Cookie Consent byPrivacyPolicies.comincisive centrale incluse - Eugenol

incisive centrale incluse

Empreinte algiperf gvdesm - Eugenol
alGinette

21/03/2013 à 13h20

Bonjour à tous
Voici un cas qui me pose beaucoup de soucis.
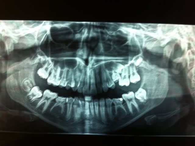
Cet enfant a 9 ans. A la suite d une chute a l école et d une panoramique nous découvrons que l incisive centrale 21 est incluse, retenue par un odontome.
L odontome a depuis été extrait pour faciliter l évolution de l incisive.
Nous avons réalisé l endo de 11 car elle s était nécrosée lors de la chute. Nous constatons depuis que la racine ne tiendra pas le choc puisqu on remarque un début de résorption apicale.

L incisive centrale 11 s est mésialée ainsi que l incisive latérale 22 fermant l espace d évolution de 21.

Je souhaiterai donc par des multi bagues reouvrir cet espace pour accueillir la 21 mais j ai peur en corrigeant l axe de 22 d entrer en contact avec 21 .
Et en distalant 12 et 11 vais-je fermer l espace d éruption de 13?
Qu en pensez vous?

merci d avance pour vos conseils

Photo c3cyks - Eugenol

Empreinte algiperf gvdesm - Eugenol
alGinette

21/03/2013 à 13h24

en fait je me corrige, le titre n est pas bon!
l incisive n est pas incluse mais retenue par l odontome qui a été extrait avant la pano... depuis elle commence à descendre mais manque de place


1309531 ours brun n5iukf - Eugenol
seespan

21/03/2013 à 13h51

Il vous faut un CBCT sur ce cas.

Vous ne pouvez determiner les rapport des éléments dentaire ( surtout 21 avec la racine de 22 avec une seul panoramique. Vous pourriez prendre un cliché avec une incidence occlusal pour avoir plus d'information, mais les études on montré qu'avec la 3D sur ce genre de cas on change son plan de traitement dans 30% des cas par rapport a ce que l'on aurait fait avec la 2D seul.

Il y a débat en ce moment chez les ortho pour savoir quand on peut faire un CBCT et quand c'est du surtraitement. Ce genre de cas c'est la ou tout le monde est d'accord.
CBCT a faire

Une fois que vous aurez une vision 3D du problème la mécanique sera simple a choisir.

--
หมอจัดฟัน


Empreinte algiperf gvdesm - Eugenol
alGinette

21/03/2013 à 14h48

ok c est bien ce qu il me semblait je vais faire ça; j en saurai plus..

Merci beaucoup.

Bonne journée!


Ylfwcw979cz1jnx9gfqeaxndiuzk - Eugenol
Algi

21/03/2013 à 20h17

"alginette"..... en voilà un drôle de pseudo! Et non, nous n'avons aucun lien de parenté :0))

Et celle là, vous en pensez quoi?

La 65 est tombée il y a environ 1 an, puis une 25 s'est pointée et est restée comme ça, pas sur l'arcade.

Ca c'est ce que m'a dit la patiente car je ne l'avais pas vue depuis 1 an 1/2. Mais je crois bien me souvenir qu'il y avait une lacteale et donc nous aurions affaire à une surnumeraire soit imparfaitement constituée soit rhyzalisée par la 5 suivante qui est au dessus (auquel cas la surnumeraire est la plus haute et vice versa)

Bref je pense adresser à une consoeur ortho et un confrere chir pour minivis, reouvrir l'espace, extraire le machin en partie sur l'arcade et prier pour que l'autre 5 continue son evolution et emerge un jour ou qu'on la tracte mais à ce stade tracter me parait tiré par les cheveux.

En bas y'a aussi souci mais ça se reglera plus tard par 2 implants.

En haut quelle conduite à tenir si on ne peut pas amener la 25 en place afin de preserver le max d'os alveolaire en vue d'un implant à venir?

--
"On a toujours le choix! Mais entre quoi et quoi?
Vas-y boulégue et l'avenir te le dira!"

Img 2646 fiouls - Eugenol

Avatar hjdsnm - Eugenol
TiGabi

21/03/2013 à 20h32

alGinette :
La 11 aurait nécessité un traitement d'apexification. Avec un apex si ouvert, le traitement endodontique risque de ne pas être stable à moyen/long terme.
Au vu du stade d'édification radiculaire de la 21, il te faudra probablement faire une désinclusion chirurgicale et une traction en plus de rouvrir l'espace.

