Cookie Consent byPrivacyPolicies.comPano surprise!!! - Eugenol

Pano surprise!!!

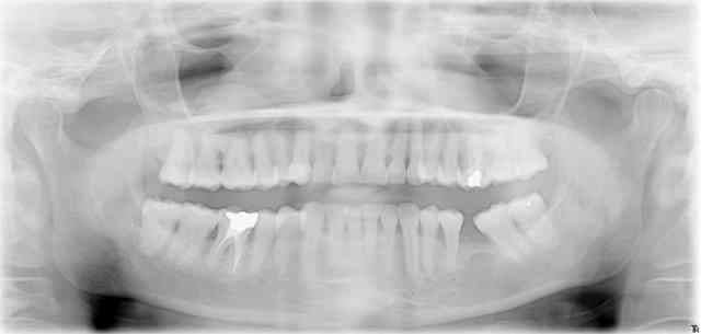
Img 5097 lxchd7 - Eugenol
Queixal

18/03/2013 à 14h15

Paciente qui viens pour detartrage et enlever la racine d´en bas.
Petite surprise dans le sinus maxilaire droit. je pense qu´en relation avec la "belle" Endo de la 16.
J´ai envoye a l´O.R.L on est en attente du scanner.
Qu´en pènsez vous.

Unknown x 2012 11 29 18 57 18 4 u5vu5t - Eugenol

Bagheera tudzjy - Eugenol
bagheerra

18/03/2013 à 17h41

Ce genre d'image est assez fréquent. Cela peut être associé à des doléances sinusiennes, souvent chroniques, mais pas toujours. Il n'y a pas toujours d'endo en-dessous. Quoiqu'il en soit, on pense bien sûr à l'aspergillose (surtout avec "dépassement de pâte").
Pour ma part, j'envoie toujours la radio et un courrier au médecin traitant. Quand il daigne me répondre, il me parle souvent de "banal kyste muqueux", mais certains finissent tout de même chez l'ORL.

Sinus droit qjwkpi - Eugenol

roger chicot

18/03/2013 à 18h22

D'abord, reprise du traitement canalaire, mise en place d'une dent provisoire si t'es pas sûr, attente cicatrisation et ça devrait cicatriser à tes bons soins (par contre, ça peut mettre du temps)...

ça aurait évité de déranger un ORL (qui va opiner du chef ou d'autre chose) et le scanner (qui sert à quoi dans ce cas ??).


M xowzvs - Eugenol
orvieto2

18/03/2013 à 19h25


" Qu´en pènsez vous . "


En l'absence de signe fonctionnel ORL , je n'envoie plus les images sinusiennes .
" On ne traite pas les radios " me disent les ORL .

Après , faut voir quels sont les signes dentaires ...


Img 5097 lxchd7 - Eugenol
Queixal

18/03/2013 à 22h40

J'avais pense au quiste muqueux neanmoins je trouve que sur ma pano c'est trop radiopaque, et il n'a pas la forme classique en dôme
La furcation de la dent 16, n,est pas top, je pense l'extraire, mais le sîte ne m'inspire pas pour poser un implant.
Patiente jeune 35 ans, aucun signe clinique. Elle me dit que l'endo doit avoir une dizaine d' années elle avait fait un bel abcess avec fistule.