Cookie Consent byPrivacyPolicies.comsatisfaction professionnelle - Eugenol

satisfaction professionnelle

paulinedent

09/04/2013 à 20h24

Bonsoir,

Je suis une jeune dentiste, je travaille depuis 2 ans environ en collaboration. Je suis très stressée dans mon travail, par exemple par les dévitalisations, si je n'arrive pas à l'apex je ne suis pas satisfaite, je vais ressasser les choses et je vais hésiter à couronner la dent même si c'est nécessaire en anticipant les problèmes qui pourraient arriver( lésion apicale, douleurs du patient, obligation de reprendre le traitement canalaire et risque de fragiliser la dent... sans parler du mécontentement du patient).
J'ai dû casser 2 instruments mais je n'en ai pas dormi de qq jours. Mon stress ne me permet pas d'apprécier le métier et je voudrais savoir si ce stress passe avec le temps, si ce stress est légitime (mes copains dentistes n'ont pas l'air de comprendre ce que je ressens). J'ai souvent l'impression de ne pas faire du bon travail.

Merci de vos réponses

Bien cordialement


Sans titre tztxfv - Eugenol
Monet

09/04/2013 à 20h34

Cela s'attenuera mais ce sentiment de toujours vouloir faire mieux ne passera jamais...et c'est tant mieux.

Médite là dessus : tu feras perdre beaucoup plus de dents à tes patients que n'importe quel plombier.


youn

09/04/2013 à 20h56

Bien souvent il vaut mieux couronner quand même quitte à en offrir certaines, si elles merdent, tu auras bien plus de casses/infections à ne pas le faire. L'étanchéité coronaire est au moins aussi importante que l'étanchéité apicale, surtout si tu as bien nettoyé. Les casses sur dents dévitalisées (même si c'est bien fait) et plombées alors qu'elles auraient dû être couronnées j'en vois un jour sur deux à peu près là où j'exerce. Reste à être claire avec le patient et bien l'informer.


G-P

09/04/2013 à 21h32

Fais comme moi, très peu d'endos.
En plus c'est mal payé donc...


Avatar2 u3u8yh - Eugenol
riccyman

09/04/2013 à 21h33

Au pire si tu te sens responsable.

Tu remises le prix de la couronne perdue prématurément sur le travail à effectuer.

C'est ce que j'ai fait sur un bridge 13-12-21, la 21 (perdue et réimplantée suite à une rixe des années auparavant.) avait lâché au niveau paro 5 ans après.

J'ai refait le bridge 13-23, en faisant payer prix coutant les éléments de 13 à 11.


Dentiste_Noob

09/04/2013 à 22h26

T'as une bonne conscience professionelle, c'est très bien

Mais les dents c'est pas la vie, déstresse lol

Et des merdes ça arrivent à tous!


youn

09/04/2013 à 22h32

riccyman écrivait:
------------------
> Au pire si tu te sens responsable.
>
> Tu remises le prix de la couronne perdue prématurément sur le travail à
> effectuer.
>
> C'est ce que j'ai fait sur un bridge 13-12-21, la 21 (perdue et réimplantée
> suite à une rixe des années auparavant.) avait lâché au niveau paro 5 ans après.
>
> J'ai refait le bridge 13-23, en faisant payer prix coutant les éléments de 13 à
> 11.

généreux ça... j'aurais fait payer plein pot, le mec savait que sa dent c'était pas du solide... Au mieux je déduis le prix de la couronne (reste a charge de la couronne, post remboursement mutuelle) du devis global.


