Cookie Consent byPrivacyPolicies.comCamera optique pour empreinte - Eugenol

Camera optique pour empreinte

no spray, no stress !

13/07/2013 à 14h44

dentisfuturis écrivait:
-----------------------
> Cas clinique avec empreinte optique au TRIOS 3 Shape : 2 Couronnes Emax Cad sur
> 24 26
> http://www.dentisfuturis.com/modules/news/article.php?storyid=1176

est-ce toi, ton assistante ou ton prothésiste qui avez réalisé le maquillage de tes emax ??

c'est pour répondre d'une manière rationnelle au cher "confrère" qui les a prises plus haut pour des provisoires !!

sympa

quand on connait la qualité des couronnes emax ....

bref, le maquillage étant subjectif (parfois même les patients réclament de drôles de choses !!!) les remarques à 100 balles du cher "confrère" sont un rien pénibles ... ce n'est pas de la sorte qu'on progresse ensemble !

continues à nous alimenter de tes excellentes news et de ton enthousiasme ... à propos, pourrais-tu nous fournir une doc ou qq chose de plus que la photo de la planscan de planmeca ?

merci d'avance

ps: en achetant les pièces séparément on devrait pouvoir obtenir une chaîne complète et fonctionnelle de woox couleur powder free + cadcam pour moins de 60000 euros TTC d'ici la fin de l'année ... pari lancé ;) !!


060108 005 nrfjgc - Eugenol
NaFr

15/07/2013 à 21h28

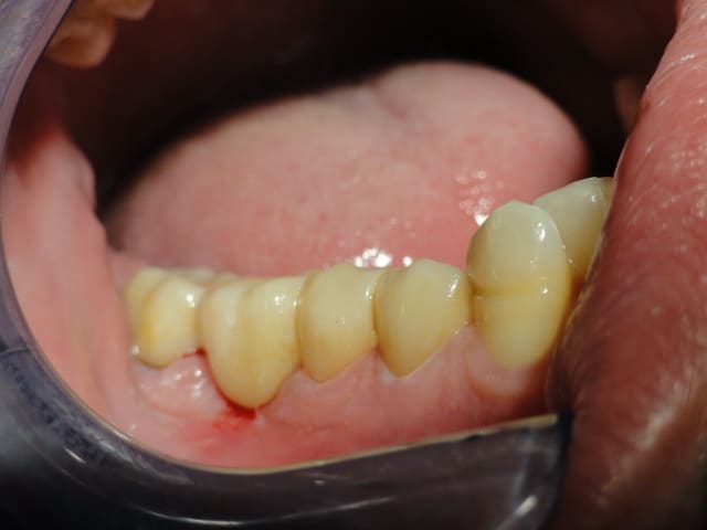
bon, un petit boulot Trios/fraiseuse Robocam avec IC Zircone et Vitablocs Triluxe 3M2C légèrements maquillés

dents 12-14-15-16-24-25-35-36-37-44-45-46......

la 26 est HS mais le patient veut la garder.


no spray, no stress ! écrivait:
-------------------------------
>
>
> bref, le maquillage étant subjectif (parfois même les patients réclament de
> drôles de choses !!!) les remarques à 100 balles du cher "confrère" sont un rien
> pénibles ... ce n'est pas de la sorte qu'on progresse ensemble !

Tri lux 3m2c 3 semaines apr s pose face  2  mybljh - Eugenol

Img 5404 pmlzfi - Eugenol
Chicot44

15/07/2013 à 22h02

Bravo !!!
C'est vraiment chouette et ça me repose de la charte de bonne pratique et de l'avenant n° 3...
Combien de temps pour l'empreinte et pour la réalisation des pièces ...
Materiaux , maquillage , si tu veux bien detailler ... cool....


Img 5404 pmlzfi - Eugenol
Chicot44

15/07/2013 à 22h06

rs4 écrivait:
-------------
> excuse moi de te dire ça mais tes dents, on dirait des provisoires resine :(
>
>
>
> je prefere mon silicone et des procera ensuite :)...


Je pense que rs4 chambre un peu , sans doute pas méchant le garçon , un brin jaloux peut être ?...
Je dis ça mais je dis rien... ;-)...


