Cookie Consent byPrivacyPolicies.comA quel moment une réhabilitation globale implanto-portée - Eugenol

A quel moment une réhabilitation globale implanto-portée peut elle être envisagée ?

Utilisateur banni

01/04/2013 à 17h06

,


flodec

01/04/2013 à 17h17

Quand un patient en fait la demande, que son état de santé ne présente pas de contre-indications, qu'il ait les moyens, et que son praticien compétent en cette discipline pose un diagnostic après analyse des différents examens (anamnèse, clinique, radio, photos, montages...) pour lui proposer un plan de traitement.


Marque a3 orange fyvhyq - Eugenol
Marc Apap

01/04/2013 à 17h23

;


albert

01/04/2013 à 17h36

Le pronostic de dents présentant une perte osseuse de 50 % est de 30 ans (étude de Wasserman), sous réserve d’un suivi parodontal. La réhabilitation globale implanto-portée est envisageable si tu penses mieux faire…


Icon poker h4nm2d - Eugenol
jeff

02/04/2013 à 15h24

La conservation de l'organe dentaire sur l'arcade n'est pas tout. Il faut prendre également en compte l'esthétique , la fonction et le confort.

J'ai en tête une patiente qui avait un suivi paro avec molaire et prémolaire en place. Mobilité , mais surtout énorme sensibilité au froid. Elle ne regrette pas du tout la perte de ses dents...

On aurait pu aussi tout dévitaliser et couronner, mais on est sûrement plus à trente ans d'espérance de survit .


Avatar jt8tlq - Eugenol
bogenom

03/04/2013 à 02h18

Personnellement et dans ma pratique de petit omnipraticien implanto de quartier c'est souvent après un héritage que ça passe


Utilisateur banni

12/10/2015 à 16h31

Votre avis?

Mise en chage imm diate 179 masvfe - Eugenol
Mise en chage imm diate 180 bf9u7f - Eugenol

Tumblr nbpd8ntwip1rsb3deo1 1280 hyinig - Eugenol
Enki

12/10/2015 à 17h01

On peut avoir quelques détails, en particulier l'âge du (de la ?) patient(e), fumeur ?....


S2y2o1v7q53ws4r5wy6ou8czrpom - Eugenol
pxav

12/10/2015 à 21h18

...

--
xbk
"Si tous ceux qui croient avoir raison n'avaient pas tort, la vérité ne serait pas loin" Dac Pierre


Utilisateur banni

13/10/2015 à 08h55

Enki écrivait:
--------------
> On peut avoir quelques détails, en particulier l'âge du (de la ?) patient(e),
> fumeur ?....

La patiente est née en 66, je ne sais pas si elle est fumeuse (le tabac n’est pas une contre-indication formelle à la pose d’implant), analyse sanguin ok.


Utilisateur banni

14/10/2015 à 20h42

?
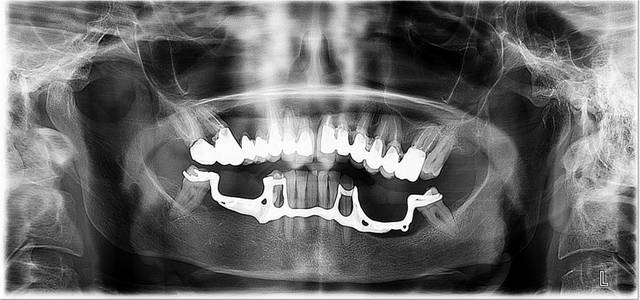
Patiente 57 ans non fumeuse

Image1 dndou1 - Eugenol

Tumblr nbpd8ntwip1rsb3deo1 1280 hyinig - Eugenol
Enki

14/10/2015 à 21h55

Je ne refuse jamais d'implanter un fumeur, si elle a une merde avec le tabac les implants dentaires ne seront sans doute pas son premier soucis. Avec une bonne contraception orale son AVC ou son IM l'auront avant la péri-implantite. C'était juste pour me faire une idée de la situation clinique.

Il n'y a que 2 traitements : tout garder ou tout virer. Les solutions mixtes implants+dents paro...je fais pas.

