en Postérieur ?
Qu'elle est la source du mal ?

--
หมอจัดฟัน

I1 l8rueg - Eugenol
21 zo01bb - Eugenol
I3 yqw5ul - Eugenol
I4 wzz4uu - Eugenol
I5 vdrj2a - Eugenol

1309531 ours brun n5iukf - Eugenol
seespan

13/03/2013 à 06h04

Et après environs un ans de traitement

--
หมอจัดฟัน

T1 a9ndhd - Eugenol
T2 jjsjhm - Eugenol
T3 nfdfmv - Eugenol
T4 wiyf6f - Eugenol
T5 iapweg - Eugenol

Picture1111 zburnd - Eugenol
saidkholoki

13/03/2013 à 06h19

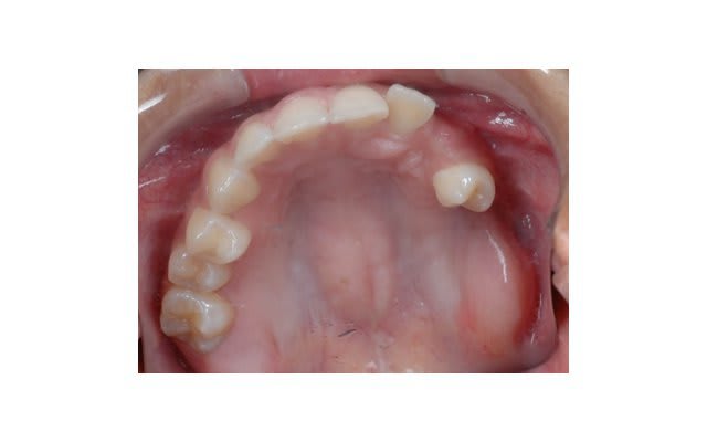
Je ne veux être une mauvaise LANGUE , mais pourquoi la prémolaire a été sacrifiée ???
Quel âge? Pourquoi autant de dents absentes? Y-a-il un syndrome associé ? Une ou plusieurs chirurgies precedentes pour des kystes? Des dents ankylosées?
Pas de dents postérieures de support et la mandibule flotte dans la face ?
Manque d'info = difficile de répondre !!

--
A suivre...
Said


1309531 ours brun n5iukf - Eugenol
seespan

13/03/2013 à 08h00

Y a pas besoin de plus d'info que les photo pour poser un diagnostique.

--
หมอจัดฟัน


Photo pluton1b h9n4ea - Eugenol
pluton

13/03/2013 à 08h20

bah, il a répondu....le problème c'est la langue...
elle s'interpose entre les arcades, on la voit sur toutes les photos
problème de position et/ou associée avec une macroglossie

c'est des cas super chiants à traiter...j'en ai un comme çà en cours...çà fait presque 2 ans, en collaboration avec l'orthophoniste, et on en voit pas le bout....


1309531 ours brun n5iukf - Eugenol
seespan

13/03/2013 à 09h07

Nope la langue n'a rien a voir dans ce cas.
Celui la je peux vous le donner tranquille sur la présentation du cas j'ai trouvé l'étiologie de l'apparition du problème.


--
หมอจัดฟัน


Picture1111 zburnd - Eugenol
saidkholoki

13/03/2013 à 11h21

seespan écrivait:
-----------------
> Nope la langue n'a rien a voir dans ce cas.
> Celui la je peux vous le donner tranquille sur la présentation du cas j'ai
> trouvé l'étiologie de l'apparition du problème.

Je suis désolé mais tu as ,peut être, mis un an pour connaître le problème en suivant et en vivant le cas, et tu veux qu'on puisse deviner en voyant qqs photos seulement et en plus tu ne veux répondre à mes questions? Je trouve ça injuste!

--
A suivre...
Said


1309531 ours brun n5iukf - Eugenol
seespan

13/03/2013 à 11h33

saidkholoki écrivait:
---------------------

> Je suis désolé mais tu as ,peut être, mis un an pour connaître le problème en
> suivant et en vivant le cas, et tu veux qu'on puisse deviner en voyant qqs
> photos seulement et en plus tu ne veux répondre à mes questions? Je trouve ça
> injuste!
>
> --
> A suivre...
> Said

Le cas a était présenter a une conférence pluridisciplinaire. Ce n'est pas mon patient mais un de mes sénior.
Les radio devraient aider un peut mais les photos sont suffisante encore une fois.
Il y a ma connaissance une seul chose qui peut expliquer comment passer de la situation 1 a la situation 2.
Mais je vous rassure la prof qui encadrait le cas n'avait pas compris ce qui se passait non plus.
Mauvais pour elle d'ailleurs, quand c'est un première année qui donne la solution ça fait pas sérieux :-) .