060108 005 nrfjgc - Eugenol
NaFr

16/07/2013 à 02h00

Chicot44 écrivait:
------------------
> Bravo !!!
> C'est vraiment chouette et ça me repose de la charte de bonne pratique et de
> l'avenant n° 3...
> Combien de temps pour l'empreinte et pour la réalisation des pièces ...
> Materiaux , maquillage , si tu veux bien detailler ... cool....


C'était un de mes premiers travaux avec Trios.

empreinte en 3 parties (2 post et 1 ant)

les bodyscans pour les tenons n'existaient pas, donc empreinte des forures en HD.....très long gourmand en mémoire. J'avais mis environ 1 h pour l'empreinte, ou plutôt les empreintes.

Maintenant, avec les bodyscans ça prendrait environ 1/4 h.

Une bonne heure 1/2 de modelage devant dental-manager de 3shape.....6à8h de fraisage (mais c'est la machine qui travaille) .

Le maquillage est très rapide (moins d'1 mn par dent)....15mn de cuisson pour les teintes, puis 15mn pour le glaçage

Inlays cores en Zircone teintés dans la masse par trempage, teinte A3,5
Couronnes en vita bloc triluxe 3M2C
Maquillant Vita Akzent, OS13 en incisal, leger CS03 au collet, OS6 dans les sillons.
--
Francis N.


Img 5404 pmlzfi - Eugenol
Chicot44

16/07/2013 à 11h14

L'usineuse , elle est chez toi ?
Critères de ton choix , à la fois sur l'usineuse et sur trios... éventuellement pour le choix des matériaux....Evidemment sans vouloir te commander... Merci pour ta réponse en tout cas....et je répète très beau boulot...tu prouves une fois de plus que la chaîne numérique complète est l'avenir du dentiste...


Utilisateur banni

16/07/2013 à 13h10

Une question sans doute un peu naïve : combien faut-il compter pour s'équiper d'une de ces caméras ?


l adan

16/07/2013 à 13h15

C'est intéressant , merci du partage . Est il possible d'avoir une image plus nette du détail de l'enregistrement des limites ?


Img 5404 pmlzfi - Eugenol
Chicot44

16/07/2013 à 14h23

denly écrivait:
---------------
> Une question sans doute un peu naïve : combien faut-il compter pour s'équiper
> d'une de ces caméras ?



Système "ouvert" Camera seule de 22000€ pour iTero 1 à 36000 Trios notamment.On attend des nouveautés pour l'ADF.
Système Cerec "fermé" 35000€ de mémoire pour la blueCam qui nécessite un poudrage et 48000 pour la nouvelle génération...
pour l'usinage alors là je laisse la parole à de plus compétants .... Je fais de l'empreinte optique depuis 3 ans avec iTero mais philosophiquement et pour une question d'organisation ,je laisse les prothésistes usiner , maquiller ... mais je trouve super de pouvoir et vouloir le faire...


no spray, no stress !

16/07/2013 à 18h15

NaFr écrivait:
--------------
> Chicot44 écrivait:
> ------------------
> > Bravo !!!
> > C'est vraiment chouette et ça me repose de la charte de bonne pratique et de
> > l'avenant n° 3...
> > Combien de temps pour l'empreinte et pour la réalisation des pièces ...
> > Materiaux , maquillage , si tu veux bien detailler ... cool....
>
>
> C'était un de mes premiers travaux avec Trios.
>
> empreinte en 3 parties (2 post et 1 ant)
>
> les bodyscans pour les tenons n'existaient pas, donc empreinte des forures en
> HD.....très long gourmand en mémoire. J'avais mis environ 1 h pour l'empreinte,
> ou plutôt les empreintes.
>
> Maintenant, avec les bodyscans ça prendrait environ 1/4 h.
>
> Une bonne heure 1/2 de modelage devant dental-manager de 3shape.....6à8h de
> fraisage (mais c'est la machine qui travaille) .
>
> Le maquillage est très rapide (moins d'1 mn par dent)....15mn de cuisson pour
> les teintes, puis 15mn pour le glaçage
>
> Inlays cores en Zircone teintés dans la masse par trempage, teinte A3,5
> Couronnes en vita bloc triluxe 3M2C
> Maquillant Vita Akzent, OS13 en incisal, leger CS03 au collet, OS6 dans les
> sillons.
> --
> Francis N.


