Cookie Consent byPrivacyPolicies.comQuestion de chirurgie apicale: Comment bien mettre en place - Eugenol

Question de chirurgie apicale: Comment bien mettre en place l'obturation?

Gonzo k0qhwz - Eugenol
matten

11/04/2013 à 15h48

Bonjour!

J'ai une chir apicale programmee sur 35 la semaine prochaine.
J'ai achete le kit US de chir apicale de satelec à 650€,j'ai le mta et le micro miroir.

Je me suis entrainé sur dent extraite et je dois dire que pour la phase d'obturation je me demande un peu comment etre efficace sans acheter le porte mta a 800€...

J'ai remarque que la consistance la plus dure possible facilite la foulee...
Mais apres preparation apicale, le volume est si etroit que lorsque je rentre un fouloir tout ressort avec et il reste tjs une bulle en haut de mon obturation.


Vous faites comment?


Dsc01433 2 qnf68y - Eugenol
Ramasoft

11/04/2013 à 21h00

Pas beaucoup de réponses sur ce sujet ...

J'avais aussi essayé de me passer du MTA Gun en utilisant entre autres un porte amalgame Jero en métal (autoclavable) avec un tout petit embout mais j'ai quand même fini par acheter le MTA Gun: pas facile de faire autrement dans une si petite cavité.
Sachant aussi que la chir apicale en omnipratique c'est quasiment cadeau pour le patient même avec un petit HN.
Sinon, sur le long terme, l'IRM marche aussi pas mal et est plus simple à mettre.



levm

11/04/2013 à 22h02

Pourquoi ne pas implanter ?
Tu vas faire une chirurgie
-risquée car près du foramen mentonnier
-avec un pronostic moyen
-qui te coute cher au niveau financier .

Au pire si tu as fait la couronne il n'y a pas longtemps . Tu peux poser un implant et ne pas refaire payer la couronne .


Gonzo k0qhwz - Eugenol
matten

12/04/2013 à 02h52

J'ai trouvé ca : )

http://www.ncbi.nlm.nih.gov/pubmed/23060906

Iran Endod J. 2012 Winter;7(1):5-9. Epub 2012 Mar 1.
Apical Sealing Ability of MTA in Different Liquid to Powder Ratios and Packing Methods.
Oraie E, Ghassemi AR, Eliasifar G, Sadeghi M, Shahravan A.
Source
General Dentist, Kerman Oral and Dental Diseases Research Center, Kerman University of Medical Sciences, Kerman, Iran.
Abstract
INTRODUCTION:
In apical surgery, after apicoectomy and retro-preparation of canal, a retrofil material is applied to seal the apical region of the root canal. Mineral trioxide aggregate (MTA) is the gold standard material for this purpose. Changing water/powder ratios of MTA affects its properties. The purpose of this in vitro study was to determine the effect of liquid/powder ratio of retrofil MTA on apical dye leakage, and also compare two packing techniques for MTA.
MATERIALS AND METHODS:
In this in vitro study, 126 intact single-root extracted teeth were instrumented using step-back technique, and obturated with lateral condensation method. The apical 3 mm of roots was resected, and retrograde preparation was performed by an ultrasonic device. Specimens were randomly assigned to 6 groups of 20 each and 6 teeth served as positive and negative controls. All teeth were retrofilled with White ProRoot MTA. Three groups were retrofilled with 0.28, 0.33, and 0.40 water/powder ratios of MTA and packed with plugger; the other three groups were retrofilled with 0.28, 0.33, and 0.40 water/powder ratios and packed with wet-cotton. Linear dye leakage was used to check apical sealing ability, and data were statistically analyzed using Kruskal-Wallis test.
RESULTS:
In 0.40 liquid/powder ratio the best applicator for packing MTA was plugger. In 0.28 liquid/powder ratio, moist cotton pellet was the best applicator; in 0.33 liquid/powder ratio, there was no significant difference between the two techniques.
CONCLUSION:
Under the condition of this in vitro study, packing with moist cotton pellet in lower liquid/powder ratios of MTA, as well as packing with a plugger in higher liquid/powder ration decreased apical dye leakage.


Ils sont forts ces iraniens


Avatar2 u3u8yh - Eugenol
riccyman

12/04/2013 à 13h25

Et dans le pastis ?

Il me semble qu'il y a eu des études très sérieuses sur la quantité d'eau à mettre pour l'ingérer sans phénomènes de rejet.


ti

12/04/2013 à 17h25

ouah trop fort de s'attaquer à une 35 alors qu'au vu de ton poste tu ne maitrises pas la phase d'obturation.
As-tu déjà fait sur incisives maxillaire ?
pourquoi la chirurgie apicale. As tu tenter le retraitement par voie orthogragrade ?


 mg 0207 xwjxcl - Eugenol
Tillc

12/04/2013 à 18h33

salut mat ma question est plutot pourquoi le mta?? Plus chere et plus complique a mettre et pour des resultats identiques qu a l irm.
Une petite pointe d irm au bout et cest bon ca marche bien


Gonzo k0qhwz - Eugenol
matten

12/04/2013 à 19h31

Je crois que personne ne peut dire que le mta est pratique a placer dans une cavite apicale.
C'est pourquoi a la place du mta est sortie la nouvelle generation de materiau que l'on peut fouler.