Algi :
Il s'agit d'une réinclusion de la 65. Il y a un problème pour la 25 dont la racine n'est pas développée. Ton patient a 9-10 ans ? Tu peux avulser la 65, rouvrir l'espace et attendre 6-9 mois "pour voir" mais il ne se passera sans doute rien pour la 25 qu'il te faudra alors avulser également. Puis maintien de l'espace et implant en fin de croissance...
J'ai un cas quasiment identique en cours mais sur un secteur III : je le mettrai demain si tu veux.


Ylfwcw979cz1jnx9gfqeaxndiuzk - Eugenol
Algi

21/03/2013 à 21h19

Viens de voir le pote chir et je confirme: 65 ingressée par pression de 4 et 6.... la 25 sortira sans doute pas.

J'attends avis ortho pour savoir si on ouvre pour permettre sortie eventuelle de 25 ou si au contraire on ferme et on avance la 6(et à ce moment là on verra pour la 15 et pour les mandibulaires).

Donc mea culpa mais la patiente m'a dit que la dent de lait était tombée....

Greg House a raison quand il parle des patients: tout le monde ment!

--
"On a toujours le choix! Mais entre quoi et quoi?
Vas-y boulégue et l'avenir te le dira!"


F e01w igu3rl - Eugenol
roumette

22/03/2013 à 00h13

Vire les 5... Je sais, on aimerai mieux voir la 38, mais partir avec l'idée de trois implants si jeune me rend triste.

Quant aux patients avec leur dents, ils ne mentent pas... ils ne savent pas, ils oublient, et ils mélangent... avec aplomb.
Et puis nous mêmes on s'est tous plantés un jour entre une 44 et une 45, moi la première. Oups... ameli me lit. ;-)


1309531 ours brun n5iukf - Eugenol
seespan

22/03/2013 à 12h33

Je dirais que pour le haut il faut un CBCT ça vous permettra de voir

- la position des élément dentaire les un par rapport aux autres
- Voir si 25 est ankylosé.
- voir l'état de la 26 ( sur la radio ou pourrait penser qu'elle est atteinte

Dans tout les cas une minivisse me parait inutile je vois trois options

- si 25 est ankylosé ou dans une position impossible on extrait le machin est 25 et on ferme les espaces avec 26 27 .
- Si 26 est intacte extraction de 27 redressement de l'axe de 26 pour faire de la place, traction orthodontique de 25 si besoin pour l'aider a trouver sa place
- Si 26 est abimé ou si le CBCT dis que la mécanique est plus simple extraction de 26, traction ortho de 25 si utile.

Sur ce patient pas de problème la 28 sont en court de formation et viendra compléter l'arcade toute seul comme une grande pas besoin de bracket.

Pour le bas point besoin d'implan ou même d'orthodontie.

Il faut faire des hémisections.
Vous enlever la racine distale de 75 et 85 est la 6 vas se mésialer naturellement, vue que la distance entre les deux racines est faible l'os n'auras pas le temps de fondre et de bloquer les 6 ( se qui se passerait si vous faisiez l'extraction total).
Une fois que l'espace est fermer vous enlever la racine mésiale de chaque coté.
Normalement pas besoin d'ortho, pas besoin d'implant par contre 2 DC 8

Sur ce cout c'est pas mon idée mais une technique reconnue qui a fait l'objet de nombreuse publication.

PS : attention 85 très probablement ankylosée.


--
หมอจัดฟัน


1309531 ours brun n5iukf - Eugenol
seespan

22/03/2013 à 12h49

TiGabi écrivait:
----------------

> rouvrir l'espace et attendre 6-9 mois "pour voir" mais il ne se passera sans
> doute rien pour la 25 qu'il te faudra alors avulser également. Puis maintien de
> l'espace et implant en fin de croissance..

Pourquoi maintenir l'espace ?
Si le patient a une prémolaire d'un coté et deux de l'autre ça ne pose pas de problème ( entre class I molaire et class II molaire pas de différence mécanique du moment que se sont des full class II).
Mésialer la 26 est une meilleur option ça évite l'apparition d'un défaut osseux au niveaux du site de la 65, 25.
.


--
หมอจัดฟัน


Ylfwcw979cz1jnx9gfqeaxndiuzk - Eugenol
Algi

22/03/2013 à 14h53

En attendant je suis un tantinet contrarié d'avoir découvert seulement hier qu'une dent de lait peut être réingressée par les adjacentes.... Comme quoi on en apprend tous les jours ;0))

En même temps voilà un exemple qui illustre bien la merde de santé publique dans laquelle nous sommes: ,cette gamine je l'ai suivie de 2009 à 2011 en fonctionnelle pour une beance et des encombrements, on a reussi à solutionner le truc et les parents satisfaits du resulotat mais surtout faute de prise en charge suffisante et faute de moyens, ont décidé d'arréter là les frais en ortho. Suite à ça je ne l'ai pas vue pendant 1 an 1/2 et on en est là aujourd'hui.... Fais chier tiens!
--
"On a toujours le choix! Mais entre quoi et quoi?
Vas-y boulégue et l'avenir te le dira!"


ameli

22/03/2013 à 18h06

roumette écrivait:
------------------
Oups... ameli me lit. ;-)

tu m'envoies ton RIB, je fais le prélèvement de l'indu, et on n'en parle plus.
J'ai le pardon facile.


