Cookie Consent byPrivacyPolicies.comFracture radiculaire sous couronne très récente. - Eugenol

Fracture radiculaire sous couronne très récente.

iknat

08/04/2013 à 13h34

VOila j'ai un patient qui appelle ce matin pour me décrire une fracture radiculaire sous une couronne + inlay-core que j'ai réalisé il y a 15 jours sur une 41...

Autant dire qu'il n'est pas enchanté de la situation et moi de même...

De mon point de vue la préparation a été réalisée dans les règles, tenon de longueur adéquate, préparation anatomique, sertissage de la couronne sur la racine.

Ce qui m'inquiète c'est comment se passe la prise en charge de la suite au niveau financier, je lui offre le traitement qui permettra de combler l'édentement ? ou je le rembourse de la partie non-remboursée par sa mutuelle ???

Je ne l'ai pas encore revu je préfère savoir quoi lui dire avant de le recevoir...

(a noter que comble de malchance, ce patient est plutôt casse-pieds, pour rester poli...)


dent2669

08/04/2013 à 13h54

Dans ce cas, je fais un devis du nouveau traitement à réaliser (implant, bridge ou autre), je l'imprime comme tel et je dis au patient que j'en déduirai ce qu'il m'a déjà réglé pour ce qui n'a pas fonctionné... je le mentionne éventuellement à la main sur le devis.

Ce système permet de réparer la casse sans perdre trop d'argent mais sans en gagner non plus au final.


JUAN

08/04/2013 à 14h32

n'oublie pas de prévenir ta RCP ça ne coute rien, ils sont là pour ça.


PasSiMechant

08/04/2013 à 14h58

Je me rappelle d'un président du conseil de l'ordre qui disait de ne SUUUUUUUUUUUUUUUUUUURTOUT pas rembourser un centime au patient.

Il expliquait qu'au regard de la loi, cela signifie que tu avoues implicitement avoir fait une faute (même si tu n'en as pas fait). Il expliquait aussi que dans ce cas-là, ni l'ordre, ni ton assurance ne pouvaient rien faire pour toi...


G-P

08/04/2013 à 15h05

Tu ne rembourses rien, tu ne déduis rien.
Tu peux éventuellement dire ORALEMENT au patient que tu lui fais une petite réduction sur l'implant.

P.S. Et tu évites de faire des Inlay-Core


41467 100000418256397 4215 n ypxyho - Eugenol
Blette

08/04/2013 à 15h12

C est la situation de m.... Par excellence mais ... Tu n'y est pour rien....
Et malheureusement c est toujours dur à régler...
Peut être à t il décapsule une canette avec les dents ce week end ou croque un truc tres dur mais ça il ne s'en vantera pas ...
La meilleur solution , couper la poire en deux....
Une réduction sur la réalisation qui suivra ...


41467 100000418256397 4215 n ypxyho - Eugenol
Blette

08/04/2013 à 15h13

Et RCP ...


celse

08/04/2013 à 16h37

quand le vois tu? parfois les situations décrites au téléphone sont complêtement différentes de la réalité...


Utilisateur banni

08/04/2013 à 16h42

Depuis qques années, j'ai mis les IC au placard: des casses, parfois rapides. Saoulant.

Que du collage maintenant: plus de casse. Sans compter que le jour où il faut démonter, c'est archi-cool. Avec l'IC, bonjour la kermesse.

La Caisse est venue me demander des comptes via un délégué: "pourquoi ne faites-vous aucun IC? C'est mauvais pour les statistiques départementales, vous comprenez." (véridique!)

Et de m'expliquer que si on partait d'un taux d'IC trop bas dans le département, la marge de manœuvre en terme de baisse de réalisation d'IC pour la CPAM locale était faible, et que ce n'était pas une bonne situation pour ladite caisse si son taux de baisse apparaissait faible vis à vis des autres Caisses départementales...Et remise d'une plaquette qui m'explique qd l'IC est indiqué...

J'ai halluciné. Et j'ai rien compris.

Donc collage.


jeff13

08/04/2013 à 16h52

En quoi un collage type tenon fibré est plus facile à demonter qu'un IC? Dans les deux cas, c'est la m....


