Cookie Consent byPrivacyPolicies.comtraction ortho-chirurgical - la COLLE à utiliser - Eugenol
3f3boxni50k58rq7e9ce9ddqrxgk - Eugenol
dentiste57

24/03/2013 à 13h37

salut à tous, vendredi dernier je faisait une traction ortho-chirurgical et j'ai eu un peu de mal à faire tenir mes bagues.

quel est la colle que vous utilisez pour ce type d'intervention. perso j'ai une colle transparent de chez coltène (me souviens plus du nom)


ici la vidéo du cas en 3D:



3f3boxni50k58rq7e9ce9ddqrxgk - Eugenol
dentiste57

24/03/2013 à 13h54

zut alors! j'ai oublié ma carte photo au cabinet!


Canin

24/03/2013 à 14h43


Un truc d'ortho pour coller les brackets : unitek.

1.Préparation dent + attache avec mordancageadhésif (type excite) sans polymeriser.

2. Garnissage attache avec un peu unitek.

3. Mise en place sans bouger et photopolym.

--
Canin


3f3boxni50k58rq7e9ce9ddqrxgk - Eugenol
dentiste57

24/03/2013 à 15h24

j'ai tout pareil que toi pour le protocole, sauf pour la colle .
on l'a trouve où ?

au fait, tu préfères les chaines ou les fils torsadés ?


Canin

24/03/2013 à 16h07

dentiste57 écrivait:
--------------------
> j'ai tout pareil que toi pour le protocole, sauf pour la colle .
> on l'a trouve où ?

Tu me poses une "colle", je sais plus !! Faut que je demande à l'assistante.

> au fait, tu préfères les chaines ou les fils torsadés ?

Je m'adapte à l'ortho mais fil torsadé plus fin, moins encombrant sous la gencive.


--
Canin


Jomiro

24/03/2013 à 17h25

Transbond XT


Photo pluton1b h9n4ea - Eugenol
pluton

24/03/2013 à 22h13

http://www.eugenol.com/sujets/391281-chir-mini-invasive-pour-traction-de-dent-incluse?page=1#post_607558

tout est expliqué...;-)
mais bon, c'est ma technique, et libre à toi de la modifier à ta convenance...;-)


3f3boxni50k58rq7e9ce9ddqrxgk - Eugenol
dentiste57

25/03/2013 à 09h21

donc tu colles au tetric evoceram...


Photo pluton1b h9n4ea - Eugenol
pluton

25/03/2013 à 10h02

oui...;-)
rien trouvé de mieux pour l'instant...;-)


3f3boxni50k58rq7e9ce9ddqrxgk - Eugenol
dentiste57

25/03/2013 à 14h57

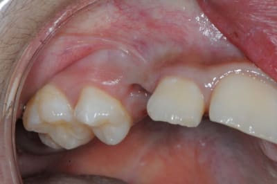
voila les photos: coté gauche

1-2-3: avant le premier coup de bistouri coté droit et gauche

4-5-6 extraction de l'odontome, mise à jour de la canine et collage avec du "ONE COAT BOND" de chez coltène.

Dsc 2544 uuxptp - Eugenol
Dsc 2545 e9mhrr - Eugenol
Dsc 2546 yynlse - Eugenol
Dsc 2547 gjaalq - Eugenol
Dsc 2548 ycetsr - Eugenol
Dsc 2549 v9jmzz - Eugenol

3f3boxni50k58rq7e9ce9ddqrxgk - Eugenol
dentiste57

25/03/2013 à 15h01

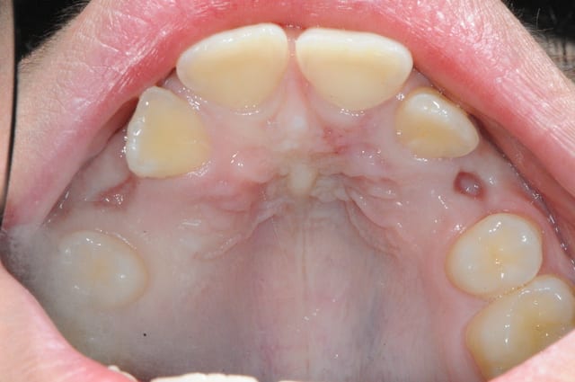
puis coté droit:


comme la canine 13 était très vestibulée, j'ai préféré faire un petit passage à travers l'os pour laisser passer le fil.

j'aimerai bien que les orthos me disent combien de temps ç prend ensuitr pour remettre la dent à sa place.
moi je ne les revois que beaucoup plus tard.