Effectivement, du grand art ! très joli ...

la voie est tracée ... engagez-vous, rengagez-vous qui disaient !! ;)

Bravo Francis pour ces travaux et tous ces détails techniques très précieux

Une petite photo de creamed le jour de la pose (ça se voit, ça saigne encore ! c'est du live !!! ;) )
Pas trop vilain pour un premier bridge, don't you think ?

on a déjà fait pire ... si ! si ! :)

Dsc03428 jak5g6 - Eugenol

Grumpy cat ifik8s - Eugenol
radich_a_tord

16/07/2013 à 21h01

NaFr écrivait:
--------------

> Inlays cores en Zircone

Salut Françis, merci pour partager ton cas et tes infos mais si je peux me permettre, faire des inlay core en zircone est un non sens total eu égard aux propriétés mécaniques du matériau : le module d'élasticité est au niveau voire pire que le métal, et on connait tous les risques de fractures sur inlay core.

A mon sens il faut aller voir du coté des matériaux tels que le Lava ultimate pour les inlay core.

Pour le reste beau boulot ! Tu fais tout de A à Z tout seul ? Pas compliqué la conception dans le logiciel 3Shape ?


060108 005 nrfjgc - Eugenol
NaFr

17/07/2013 à 01h56

Chicot44 écrivait:
------------------
> L'usineuse , elle est chez toi ?

Oui
> Critères de ton choix , à la fois sur l'usineuse

Il y a 4 ans, quand je cherchais, tout était hors de prix, et étant d'origine polonaise j'ai trouvé ça au pays, Robomill 5
http://www.robocamdental.pl/art/6,robomill-5/ : Fabrication solide, fraise aussi bien le zircone que la céramique, plastique, compo, cires.....

i et sur trios: proncipalement pas de poudrage, la seule quand elle est sortie.

... éventuellement
> pour le choix des matériaux..

Zircone pour les IC, presque 2 qns de recul, 2 casses de ma faute. Teintée la zircone donne un bon "fond de teinte" sous les vita blocs (et aussi sous les Emax, mais je préfère usiner les vitablocs)

Vitabloc: bon résultat esthétique, facilité de maquillage, propriétés mécaniques me satisfaisant, et après 2 ans d'utilisation pas de casse.....pourquoi se compliquer la vie?

..Evidemment sans vouloir te commander... Merci
> pour ta réponse en tout cas....et je répète très beau boulot...

merci

tu prouves une
> fois de plus que la chaîne numérique complète est l'avenir du dentiste...


--
Francis N.


060108 005 nrfjgc - Eugenol
NaFr

17/07/2013 à 02h08

radich_a_tord écrivait:
-----------------------
> NaFr écrivait:
> --------------
>
> > Inlays cores en Zircone
>
> Salut Françis, merci pour partager ton cas et tes infos mais si je peux me
> permettre, faire des inlay core en zircone est un non sens total eu égard aux
> propriétés mécaniques du matériau : le module d'élasticité est au niveau voire
> pire que le métal, et on connait tous les risques de fractures sur inlay core.

sans vouloir être prétentieux, j'ai 30 ans de pratique avec des IC nonprécieux, et aucune casse, tout au moins sur les patients que je continue de suivre.

Environ 500 IC posés en zircone depuis 2 ans, 2 casses de tenon car la conception de l'IC était mauvaise....de ma faute. Mais pas de fracture de racine.

Je pense que les fractures provienne plus d'un mauvais réglage de l'occlusion....
>
> A mon sens il faut aller voir du coté des matériaux tels que le Lava ultimate
> pour les inlay core.

La par contre, pour le Lava Ultimate, ou le nouveau Ambarino, je ne les utiliserais pas en IC.....à moins d'avoir un ancrage dans une chambre pulpaire bien profonde avec un tenon dans la continuïté. Mais dans ce cas on peux se passer de tenon, ça devient une endocouronne.


Mais ceci dit, il n'est pas dit que je ne tenterai pas.

