Cookie Consent byPrivacyPolicies.comcomme Pessoa: MADRID où les étudiants français achètent leur - Eugenol

comme Pessoa: MADRID où les étudiants français achètent leur diplôme

1309531 ours brun n5iukf - Eugenol
seespan

30/03/2013 à 04h27

chicot29 écrivait:
------------------

> Merde, contrat 4eme année 10 extractions et 5eme année 20. A ton avis , si au
> lieu de perdre son temps à apprendre des cours magistraux de merde oubliés sitôt
> l'examen passé on faisait 200 ou 300 extractions, je pense qu'il y aurait moins
> de stress aux premiers remplas. Mais c'est pas cher un cour magistral , hein ?
> un prof pour 100 élèves, c'est une autre paire de manche pour surveiller 100
> gusses qui bossent en bouche.

En effet vous avez cerner en partie le problème, la clinique coute cher car il faut les enseignants pour encadrer.
Un court magistral coute beaucoup moins chers.

Il y a juste un léger problème, la clinique coute beaucoup moins cher a l'état qu'a une école privé.
L’hôpital lui il peut travailler a perte ( c'est meme comme ça que l'on sait que c'est un hopital et pas une clinique :-) )

Fac : publique

- peut travailler a perte ( d'ailleur c'est le cas pour tout les centre de soins dentaire entre 20% et 60% de déficite.
- paye les MC, assitant, attaché en nature ( petit salaire, mais possibilité de mettre le titre sur la plaque ce qui en ville universitaire n'est pas un mince avantage, plus bien sur les double coéfficient pour les MC et possibilité de dépassement ).

Ecole privée

- a un budget par téte d'étudiant inférieur a la fac ( et oui meme pour les écoles privée Espagnol qui sont ce qui de plus cher ).
- Doivent payer les prof de leur poche. Tu veux bosser pour Pessoa ce que tu gagnes c'est ce qu'il te donne pas d'autre avantage. Vous comparer avec le cout horaire d'un cabinet et vous voyer que les profs qui encadre la clinique vont couter super cher. La solution est simple il faut en embaucher le minimum possible. Donc la proportion prof éléve sera obligatoirement plus faible qu'en fac publique.

- Ne peut pas travailler a perte ( c'est un peut contre le principe de rentabilité ) mais doit pratique des tarifs qui attire les patients. Ben oui mois la persepective de passer deux heures a me faire soigner par un étudiant ( meme si il a le bac ) sa me réjouit moyen, donc il faut qu'il y est un avantage. A la fac on sait que c'est moins cher qu'en cab pour certain acte, plus les étudiants sont encadrer par des prof qui ont très bonne réputation.
Mais une école privé c'est quoi son argument ? Le prix ? Le meilleur acadrement ? Ils font comment alors ?

Ben il limite la clinique pour limiter leur coût.
Pourquoi croyer vous que Pessoa ne veut pas donner les nom de ses prof, simple pour la clinique ils n'ont personne de valable. i.e ils ne peuvent pas payer suffisamment pour avoir de très bon praticien qui lâche le cab pour venir encadrer des étudiant une ou une demi journée en clinique.

