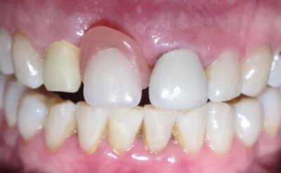
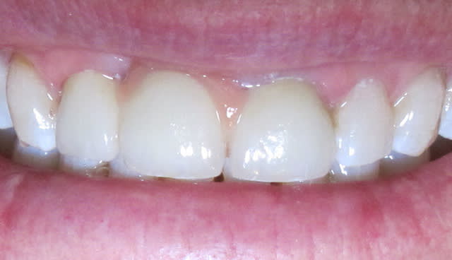
Cookie Consent byPrivacyPolicies.com1er bridge full Zircone - Eugenol

1er bridge full Zircone

la dent du président

25/03/2013 à 22h06

Je suis prêt pour les critiques n'hésitez pas.

Oui les photos sont mauvaises.

Merci.

Img 5804 rvn38o - Eugenol
Img 5813 bhh1tm - Eugenol
Img 5820 kowclt - Eugenol
Img 5815 gymgib - Eugenol
Img 5816 okgijh - Eugenol

RépondreCiter
G-P

25/03/2013 à 23h31

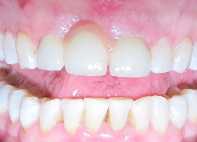
J'aurai bien aimé une photo sans l'amovible, mais à mon avis il était possible de faire autre chose qu'une fausse gencive céramique moche.

Si le patient est démuni, joli boulot.


RépondreCiter
Photo pluton1b h9n4ea - Eugenol
pluton

25/03/2013 à 23h43

+1...
j'aurais bien aimé voir le défaut osseux/gingival dessous...
parce que quitte à faire le bridge, un bon steak de conjonctif enfouis pour redonner du volume au niveau de la dent absente, un bridge prov pendant la phase de cicat avec un ovate pontique et amha plus besoin de cette fausse gencive...

mais bon, certains plus doués que moi auront peut être de meilleures idées...


la dent du président

26/03/2013 à 00h52

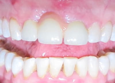
Pour ce cas: pas de temps et pas d'argent, donc solution de compromis.
J'essaye de poster des photos sans la pap.

Merci


Bebe 038 nf8eum - Eugenol
danteyeah

26/03/2013 à 00h55

Full zircone??? ça existe la zircone rose?
C'est une chape zircone et un cosmétique céramique plutôt non?

Je crois malheureusement que le pronostic paro en mesial de la 21 risque d'être compromis par la fausse gencive (difficulté de nettoyage), et que la proposition de pluton aurait été plus judicieuse pour l'avenir.


Smile beach jgh0a1 - Eugenol
Céramik

26/03/2013 à 02h45

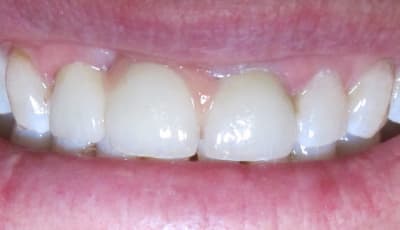
Pourquoi faire un bridge si rapidement ?
Plus on va vite pour faire plaisir, plus on fait des compromis.
L'état paro du bas est super moche.
La 21 aurait du être allongée apicalement, elle est moins longue que la 12...
Pour la mucco, faut voir photo et radio.


--
Céramik


129 fucieh - Eugenol
rs4

26/03/2013 à 09h08

moi je dis +1 , pârce que si tout le monde faisait aussi bien, ce serait déjà très bien ...


Humator t9r5wy - Eugenol
humator

26/03/2013 à 09h45

cas difficile, donc bravo tout d'abord.
le problème ici sont les embrasures effectivement.
quelques pistes que j'aurais exploré:
1 d'accord pour le conjonctif enfoui, on gagne du volume.
2 les dents sont assez peu hautes, on pourrait en profiter pour faire des élongations coronaires sur les incisives.
Ces 2 éléments conjugués auraient peut etre pu supprimer la ceram rose...
Une radio serait interessante.
Merci pour te jeter dans l'arène! le patient est il satisfait? (n'oublions pas que c'est le critère principal!)