Dsc 2550 n20vlu - Eugenol
Dsc 2551 gh4ng5 - Eugenol
Dsc 2554 b3f8du - Eugenol
Dsc 2555 kwboeh - Eugenol

doagui

25/03/2013 à 19h15

Ca dépend sans doute des méthodes employées, mais compte environ 1mm par mois. Autant dire que parfois il faut être patient !


1 eugenol dmj5np - Eugenol
Dancha

25/03/2013 à 20h21

J’ai une certaine expérience du dégagement et de la traction des dents incluses, permettez-moi quelques petites remarques concernant les cas présentés par nos amis Pluton et Dentist57.

- La ligature simplement torsadée de Pluton est bien le meilleur système, car on peut la plier à n’importe quel endroit, à l’opposé de celle à anneaux, classique, qu’a utilisée Dentist57. Avec cette dernière, il est parfois difficile de passer une ligature dans un anneau encore partiellement dans la gencive, alors que le précédent est déjà trop loin vers l’extérieur.

- Le collage direct de la ligature sur la couronne a malgré tout un défaut qui est le manque de liberté laissé à la canine pour basculer le cas échéant et se déplacer. Ce peut être gênant quand la dent est profonde car il est alors souhaitable qu’elle puisse aller le plus librement possible dans la direction qu’on veut lui donner et la présence d’une ligature collée directement crée un ensemble dent-ligature un peu trop rigide. On peut prendre comme image celle d’un train qu’on aimerait faire rouler sur une voie qui tourne à droite alors que ses wagons ont été soudés entre eux quand ils étaient sur une voie tournant à gauche (ou l’inverse).
Dans les cas de canines très proche, comme celles qui viennent d’être montrées ça ne pose pas de problème, mais c’est à éviter pour les canines profondes.
La simplification du collage n’est pas un argument suffisant, j’ai moi-même toujours réussi à coller un bouton, quelque soit la profondeur de l’inclusion.

- La traction telle qu’elle est montrée par Pluton va bien si la dent est très proche et le mouvement à réaliser peu important. Lorsqu’elle est profonde, il faut utiliser un fil ressort cantilever qui offre à la fois une grande amplitude de mouvement et une force légère et contrôlée.

À propos du temps nécessaire, c’est très variable. Une étude que nous avons menée et présentée en novembre 2012 aux JO puis à l’ADF montre que sur 65 canines incluses consécutives dégagées et tractées au cabinet par système CT8 de mai 2005 à mars 2012 chez des patients de 9 à 50 ans, la durée de mise en place a varié de 6 mois à 38 mois pour les 55 cas terminés.


Daniel


3f3boxni50k58rq7e9ce9ddqrxgk - Eugenol
dentiste57

25/03/2013 à 21h32

je fais appel à ton expérience;
1
peux tu me dire si ,il y a un intérêt à faire une tranchée intra-osseuse ou non (comme sur le coté droit)?

2
les chainettes en or c'est pas mieux ?


Asphodele wfksth - Eugenol
Asphodèle

25/03/2013 à 22h42

J'ai eu bien plus de problèmes de ligatures de traction avec les chainettes en or (anneaux/fixation à la base qui s'ouvrent/lâchent sans raison...avec nécessité de re-intervenir chirurgicalement) qu'avec la simple ligature torsadée à anneaux que tu as prises en photos


1 eugenol dmj5np - Eugenol
Dancha

26/03/2013 à 11h36

dentiste57 écrivait:
--------------------
> peux tu me dire s’il y a un intérêt à faire une tranchée intra-osseuse ou non
> (comme sur le coté droit)?

Je pense que oui. Et dans les cas de canine haute, on peut aussi utiliser l’alvéole déshabitée de la canine temporaire qu’on a supprimée (voir second montage photo ci-dessous).

> les chainettes en or c'est pas mieux ?

Non :
En plus des casses qu’a invoquées Asphodèle dans le message précédent, tout comme les ligatures à anneaux elles obligent à un système d’accrochage supplémentaire au niveau de la partie active.
Pour moi, le meilleur système est la simple ligature torsadée qu’on plie à la demande après le fil de traction comme sur les photos ci-dessous. Lorsque la canine évolue, le fil de ligature sort plus et il suffit de le raccourcir et de le replier sans rien changer d’autre.

Daniel

P.S. Je peux envoyer en PDF à ceux qui le désireraient et ne sont pas abonnée à la « Revue d’ODF » l’article que nous y avons écrit en 2009 sur la traction des canines incluses. Faire demande en MP avec vrai nom, coordonnées en clair et adresse mail.

26 03 2013 10 30 29 o7rrua - Eugenol
26 03 2013 10 34 17 facbzq - Eugenol