Cookie Consent byPrivacyPolicies.comPulpotomie - Eugenol
Avatar hjdsnm - Eugenol
TiGabi

27/03/2013 à 19h28

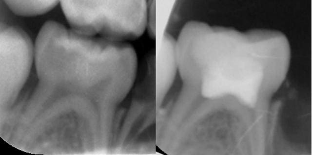
PULPOTOMIE DE DENT TEMPORAIRE

DÉFINITION :
Éviction de la pulpe camérale.

PRINCIPE :
La dentine d'une dent temporaire a des tubulis plus larges et nombreux qu'une dent permanente. En cas d'une atteinte dentinaire moyenne à profonde, la pulpe camérale est contaminée et donc potentiellement inflammatoire ou nécrosée.
On considère que, par contiguïté, la pulpe camérale est plus contaminée que la pulpe radiculaire. La pulpe radiculaire, à distance et ayant un fort potentiel de défense, a moins de probabilité d'un état pathologique. Suite à l'éviction de la pulpe camérale, l'observation clinique des moignons pulpaires radiculaires est primordiale : ceux-ci doivent avoir un aspect sain pour que l'on puisse les conserver.

INDICATIONS :
- Caries amélo-dentinaires atteignant le tiers profond d'une dent temporaire.
- Certaines caries amélo-dentinaires du tiers moyen : lésions étendues et/ou enfant à risque carieux élevé.

CONTRE-INDICATIONS :
- Dents en fin de stade III (proches de la perte physiologique).
- CI générales (risque oslérien, immunodépression)

PROTOCOLE :
- Anesthésie : doit être parfaite : la section de la pulpe ne peut pas etre réalisée sans cela.
- Isolation : la projection de salive ou de sang au contact de la pulpe radiculaire que l'on souhaite conserver est un facteur d'échec.
- Éviction carieuse : complète avant l'effraction pulpaire pour la même raison.
- Cavité d'accès : même principes que pour tout traitement endodontique : elle doit permettre l'accès et la visualisation de tous les canaux.
- Éviction de la pulpe camérale : avec une fraise boule sur contre-angle stérile (qui n'a pas servi pour l'éviction carieuse).
- Hémostase : coton sec. Permet le diagnostic de l'état de la pulpe radiculaire (si saignement persistant = inflammatoire, si aucun saignement = nécrosée).
- Obturation de la chambre : idéalement MTA ou biodentine. L'IRM (ZnO/Eugénol) est un bon compromis cout/efficacité).
- Restauration : étanche ! Sinon échec...

PRONOSTIC : excellent. 95% de succès. Les échecs possibles sont la nécrose de la pulpe radiculaire ou des résorptions radiculaires. Les causes d'échec sont : erreur de diagnostic clinique de la pulpe radiculaire, contamination par salive ou débris carieux.

COTATION : SC7 = 16,87 euros.

Pulporad rhh0i8 - Eugenol
Pulpo1 epzdx0 - Eugenol
Pulpo2 pdvpdc - Eugenol

santon

27/03/2013 à 21h59

Super résumé.

Où te trouves-tu Ti Gabi que je t'emmène mon enfant s'il lui arrive quelque chose ?

Je pense plus à de la traumato parce que je contrôle le brossage ..... pour l'instant...


DentR

28/03/2013 à 10h58

Merci pour ce cas Tigabi!
J'aurais juste une question : restauration au compo sur un polycarieux?
Pourquoi ? Je ne suis pas sûre que cela soit la restauration la plus adaptée ds ce cas la. Je peux me tromper!
Merci


Capture d  cran 2015 03 12 12.28 - Eugenol
chicot29

28/03/2013 à 12h23

Très beau boulot tigabi. Tes cerams doivent être hors de prix pour compenser le déficit de tes soins pedo.


Avatar hjdsnm - Eugenol
TiGabi

28/03/2013 à 14h16

DentR : c'est du Fuji Equia + Fuji Coat.
Chicot29 : je ne fais pas de prothèse :) Tu me taquines je pense :p


magnague

28/03/2013 à 14h31

Quel clamp utilises tu pour les dents de lait? Moi je n'arrive pas à les faire tenir...