--
หมอจัดฟัน


145 kssowa - Eugenol
Chicot30

13/03/2013 à 11h50

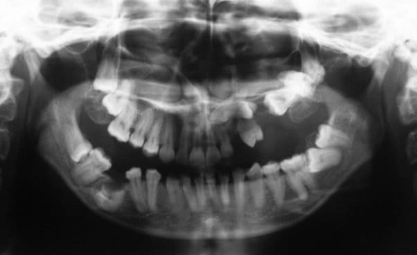
La question de base, pourquoi manque-t-il le secteur 2 ? La prémolaire a été extraite comment et pourquoi ? Une pano serait bien quand même....
Et surtout antécédents de la patiente ou du patient, avec juste des photos avant après il y a pleins de réponses possibles.
--
"C'est parce que la vitesse de la lumière est supérieure à celle du son que certains paraissent brillants avant d'avoir l'air cons."


1309531 ours brun n5iukf - Eugenol
seespan

13/03/2013 à 11h57

Chicot30 écrivait:
------------------

> Et surtout antécédents de la patiente ou du patient, avec juste des photos avant
> après il y a pleins de réponses possibles.

Photo 1 on met des brackets et fils un ans plus tard Photo 2

Une seul possibilité a ma connaissance qui explique le canting antérieur et l'open bite postérieur.
Confirmé lors de la présentation par un prof qui est une brut en ortho et confirmé plus tard en clinique quand le plan de traitement a était modifié.

--
หมอจัดฟัน


145 kssowa - Eugenol
Chicot30

13/03/2013 à 12h07

La prémo est tombée toute seule alors et médicalement le patient est impec....
Mon avis au vu de la fonte osseuse, c'est que le support est foireux, dès que tu stresse ton os (ortho, extraction) tu as une fonte monstrueuse, à mon avis il y a médicalement un problème osseux majeur, maintenant il faut en connaître l'origine.
C'est probablement pas ça, mais ça me fait penser à ça, qu'est-ce qui pourrait justifier ces déplacements monstrueux verticaux et cette fonte terrifiante suite à avulsion à part le support.
--
"C'est parce que la vitesse de la lumière est supérieure à celle du son que certains paraissent brillants avant d'avoir l'air cons."


Picture1111 zburnd - Eugenol
saidkholoki

13/03/2013 à 13h49

Un arc à courbe de Spee inversée avec un contrôle unilatéral . Quelle bêtise de la part d'une senior ou une prof! J'espère que ce n'est la même personne comme dans le cas précédent !!!

--
A suivre...
Said


Picture1111 zburnd - Eugenol
saidkholoki

13/03/2013 à 14h02

De plus, on ne s'est pas rendu compte péndant un an ??? Deux erreurs graves: 1) utiliser un arc ou l'indication n'existe pas. 2) Attendre un an avant de se poser de question!!

--
A suivre...
Said


1309531 ours brun n5iukf - Eugenol
seespan

13/03/2013 à 15h01

saidkholoki écrivait:
---------------------
> Un arc à courbe de Spee inversée avec un contrôle unilatéral . Quelle bêtise de
> la part d'une senior ou une prof! J'espère que ce n'est la même personne comme
> dans le cas précédent !!!
>
> --
> A suivre...
> Said

Gagné sur les deux points c'était bien un arc de spee inversé et c'était bien la même prof

- Pour l'arc de spee inversé c'était pas évident a trouvé car il n'y avait en effet aucune indication. Mais comme a dit la prof si ça marche en bas pourquoi ne pas l'utiliser en haut ? Encore un truc des fournisseurs pour nous faire doubler les stock

- Gagner il s'agit bien de la même prof, les plus beaux cas c'était pour noël, elle avait voulue utiliser des fils plié en forme de sapin pour fêter ça. Je vous met pas les photos mais je vous assure que c'était cocasse. On a eu un patient le maxillaire vue occlusal ça faisait tour Eiffel.

Tout faux évidemment.

Pour le dernier cas, c'était tout bêtement une prématurité due a la distoversion des 7 et non ce n'était pas la même prof. Je leur est pas raconté comment ça avait fait criser les Français.

Il y a pas a dire l'ortho ça déclenche les passions.

L'explication est encore une fois ultra logique est simple.
--
หมอจัดฟัน


exo

14/03/2013 à 01h31

est ce que ne sont pas des dents ankylosé qui sont la cause de ce resultat a savoir la molaire et la lateral ???