--
N.Hum


Don quichotte xrbqem - Eugenol
Don Chicot

26/03/2013 à 11h30

Bon, c'est pas de la full zircone apparemment, il faudrait changer le titre du fil car on ça prête à confusion.
perso, j'ai posé un bridge full zircone de 17 à 15 recemment, tip top.


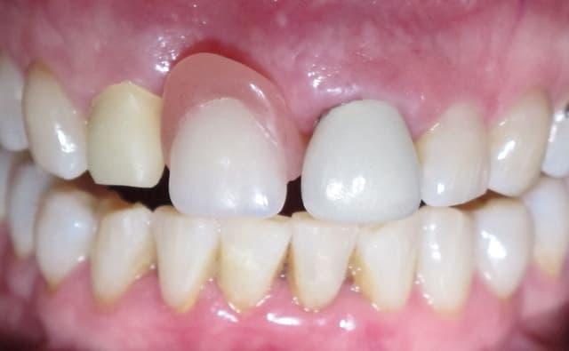
la dent du président

26/03/2013 à 17h43

Merci pour vos réponse j essaie de poster une rx demain.

La 21 a été retouchée après la photo

Img 5806 jqg7yr - Eugenol

Nouveau image bitmap fz77zh - Eugenol
Sethef

26/03/2013 à 18h12

Pas emballé. L'esthétique est certes sympathique, mais il sera absolument impossible pour le patient d'assurer une hygiène correcte là-dessous. Paro à prévoir de manière rapide...

Cas d'implant pour moi (et quand je dis pour moi, c'est pour mon correspondant).
Si vraiment on se tourne vers le bridge, pourquoi pas élongation coronaire 21, ce qui aurait permis de fermer le diastème de manière plus conventionnelle...


Désolé, j'aime pas être négatif quand on fait l'effort de présenter des cas, c'est trop rare sur le forum. La critique est facile, l'art...


la dent du président

26/03/2013 à 18h16

C est par la critique que je progresse et éviterai les mêmes erreurs....
Pour mon correspondant, impossible de faire un implant.


Capture d  cran 2013 02 02   21.02 - Eugenol
gouj-euros

26/03/2013 à 21h02

Pourrais tu m'expliquer quels sont les éléments de la consultation qui ont orienté ton choix vers une restauration en zircone? y'a t'il réellement un intérêt a utiliser ce matériaux qui n'a aucun réel recul clinique ( et surtout sur des bridges antérieurs) et qui a mon sens n'est pas aussi bon et fiable qu'un bon vieux bridge CCM...le rapport bénéfices/risques ne me semble pas en faveur de la réalisation de ce types de restaurations...après si vous voulez être les beta-testeurs des labos qui nous rabâchent la tête depuis qqs temps à tout va avec leur magnifique zircone....je pense que les revendeurs de fraises a couper la zircone ont de beaux jours devant eux...


G-P

26/03/2013 à 21h38

Pour un petit bridge comme celui-ci, une armature zircone est toute indiquée. C'est vraiment très solide (attention je ne cautionne pas ce plan de traitement ici).
Je fais régulièrement des bridges à armature zircone, avec la précision de l'usinage c'est beaucoup mieux que du céramo-métal.


RépondreCiter
Capture d  cran 2013 02 02   21.02 - Eugenol
gouj-euros

26/03/2013 à 21h48

G-P écrivait:
-------------
> Pour un petit bridge comme celui-ci, une armature zircone est toute indiquée.
> C'est vraiment très solide (attention je ne cautionne pas ce plan de traitement
> ici).
> Je fais régulièrement des bridges à armature zircone, avec la précision de
> l'usinage c'est beaucoup mieux que du céramo-métal.


on peut aussi usiner une chape métal... Ce qui me gène c'est qu'il n'y a aucun réel avantage à utiliser ce matériaux par rapport aux différents problèmes liés à celui-ci (hydrolyse? collage au tissus dentaires? collage de la cosmétique?...)...avec une préparation correcte et une empreinte digne de ce nom je ne vois pas pourquoi un bridge base zircone serait plus indiqué q'une CCM


la dent du président

26/03/2013 à 21h51

Pas de CCM car après une longue discussion avec le prothésiste, cela nous a paru être la solution la plus esthétique dans ce cas (diastèmes importants)

Voilà la radio.