Shey

28/03/2013 à 16h42

Tu déconseilles le coton+hypochlorite après avoir arrêté l'hémostase?


Avatar hjdsnm - Eugenol
TiGabi

28/03/2013 à 18h06

- Pour les crampons : crampons à mords dentelés 12A et 13A d'Hygienic (sur les photos, exceptionnellement, c'est un crampon prémolaire : les autres étaient à a sté).
- Pour le coton : sur des pulpotomies de dent permanente immature, je désinfecte la cavité à la chlorhexidine, rince au serum physiologique puis utilise des cotons stériles. Sur des dents temporaires, de simples cotons secs non stériles, pas de désinfection : j'ai peu de complications infectieuses.


Blocperso talon jer3sl - Eugenol
mrquentin

28/03/2013 à 20h29

salut tigabi;
tu dis que tu désinfecte ta cavité pulpaire avec de la chlorhexidine: quelle marque utilises tu? (pas de bain de bouche j'imagine)
quand tu cotes SC7 pour la pulpo, tu recotes un SC7 par dessus pour le composite? Est-ce une cotation valable pour une pulpo faite en urgence qui sera suivi d'une pulpectomie (chez l'adulte of course) la séance suivante?
jolies photos en tout cas


Avatar hjdsnm - Eugenol
TiGabi

28/03/2013 à 20h56

mrquentin écrivait:
-------------------
> salut tigabi;
> tu dis que tu désinfecte ta cavité pulpaire avec de la chlorhexidine: quelle
> marque utilises tu? (pas de bain de bouche j'imagine)

Des petites pipettes achetées en pharmacie : je ne sais pas la marque. Je ne désinfecte pas la chambre pulpaire mais la cavité après éviction carieuse, avant de faire la cavité d'accès.

> quand tu cotes SC7 pour la pulpo, tu recotes un SC7 par dessus pour le
> composite? Est-ce une cotation valable pour une pulpo faite en urgence qui sera
> suivi d'une pulpectomie (chez l'adulte of course) la séance suivante?

SC7 correspond uniquement à la pulpotomie : on cote ensuite la reconstruction (SC7, 12 ou 17).
La pulpotomie est un traitement "définitif" : la cotation n'est pas possible pour une pulpotomie d'urgence avant pulpectomie. Une radio n'est pas nécessaire.


Bbpanda vyfmu4 - Eugenol
kung fu panda

30/03/2013 à 15h02

Merci pour ce post TiGabi, tes interventions sont toujours très intéressantes.
Actuellement je prépare un mémoire pour un DU sur les applications de la biodentine en odontologie pédiatrique.

Aurais tu des articles ou des livres à me conseiller à ce sujet?

D'avance merci


santon

30/03/2013 à 22h25

Ah bon, pas de radio post-op ?
J'ai appris à en faire une de "contrôle" systématiquement près la pulpotmie.


PopHip

31/03/2013 à 11h56

Et on côté combien pour la pulpo d'urgence dont on sait d'avance (et on l'aura constaté) que le bonhomme ne reviendra pas pour faire la pulpec ?


santon

31/03/2013 à 14h05

Les cotations n'ont jamais tenu compte des conditions cliniques ni des circonstances...

Côte une consultation à ce moment là


Amir CHAFAIE

31/03/2013 à 14h07

Bonjour à tous,

J'apporte quelques éléments de réflexion à ce sujet. De réflexion, je précise.

D'après les explications du précédant message, l'indication de la pulpotomie est posée à partir d'une radiographie (carie profonde, atteignant les 2/3 de l'épaisseur de la dentine ou parfois la moitié de cette épaisseur).
Cela ne tient pas compte de la symptomatologie dentaire, ni de la localisation de la lésion (en proximal ??) ni du type de lésion carieuse (à progression lente ou rapide, avec ou sans réponse pulpaire et de la présence ou non de la dentine réactionnelle).
La notion de stade, bien que totalement obsolète (car ne correspondant à rien de concret ni de mesurable) est également mise de côté (et je dirai timidement tant mieux).
Nous faisons donc un diagnostic de l'état pulpaire sur une simple constatation radiologique. Tenez-vous bien, nous sommes les seuls à penser cela ! Toutes les sociétés savantes (anglaises, américaines, australiennes, et j'en passe et ....) ont (re)pensé la chose. Ainsi, la pulpotomie n'est indiquée que lorsque l'éviction de la lésion carieuse entraîne une expostion pulpaire, toute condition de santé pulpaire étant réunie, par ailleurs. Donc la clé n'est pas le diagnostic radiologique mais bel et bien la symptomatologie. Il est même préférable de mettre tous les moyens en oeuvre pour éviter de telles expositions.