Utilisateur banni

08/04/2013 à 19h40

jeff13 écrivait:
----------------
> En quoi un collage type tenon fibré est plus facile à demonter qu'un IC? Dans les deux cas, c'est la m....

Par démontage, j'entendais "bouzillage et je recommence". Le démontage des deux, IC ou fibre, moi j'oublie. Autre chose à faire de la journée.


X ray 03 medium zvq18j - Eugenol
cyber_quenottes

08/04/2013 à 23h43

Tapavuméclé écrivait:
---------------------
> Depuis qques années, j'ai mis les IC au placard: des casses, parfois rapides.
> Saoulant.
>
> Que du collage maintenant: plus de casse. Sans compter que le jour où il faut
> démonter, c'est archi-cool. Avec l'IC, bonjour la kermesse.
>
> La Caisse est venue me demander des comptes via un délégué: "pourquoi ne
> faites-vous aucun IC? C'est mauvais pour les statistiques départementales, vous
> comprenez." (véridique!)
>
> Et de m'expliquer que si on partait d'un taux d'IC trop bas dans le département,
> la marge de manœuvre en terme de baisse de réalisation d'IC pour la CPAM locale
> était faible, et que ce n'était pas une bonne situation pour ladite caisse si
> son taux de baisse apparaissait faible vis à vis des autres Caisses
> départementales...Et remise d'une plaquette qui m'explique qd l'IC est
> indiqué...
>
> J'ai halluciné. Et j'ai rien compris.
>
> Donc collage.
>
=======================================
NON , je confirme

dans le nord-Pas de Calais le taux d'IC etait de la moitie de l'ensemble du reste de la france

et il envisageaient de le faire baisser

l'administration de BRAZIL par exellence


iknat

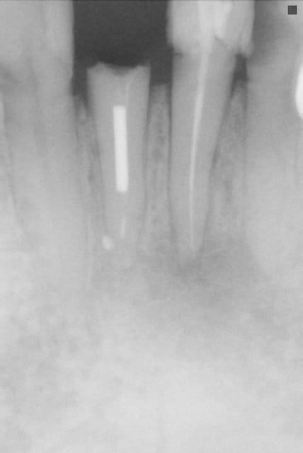
19/04/2013 à 11h03

Petite mise a jour, en réalité c'est l'inlay core qui s'est fracturé à 2/3 mm sous l’entrée radiculaire...
(il a croqué dans du pain grillé assez dur a priori c'est déjà comme ça qu'il avait fracturé la dent avant que je la couronne.)

A votre avis c'est récupérable ?


Sinon un bridge a ailette avec un très court ancrage radiculaire dans la racine résiduelle c'est envisageable ???

Honnêtement la je suis un peu démuni...

20130412 1 1 - Eugenol

carototo

19/04/2013 à 11h21

ca va être chaud a récupérer.
un bridge avec ailettes et tenon court, c'est aà mon sens une fausse bonne idée, à terme, les ailettes vont se décoller, d'abord une sur les deux, puis infiltration, etc.
si j'ai bien vu, le voisines ne sont pas très en forme, alors pourquoi pas faire trois ceram solidarisées?
on peux faire plus élégant, ( extraction, implant), mais faire trois ceram solidarisées me semble être une solution fiable, rapide, simple.


Bebe 038 nf8eum - Eugenol
danteyeah

19/04/2013 à 14h49

iknat écrivait:
---------------
> Petite mise a jour, en réalité c'est l'inlay core qui s'est fracturé à 2/3 mm
> sous l’entrée radiculaire...
> (il a croqué dans du pain grillé assez dur a priori c'est déjà comme ça qu'il
> avait fracturé la dent avant que je la couronne.)
>
> A votre avis c'est récupérable ?
>
>
> Sinon un bridge a ailette avec un très court ancrage radiculaire dans la racine
> résiduelle c'est envisageable ???
>
> Honnêtement la je suis un peu démuni...