>
> Pour le reste beau boulot ! Tu fais tout de A à Z tout seul ?

oui

Pas compliqué la
> conception dans le logiciel 3Shape ?

pas plus que de trouver le 7ème niveau d'un jeu vidéo....

Une petite formation, un peu de logique.....


--
Francis N.


alex22

17/07/2013 à 14h42

pour info
devis schein ce jour pour trios couleur : 43000 euros
5 % de remise en septembre pour offre, sans doute ils vont baisser le tarif des trios noir et blanc pour les liquider

en location on me propose 700 euros par mois mais j'ai pas reçu le contrat pour le moment
La licence est de 2000 euros par an à partir de la 2 eme année
hors contrat de location
ça me parait cher (même prix que itero y a deux ans...) mais je suis motivé pour le grand changement de pratique........


alex22

17/07/2013 à 14h45

NaFr écrivait:
--------------
> radich_a_tord écrivait:
> -----------------------
> > NaFr écrivait:
> > --------------
> >
> > > Inlays cores en Zircone
> >
> > Salut Françis, merci pour partager ton cas et tes infos mais si je peux me
> > permettre, faire des inlay core en zircone est un non sens total eu égard aux
> > propriétés mécaniques du matériau : le module d'élasticité est au niveau voire
> > pire que le métal, et on connait tous les risques de fractures sur inlay core.
>
> sans vouloir être prétentieux, j'ai 30 ans de pratique avec des IC nonprécieux,
> et aucune casse, tout au moins sur les patients que je continue de suivre.
>
> Environ 500 IC posés en zircone depuis 2 ans, 2 casses de tenon car la
> conception de l'IC était mauvaise....de ma faute. Mais pas de fracture de
> racine.
>
> Je pense que les fractures provienne plus d'un mauvais réglage de
> l'occlusion....
> >
> > A mon sens il faut aller voir du coté des matériaux tels que le Lava ultimate
> > pour les inlay core.
>
> La par contre, pour le Lava Ultimate, ou le nouveau Ambarino, je ne les
> utiliserais pas en IC.....à moins d'avoir un ancrage dans une chambre pulpaire
> bien profonde avec un tenon dans la continuïté. Mais dans ce cas on peux se
> passer de tenon, ça devient une endocouronne.
>
>
> Mais ceci dit, il n'est pas dit que je ne tenterai pas.
>
> >
> > Pour le reste beau boulot ! Tu fais tout de A à Z tout seul ?
>
> oui
>
> Pas compliqué la
> > conception dans le logiciel 3Shape ?
>
> pas plus que de trouver le 7ème niveau d'un jeu vidéo....
>
> Une petite formation, un peu de logique.....
>
>
> --
> Francis N.



500 inlay core en deux ans, tu bosses dans une région où l'eau est sucrée ou quoi!!!


Img 5404 pmlzfi - Eugenol
Chicot44

17/07/2013 à 14h52

Fonce c'est génial... pour le matos c'est sûr faut faire un choix... le coup de cœur trios 3 shape couleur , écran tactile, logiciel .... surtout si tu veux passer à l'usinage à domicile...itero pour le recul ,la qualité et le prix d'achat, aussi pour l'ergonomie ( après utisation des 2 je préfère à ce jour la manipulation de l'itero ) .. mais plus cher à l'usage à cause du scan fee ( les frais de traitement du fichier STL)...Si t'es patient attend l'ADF...sinon négocie à mort...


060108 005 nrfjgc - Eugenol
NaFr

17/07/2013 à 16h23

alex22 écrivait:
----------------
tu bosses dans une région où l'eau est sucrée ou
> quoi!!!


68, régime local, bonnes complémentaires...
Francis N.


alex22

17/07/2013 à 16h25

j'ai jamais rien négocié avec ces boites car je travaille avec des fournisseurs locaux
je vais quand même essayer (ils me font déjà moins 10 sans discuter...)


Sticker coquelicot - Eugenol
Misss

17/07/2013 à 17h04

alex22 écrivait:
----------------
> pour info
> devis schein ce jour pour trios couleur : 43000 euros
> 5 % de remise en septembre pour offre, sans doute ils vont baisser le tarif des
> trios noir et blanc pour les liquider
>
> en location on me propose 700 euros par mois mais j'ai pas reçu le contrat pour
> le moment
> La licence est de 2000 euros par an à partir de la 2 eme année
> hors contrat de location
> ça me parait cher (même prix que itero y a deux ans...) mais je suis motivé pour
> le grand changement de pratique...…..