http://www.aapd.org/media/Policies_Guidelines/G_Pulp.pdf

Les caries profondes doivent être traitées par l'emploi d'un matériau de coiffage (indirect) associé à une restauration coronaire étanche. L'éviction de la carie pouvant se faire en 1 temps ou de manière séquentielle.

Pour apporter de l'eau au moulin de la réflexion et lancer un nouveau débat, j'ajouterai seulement que cette attitude (pulpotomie systématique dans les lésions carieuses profondes) que nous employons (étonnant de ma part, non ?) correspond étrangement à deux choses qui lui donne "sens".

1. l'amalgame d'argent, dépourvu de toute étanchéité, toute bioactivité et toute adhésivité, encore plébiscité par certains, ne pouvait (et n'a donc pas pu) assurer l'étanchéité coronaire dont tout coiffage a besoin. Le principe fut donc : vaut mieux une bonne pulpotomie qu'un mauvais coiffage !!!! (et je l'ai enseigné !)

2. L'éviction de certaines lésions carieuses par des procédés conventionnels aboutit très fréquemment à une exposition pulpaire car la micro-dureté de la dentine "conservable" est faible. Nous nous préparons ainsi à faire une pulpotomie, d'emblée, connaissant notre échec "prévisible" dans le positionnement de la limite de notre préparation mécanique.

Les progrès actuels de diagnostic, et les progrès futurs (nous sommes qu'au début) permettront une meilleure compréhension et une meilleure prise en charge de la carie, sur le plan thérapeutique. Nous devons par conséquent privilégier la biologie. La pulpe de la dent temporaire est bien différente de l'image qu'on lui attribue.

Amicalement

Amir CHAFAIE




Amir CHAFAIE

31/03/2013 à 14h07

Bonjour à tous,

J'apporte quelques éléments de réflexion à ce sujet. De réflexion, je précise.

D'après les explications du précédant message, l'indication de la pulpotomie est posée à partir d'une radiographie (carie profonde, atteignant les 2/3 de l'épaisseur de la dentine ou parfois la moitié de cette épaisseur).
Cela ne tient pas compte de la symptomatologie dentaire, ni de la localisation de la lésion (en proximal ??) ni du type de lésion carieuse (à progression lente ou rapide, avec ou sans réponse pulpaire et de la présence ou non de la dentine réactionnelle).
La notion de stade, bien que totalement obsolète (car ne correspondant à rien de concret ni de mesurable) est également mise de côté (et je dirai timidement tant mieux).
Nous faisons donc un diagnostic de l'état pulpaire sur une simple constatation radiologique. Tenez-vous bien, nous sommes les seuls à penser cela ! Toutes les sociétés savantes (anglaises, américaines, australiennes, et j'en passe et ....) ont (re)pensé la chose. Ainsi, la pulpotomie n'est indiquée que lorsque l'éviction de la lésion carieuse entraîne une expostion pulpaire, toute condition de santé pulpaire étant réunie, par ailleurs. Donc la clé n'est pas le diagnostic radiologique mais bel et bien la symptomatologie. Il est même préférable de mettre tous les moyens en oeuvre pour éviter de telles expositions.

http://www.aapd.org/media/Policies_Guidelines/G_Pulp.pdf

Les caries profondes doivent être traitées par l'emploi d'un matériau de coiffage (indirect) associé à une restauration coronaire étanche. L'éviction de la carie pouvant se faire en 1 temps ou de manière séquentielle.

Pour apporter de l'eau au moulin de la réflexion et lancer un nouveau débat, j'ajouterai seulement que cette attitude (pulpotomie systématique dans les lésions carieuses profondes) que nous employons (étonnant de ma part, non ?) correspond étrangement à deux choses qui lui donne "sens".