Capture d  cran 2015 03 12 12.28 - Eugenol
chicot29

09/04/2013 à 23h07

paulinedent écrivait:
---------------------
> Bonsoir,
>
> Je suis une jeune dentiste, je travaille depuis 2 ans environ en collaboration.
> Je suis très stressée dans mon travail, par exemple par les dévitalisations, si
> je n'arrive pas à l'apex je ne suis pas satisfaite, je vais ressasser les choses
> et je vais hésiter à couronner la dent même si c'est nécessaire en anticipant
> les problèmes qui pourraient arriver( lésion apicale, douleurs du patient,
> obligation de reprendre le traitement canalaire et risque de fragiliser la
> dent... sans parler du mécontentement du patient).
> J'ai dû casser 2 instruments mais je n'en ai pas dormi de qq jours. Mon stress
> ne me permet pas d'apprécier le métier et je voudrais savoir si ce stress passe
> avec le temps, si ce stress est légitime (mes copains dentistes n'ont pas l'air
> de comprendre ce que je ressens). J'ai souvent l'impression de ne pas faire du
> bon travail.
>
> Merci de vos réponses
>
> Bien cordialement

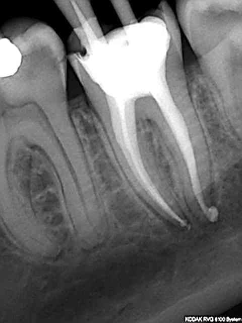
T'inquiètes il y en a qui ne sont pas stressés. On essaye de remonter le niveau, rien de sorcier il suffit de disposer du matos adéquat, endo master + S1 protaper et wd gold + R25 réciproc pour moi, Résultats reproductibles à 100%. La dernière de ce soir avant et après, un jeu.


R65 xnxzfi - Eugenol
R14 ne9jlp - Eugenol

yobi

09/04/2013 à 23h50

j'ai été très stressé à mes débuts , puis c'est le grand avantage ( et peut être le seul!)de vieillir je suis maintenant très zen.
L'expérience que va tu vas acquérir va te permettre de dormir tranquille
Par contre j'ai toujours l'impression de ne pas être un "bon" car plus j’apprends de nouvelle chose plus je découvre de nouvelles étendus d' ignorance !
La première chose pour contrôler son stress : ne pas travailler 50 heures par semaine....
Courage la première année est la plus dure....


145 kssowa - Eugenol
Chicot30

10/04/2013 à 11h24

T'inquiète pas ça ne m'est toujours pas passé, mais sache que même si tu le voudrais ce sera rarement parfait et même quand ça te paraît parfait à la radio, ça peut merder aussi... (une bactérie, le jour où on la verra à la radio les vaches auront des ailes).
Bref en effet tu auras des échecs (particulièrement en endo) mais il faut s'y faire, on veut toujours être parfait en sortant de la fac, mais on se rend compte que ce n'est pas toujours possible.
Fait toujours de ton mieux et continues mais déstress sinon ça va te pourrir la vie.
--
"C'est parce que la vitesse de la lumière est supérieure à celle du son que certains paraissent brillants avant d'avoir l'air cons."


Capture d  cran 2015 03 12 12.28 - Eugenol
chicot29

10/04/2013 à 12h00

Tu ne dois avoir qu'un seul objectif : essayer au maximum de mettre de coté pour te tirer de ce merdier le plus tot possible. Mon prédécesseur a arrêté à 53 ans le cabinet tournait très bien et au départ je me suis demandé pourquoi il arrêtait si tot. Approchant cet age j'ai la réponse, métier ultra usant pour les nerfs : encaisser le stress des patients, la minutie du boulot, couplé à parler de fric toute la journée , de contrats mutuelles pour déterminer les reste à charge en prothèse. Quant aux soins le problème de reste à charge ne se pose pas pour le patient mais se pose pour le praticien vu la maigreur des honoraires.
Un exercice apaisé n'est tout simplement pas possible dans ces conditions.


Bagheera tudzjy - Eugenol
bagheerra

10/04/2013 à 12h54

chicot29 écrivait:
------------------
> Tu ne dois avoir qu'un seul objectif : essayer au maximum de mettre de coté pour
> te tirer de ce merdier le plus tot possible.

Envisager son travail comme un merdier, ça c'est stressant ! Je connais des prat qui ont 65 ans, qui aiment leur métier et qui n'ont pas envie d'arrêter. Il faut sortir la tête du guidon et si le seul objectif est de faire rentrer de l'argent, c'est normal que la motivation s'émousse.


