Cookie Consent byPrivacyPolicies.comDevinette thai : the last case .... - Eugenol

Devinette thai : the last case ....

1309531 ours brun n5iukf - Eugenol
seespan

08/04/2013 à 06h00

Si joint une partie de la documentation de la dernière nouvelle patiente que j'aurais a prendre en charge durant la fin de mon master.

Cette patiente nous a était adresser par une clinique privée pour savoir si une option chirurgical pouvait être évitée.

La patiente se plein d'un sourire gingival et d'une incompétence labial.

1 Peut ont répondre au exigence de cette patiente par une solution autre que chirurgical
2 En cas d'option chirurgical quel problème doit on adresser dans l'élaboration du plan de traitement.



--
หมอจัดฟัน

1 a9utco - Eugenol
2 ddplmx - Eugenol
3 dnwxxs - Eugenol
4 p63cw5 - Eugenol
5 qaovu0 - Eugenol

1309531 ours brun n5iukf - Eugenol
seespan

08/04/2013 à 06h02

La suite des documents

--
หมอจัดฟัน

6 og7mig - Eugenol
7 lsoyft - Eugenol
8 gwnjik - Eugenol
9 ifzike - Eugenol
10 rkllpl - Eugenol

1309531 ours brun n5iukf - Eugenol
seespan

08/04/2013 à 06h04


la suite et fin
--
หมอจัดฟัน

11 kqzu0n - Eugenol
12 c5quc0 - Eugenol
13 flrlww - Eugenol
14 cxrffi - Eugenol
15 frymgw - Eugenol

edje ouaïse

08/04/2013 à 13h16

Une Thaï qui veut ressembler à une caucasienne !

Cocasse non ?


Pour ma part, je l'adresse d'abord à un psychiatre pour voir quelle est vraiment sa motivation ?
Veut-elle ressembler aux canons esthétiques caucasiens ? Veut-elle ressembler à une actrice ?

Pour moi ce n'est pas de l'ortho...

Angle goniaque qui merde


1309531 ours brun n5iukf - Eugenol
seespan

08/04/2013 à 13h30

edje ouaïse écrivait:
---------------------

> Pour ma part, je l'adresse d'abord à un psychiatre pour voir quelle est vraiment
> sa motivation ?

Sa motivation est un sourire gingival qui est considéré comme inesthétique en Thaïlande comme en Europe

> Pour moi ce n'est pas de l'ortho...

1 Vous avez regardèe la documentation ??
2 Regardez la documentation
3 Si vous avez un plan de traitement autre qu'ortho je suis preneur

PS : C'est un cas ou si je devais envoyer voir un spécialiste, le psychiatre ne serait pas le premier sur la liste.



--
หมอจัดฟัน


edje ouaïse

08/04/2013 à 13h32

Désolé, mais je ne trouve pas de photo de son sourire...

Moi, j'aime bien des asiatiques qui ressemblent à des asiatiques...etc

Après si elle veut se faire "charcuter" pour ressembler à une actrice asiatique au visage rond c'est son choix.


1309531 ours brun n5iukf - Eugenol
seespan

08/04/2013 à 13h35

En effet je n'ais pas de photo du sourire, la session prise de documentation initial ayant tournée court ( but my god why why why ? ).

Pour un ortho je pense que la cépahlo de profile est assez parlante.

--
หมอจัดฟัน


PasSiMechant

08/04/2013 à 13h41

Je ne suis pas orthodontiste (mais j'aimerais bien). J'essaie donc intuitivement :

Je constate :
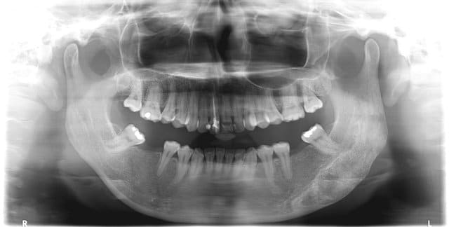
- Surplomb très important, recouvrement important. Egression du bloc incisivo-canin maxillaire.
- Angle goniaque très ouvert.
- Faible calage postérieur (absence de 36-37 et de 46-47).
- Mésio-version de 38/48.
- Protrusion mandibulaire (cf position des condyles sur la panoramique, cf position/axe du cou dans la photo de profil) probablement une compensation posturale pour tenter de diminuer l'espace inter-labial.
- Endoalvéolies des secteurs latéraux et postérieurs mandibulaires et maxillaires.
- Décalage du milieu inter-incisif maxillaire vers la droite (léger) et mandibulaire vers la gauche (plus important). Cependant, sur la radiographie panoramique où nous retrouvons la même décalage, le condyle gauche est pourtant plus en avant que le condyle droit.
- Présence de plaque et gingivite autour de 15, 16, 17 et 25, 26, 27 (cf forme de la gencive sur les moulages).
- Très probablement interférences en propulsion sur 38/48.
- Inversé d'articulé sur 35.
- Il y a des traces rigolotes sur l'os mandibulaire gauche. C'est louche.
- Gros composites sur la 11 dévitalisée.
- Le plan d'occlusion semble plus bas à droite qu'à gauche.
- Syndrôme de long face (palais étroit, profond, cernes sous les yeux, visage allongé).
- Léger encombrement dans le secteur antéro-maxillaire.