Oui le Trios couleur est à 43500.
Et pourquoi pas le pod couleur ?
ça varie entre 33 et 40000 (couleur), tout dépend de la licence choisie (2 différentes) et du matos à rajouter (PC)
Attention à tout ce qui est ''soit-disant'' offert, en général c'est compris dans le prix.
Par curiosité : sur le devis, les tips sont indiqués auto-clavables combien de fois ?
Certains distri annoncent ''jusqu'à 50 fois'', alors que 3Shape indique 20.

Je n'ai pas encore eu l'occasion de toucher l'itero,
tout ce que je sais c'est qu'il n'y a pas d'équivalent en terme de précision pour le cerec.

Et comme le dit Chicot, attendez l'ADF ;)


Sticker coquelicot - Eugenol
Misss

17/07/2013 à 17h08

NaFr écrivait:
--------------
> alex22 écrivait:
> ----------------
> tu bosses dans une région où l'eau est sucrée ou
> > quoi!!!
>
>
> 68, régime local, bonnes complémentaires...
> Francis N.

et la choucroute !
:D


alex22

17/07/2013 à 17h31

Misss écrivait:
---------------
> NaFr écrivait:
> --------------
> > alex22 écrivait:
> > ----------------
> > tu bosses dans une région où l'eau est sucrée ou
> > > quoi!!!
> >
> >
> > 68, régime local, bonnes complémentaires...
> > Francis N.
>
> et la choucroute !
> :D


je le savais!!!!
La choucroute provoque des attaques carieuses supérieures aux autres spécialités régionales
Nous dans le 46 le cabecou ne suffit pas à fourguer des brouettes d'inlay core à nos prothésistes
Il vaut mieux être une molaire dans le 46 que dans le 68
En plus les mutuelles sont pourries dans cette région de cailloux!!!
Bien vu dans l'EST


alex22

17/07/2013 à 17h39

Misss écrivait:
---------------
> alex22 écrivait:
> ----------------
> > pour info
> > devis schein ce jour pour trios couleur : 43000 euros
> > 5 % de remise en septembre pour offre, sans doute ils vont baisser le tarif
> des
> > trios noir et blanc pour les liquider
> >
> > en location on me propose 700 euros par mois mais j'ai pas reçu le contrat
> pour
> > le moment
> > La licence est de 2000 euros par an à partir de la 2 eme année
> > hors contrat de location
> > ça me parait cher (même prix que itero y a deux ans...) mais je suis motivé
> pour
> > le grand changement de pratique...…..
>
>
> Oui le Trios couleur est à 43500.
> Et pourquoi pas le pod couleur ?
> ça varie entre 33 et 40000 (couleur), tout dépend de la licence choisie (2
> différentes) et du matos à rajouter (PC)
> Attention à tout ce qui est ''soit-disant'' offert, en général c'est compris
> dans le prix.
> Par curiosité : sur le devis, les tips sont indiqués auto-clavables combien de
> fois ?
> Certains distri annoncent ''jusqu'à 50 fois'', alors que 3Shape indique 20.
>
> Je n'ai pas encore eu l'occasion de toucher l'itero,
> tout ce que je sais c'est qu'il n'y a pas d'équivalent en terme de précision
> pour le cerec.
>
> Et comme le dit Chicot, attendez l'ADF ;)


je sais pas pourquoi mais le commercial n'est pas chaud pour me fournir le POD. On dirait qu'il n'y croit pas, je crois qu'ils y pompent rien les commerciaux de toute façon, ils vendent aussi bien le cavit qu'une caméra à 40000.
Le pod est pas sorti pour de vrai encore je crois, en tout cas le gars veut bien me refiler l'autre
J'attends la condor aussi distribuée par schein (super politique commerciale, on vend tout mais c'est mieux la trios!!!)
Sauf que là ils vont me presser le citron avant l'adf...


