Cookie Consent byPrivacyPolicies.comos de cadavre ? bioss ? botiss ? jus de boudin centrifugé - Eugenol

os de cadavre ? bioss ? botiss ? jus de boudin centrifugé ?ou nouveauté sans aucun recul?

Avatar jt8tlq - Eugenol
bogenom

12/04/2013 à 17h27

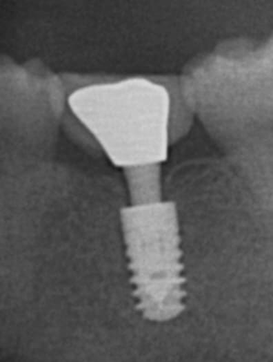
implant mis en charge il y a 3 ans
devinez ?

Prf ut4qgk - Eugenol

Logocolornotext kiwlk1 - Eugenol
Clio

12/04/2013 à 17h46

T'as un scan avant ?


Zz cnsu38 - Eugenol
toto48

12/04/2013 à 17h48

Je tente prf ( c'est le nom de ton fichier!)


Scan10030 ukikhq - Eugenol
vava

12/04/2013 à 18h07

ANKYLOS sous crestal, piler standard


flicflac

12/04/2013 à 22h08

c'était comment le jour de la mise en place de la couronne?
C'est le plus sous crestal que j'ai vue


Avatar jt8tlq - Eugenol
bogenom

12/04/2013 à 23h53

clio tes coupes
toto : Faux
vava : vrai
Flic, flac : rien de particulier car pilier avec limite juxtagingivale

Biobank pg7ham - Eugenol

Mario ycg44a - Eugenol
Mario180

13/04/2013 à 23h00

os de banque


209209668 fh2mys - Eugenol
fredo667

15/04/2013 à 14h57

Pourquoi cela necessitait-il un apport? C'est une question ouverte sans arrière pensée aucune.


Mario ycg44a - Eugenol
Mario180

15/04/2013 à 22h28

fredo667 écrivait:
------------------
> Pourquoi cela necessitait-il un apport? C'est une question ouverte sans arrière
> pensée aucune.

C'est un peu ce que je me suis dit.

(mais vu qu'il y a écrit biobank sous la radio, ...)


Avatar jt8tlq - Eugenol
bogenom

18/04/2013 à 01h40

En fait pas de comblement, pose à 2 mois post extraction


Mario ycg44a - Eugenol
Mario180

18/04/2013 à 12h00

bogenom écrivait:
-----------------
> En fait pas de comblement, pose à 2 mois post extraction

Et biobank c'est le nom de jeune fille de la dame (son mari c'est Max Graft)

;)


209209668 fh2mys - Eugenol
fredo667

18/04/2013 à 15h00

quel beau post ... :)


tarski

18/04/2013 à 15h29

très beau le platform switching...


Mario ycg44a - Eugenol
Mario180

18/04/2013 à 15h42

+1


Avatar jt8tlq - Eugenol
bogenom

18/04/2013 à 16h40

la radio initiale

36 wffiks - Eugenol

Utilisateur banni

18/04/2013 à 19h25

bogenom écrivait:
-----------------
> la radio initial

De quoi?


Android jyzura - Eugenol
Tavéca

18/04/2013 à 19h54

T'as une radio le jour de la pose de l'implant?