RépondreCiter
Capture d  cran 2015 03 12 12.28 - Eugenol
chicot29

10/04/2013 à 13h24

Tu ne m'as pas compris. J'aime mon boulot, le merdier c'est les conditions dans lesquelles on l'exerce. C'est ca qui est stressant, notament le fait de l'exercer avec une nomenclature qui date de 40 ans. Je conçois que des praticiens qui ont 65 ans ne soient pas dépaysés dans leur façon d'exercer : j'ai des status en pagaille qui prouve que certains travaillent encore avec des techniques des années 70 notamment en endo avec le screw post amalgame pouce qui va bien par dessus.
Je t'en prie achètes toi un cerec et fais toi plaisir avec des onlays à 40 euros qu'est ce qu'on s'éclate !)))))))
Pour info : mon prédécesseur qui a arrêté à 53 ans n'a pas eu cette joie d'exercer à 65 ans : il est décédé avant.


Bagheera tudzjy - Eugenol
bagheerra

10/04/2013 à 13h52

chicot29 écrivait:
------------------
> Tu ne m'a pas compris. J'aime mon boulot, le merdier c'est les conditions dans
> lesquelles on l'exerce. C'est ca qui est stressant, notament le fait de
> l'exercer avec une nomenclature qui date de 40 ans. Je conçois que des
> praticiens qui ont 65 ans ne soient pas dépaysés dans leur façon d'exercer :
> j'ai des status en pagaille qui prouve que certains travaillent encore avec des
> techniques des années 70 notamment en endo avec le screw post amalgame pouce qui
> va bien par dessus.
> Je t'en prie achètes toi un cerec et fais toi plaisir avec des onlays à 40 euros
> qu'est ce qu'on s'éclate !)))))))
> Pour info : mon prédécesseur qui a arrêté à 53 ans n'a pas eu cette joie
> d'exercer à 65 ans : il est décédé avant.

Autant pour moi, je dois dire que tous tes arguments sont imparables.


paulinedent

10/04/2013 à 14h51

Merci infiniment pour vos réponses, j'ai du mal à accepter que je débute et que tout ne peut pas être pas parfait car il me semble que le patient se fiche que je débute et attend la même qualité que si j'avais 10 ans de bouteille...
Mais je vais tâcher de prendre du recul!!


Yado

10/04/2013 à 15h06

Inlay-core + provisoire + réévaluation si tu n'es pas sûre de ton endo.
T'auras ton étanchéité et tu pourras réintervenir si y a un souci.

Si tu as un souci avec tes endos, il faut surtout te poser les bonne questions
-Pourquoi tu n'arrives pas à l'apex
-Pourquoi tu casses tes instruments

J'ai vu des prat, avec 20 ans d'expérience, ils font toujours des endo pas top et au final ils adressent le plus souvent... Mais bon adresser tes endo, ta paro, tes chir, ta pédo... Palpitant le métier. Quand tu vois leur matos, tu comprends mieux.

On a une nomenclature de merde qui fait que tu peux pas passer trop de temps pour bien faire les choses.
Pour l'endo il faudrait comme l'a dit chicot29 que tu aies des résultats reproductibles, je pense que c'est possible pour 90 % des dents (à part les dds et les retraitements). Pour ca il faut s'en donner les moyens.

Perso l'idéal pour moi ce serait d'utiliser ça à chaque endo :

-Digue : Optidam
1 minute pour poser la digue
-Impossible de poser la digue : Isodry

-Cavité d'accès : Cavity Access Z set
Tout ce qu'il faut pour faire une cavité d'accès nickel + tes connaissances de l'anatomie

-Mise en forme : Vdw Reciproc Gold :
1 seul instrument : il casse pas (ou du moins c'est super rare, pas encore cassé perso)
Il relocalise ton entrée canalaire et il te fait la mise en forme jusqu'à l'apex
Le localisateur d'apex est intégré, et il est fiable.
Pour moi c'est ce qu'il y a de plus pratique et de plus ergonomique jusqu'à présent.