Sticker coquelicot - Eugenol
Misss

17/07/2013 à 17h52


> >
> > Oui le Trios couleur est à 43500.
> > Et pourquoi pas le pod couleur ?
> > ça varie entre 33 et 40000 (couleur), tout dépend de la licence choisie (2
> > différentes) et du matos à rajouter (PC)
> > Attention à tout ce qui est ''soit-disant'' offert, en général c'est compris
> > dans le prix.
> > Par curiosité : sur le devis, les tips sont indiqués auto-clavables combien de
> > fois ?
> > Certains distri annoncent ''jusqu'à 50 fois'', alors que 3Shape indique 20.
> >
> > Je n'ai pas encore eu l'occasion de toucher l'itero,
> > tout ce que je sais c'est qu'il n'y a pas d'équivalent en terme de précision
> > pour le cerec.
> >
> > Et comme le dit Chicot, attendez l'ADF ;)
>
>


> je sais pas pourquoi mais le commercial n'est pas chaud pour me fournir le POD.

* parce que c'est moins valable


> On dirait qu'il n'y croit pas, je crois qu'ils y pompent rien les commerciaux de
> toute façon, ils vendent aussi bien le cavit qu'une caméra à 40000.
> Le pod est pas sorti pour de vrai encore je crois, en tout cas le gars veut bien
> me refiler l'autre

* il existe vraiment, est en vente et a déjà été vendu en France… mais pas en stock ;)


> J'attends la condor

* Yeeeees moi aussi, comme beaucoup ^^


> aussi distribuée par schein (super politique commerciale, on
> vend tout mais c'est mieux la trios!!!)
> Sauf que là ils vont me presser le citron avant l'adf…


Img 5404 pmlzfi - Eugenol
Chicot44

17/07/2013 à 21h58

Résistes, prouve que tu existes , cherche ton bonheur partout ... RESISTES....( Paroles de Michel Berger)


no spray, no stress !

18/07/2013 à 12h29

alex22 écrivait:
----------------
> Misss écrivait:
> ---------------
> > alex22 écrivait:
> > ----------------
> > > pour info
> > > devis schein ce jour pour trios couleur : 43000 euros
> > > 5 % de remise en septembre pour offre, sans doute ils vont baisser le tarif
> > des
> > > trios noir et blanc pour les liquider
> > >
> > > en location on me propose 700 euros par mois mais j'ai pas reçu le contrat
> > pour
> > > le moment
> > > La licence est de 2000 euros par an à partir de la 2 eme année
> > > hors contrat de location
> > > ça me parait cher (même prix que itero y a deux ans...) mais je suis motivé
> > pour
> > > le grand changement de pratique...…..
> >
> >
> > Oui le Trios couleur est à 43500.
> > Et pourquoi pas le pod couleur ?
> > ça varie entre 33 et 40000 (couleur), tout dépend de la licence choisie (2
> > différentes) et du matos à rajouter (PC)
> > Attention à tout ce qui est ''soit-disant'' offert, en général c'est compris
> > dans le prix.
> > Par curiosité : sur le devis, les tips sont indiqués auto-clavables combien de
> > fois ?
> > Certains distri annoncent ''jusqu'à 50 fois'', alors que 3Shape indique 20.
> >
> > Je n'ai pas encore eu l'occasion de toucher l'itero,
> > tout ce que je sais c'est qu'il n'y a pas d'équivalent en terme de précision
> > pour le cerec.
> >
> > Et comme le dit Chicot, attendez l'ADF ;)
>
>
> je sais pas pourquoi mais le commercial n'est pas chaud pour me fournir le POD.
> On dirait qu'il n'y croit pas, je crois qu'ils y pompent rien les commerciaux de
> toute façon, ils vendent aussi bien le cavit qu'une caméra à 40000.
> Le pod est pas sorti pour de vrai encore je crois, en tout cas le gars veut bien
> me refiler l'autre
> J'attends la condor aussi distribuée par schein (super politique commerciale, on
> vend tout mais c'est mieux la trios!!!)
> Sauf que là ils vont me presser le citron avant l'adf...

à ta place je prendrais la pod solution ! qui est déjà disponible !!! moins chère, facilement transportable ... je ne lui voit que des avantages par rapport à la version "trolley" ...
pour les prix c'est le moment de le leur faire baisser surtout si tu agites le chiffon "condor" !! ;)


1...567...