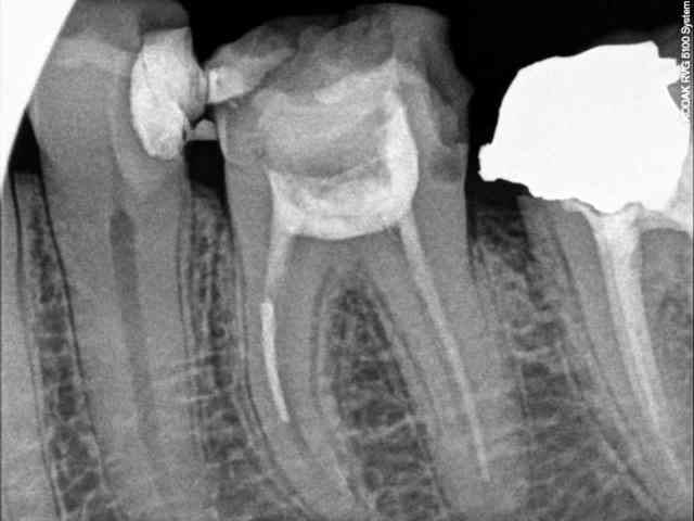
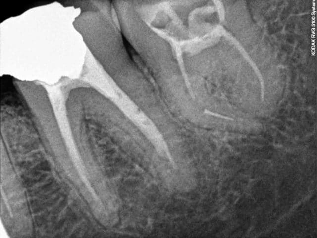
Les étudiants roumains qui font leur endo sans radio vous choque ? Bonne nouvelle ils sortent de la fac publique vous avez des écoles privée ou ils n'ont quasiment pas de patient.

> Je suis docteur parceque j'ai passé un thèse d'exercice de pacotille, putain je
> ne me rapelle meme plus le nom précis de ma thèse, ( Genre :analyse à la
> microsonde électronique de l'interaction de surface entre amalgames et
> différents screw posts), mon père docteur lui aussi mais en
> géophysique-géochimie 2 fois es-science rigole et il a bien raison. (Au fait
> merci papa de m'avoir prêté et mis la microsonde du service de géochimie à ma
> disposition quelques heures).

Non sans la thèse de dentaire est une vaste blague ? J'était pas au courant!!!!

Avec les écoles privée c'est toute la formation qui est une vaste blague


--
หมอจัดฟัน


P2eqdh3csim6s7nb09ktdq3e7ev8 - Eugenol
barbabapat

30/03/2013 à 08h25

TTDAM écrivait:
---------------
> Purée, les boulets !!!!
> Ben oui, faut de la thune pour faire des études .
> Et si tu n'as pas de thunes, faut s'endetter.
>
> Dans les autres pays, les gens s'endettant, ça fait des enragés du boulot
> pendant leurs 10 premières années .
> Tout le contraire de la France.
> --
> TTDAM

Désolé, tu peux être un enragé du boulot en France, mais pour gagner de l'argent, il faut en perdre le moins possible dans la réalisation des soins. Entre les soins réalisés à perte et les plaisirs de la collaboration quand ça se passe mal, ça ne pousse par à prendre du plaisir dans le travail.

Et en plus, tout cela pour ce prendre une réputation d'arnaqueurs.


dentalproject

30/03/2013 à 09h44


...


Dog wwyerg - Eugenol
TTDAM

30/03/2013 à 10h04

Oui, oui, désolé pour vous tous.
Mais je peux parler par expérience :
J'ai déjà eu pas mal de collabos, dont certains qui sont encore en contact avec moi, et que j'assiste en cas de difficulté .
Ceux qui sont installés et en réussite, sont ceux qui ne font pas de réflexion syndicale et qui foncent en mettant le maximum de chances de leur côté.

Installation là où les praticiens manquent (et pas là où il y a pléthore), achat raisonné de matériel pour éviter la cata 2 ans après , étude de marché et adaptation au marché qu'ils ont choisi, développement des compétences qui manquent à leur marché (et pas pour le plaisir de faire une formation ou un DU pourri à mettre sur sa carte de visite mais qui sert à rien).

Un diplôme n'est pas synonyme de réussite professionnelle. Après faut encore réfléchir et se battre pour progresser intelligemment.
Et une fois qu'on a réussi , après de longues années de bataille, faut encore réfléchir pour éviter (ou retarder) le déclin inéluctable.