Mettons que le problème paro n'ai rien a voir avec une hygiène...disons ultra-déficiente... je proposerai un traitement radical :

On vire tout et on implante. 8 ou 10 implants qui dans ce cas est quand même beaucoup plus simple qu'un implant par dent qui nécessiteraient sans doute un sinus-lift.

Je ne conserve pas les dents dans ce cas car :

La patient est encore jeune. Ses dents vont de toute façon être extraites une par une dès qu'il n'y aura plus d'os pour les retenir (et donc plus d'os pour implanter). Quand elle aura 70 ans, et de longues années à vivre, elle sera un sub-totale, à 80 ans avec un complet qu'elle supportera difficilement. Son alimentation en pâtira fortement, son état de santé aussi.
Elle va perdre énormément en qualité de vie. D'abord elle va passer des années à venir tous les trois mois chez le dentiste pour ses surfaçages, détartrages, extrations, adjonctions..."jamais tanquille avec ses dents".

Je ne sais pas ce que donnera ce traitement sur 30 ans. J'ai appliqué ce traitement la première fois il y a presque 10 ans, j'ai revu le patient il y a un an, une pano => 0 problème. Il en va de même pour les autres. J'ai perdu un implant dans un cas. Il en reste 9 qui sont en parfaite santé.
J'entends les arguments des parodontologistes sur la durée de vie des dents paro, que le meilleur implant c'est la dent...

Mais je vois aussi le résultat des dents paro laissées avec des implants (translocation de germes).
Je vois qu'on ne peut plus implanter quand le patient a perdu toutes ces dents.
Je vois l'état de santé des patients édentés passés 80 ans vs les dentés du même âges.

Mais j'essaye de ne pas être dogmatique. Je ne demande pas mieux que de conserver des dents. Ca me fait toujours mal au coeur d'extraire une dent indemne de carie ce qui n'est pas le cas ici vu la pano.



Utilisateur banni

17/10/2015 à 12h56

Synthèse des différentes opinons exprimées dans ce sujet :

Examen de santé complet du patient pour écarter toutes contre-indications.
Prise en compte de la possibilité financière du patient et la motivation du patient
Anamnèse
Etude de la situation présente du patient, esthétique, fonctionnelle,
Etude du bénéfice de la procédure pour le patient : esthétique, fonctionnelle, confort
Examen clinique :
Examen des dents résiduelles et de leur pronostique exemple étude Wasserman
Examen radiographique
Rappel des règles de santé bucco dentaire
Constitution d’un dossier avec des photos pré-opératoire
Wax-up
Proposition du plan de traitement composé de ses éléments ainsi que d’autres alternatives
Ce qui ressort des remarques :
Formation du praticien
Privilégier le capital osseux à la conservation de l’organe dentaire
Privilégier le plan de traitement implanto-porté rationnel à un plan de traitement plus complexe
Prendre en compte l’âge du patient et l’évolution à long terme de sa santé

Cette synthèse ne veut pas dire que chaque participant est d’accord avec tous ces éléments mais permet à tout à chacun d’aborder des points exprimer et indiquer des points défaillants ou oubliés dans la synthèse.


Utilisateur banni

20/10/2015 à 14h18

Un exemple de réhabilitation globale implanto-portée :
Patient 55ans, fumeur
Doléance, maxillaire supérieur
Projet prothétique, mise en charge immédiate avec pose d’un bridge à armature métal sur pilier cone morse
Chirurgie, extraction, implantation, mise en charge immédiate
Projet implantaire 8 implants, prothèse fixe
Protocole de MCI POSITDENTAL
Le bridge est posé en fin de chirurgie sur les piliers prévus pour la prothèse d’usage. Il est maintenu en place par friction ce qui évite l’utilisation de ciment de scellement. Son insertion se fait par emboitement comme il est présenté sur la vidéo. Son retrait se fait par percutions avec un arrache couronne.
Pièces jointes :
OTP pré-opératoire
Vidéo de la pose du bridge
Cicatrisation des tissues moues à plusieurs mois





Otp pr  op wx6ukb - Eugenol
Dsc 0937 w5tzs0 - Eugenol

damdam

21/10/2015 à 12h51

Sans vouloir m'attirer les foudres.........

petite question : comment codez vous ces travaux avec la ccam?
Avez vous des devis types?

merci