Le traitement orthograde ne peut pas etre mieux fait, et echec quand meme. Donc je fais une chir apicale.
Le trou mentonnier est loin pas de probleme.

Le materiau dont je parle est le Bioceramic Root Repair Material de Brasseler
http://nasseh.net/Nasseh.net/Videos/Entries/2010/6/7_Bioceramic_putty.html
http://www.endoexperience.com/documents/bioceramicsealer.pdf


Gonzo k0qhwz - Eugenol
matten

18/04/2013 à 14h24

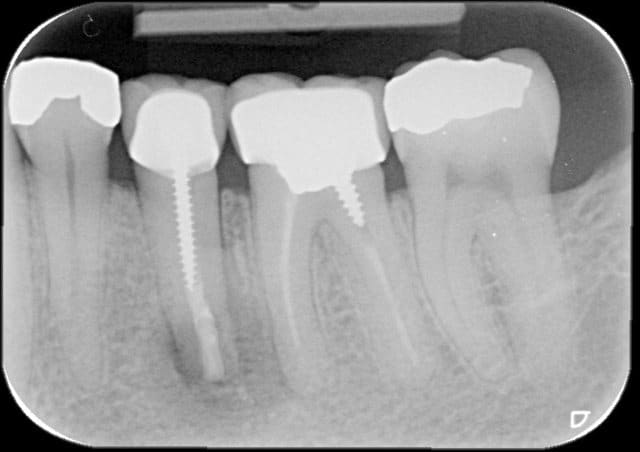
Voici la radio post op d'hier.

J'ai obturé a l'arrache avec mta fluide au debut pour tapisser les parois (light) puis compact ensuite pour faire la solidite de l'obturation (effet putty) foulé avec mini fouloir amalgame+boulette de coton seche pour retirer exces humidité et polir.

On verra pour la cicatrisation ce que ca donnera.

B 1 bkqs3a - Eugenol

Gonzo k0qhwz - Eugenol
matten

18/04/2013 à 14h30

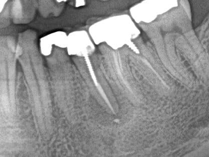
Radio pre op avec mon endo a moi que j'avais faite qui a lamentablement echoué

Image3 fm0cle - Eugenol

Avatar2 u3u8yh - Eugenol
riccyman

18/04/2013 à 14h41

l'endo avait l'air plutôt propre. bizarre.

t'as pu isoler ton site opératoire ?
Parce que ce qu'il reste de la couronne clinique a l'air réduit à peau de chagrin.


Kon nx3ojp - Eugenol
Kon

18/04/2013 à 14h46

Sérieusement ?
Un screw-post ?


Gonzo k0qhwz - Eugenol
matten

18/04/2013 à 15h23

Jai jamais bien compris le probleme que pose le screw post


Gonzo k0qhwz - Eugenol
matten

18/04/2013 à 15h32

riccyman écrivait:
------------------
> l'endo avait l'air plutôt propre. bizarre.

Oui c'est vrai et faite sous digue

> t'as pu isoler ton site opératoire ?

Oui zero saignement j'injecte du traxodent dans la cavite osseuse et sur les bords du lambeaux + coton en pression et c'est nickel

> Parce que ce qu'il reste de la couronne clinique a l'air réduit à peau de chagrin.

La je ne comprends pas de quoi tu parles, la couronne clinique ca veut dire la hauteur de la couronne depuis la pointe cuspidienne jusqu'a la ligne gingivale.
Si tu veux dire racine raccourcie oui d'accord mais ce ne sont pas 3 mm qui vont changer qqch a une racine aussi longue et sans aucun probleme paro


tarski

18/04/2013 à 17h03

je trouve que tu t'es bien compliqué la vie...dépose, couronne, rte, inlay core ( étanche...) et provisoire 3 mois voir 6 mois et roule ma poule, non ?


paradoxe

18/04/2013 à 17h06

Une question:
combien demandez vous pour ce genre d'intervention ?
En effet ,il y a longtemps que je n'en fait plus, car la CPAM maintient des prix dangereux pour que nous n'en faisions pas.
HN ? DP ?


G-P

18/04/2013 à 19h25

HN évidemment. Le prix c'est à toi de voir ;)
Le screw-post est à proscrire.


Gonzo k0qhwz - Eugenol
matten

18/04/2013 à 20h27

C'est quoi la raison


levm

18/04/2013 à 21h05

Pour l'endo , Je pense pas que beaucoup d'entre nous auraient fait mieux (sous digue, à l'apex ,sans saignement ,..)
Il me semble qu'une biopulpectomie a un taux de succes de 97% , cette dent fait partie des 3% restant.
Le pronostic pour cette dent en reprise n'est pas forcément favorable.

Concernant le screw-post , il me semble qu'il est proscrit car le fait de viser dans une racine engendre des contraintes susceptibles de la facturer ou de la fêler.