Bienvenu dans le monde réel ( qui ne correspond pas à ce que votre professeur vous a dit à l'école )


--
TTDAM


1309531 ours brun n5iukf - Eugenol
seespan

30/03/2013 à 10h19

TTDAM écrivait:
---------------
> Oui, oui, désolé pour vous tous.
> Mais je peux parler par expérience :
> J'ai déjà eu pas mal de collabos, dont certains qui sont encore en contact avec
> moi, et que j'assiste en cas de difficulté .
> Ceux qui sont installés et en réussite, sont ceux qui ne font pas de réflexion
> syndicale et qui foncent en mettant le maximum de chances de leur côté.

Sur quand le nombre de nouveau dentiste aurait était multiplié par deux ou trois le fait de ne pas avoir eu de réflexion syndical va les aider a mort. Comme le fait de devoir faire 70% de leur acte a perte ou d'avoir leur tarif de prothèse encadrée par les mutuelles.

>
> Installation là où les praticiens manquent (et pas là où il y a pléthore), achat
> raisonné de matériel pour éviter la cata 2 ans après , étude de marché et
> adaptation au marché qu'ils ont choisi, développement des compétences qui
> manquent à leur marché (et pas pour le plaisir de faire une formation ou un DU
> pourri à mettre sur sa carte de visite mais qui sert à rien).

Merde TTDAM qui reconnait qu'en fait il faut savoir utiliser sa tête pour faire dentiste !!! Une mini-révolution est en marche.
Serte il parle de chose que l'on apprend pas vraiment a la fac mais il part quand même du principe qu'il faut être capable de faire des raisonnement abstrait.
Donc entre autre peut étre qu'avoir une confiance aveugle dans ce que dise les commerciaux ou le dentiste pour qui l'on travail ( mais oui amis jeunes achéte mon cab, affaire en or, 40 ans de bénéf ), ce qui suppose d'avoir un minimum de formation théorique. Ben oui quand on commence a bosser moins de temps pour potasser les bouquins. Il faut aussi les bases pour comprendre la littérature.

> Un diplôme n'est pas synonyme de réussite professionnelle.
Généralement ce n'est pas un handicape non plus :-),

Après faut encore
> réfléchir et se battre pour progresser intelligemment.
> Et une fois qu'on a réussi , après de longues années de bataille, faut encore
> réfléchir pour éviter (ou retarder) le déclin inéluctable.
>
> Bienvenu dans le monde réel ( qui ne correspond pas à ce que votre professeur
> vous a dit à l'école )

Yep, ça on sait que l'on apprend pas tout a la fac, en particulier tout ce qui est gestion, mais ce que l'on apprend ( la thèorie ) sert quand même un minium.

Pour TTDAM un jeune en sortant de fac semble être complètement déconnecté de la vie réel. Putain de jeunes ils finissent et il découvre que en fait il n'y pas que le sex dans la vie, il y a aussi le fric ( surtout le fric atteint un age certain )!!.

PS: ici en asie gagner de l'argent est très très bien vue, par contre étre pauvre c'est la honte. Mes prof sont donc très au fait coté finance, parler gestion, rendement , marge bénéfice ne leur pose pas de problème.
--
หมอจัดฟัน


P2eqdh3csim6s7nb09ktdq3e7ev8 - Eugenol
barbabapat

30/03/2013 à 12h10

TTDAM écrivait:
---------------

> Installation là où les praticiens manquent (et pas là où il y a pléthore), achat
> raisonné de matériel pour éviter la cata 2 ans après , étude de marché et
> adaptation au marché qu'ils ont choisi, développement des compétences qui
> manquent à leur marché (et pas pour le plaisir de faire une formation ou un DU
> pourri à mettre sur sa carte de visite mais qui sert à rien).
>
L'etude de marché est simple meme dans les secteurs où les praticiens manquent. C'est éviter de prendre les urgences qui plombent le carnet de rendez vous pour des clopinettes et les renvoyer à n'importe qui sur le secteur en remerciant le couillon de service en menacçant de le trainer devant le conseil de l'ordre si il fait mine de vouloir poursuivre ce qu'il a commencer en urgence.