1309531 ours brun n5iukf - Eugenol
seespan

14/03/2013 à 03h10

exo écrivait:
-------------
> est ce que ne sont pas des dents ankylosé qui sont la cause de ce resultat a
> savoir la molaire et la lateral ???

Bingo

Il y avait ankylose de la 22 mais pas des molaires.

Sa se devine ici car le fil est quasiment droit ce qui signifie que sa forme c'est exprimé presque complètement.
Le problème étant que si la forme du fil est correct sa position ne l'est pas.
La 22 étant ankylosé elle a fonctionné comme un point d’appui et a fait bouger tout le reste.

Dans ce cas c'est impressionnant car la dent ankylosé

- était mal positionné en début de traitement
- Qu'il n'y avait aucun dent dans le secteur postérieur pour limiter les effet.

Le fil rond pouvait tourner dans le slot de 22, vue qu'il n'y avait pas de dent en postérieure rien n’empêchait la rotation du fil et donc l’aggravation de la malocclusion.

La 21 qui était proche a était la plus affecté sa se voit bien sur les photo avec bracket, elle a subit une importante rotation dans le sens mesio distal et a était procliner. Son changement de position a eu un impacte sur 21 puis sur 11 ect ect , les effets devenant de plus en plus faible a mesure que l'on s'éloigne.
On a eu une important proclination de l'ensemble des incisive.
Mais encore une fois ce qu'il faut noter c'est le changement important au niveau de 21 avec un FIL PARFAITEMENT DROIT au niveau des incisives

Le dernier cas de ce type que j'ai vue était du a une ankylose de 32 mais vue que les arcades sup et inf était compléte les effet était plus modeste. La 32 était disto versé est avait entrainer une extrusion de 31 et 41 comme d’habitude le schéma était fil quasi droit mais dent qui ne sont pas en bonne position.

Pour savoir ou se situe le problème il y a une règle simple
avec un fil continue vous pouvez facilement réaliser des extrusion mais une intrusion est impossible. Donc pour savoir ou est la dent causal vous chercher la dent qui est en bout de chaîne du groupe de dent ayant subit une extrusion. Le senior qui suivait le cas pensait que la 22 avait subit une intrusion ce qui est une impossibilité biomécanique. La dent qui semble avoir subit une intrusion n'a en fait pas bouger mais a causer l'extrusion de tout le rest, i.e. elle est ankylosée.

La prof responsable c'était fait critiquer sur deux points :
- le fait de ne pas avoir penser a l'ankylose malgré les antécédent de la patiente ( voir radio )

- avoir utiliser une mécanique straight wire sur une arcade incomplète. Même si aucune dent n'est ankylosés les résultat peuvent être incertain vue cette mécanique a était développer pour une arcade complète, donc avec un effet stabilisateur des deux secteur postérieure.
Par exemple quand vous faite une rétraction de canine ou du bloc incisivo canin la mise en place d'un arque trans palatin ou lingual vous permet d'éliminer en grand partie les composante transversal. Même sans arque si vous utiliser un fil suffisamment rigide ces effet son limité.

Une mécanique segmentaire ( et ca ne veut pas dire utiliser un seul fil avec des boucles !! ) a l'avantage d’être parfaitement contrôlable.

Question bonus :

Vous faite comment pour savoir si un dent est ankylosé ?
--
หมอจัดฟัน

Anky agdmkx - Eugenol

Mario ycg44a - Eugenol
Mario180

14/03/2013 à 09h42

>Vous faite comment pour savoir si un dent est ankylosé ?

Facile :tu ramasses un davier, tu vires la dent en moins de 5 minutes, et si t'as un gros bloc de nonos autour, c'est qu'elle était ankylosée.


belette

14/03/2013 à 10h51

Vous faite comment pour savoir si un dent est ankylosé ?

Question d'oreille: A la percussion, elle ne sonne pas comme les autres.


^ ... ^
Ô"""Ô
= o =
°°°°°


1309531 ours brun n5iukf - Eugenol
seespan

14/03/2013 à 11h13

belette écrivait:
-----------------

> Question d'oreille: A la percussion, elle ne sonne pas comme les autres.

Juste un petit défaut avec cette méthode il faut que plus de 20% de la surface de la racine soit ankylosé pour avoir un changement sonore a la percussion.

--
หมอจัดฟัน


exo

14/03/2013 à 12h44

sur une RX retro alveolaire , y aura pas de ligne desmodontal , une opacité d'os , et si la racine est longue , à la percussion elle aura une autre tonalité différente des autre dents .