En fac ,ce n'est d’ailleurs plus enseigné .
Tu as fait quoi comme lambeau pour accéder à la racine ? As tu décollé pour protéger le nerf mentonnier ?


 mg 0207 xwjxcl - Eugenol
Tillc

19/04/2013 à 12h11

Moi je comprend pas l'IRM par rapport au reste du monde alors que toutes les etudes montrent que c'est la meme chose..


Avatar reduit tuudiu - Eugenol
saitosama

19/04/2013 à 12h52

levm écrivait:
--------------

> Concernant le screw-post , il me semble qu'il est proscrit car le fait de viser
> dans une racine engendre des contraintes susceptibles de la facturer ou de la
> fêler.

Bin suffit de ne pas le visser ;)


Pa050055 igyagy - Eugenol
mark

20/04/2013 à 22h38

Je m'interroge sur quelques interventions ci-dessus:

- la Biodentine est très maniable, assez dense on peut la déposer "à la truelle" avec une spatule fine et souple puis le condenser avec un fouloir à double angulation. LM dental en fait de très pratiques.

- le problème du produit c'est qu'il relargue de l'humidité en se liquéfiant ce qui est assez contradictoire. Et avec un suintement résiduel de la cavité curetée je vous dis pas. Obligé de sécher régulièrement en foulant une compresse plus absorbante que la simple boulette de coton.

- le calcul du surcoût du MTA ou de la Biodentine et du pronostic réservé devant privilégier un implant gratos me paraît pour le moins curieux.

- personnellement je quote HN (280€ env.) l'obturation à rétro

- en ce qui concerne le cas je suis assez intrigué par la disparition du liseré de condensation osseuse à la marge de la lésion initiale, sur la radio post-op. Cela appelle une question de chronologie: la radio initiale est prise combien de temps après le traitement endodontique orthograde? et la post-op combien après la chirurgie?

Parce que vu d'ici, le réseau de trabéculations net dans la zone apicale fait penser à une rémission en cours confirmée par la disparition de la densification osseuse au pourtour de la lésion apicale sur la radio post-op. En d'autres termes je me demande s'il n'y a pas eu précipitation à ré-intervenir.

Quel est le tableau clinique qui a motivé cette ré-intervention?

Il m'est arrivé d'attendre jusqu'à 1 an les signes visibles d'une rémission apicale après reprise de traitement et jusqu'à trois ans une rémission complète.

Je voudrais aussi vous faire part d'une observation personnelle. Avec la biodentine je n'ai jamais eu de résorption apicale comme il m'est arrivé de l'observer quelquefois avec des obturations à rétro à l'amalgame (sisi au début ya 25 ans), à l'IRM, voire au MTA.


Bebe 038 nf8eum - Eugenol
danteyeah

22/04/2013 à 03h05

mark écrivait:
--------------

> - en ce qui concerne le cas je suis assez intrigué par la disparition du liseré
> de condensation osseuse à la marge de la lésion initiale, sur la radio post-op.
> Cela appelle une question de chronologie: la radio initiale est prise combien de
> temps après le traitement endodontique orthograde? et la post-op combien après
> la chirurgie?
>
> Parce que vu d'ici, le réseau de trabéculations net dans la zone apicale fait
> penser à une rémission en cours confirmée par la disparition de la densification
> osseuse au pourtour de la lésion apicale sur la radio post-op. En d'autres
> termes je me demande s'il n'y a pas eu précipitation à ré-intervenir.

Je me faisais la même réflexion, mais matten a sans doute une image préop de l'endo initiale qui montre l'absence de lésion apicale!

matten écrivait:
----------------
> C'est quoi la raison

Pour ce qui est du screw-post métallique (non titane), eh bin tout connement ça s'oxyde et ça colle mal (comparativement à un fibré), il y a donc un risque d'infiltration et diminution de la résistance mécanique de la reconstitution foulée.

Mais le pire c'est que bien souvent le protocole de mise en place de ce genre de système, qui incite les praticiens à la simplification délétère dans la mise en oeuvre d'une reconstitution foulée.......A la louche: injection d'un ciment (résine, Verre io., voir un bon vieux polycarbo.), mise en place d'un screw (une vis quoi!) et p'tit quart de tour qui va bien (un grand merci de la part de la dentine...elle apprécie), puis injection au choix d'amalgame, de résine chémo ou dual (qui se lie avec quoi?????), dans le meilleur des cas avec un matriçage préalable, mais chez certains tout simplement à l'arrache.

Voilà matten, tu devrais entrevoir un peu ici ce que l'on reproche au screw après ça, non?


aterman

22/04/2013 à 09h51

Une equipe d endodondiste specialisee en chir apicale a Copenhague a des resultats a 95 % de succes en utilisant une obturation a retro au composite :0)...

Ensuite les meilleurs resultats sont obtenus a l irm....


Gonzo k0qhwz - Eugenol
matten

22/04/2013 à 15h42

La radio preop est un recadrage de panoramique effectuee 2 semaines avant la post op.

Ce qui a motivé: Abces carabiné sur la racine.
Apres decollement du lambeau il y avait une fenestration corticale apicale.


12