2013 03 26 20.14 - Eugenol

Capture d  cran 2013 02 02   21.02 - Eugenol
gouj-euros

26/03/2013 à 21h56

en quoi la zircone (opaque) serait-elle plus esthétique qu'une CCM? Je ne me fais pas l'avocat de la CCM mais la mode zircone me dépasse...


la dent du président

26/03/2013 à 22h16

Et bien là je sèche...


G-P

26/03/2013 à 22h35

Tu prends le problème à l'envers. Pourquoi utiliser ici du métal quand on peut faire une chape zircone ?
Quel prothésiste usine du chrome-cobalt ? J'en connais aucun. Le seul métal que mon labo usine c'est le titane.


Capture d  cran 2013 02 02   21.02 - Eugenol
gouj-euros

26/03/2013 à 22h44

La référence est matière de prothèse fixée c'est quand meme la CCM ( recul clinique le plus important).....donc je repete ma question qu'apporte la zircone? surtout qu'en CCM on peut avoir des résultats beaucoup plus esthétiques que le cas présenté.....

Pour ce qui est du cas, je trouve aussi que l'implant est beaucoup plus indiqué. Ce cas est un cas "complexe" si on veut le réhabiliter par technique fixe sur moignon dentaire ( diastème, hauteur des dents, forme du pontic....). Pour moi ce cas c'est soit implant soit restauration fixée conventionelle de l'ensemble du secteur incisivo canin avec chirurgie parodontale pour rendre la forme des dents plus harmonieuses et eviter la fausse gencive....autant te dire qu'avec tout le HN ( elongations coronaire et couronnes sur dents vitales) l'implant revient moins cher


1 okqrab - Eugenol
Léonard

27/03/2013 à 04h26

gouj-euros écrivait:
--------------------
> La référence est matière de prothèse fixée c'est quand meme la CCM ( recul
> clinique le plus important).....donc je repete ma question qu'apporte la
> zircone? surtout qu'en CCM on peut avoir des résultats beaucoup plus esthétiques
> que le cas présenté.....

Armature zircone : esthétique et bio compatibilité +++
Pas de liseret disgracieux au collet a moyen terme .

Ccm beaucoup plus esthétique ???

Je plussois à la manière de poser la question de GP...


Bazaruto 2007 ircsez - Eugenol
jumpingjackflash

27/03/2013 à 08h55

je préfère un allongement coronaire de 2mm sur la 21 à 2mm de céramique rose sur la 11


129 fucieh - Eugenol
rs4

27/03/2013 à 09h05

bravo au courage de "la dent du president" ne nous avoir presente son cas


parce que lire que tout le monde ou presque aurait fait mieux pour une tel boulot , et bien moi j'aurais les boules à sa place







on ne travaille pas toujours avec les meilleures conditions, fric, délais, angoisse alors soyez un peu indulegnt avec un courageux svp


la dent du président

27/03/2013 à 09h10

Merci pour vos réponses, conseils et critiques, j'en prends bonne note.

Excellente journée à tous.


Icon poker h4nm2d - Eugenol
jeff

27/03/2013 à 13h53

Admettons que implant pas possible ( ? ). Il faut quand même pensez chir muco.

chez moi, la greffe conjonctive est à 350 €. Donc, un peu de conjonctif, une petite élongation coronaire et on evite surement la fausse gencive, comme l'ont dit mes petits camarades..

Tu fait un bridge ccm, la difference de cout entre les deux solution est nulle, la greffe compense la zircone.

Mon ancienne associée avait fait un book avec ses cas pour montrer aux patients. Il y avait 2 belles ccc sur 11 21, avec 2 mm d'ecart de hauteur de collet. c'est dommage.

Si tu n'a jamais fait : quelques DVD oeil dentaire, et roule. le conjonctif enfoui, c'est pas tres compliqué.


12