F e01w igu3rl - Eugenol
roumette

23/03/2013 à 09h08

@ ameli : Bandit...:-)


1 eugenol dmj5np - Eugenol
Dancha

25/03/2013 à 13h25

alGinette écrivait:
-------------------
> .. depuis elle commence à descendre mais manque de place

Dans ce cas laisse là évoluer spontanément au maximum, ce sera beaucoup plus facile d'intervenir après.
Tu ne risques absolument rien d'attendre un peu.

Algi écrivait:
--------------
> Viens de voir le pote chir et je confirme: 65 ingressée par pression de 4 et
> 6.... la 25 sortira sans doute pas.

Pas sûr du tout, je pense même le contraire. Il faudra bien entendu l'aider un peu compte tenu de sa position..
Cette 25 a un retard d'évolution, banal et relativement fréquent.
La direction distale ++ qu'on voit sur la pano n'est peut-être pas aussi importante qu'il y paraît, l'image peut-être faussée par son inclinaison vestibulo-linguale.
Conduite à tenir : tu vires la 65 et tu attends que la 25 se redresse en partie.
À ce moment là seulement tu aviseras pour le reste.

seespan écrivait:
-----------------
>..
> Pour le bas point besoin d'implant ou même d'orthodontie.
>
> Il faut faire des hémisections.
> Vous enlever la racine distale de 75 et 85 est la 6 va se mésialer
> naturellement...

Comment fais-tu, tu laisses les dents vitales ?
Quid de l'occlusion ?
Tu termines en classe III molaires ?

Daniel


1309531 ours brun n5iukf - Eugenol
seespan

25/03/2013 à 14h38

Dancha écrivait:
----------------

> Comment fais-tu, tu laisses les dents vitales ?

Non il faut faire en traitement de racine bien sure.

> Quid de l'occlusion ?
> Tu termines en classe III molaires ?

Oui si il n'y a pas d'extraction aux maxillaire on se retrouve en class III molaire a moins bien sure de mettre un implant.

Il n'y a ma connaissance aucun problème a finir en class II ou III molaire du moment que l'occlusion est équilibré.

Pour cette technique je suis tombé dessus par hasard dans les DVD de l'aao dans la rubrique agénésie. Pas mal d'articles sur le sujet en particulier comparaison entre cette méthode et fermeture des espaces par traitement ortho ou mise d'implant.
Les avantages sont un parodonte de meilleur qualité entre la 6 et la 4 ( si vous fermer par ortho vous risque d'avoir un aspect en sablier ), un coût très modeste, et surtout les études cephalometrique on montré qu'il y avait dans tout les cas une rétraction des incisives si l'espace était fermé par l'orthodontie ).

Généralement on ferme les espace avec cette methode pour enchaîner avec un traitement ortho si nécessaire. Of course l'on peut fermer seulement la moitier de l'espace et laisser l'autre racine en place si l'on veut mettre un implant ( pour les fana de la class I molaire ou si une 7 maxillaire se retrouverais sans antagoniste ). L'on peut aussi laisser la moitier de la racine en place si l'on prévoit d'avoir besoin d'espace pour un réduire un encombrement incisif.

Juste si vous enlever la 5 de lait, l'os va fondre et la 6 va verser, la cortical resserrer empêchant ça mésialisation naturelle ou aider par l'ortho. Si vous enlever une racine l'os est conserver et la 6 se mésialise donc il faut jouer la dessus suivant les cas clinique.

Plus il y a toujours un risque a laisser une dent de lait en place surtout sur un sujet présentant des agénésie.

Ici c'est enseigner en troisième année ( les sénior connaissent ) donc j'ai pris un peut d'avance :-).

Je peus vous trouver les référence bibliographique si ça interesse quelqu'un


--
หมอจัดฟัน


1309531 ours brun n5iukf - Eugenol
seespan

25/03/2013 à 14h45

J'oubliais il y a une quatrième option sur ce cas, conserver les 5 de lait et tenter une transplantation quand les germe de 8 seront plus mature.

--
หมอจัดฟัน