1. l'amalgame d'argent, dépourvu de toute étanchéité, toute bioactivité et toute adhésivité, encore plébiscité par certains, ne pouvait (et n'a donc pas pu) assurer l'étanchéité coronaire dont tout coiffage a besoin. Le principe fut donc : vaut mieux une bonne pulpotomie qu'un mauvais coiffage !!!! (et je l'ai enseigné !)

2. L'éviction de certaines lésions carieuses par des procédés conventionnels aboutit très fréquemment à une exposition pulpaire car la micro-dureté de la dentine "conservable" est faible. Nous nous préparons ainsi à faire une pulpotomie, d'emblée, connaissant notre échec "prévisible" dans le positionnement de la limite de notre préparation mécanique.

Les progrès actuels de diagnostic, et les progrès futurs (nous sommes qu'au début) permettront une meilleure compréhension et une meilleure prise en charge de la carie, sur le plan thérapeutique. Nous devons par conséquent privilégier la biologie. La pulpe de la dent temporaire est bien différente de l'image qu'on lui attribue.

Amicalement

Amir CHAFAIE




Avatar hjdsnm - Eugenol
TiGabi

31/03/2013 à 18h49

Amir Chafaie : je me fais exactement la même réflexion depuis quelques temps à force d'observation clinique. J'ai l'impression d'enlever une pulpe camérale saine dans beaucoup de cas.
De plus en plus, je ne fais des pulpotomies que dans le cadre d'effractions ou de dent symptomatique et laisse "tranquille" la pulpe dans les autres cas.

Mais, ce n'est pas ce que l'on apprend dans les facultés françaises actuellement.


Amir CHAFAIE

31/03/2013 à 21h12

Cher Tigabi, je suis content de savoir que ton sens clinique te conduit aux procédures et aux recommandations des sociétés savantes, pour ne parler que de l'AAPD. L'inverse serait triste et étonnant, surtout pour un praticien talentueux comme toi, à l'image de tes réalisations cliniques :-)
En ce qui concerne l'enseignement dans nos facultés, je pense que tu as tort. De plus en plus de facultés s'inspirent, pour leur enseignement, des recommandations de ce type, faute de document en français. Je ne sais pas de quelle faculté tu parles, mais tu n'as qu'à envoyer la recommandation AAPD à l'enseignant en question, s'il lit l'anglais !-).
(avec un peu de chance, tu n'es pas marseillais !!!!)
Cela dit, tu as également raison pour certains articles et certains enseignements qui ne tiennent pas compte des progrès actuels. Tant pis... Il faut donc continuer à explorer les données de provenance des académies étrangères. Il y a bien d'autres pistes de travail, notamment grâce à ce formidable outil qui se nomme internet.
Juste un petit mot pour le cas clinique que tu nous a exposé et qui est un cas d'école pour la pulpotomie : carie profonde, exposition pulpaire, persistance de carie autour de la lésion, etc. et décision de pulpotomie ! Et le reste magnifiquement bien réalisé ! bravo!
Amicalement
Amir CHAFAIE


1309531 ours brun n5iukf - Eugenol
seespan

01/04/2013 à 08h13

En spécialité dentaire ( et la pédodontie est reconnue comme une spécialité a part entière dans de nombreux pays ) on ne trouve pas grand chose en Français car trop peut de lecteur pour rendre une traduction rentable.

Au mieux vous avez les manuels de bases mais pour ce tenir au courant des évolutions il faut lire la littérature et la rien de rien en Français.

Sinon pour la pédo je sais pas mais pour l'endodontie et l'orthodontie beaucoup de ressource gratuite sur le net, ensuite si on est près a payer une somme modique ( abonnement revue principalement ) nous pouvons avoir dans tous les cas accès au donnée acquise de la science.

--
หมอจัดฟัน


Image odged8 - Eugenol
ploc

01/04/2013 à 09h39

TiGabi écrivait:
----------------
> DentR : c'est du Fuji Equia + Fuji Coat.


Bon produit,n'est ce pas?:))))


santon

01/04/2013 à 11h58

Bon produit si on applique bien le fuji COAT sinon pas de stabilité dans le temps : c'est un simple CVI comparé au fuji 2 LC qui est un CVIMAR

A l'ADF un conférencier ne validait pas l'EQUIA.