Ce que j'en déduits :
- 'y a du boulot.
- Elle semble jeune et les mécanismes de compensation semblent fonctionner puisque tu ne parles pas de plaintes de crispations musculaires, ni de douleurs. Malgré tout, sa posture n'est pas droite. Ceci ne saurait durer; en vieillissant, elle aura des douleurs, ne serait-ce qu'aux ATM et en haut du muscle trapèze.
- Les incisives maxillaires vont continuer à égresser si on ne fait rien. Rien ne les bloque, ni l'occlusion, ni la lèvre.
- Elle a probablement une respiration buccale (cf syndrôme long face). Ca n'aide pas pour l'incompétence labiale et l'esthétique.
- Sa posture compense ne partie ses problèmes d'esthétique, incompétence labiale, occlusion, etc.




Questions :
- Cette image osseuse sur la mandibule gauche est bizarre, elle n'aurait pas eu un trauma en fin de croissance qui aurait entraîné une différence de croissance entre la mandibule droite et gauche ?
- Elle n'aurait pas des crispations musculaires ?
- Elle n'aurait pas une déglutition primaire ?
- Est-ce que les boutons sont une manifestation psycho-somatique de ses problèmes autour de sa bouche ?




Objectifs de traitement :
- Reculer et ingresser le bloc incisivo-canin maxillaire.
- Remplacer les 36/37 et 46/47.
- Reconstruire sérieusement la 11.
- Corriger les blocages occlusaux (en statique et en dynamique).




Etapes : (intuitivement car je ne suis pas orthodontiste)

1) Traitement de la déglutition primaire (si présente), libérer la respiration nasale (si bloquée), traitement des crispations musculaires par un osthéopathe (si crispations), étude de cette image osseuse à la mandibule.

2) Elargir le palais, ceci débloquerait un peu l'occlusion, permettrait de vestibuler les dents mandibulaires et retrouver une enveloppe fonctionnelle plus saine.

3) Extraire 14/24 afin de pouvoir reculer le bloc incisivo-canin maxillaire. Cependant, ceci lingualerait l'axe de ces dents et augmenterait les problèmes; il faut donc les ingresser en même temps. Extraire 38/48 et remplacer les 36/37 et 46/47 avec un bon engrainement afin de reculer le condyle gauche au niveau du condyle droit, voire les reculer encore un peu afin de les replacer correctement.

4) L'ingression demandée au bloc incisivo-canin est quand même importante. Il pourrait être utile d'expliquer à la patiente qu'elle risque une résorbtion des racines. Dans ce cas, le traitement orthodontique pourrait servir à déplacer l'os (tracté en même temps que les dents), au pire, les incisives pourraient ensuite être extraites et remplacées par des implants.

5) Remplacer (par implants) les 36/37 et 46/47, couronner 16/17 et 26/27 afin d'obtenir une occlusion (statique et dynamique) correcte. Couronner la 11.



Ce qu'il ne faut pas faire : (à mon avis)
- Avancer les dents mandibulaires car cela augmenterait encore l'étage inférieur de la face.




Alors, j'ai pas dit trop de bêtises ??


1309531 ours brun n5iukf - Eugenol
seespan

08/04/2013 à 14h01

PasSiMechant écrivait:
----------------------
> Je ne suis pas orthodontiste (mais j'aimerais bien). J'essaie donc intuitivement
> :
>
> Je constate :
> - Surplomb très important, recouvrement important. Egression du bloc
> incisivo-canin maxillaire.

+1 en effet dure de corriger ça sans traitement orthodontique.