-Irrigation :
P5 newtron XS, avec ton réservoir rempli d'hypochlorite, et tu irrigues avec un US endo
Fini les seringues et les aiguilles... et tu actives ta solution en même temps. Tu gagnes un temps fou. Surtout qu'avec le Gold reciproc, tu vas passer la majeure partie du temps à irriguer.

-Obturation :
Perso je coupe à ras et je foule à l'entrée.
L'idéal ce serait la condensation verticale à chaud (Calamus)
Le bon compromis ce serait la technique de Mac Spadden (Gutta condensor)

-Radio : Vitascan/Digora
Films en plusieurs tailles, pliables, format numérique et de très bonne qualité.


Tu mets un peu de côté, tu investis progressivement dans du bon matos, et tu pourras envisager ton métier un peu plus sereinement.


Capture d  cran 2015 03 12 12.28 - Eugenol
chicot29

10/04/2013 à 16h52

Mais on est pas à l'abri d'un peuf à l'apex comme tout de suite. Arghhh, je ne vais pas en dormir !)))))))
Pas de digue sur ce coup ci, car paroi vestibulaire inexistante et 30 mn pour faire l'endo (dont 15 à l'endo activator et ca c'est long !)

R23 bnqrwc - Eugenol

youn

10/04/2013 à 18h04

Wow Yado,

Je ne sais pas comment tu arrives à te payer tout ça... J'en rêve!

Je suis dans un cab plutot bien équipé et je dois admettre que je ne m'approche même pas de ton niveau d'équipement. Comment tu paies les limes du réciproc (usage unique ça fait mal) au tarif de l'endo, surtout monoradiculée? Ta CCM doit-être bien onéreuse pour compenser (ce n'est pas du tout une critique, si t'arrives à faire accepter le prix tant mieux, et bravo!)...

Où achète-tu isolite? J'en ai parlé à mon revendeur, connait pas...Ca remplace bien la digue où c'est quand même nettement moins bien?

Enfin bref vivement que je me casses loin d'ici dans quelques mois.

PS : pour les RTE tu utilise quoi? Parce que là où je suis c'est facile 1/2 voir 2/3 de mes endos...

PPS : chicot y'a du boulot sur les dents d'à côté je crois hehehe.


youn

10/04/2013 à 18h16

chicot29 écrivait:
------------------

>
> T'inquiètes il y en a qui ne sont pas stressés. On essaye de remonter le niveau,
> rien de sorcier il suffit de disposer du matos adéquat, endo master + S1
> protaper et wd gold + R25 réciproc pour moi, Résultats reproductibles à 100%. La
> dernière de ce soir avant et après, un jeu.
>

Pourquoi les deux? Endo master et Wd gold?
Tu désobtures au S1? Chloroforme essence d'orange?


Sarté

10/04/2013 à 21h58

Pour le coût du réciproc, c'est pas non plus excessifs.

Il doit être à environ 14 euros. Avec cet instrument, tu fais ton endo molaire en 30 mn, résultat correct et reproductible. Quasiment pas de casse (juste 2 casses depuis 2 ans dans des canines , et encore ça casse très haut donc tu le sors facilement.

En plus, tu peux t'en resservir. Personnellement, reciproc neuf pour une endo molaire, je stérilise, et on s'en ressert pour une prémo ou incisive (pas dans les canines, fini :p).
Donc en gros, ça revient à 9 euros la molaire.

Donc on va dire qu'avec 14 euros, tu fais 5 canaux. Et je suis sur qu'on peut en faire plus (cf papier ds id dentaire sur la résistances des instruments d'endo).

Maintenant passons au protaper. 4 instruments au minimum => durée du soin rallongé. Le kit coûte environ 50 euros, du sx au f2. Sachant que tu fais environ 15 canaux avec ses instruments => ce qui te revient à 10 euros la molaire. Sachant qu'en faisant autant de canaux, tu as un risque accru de casse (pour chaque instruments...).