Sérieux cette radio c'est de la provocation par les temps qui court sur Eugénol, retire là avant que tous les teigneux ne te tombent dessus. Reprends déjà tous les soins à reprendre visible (y a du boulot!), Si t'as scellé plutôt que collé ton IC, essaye les US avec insert endo type ET 20 ou 40, avec et sans eau.


 mg 0207 xwjxcl - Eugenol
Tillc

19/04/2013 à 14h54

G-P écrivait:
-------------
> Tu ne rembourses rien, tu ne déduis rien.
> Tu peux éventuellement dire ORALEMENT au patient que tu lui fais une petite
> réduction sur l'implant.
>
> P.S. Et tu évites de faire des Inlay-Core

Et tu vas commencer a pleurer dans 2 ans parce que tes patients se cassent.
Non il faut pas etre aussi ferme tu deduits le cout non remboursé de ta CCM sur le futur implant et c' est tout


denty352

19/04/2013 à 15h02

C'est bizarre que l'inlay core se soit fracturé, Le CoCr ne casse pas comme ça , c'est peur être un défaut de coulée.
Avais tu vérifié le guide antérieur ?


denty352

19/04/2013 à 15h05

Je tenterais peut être d'enlever quelques mm du tenon cassé avec une toute petite fraise boule long col sur CA bague rouge et des radios de contrôle. La manœuvre reste très risquée, mais la dent est déjà compromise...

Il te reste la solution de couronner les dents voisines.
Vu leur état,une solution globale serait plus judicieuse.


al13

20/04/2013 à 19h38

tout a fait d'accord avec Tillc

le travail est beaucoup trop récent pour se dédouaner .


cette semaine , j'ai eu un peu le même problème : fracture inter-radiculaire sous une 47 avec inlay core + ccm
mais réalisée il y a 3 ans , la j'ai dit que c’était implant et pas de remise .

la fracture de l'inlay sur la 41 est pas mal , pas sauvable , c'est vrai que autour c'est pas top ;)

La solution que je réalise +- 2 fois / mois pour ce genre de cas : extraction + mise en charge immédiate avec provisoire réplique des anciennes dents extraites
En 1h 30 , c'est plié et on est tranquille
Et pour G P , que le patient fume ou pas je le fais idem ))))


Dabitz

20/04/2013 à 19h45

Vu la tête de l'endo et la patate au bout de la racine, c'est peut être pas plus mal que l'IC ai cassé...

Perso je déduirai le prix de la couronne du prix de l'implant...


Img 1392 s73srk - Eugenol
Guttaman

20/04/2013 à 19h51

Franchement, avec une trousse de Machtou (Thomas)...faut 1/4 heure pour l'enlever ;-)
(Bien sûr sans délabrer la racine outre mesure. C'est une 41, donc même en dégageant 1,5 mm autour de la tête du tenon, ça va...).


Olieve

20/04/2013 à 20h07

On n'a qu'une radio du cas mais on peut en tirer pas mal d'enseignement :

la 42 a un gros compo mésial
la 41 est foutue avec réaction apicale
la 31 idem
la 32 présente une carie énorme, qui une fois curetée, ne devrait plus laisser grand chose de plus qu'une racine.

Franchement l'endo sur les incisives inférieures c'est souvent source d'échec, les IC ou tenons sur ces mêmes dents n'en parlons même pas.

Mon plan de traitement c'est de tout virer et 3 solutions :

Bridge 43-33 si elles sont ok
Bridge 4 dents sur 2 implants.
Stellite.

Pas facile à présenter au patient, je suis d'accord...


Img 1392 s73srk - Eugenol
Guttaman

20/04/2013 à 20h19

Virer la 42 et la 32 parce qu'il y a un composite mésial/carie ?...bin voyons...
Je connaissais les pulp-lovers et les pulp-killers...maintenant il y a les teeth-killers...


youn

20/04/2013 à 20h30

Iknat... T'as sérieusement couronné ça?


Olieve

20/04/2013 à 20h44

Guttaman écrivait:
------------------
> Virer la 42 et la 32 parce qu'il y a un composite mésial/carie ?...bin voyons...
> Je connaissais les pulp-lovers et les pulp-killers...maintenant il y a les
> teeth-killers...

Non pas parce qu'il un composite mésial/carie, parce que ce patient a une 41 et une 31 à remplacer.


12