C'est privilegier la prothèse devant les soins. Faire de l'inlay core - chape dans la meme empreinte, ca ne change pas grand chose par rapport à une richmond mais le patient est mieux remboursé.


>
> Bienvenu dans le monde réel ( qui ne correspond pas à ce que votre professeur
> vous a dit à l'école )
>

C'est faire ce genre de chose en endo, car oui, il y a plein de chose inutile que l'on apprend en fac. Les extractions, les adresser au maximum, car 'c'est pas rentable en cab et en cas de douleur post op ca te retombe dessus.

R5 aixda1 - Eugenol
R6 ehgmft - Eugenol

justepro

30/03/2013 à 14h45

TTDAM écrit:
" Purée, les boulets ! Ben oui, faut de la thune pour faire des études et si tu n'as pas de thunes, faut s'endetter.
Dans les autres pays, les gens s'endettant ça fait des enragés du boulot pendant leur 10 premières années. Tout le contraire de la France"



Je ne suis pas contre les études payantes, l'enseignement coûte cher, c'est une évidence.
Mais pour entrer dans une université Nord américaine à 40000$, il faut avoir un super bon dossier, il ne prenne pas n'importe qui et sûrement pas le dernier des glandus comme il peuvent le faire à Madrid ou en Roumanie !
De plus, dans ces universités américaines, il y a un système de bourse pour aider les étudiants méritants défavorisés !

Qu'on ne mélange pas tout !!! Ne comparons pas les universités américaines aux universités de MADRID ou de PESSOA.

En plus t'imagines le collaborateur qui commence sa vie professionnelle avec un prêt sur le dos. Une fois qu'il aura payer sa rétrocession, la CARCD, l'URSSAF et son prêt pour ses études, il n'aura plus qu'à aller manger aux restos du coeur. T'es inhumain toi !

En général, c'est les parents qui payent pour leurs rejetons à Madrid, n'inquiète pas! ils ne vont rien rembourser.


Dog wwyerg - Eugenol
TTDAM

30/03/2013 à 16h11

"Pour TTDAM un jeune en sortant de fac semble être complètement déconnecté de la vie réel"

C'est tout à fait exact, et c'est dû à l'enseignement bisounours de la faculté où des enseignants qui n'exercent plus ou peu, en cabinet ( parfois depuis plusieurs années ) ou qui ont un cabinet HN , donnent des conseils sur l'un exercice déconnecté du monde réel.

Et je me contrefous de leurs diplômes, ce que je regarde, c'est ce qui est applicable.
On ne soigne pas en milieu hospitalier mais en cabinet.
--
TTDAM


king_zoulou

30/03/2013 à 16h15

TTDAM écrivait:
---------------
> Purée, les boulets !!!!
> Ben oui, faut de la thune pour faire des études .
> Et si tu n'as pas de thunes, faut s'endetter.
>
> Dans les autres pays, les gens s'endettant, ça fait des enragés du boulot
> pendant leurs 10 premières années .
> Tout le contraire de la France.
> --
> TTDAM

Nan mais c'est quand même drôle de voir tous ces "libéraux" hurler au loup dès qu'un peu de libéralisme apparaît en France. Et surtout, surtout, surtout, c'est drôle de voir tous ces gens être choqué que le système français, qui est UNIQUE AU MONDE (les concours, les prépas, les grandes écoles, le tout gratuit) finisse par s'effondrer pour se transformer progressivement en ce qui se fait PARTOUT AILLEURS et qui de toute évidence, marche beaucoup beaucoup beaucoup mieux dans tous les domaines si l'on en croit et l'effondrement de la France dans tous les classements qui touchent de près ou de loin à la santé ou l'éducation (ce qui nous intéresse ici) et le fait que le monde entier envie notre modèle mais que personne ne le copie.