1309531 ours brun n5iukf - Eugenol
seespan

14/03/2013 à 15h08

exo écrivait:
-------------
> sur une RX retro alveolaire , y aura pas de ligne desmodontal , une opacité
> d'os , et si la racine est longue , à la percussion elle aura une autre tonalité
> différente des autre dents .

Déjà répondu a roumette pour la percussion, si il y a moins de 20% de la surface de la racine ankylosé, il n'y auras pas de variation sonore perceptible.

Pour la Retro le problème est que tu ne peux examiner qu'une partie très limité du ligament desmodontal. Donc a moins que l'ankylose soit généralisé ( ce qui sur un patient jeune est peut probable ) passé a coté est facile.

Non aucune de ses méthodes n'est réellement concluante pour une patient du type présenter qui a une forte probabilité de développer une ankylose.


--
หมอจัดฟัน


1309531 ours brun n5iukf - Eugenol
seespan

14/03/2013 à 15h37

il est ou ptGabi c'est lui qui devrait répondre ici !!

--
หมอจัดฟัน


1 p3qrc4 - Eugenol
Bjc.

15/03/2013 à 02h18

c’est une erreur de débutant, débutant sur de lui, sur de ses connaissances théoriques, picorées un peu partout, sur internet etc … ; débutant sans expérience clinique, et qui en a après les commerciaux, qu’il rend responsable de ses erreurs.

QQ. 1 d’expérimenté, m brutal, ne ferait pas ce genre d’erreur.

Vous devez être peu surveillé.

Tu m’as dit une fois qu’1 de tes enseignant t’avait dit que tu lui faisais peur
Je commence à comprendre pourquoi.

@+ Bjc.


1309531 ours brun n5iukf - Eugenol
seespan

15/03/2013 à 03h05

Bjc. écrivait:
--------------
> c’est une erreur de débutant, débutant sur de lui, sur de ses connaissances
> théoriques, picorées un peu partout, sur internet etc … ; débutant sans
> expérience clinique, et qui en a après les commerciaux, qu’il rend responsable
> de ses erreurs.

Ha je me disait bien j'avais eu des commentaires agressif mais pas encore de commentaire complètement a coté de la plaque, émanant d'un nonolien qui manifestement n'a pas prit le temps de lire le fil.

Merci BJC fils spirituel de grifix 'avoir comblé cette lacune.

Je répète dan l’hypothèse certes incertain mais pas impossible que BJC lise ce post a défaut des précédent. Ce n'est pas mon cas mais un cas qui a était présenté lors d'une session pluridiscplinaire. Le coté pluridisciplinaire étant due :

- nécessité de retirer les dents impactée, je sais pas mais mois je ne me sentirait pas capable d'aller les chercher surtout qu'elle sont ankylosé. C'est le département de chir qui s'y collé
- nécessité de réaliser un prothèse, la patiente avait moins de trente ans donc un amovible n'était pas vraiment envisager. Le probable étant que post extraction il allait manquer pas mal d'os
- necessité de faire un traitement ortho.

J'ai récupéré le Powerpoint auprès d'un des sénior c'est tout
>
> QQ. 1 d’expérimenté, m brutal, ne ferait pas ce genre d’erreur.

Ben c'est bizarre parce que :

- ce type de situation est très peut fréquent, le premier cas que j'ai vue a donner lieu a une publication, si je la retrouve je vous met les référence.
- la prof qui suivait ce cas est plus que compétente, pratique privé de haut niveau, enseignant a la fac et de nombreuse publication a son actif.

- malgré le nombre élevé de visionnage de ce fil, très peut on tenter d'apporter des réponse. Même pour le diagnostique de l'ankylose quasiment personne n'a tenter.

A propos :

- dans les éléments diagnostique vous avez la mobilité, défaut il faut au moins une ankylose de 10% de la surface racinaire pour que la mobilité soit impacté donc ce n'est pas sur a tout les cout.
Mais c'est déjà plus sur que la percussion.

Il y a d'autre moyen

@ BJC
On apprend de ses erreurs posté un cas ou regarder je colle les bracket je met le fil et c'est magique tout s'aligne n'apprend pas grand chose.
--
หมอจัดฟัน


1 p3qrc4 - Eugenol
Bjc.

15/03/2013 à 04h17

"""Ce n'est pas mon cas mais un cas qui a était présenté lors d'une session pluridiscplinaire."""

je ne suis pas convaincu, on t'a donné les photos de la présentation? j'en doute.
c'est un cas ou tu as participé, qui a été présenté lors d'une session pluridisciplinaire?
(demi mensonge?)

@+ Bjc.

P.S.: tu as l'air fort pour le baratin
la percussion ;-)
2°P.S.: on apprend de ses erreurs, mais pas en faisant n'importe quoi


12