> - Protrusion mandibulaire (cf position des condyles sur la panoramique,

La panoramique n'est pas fiable pour interpreter la position des condyle
cf
> position/axe du cou dans la photo de profil) probablement une compensation
> posturale pour tenter de diminuer l'espace inter-labial.

La posture est par contre importante est sugére une respiration buccal.


> - Décalage du milieu inter-incisif maxillaire vers la droite (léger) et
> mandibulaire vers la gauche (plus important).

Elle est de plus class I canine d'un coté est class II de l'autre :-)



> - Il y a des traces rigolotes sur l'os mandibulaire gauche. C'est louche.


+10

En effet c'est la raison pour laquelle la séance prise de documentation a tourner court. Quand la pano est revenu nous somme aller directement consulter de département de chirurgie. Toute considération esthétique devenant subitement très très secondaire.

Résultat des courses ce n'est pas cancereux, par contre la lésion peut évoluer en taille si c'est la cas et qu'elle atteint les dents elle les déplacera. La lésion semble stable mais nous avons un recul de seulement six mois. Une limitation est quand cas de chirurgie orthognatique si le trait de fracture passe sur cette lésion il y a une chance pour que l'os ne se consolide pas. Par contre ils peuvent meuler l'os sur l'extérieur sans risque pour réduire la taille de la lésion.

Nous avons le feux vert du département pour commencer le traitement ortho quand quand .. ( ben oui il manque un truc encore :-) )

>
> Alors, j'ai pas dit trop de bêtises ??


Juste vous voulez ingresser qu'elle dents et comment ?

PS : Il y a un élément diagnostique important non cité


--
หมอจัดฟัน


PasSiMechant

08/04/2013 à 14h21

Oh, oui, je n'avais pas vu sur la téléradiographie de profil ! Elle a un angle goniaque bizarre. On dirait que sa branche montante est toute petite. Du coup, sa branche horizontale a une forme .. euh ... pas droite.


1309531 ours brun n5iukf - Eugenol
seespan

08/04/2013 à 14h24

PasSiMechant écrivait:
----------------------
> Oh, oui, je n'avais pas vu sur la téléradiographie de profil ! Elle a un angle
> goniaque bizarre. On dirait que sa branche montante est toute petite. Du coup,
> sa branche horizontale a une forme .. euh ... pas droite.

Sans réel importance, par contre nous la documentation clinique que j'ai donnée nous a amener a envoyer la patiente consulter un autre spécialiste.

Qui c'est qui donc le spécialiste ?
--
หมอจัดฟัน


Bebe 038 nf8eum - Eugenol
danteyeah

08/04/2013 à 15h35

seespan écrivait:
-----------------

> Qui c'est qui donc le spécialiste ?
> --
> หมอจัดฟัน

-ORL? cloison droite gauche très étroite, on dégage le cornet latéral?

- Parodontiste: Si la raison de la consulte est esthétique, ce serait bon d'avoir une analyse du parodonte, si des fois une élongation coronaire +/- associés à de la prothèse collée pourrait améliorer tous cela et simplifier l'ortho (notamment les ingressions compliquées).


1309531 ours brun n5iukf - Eugenol
seespan

08/04/2013 à 16h34

danteyeah écrivait:
-------------------
> seespan écrivait:
> -----------------
>
> > Qui c'est qui donc le spécialiste ?
> > --
> > หมอจัดฟัน
>
> -ORL? cloison nasale gauche très étroite, on dégage le cornet latéral

Les chirurgiens ne se sont pas inquiété de la cloison nasal.

Pour la paro ce n'est pas une solution envisagée.


--
หมอจัดฟัน


1309531 ours brun n5iukf - Eugenol
seespan

09/04/2013 à 05h21

C'était bien un ORL vers qui on va l'envoyer ( mais dans deux semaine car la c'est le songkran qui va commencer donc la Thailande tourne au ralentie) mais c'est pas les cloisons nasal qui nous on motivé :-) .

L'étroitesse des voie respiratoire +. les cernes sous les yeux + la posture en avant qui suggére une respiration buccal

Tout ça nous fais suspecter une apnée du sommeil. L'ORL va faire un examen complet et décider si il y a lieu de l'envoyer en centre du sommeil. La patiente ne se plain de rien mais vue qu'elle va subir une chirurgie bimaxillaire on veut un bilan complet.

A mon avis une des raisons de l'étroitesse sur la céphalo et le fait que la patiente est était obligée de ce tenir droite. Ça posture naturelle est plus penché probablement pour lui permettre de dégager les voies respiratoire.