RépondreCiter
1309531 ours brun n5iukf - Eugenol
seespan

30/03/2013 à 16h18



--
หมอจัดฟัน


1309531 ours brun n5iukf - Eugenol
seespan

30/03/2013 à 16h19

Une annee au U.S c'est 40000 euro ou 60000 dollars.
Si tu es admis les banque pretent, car les revenus sont plus ou mois assurer due au faite que :

Les dentistes ne bossent jamais a perte
Le nombre de praticiens dans chaque etat est controler

Par contre pour integrer bonne chance c'est ultra concurentiel, y a un nonolien qui a essayer y a peut de temps.
500 dentistes etrangers qui tenter le concourt pour 20 places. La P1 c'est une ballade de sante a coter.



--
หมอจัดฟัน


1309531 ours brun n5iukf - Eugenol
seespan

30/03/2013 à 16h37

C'est quoi les pays qui ont une meilleur situation bucco dentaire que la france sans reguler le nombre et la formation de leur soignant ? Le portgal , l'espagne ou la roumanie ?

Liberalisme ne signifie pas que c'est la jungle king Zoulou . Les U.S sont ulta reguler sur les profession de santer, idem pour le canada australie et new zealand. Par contre ici c'est pas loin d'etre le farewest

--
หมอจัดฟัน


justepro

31/03/2013 à 13h43

King Zoulou écrit:
" Nan mais c'est quand même drôle de voir tous ces libéraux hurler au loup dès qu'un peu de libéralisme apparait en france "


Et bien sûr, tu ne hurleras pas quand il y aura 10 dentistes venus d'Espagne ou de Roumanie ( je parle de dentistes français qui auront fait leur études en espagne) qui s'installeront en face de chez toi ou même un centre LOW COST. Tu ne hurleras pas quand tu auras trois patients par jour pour un det à 28,92.
C'est ça le libéralisme !

Ces facs sont là pour faire du fric avec les étudiants étrangers et s'en foutent des problèmes que cela peut engendrer dans les pays voisins.
Et face à cette surpopulation, comment la sécu réagira t'elle ? en nous imposant des quotas ?


king_zoulou

31/03/2013 à 20h13

justepro écrivait:
------------------

> Et bien sûr, tu ne hurleras pas quand il y aura 10 dentistes venus d'Espagne ou
> de Roumanie ( je parle de dentistes français qui auront fait leur études en
> espagne) qui s'installeront en face de chez toi ou même un centre LOW COST. Tu
> ne hurleras pas quand tu auras trois patients par jour pour un det à 28,92.
> C'est ça le libéralisme !

Pas du tout: soit je serai meilleur et les patients le sauront grâce à la communication et les divers labels qui seront posés sur ma plaque. Soit je serai moins bon et je changerai de métier. C'est ça le libéralisme ! Et surtout: c'est ça la vie, depuis 4 milliards d'année, s'adapter ou mourir.


RépondreCiter
justepro

01/04/2013 à 00h10

King zoulou écrit:
"Pas du tout : soit je serai meilleur et les patients le sauront grâce à la communication et les divers labels qui seront posés sur ma plaque ..."

OK King zoulou, j'espère que tu seras le meilleur. Mais il ne faut pas penser qu'à soit même, mais à l'ensemble de la profession. Il y a des dentistes qui travaillent honnêtement et bien et qui n'ont peut-être pas la prétention de devenir le meilleur. Et ça m'embête de les voir se faire flouer par d'autres moins honnêtes, c'est tout.

Quand à la perception du patient sur la compétence de son praticien, on peut écrire une thèse !