Avatar hjdsnm - Eugenol
TiGabi

01/04/2013 à 11h58

ploc écrivait:
--------------
> Bon produit,n'est ce pas?:))))

Du dernier congrès SFOP, j'ai ramené l'intra-osseuse systématique grace à Jean-Louis Sixou et l'Equia grace à Ploc :)


Amir CHAFAIE

01/04/2013 à 12h57

Bonjour

Il y a deux problèmes :
1. Il existe peu de documents en français et nous ne sommes pas bilingues !-(
2. Le peu de documents qui existent en français sont hélas parfois de mauvaise qualité ou peu précises. Voici un exemple qu'on trouve sur le net :

"Il existe deux types de pulpotomies en denture temporaire : vitale ou préventive, indiquée lorsque la pulpe est saine pour des dents en stade1 ou 2, fixatrice lorsque la pulpe est inflammatoire pour des dents en stade 2 ou 3."

mais :

a. Plus personne ne fixe la pulpe en France (risque biologique lié aux produits fixateurs)
b. Le notion de pulpotomie préventive fait sourire !

Ce document ne date pas de 30 ans mais de 3 ans ! donc voilà, apprenez l'anglais et documentez-vous !

Amicalement

Amir CHAFAIE


Amir CHAFAIE

01/04/2013 à 13h52

Bonjour

Nous sommes nombreux à préférer les versions modifiées par résine des CVI qui offrent, en odontologie pédiatrique, une rapidité de mise en oeuvre très appréciable.
Immédiatement après l'injection dans la cavité, le matériau est photopolymérisé (20 à 40 s. selon la profondeur avec une lampe de bonne qualité (600 mW/cm2). La mise en forme, soustractive par définition, s'effectue ensuite (et immédiatement) avec deux fraises diamantées bague rouge. Les résultats sont exceptionnels. Pas d'attente, pas de vernis (même si c'est un bien "nécessaire") et possibilité de "couche par couche" et enfin la possibilité de faire une technique sandwich pour les DPI. On peut même les "coller", mais cela est un autre sujet de discussion.
Les CVI conventionnels, sans résine, sont à préférer en cas d'allergie ou en cas de doute sur sa capacité de photopolymériser le matériau efficacement. Leur modelage est problématique, pour ne pas dire impossible immédiatement.
A avoir un CVI dans son cabinet, je vous conseille vivement le CVI-MR (RMGIC : en anglais ce qui vaut dire Resin Modified Glass Ionomer Cement), en capsule, obligatoirement, comme tous les CVI. Si vous avez la possibilité d'en avoir plusieurs, un CVI conventionnel condensable est souvent très utile, mais il faudra supporter "le temps qui traîne des pieds" et avoir installé votre champ opératoire dans les règles de l'art !

Amicalement

Amir CHAFAIE


Marque a3 orange fyvhyq - Eugenol
Marc Apap

01/04/2013 à 14h03

Salut Amir,
Ta proposition d'utiliser un CVIMAR me pose problème :
1/ Je crois que le Kalsogen ou l'IRM sont encore les produits préconisés et utilisés pour l'obturation de la chambre pulpaire. Un CVIMAR ne risque-t-il pas d'avoir quelques problèmes de polymérisation (et donc d'étanchéité à moyen terme) au contact d'un eugénate renforcé à prise rapide ? Je parle de la situation où l'on effectue dans la même séance la pulpotomie et l'obturation coronaire.

2/ Les CVIMAR (Fuji II LC) sont infiniment plus solubles dans la salive que ceux à prise chimique (Fuji IX Equia)et moins résistants en flexion. Les risques de "fonte" ou fracture de l'obturation en particulier occluso proximale sont très supérieurs.

3/ Enfin, il est impossible de les tasser ou fouler dans la cavité comme l'Equia ou autre, juste un peu avant la prise pour mieux plaquer la matrice contre la dent voisine (tu me diras que ce n'est pas indispensable, mais cela peut rendre des services).

En l'absence de pulpotomie, et pour de minuscules cavités sur dents de lait, pourquoi pas. Mais ce n'est souvent pas la majorité des cas que l'on rencontre.

Merci de nous donner ton sentiment à ce sujet.
Amicalement,
MA


12