Donc après faut savoir ce que l'on veut, mais l'argument du prix pour le réciproc, bah .... C'est pas plus cher, c'est plus rapide. Surtout, que quand même, quand tu dévitalises une dent, ça finit souvent en onlay/ccm.


Capture d  cran 2015 03 12 12.28 - Eugenol
chicot29

10/04/2013 à 22h04

Je désobture au r25. Ceci dit celui ci ne va pas tout le temps à l'apex (je déteste forcer) le s1 par contre y va sans problèmes surtout si les 2/3 coronaires ont été "usinés" par le r25. Une fois le S1 passé et la lt déterminée par l'endo master le r25 finit le boulot sans problèmes.
Il faut faire sauter la bague rouge pour pouvoir réutiliser le R25, il fait 10 canaux sans problèmes.


Capture d  cran 2015 03 12 12.28 - Eugenol
chicot29

10/04/2013 à 22h17

youn écrivait:
--------------
> Wow Yado,
>
> Je ne sais pas comment tu arrives à te payer tout ça... J'en rêve!
>
> Je suis dans un cab plutot bien équipé et je dois admettre que je ne m'approche
> même pas de ton niveau d'équipement. Comment tu paies les limes du réciproc
> (usage unique ça fait mal) au tarif de l'endo, surtout monoradiculée? Ta CCM
> doit-être bien onéreuse pour compenser (ce n'est pas du tout une critique, si
> t'arrives à faire accepter le prix tant mieux, et bravo!)...
>
> Où achète-tu isolite? J'en ai parlé à mon revendeur, connait pas...Ca remplace
> bien la digue où c'est quand même nettement moins bien?
>
> Enfin bref vivement que je me casses loin d'ici dans quelques mois.
>
> PS : pour les RTE tu utilise quoi? Parce que là où je suis c'est facile 1/2 voir
> 2/3 de mes endos...
>
> PPS : chicot y'a du boulot sur les dents d'à côté je crois hehehe.

Tu ne crois pas si bien dire........))))))

F1 caien diavkb - Eugenol

pointG

10/04/2013 à 22h28

Pour paulinedent/difficile de ne pas stresser dans ce métier
très technique;le stress peut etre une bonne chose si elle
n'est pas paralysante et c'est un gage de conscience
professionnelle.L'endodontie est une des plus grande difficulté technique et si tu n'es pas convaincue de la pérennité de ton endo.il est difficile de couronner.
Pour réaliser une endo reproductible ,tu dois faire une radio préopératoire et mettre la digue(la digue s'est automatique)
ce sont des obligations de la HAS!et utiliser de l'hypochlorite à 2,5% minimum.Après les techniques endo sont
vraiment multiples.Pour ma part en biopulpectomie:utilisation
d'une lime de cathétérisme N10 puis séquence heroshaper NITI n20 6%
N20 4%puisN30 4% puis N30 6%;obturation un cone gutta +ciment canalaire dessus et compactage mac spaden avec un bon tug back;mais attention aux risques de compactage si le tug back
est insuffisant =passage dans le périapex J'utilise le prophymax satelec lime ultrasonore sous hypo et utilisations des ondes ultrasonores uniquement à la fin de l'alésage.
et pleins de radios....
Depuis que la digue est mise systématiquement en endo+la cavité baigne dans l'hypo, je dors beaucoup mieux!et je place mes couronnes sans arrière pensée!
Pour l'endo de Chicot29 je ne comprend pas le stress du au "peuf" à l'apex =c'est plutot du positif par contre je dormirai mal de ne pas avoir mis la digue.....


Capture d  cran 2015 03 12 12.28 - Eugenol
chicot29

10/04/2013 à 22h46

Et pas de coton salivaire, mais comment fait-il pour travailler au sec ?))))))


youn

10/04/2013 à 22h59

chicot29 écrivait:
------------------

> Tu ne crois pas si bien dire........))))))

On dirais un de mes patients...


12