Capture d  cran 2015 03 12 12.28 - Eugenol
chicot29

01/04/2013 à 00h20

justepro écrivait:
------------------
> King Zoulou écrit:
> " Nan mais c'est quand même drôle de voir tous ces libéraux hurler au loup dès
> qu'un peu de libéralisme apparait en france "
>
>
> Et bien sûr, tu ne hurleras pas quand il y aura 10 dentistes venus d'Espagne ou
> de Roumanie ( je parle de dentistes français qui auront fait leur études en
> espagne) qui s'installeront en face de chez toi ou même un centre LOW COST. Tu
> ne hurleras pas quand tu auras trois patients par jour pour un det à 28,92.
> C'est ça le libéralisme !
>
En toute logique les soins opposables sautent, la sécu saute la carcdsf saute tu as le choix de ton assurance de faire ta propre retraite comme tu l'entends et les honoraires sont libres. Il est certain que si tu ouvres les vannes avec des soins opposables et les charges d'un régime socialiste c'est mur direct.


king_zoulou

01/04/2013 à 02h07

justepro écrivait:
------------------

> OK King zoulou, j'espère que tu seras le meilleur.

Je ne me fais aucun souci là-dessus: c'est pour ça que j'ai anticipé et commencer à préparer ma sortie de la profession.

> Quand à la perception du patient sur la compétence de son praticien, on peut
> écrire une thèse !

Détrompes-toi, on peut faire mieux, on peut faire BEAUCOUP mieux. A un point que tu n'as même pas l'air d'imaginer ;)


RépondreCiter
1309531 ours brun n5iukf - Eugenol
seespan

01/04/2013 à 04h49

king_zoulou écrivait:
---------------------

> > Quand à la perception du patient sur la compétence de son praticien, on peut
> > écrire une thèse !

> Détrompes-toi, on peut faire mieux, on peut faire BEAUCOUP mieux. A un point que
> tu n'as même pas l'air d'imaginer ;)

Bon King zoulou a l'aire d'avoir trouver la solution, ce mettre en position d'employer des dentiste et monter un centre.

Why not ?
Le truc qui me fait m'inquiété pour lui c'est qu'il a l'aire d'avoir une vision faussée du libéralisme.
Espérons qu'il est plus au fait des questions économique.

Au fait c'est quoi les pays qui ont une profession dentaire déréguler au niveau de la formation et du nombre de praticien et qui font mieux que la France ?

Déjà c'est pas les U.S ils sont réguler de chez réguler et ils font moins bien que la France pour plus cher.

Des exemples, des exemples !!!!!!!

Et bien sur ce qui me surprend le plus c'est de voir les grand absent de ses débats, ceux qui ont et vont faire pencher la balance du coté de la régulation. Vous allez rire c'est les même qui sont a l'oeuvre en Thaïlande.



@chico 29

Il n'y a rien qui vous empêche de vous installer en non conventionner !! Si vous souhaitait franchir le pas c'est le moment, la situation est infiniment plus favorable que si vous attendez que ça soit imposer a l'ensemble des dentistes, plus avec les petits nouveau former au technique low cost de chez low cost ayant un emprunt a rembourser.

Si vous voulez du libéralisme avec de la concurrence sauvage vous allez être servie :-)

Sinon MST va aller défendre le NC devant le parlement Européen. Et encore une fois il n'y a rien au niveau de la lois européen qui oblige l'état a conventionner un dentiste ou un médecin.
--
หมอจัดฟัน


Capture d  cran 2013 02 02   21.02 - Eugenol
gouj-euros

01/04/2013 à 05h16

seespan écrivait:
-----------------
> king_zoulou écrivait:
> ---------------------
>
> > > Quand à la perception du patient sur la compétence de son praticien, on peut
> > > écrire une thèse !