En cas d'apnée du sommeil le plan de traitement chirurgical sera modifier pour dégager au maximum les voies respiratoire.

--
หมอจัดฟัน

Super etroit pxs0lr - Eugenol
Super large pnwqqu - Eugenol

Bazaruto 2007 ircsez - Eugenol
jumpingjackflash

09/04/2013 à 18h49

est ce que la patient dort dans la salle de radio?
sa positon de profil sur la photo et sur la radio me paraissent totalement différentes, la position pour la radio ne modifie-t-elle pas sa capacité respiratoire


exo

10/04/2013 à 02h14

bsr , bien vu , les cernes et la position de la tête nous guidai vers une respiration buccal , mais a penser a l apne du someil ;) merci pour le partage .


1309531 ours brun n5iukf - Eugenol
seespan

10/04/2013 à 04h29

jumpingjackflash écrivait:
--------------------------

> différentes, la position pour la radio ne modifie-t-elle pas sa capacité
> respiratoire

En effet ce que j'ai fait remarquer plus haut, la patiente se tien probablement la tête en avant pour dégager les voies respiratoire. Donc quand on fait la céphalo en lui demandant de se tenir droite les voies respiratoire sont comprimée.

Sinon tout les radios soufrent:
- d’être prise en position assise ou debout quand le patient dort allongé ( a part l'irm et certain CBCT qui sont conçus pour être utilisé allongé )
- d'être prise avec le patient éveiller et pas endormie le tonus musculaire est différent et est un facteur important. Les patients souffrant d'apnée du sommeil ne se bloque pas les voie respiratoire quand ils sont éveillé même allongée, mais seulement quand ils sont endormis. Ca c'est la vraie limitation .



La radio nous dit juste : attention problème possible, donc avant la chirurgie on envoie en consultation a l'ORL qui va examiner l'ensemble des voies respiratoire (endoscopie entre autre). Si il (enfin elle probablement) juge qu'une apnée est possible on enverras en labo du sommeil pour avoir un diagnostique définitifs.


--
หมอจัดฟัน


1309531 ours brun n5iukf - Eugenol
seespan

10/04/2013 à 05h51

Sinon pour en revenir au problème de départ :

On oublie le gros machin moche sur la mandibule, on oublie l'apnée du sommeil possible.

Cette patient vient vous voir pour un sourire gingival et une incompétence labial.

- si vous ne voulez pas faire de chirurgie quelle est votre plan de traitement ?
Et malgré ce qu'on l'air de penser certain avec ce deep bite et overjet (je suis sympa je passe sur la déviation des milieux interincisif )il s'agit bien d'un cas ortho.

- si vous voulez faire une chirurgie de quelle type?

--
หมอจัดฟัน


1309531 ours brun n5iukf - Eugenol
seespan

12/04/2013 à 04h49

Les difficultées sont :

- cette patient est squelettique class II avec une open configuration assez marquée ( hyperdivergente en Français je crois) ce qui est entre autre responsable de la position retrognathic du menton
- Il y a une forte compensation dentaire pour la class II, sur la céphalo de profile vous voyer qu'il y a rétroclination des incisives sup et proclination des incisives inférieur

Et c'est la que les problème sérieux commence car :

- malgré la compensation dentaire la patiente a un open bite marqué. Corriger cette open bite par de l'orthodontie seul nécessiterait soit d'augmenter la compensation dentaire et probablement faire sortir les incisives sup et/ou inf du processus alvéolaire ou procéder a un traitement par extraction de PM sup. Dans tout les cas le résultat esthétique serait probablement pire qu'au départ.

- malgré l'hyperdivergence squelettique la patient a une deepbite très marqué. Si vous voulez corriger l'hyperdivergence par intrusion des secteur postérieur vous augmenter mécaniquement le deepbite.

Par orthodontie et minivisse l'on peut réaliser une intrusion des incisives inf mais vue qu'elles sont procliné toute force intrusives les proclinerais encore plus. Le processus alvéolaire est de plus très fin. En théorie une intrusion est possible mais en pratique je n'ais aucune envie de tenter. Demander a Dancha ce qu'il en pense :-)


Sur ce cas si l'on met la patiente en class I squelettique il faut réaliser une intrusion de plus de 4 mm ce qui est aussi a la limite du possible. En plus des problème paro l'on peut prévoir un risque de résorption +++

Pas le temps de développer.

Je reviens de 4 jours :-)

--
หมอจัดฟัน