> >
> > Détrompes-toi, on peut faire mieux, on peut faire BEAUCOUP mieux. A un point
> que
> > tu n'as même pas l'air d'imaginer ;)
>
> Bon King zoulou a l'aire d'avoir trouver la solution, ce mettre en position
> d'employer des dentiste et monter un centre.
>
> Why not ?
> Le truc qui me fait m'inquiété pour lui c'est qu'il a l'aire d'avoir une vision
> faussée du libéralisme.
> Espérons qu'il est plus au fait des questions économique.
>
> Au fait c'est quoi les pays qui ont une profession dentaire déréguler au niveau
> de la formation et du nombre de praticien et qui font mieux que la France ?
>
> Déjà c'est pas les U.S ils sont réguler de chez réguler et ils font moins bien
> que la France pour plus cher.
>
> Des exemples, des exemples !!!!!!!
>
> Et bien sur ce qui me surprend le plus c'est de voir les grand absent de ses
> débats, ceux qui ont et vont faire pencher la balance du coté de la régulation.
> Vous allez rire c'est les même qui sont a l'oeuvre en Thaïlande.
>
>
>
> @chico 29
>
> Il n'y a rien qui vous empêche de vous installer en non conventionner !! Si vous
> souhaitait franchir le pas c'est le moment, la situation est infiniment plus
> favorable que si vous attendez que ça soit imposer a l'ensemble des dentistes,
> plus avec les petits nouveau former au technique low cost de chez low cost ayant
> un emprunt a rembourser.
>
> Si vous voulez du libéralisme avec de la concurrence sauvage vous allez être
> servie :-)
>
> Sinon MST va aller défendre le NC devant le parlement Européen. Et encore une
> fois il n'y a rien au niveau de la lois européen qui oblige l'état a
> conventionner un dentiste ou un médecin.
> --
> หมอจัดฟัน

un ophtalmologiste svp jé male o zieu


1309531 ours brun n5iukf - Eugenol
seespan

01/04/2013 à 05h25

C'est parce que tu dors pas assez, quand on surf sur nonol a trois heures du mat c'est normal ...

--
หมอจัดฟัน


king_zoulou

01/04/2013 à 16h24

Les Pays-Bas ?

PS: par contre, je pense que c'est toi qui a une vision assez fausse du libéralisme. Comme, quoi, 99,999% des français ?


Roger federer 300x217 eqdnuv - Eugenol
Patatrasse

08/04/2013 à 16h35

Tribune libre dans l'Indépendentaire

Pessoa 001 wxsilg - Eugenol

Capture d  cran 2015 03 12 12.28 - Eugenol
chicot29

08/04/2013 à 16h42

seespan écrivait:
-----------------


> @chico 29
>
> Il n'y a rien qui vous empêche de vous installer en non conventionner !! Si vous
> souhaitait franchir le pas c'est le moment, la situation est infiniment plus
> favorable que si vous attendez que ça soit imposer a l'ensemble des dentistes,
> plus avec les petits nouveau former au technique low cost de chez low cost ayant
> un emprunt a rembourser.
>

Favorable ? ))))))) Déjà que quand tu parles de Hn il n'y a plus personne...... Tant que les patients se font enfler par leur mutuelle pour financer l'ED de quelques couronnes ca va aller....


justepro

08/04/2013 à 17h01

Et une fois que PESSOA sera fermé, où pensez-vous que les étudiants PESSOA iront ?
En ESPAGNE, bien sûr, là où ces universités privées existent et au final ça revient au même !


P2eqdh3csim6s7nb09ktdq3e7ev8 - Eugenol
barbabapat

08/04/2013 à 17h07

justepro écrivait:
------------------
> Et une fois que PESSOA sera fermé, où pensez-vous que les étudiants PESSOA iront
> ?
> En ESPAGNE, bien sûr, là où ces universités privées existent et au final ça
> revient au même !

Oui et non car à un moment ou un autre l'espagne aussi aura une surpopulation de dentistes par rapport à ses besoin. Donc les pays qui aujourd'hui sont passés par des facs privés pour compenser un manque de praticiens ne pourront pas continuer indefiniment à former des prats qui à terme seront inutile si un jours on fait réellement de la prevention.

Enfin après avoir gouter à la liberté tarifaire espagnole, il est plus interessant à aller s'intaller ailleur en europe plutot qu'en france.

Ceux formés par PESSOA ne sont pas sur aujourd'hui de pouvoir travailler en france et ailleur en europe encore moins (les italiens ayant empeché une telle ecole sur leur sol)


12345...