Cookie Consent byPrivacyPolicies.comOn marche sur la tête .. ou notre professin est elle devenue - Eugenol

On marche sur la tête .. ou notre professin est elle devenue folle ...

Orezza gazeuse verre litre ocoxey - Eugenol
casa

19/04/2013 à 17h38

Bonjour à tous ,

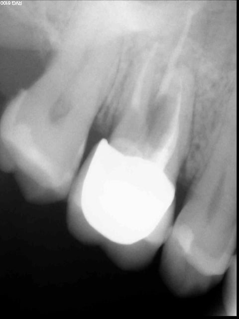
J'ai pas mal hésité sur le titre de ce post , et je vais sans doute m'attirer pas mal de critiques acerbes mais tant pis , j'ose : en fin de matinée , j'ai vue une nouvelle patiente qui arrive avec un dossier sous le bras... elle se plaint d'une 16 couronnée et m'explique que son ancien dentiste (dentiste énergétique ) lui a fait un traitement avec des huiles essentielles sur cette dent parce que "la gencive n'arrivait pas à se coller à l'os"et elle commence à m'expliquer l'historique de sa dent , et comme je ne suivais pas très bien, elle me sort donc son beau dossier . je vous la fais courte : pour cette 16, elle était passée entre les mains d'un endodontiste réputé de Lyon (750 €)en 09/2012 qui a traité cette dent non cariée mais qui présentait une infection radiculaire (que j'ai pu vérifier sur une pano de 2011 ) puis en oct 2012 , la collaboratrice du premier praticien lui pose un IC clavette (dent saine au départ !!)zircone et couronne ceramo zircone ...bio compatibilité oblique bien sur ... total:1200 €, bref en janvier 2013 , elle retourne voir ce praticien avec des douleurs intenses , donc mise sous ATB (tiens tiens !) et un curetage avec lambeau est réalisé ...puis l'épisode des massages avec des huiles essentielles . Cette dent est toujours douloureuse ...Bref ,pour corser l'histoire , je remarque qu'il lui manque la 34 .. et là , elle m'explique qu'on lui a extrait parce que elle bloquait ... sa féminité !!! 34 totalement saine , objectivée sur la pano de 2011, en rotation effectivement . Conclusion de l'affaire : on lui a fait débourser pas loin de 2000 € pour une molaire apparemment à risque ..mais par contre on lui a extrait allègrement une 34 pour une raison plus qu'obscure !!! Voilà j'attends vos réactions et remarques ..je vous joins la radio de cette fameuse 16 ...

R1 uy1pbt - Eugenol

RépondreCiter
doagui

19/04/2013 à 17h52

casa écrivait:
--------------
> (...)son ancien dentiste (dentiste
> énergétique )(...)

Mode Médisance ON


Tout est dit.


Mode Médisance OFF


Images jm2g2g - Eugenol
dr_0le

19/04/2013 à 17h58

post qui va surement faire le 'buzz'
tout ce que tu décris ne représente que 0.007% des praticiens en France, je reste convaincu que l'immense majorité s'applique a soigner ses patients avec les données acquises (parfois ya longtemps) de la science..



Photo pluton1b h9n4ea - Eugenol
pluton

19/04/2013 à 18h03

"On voit la paille dans l’œil de son voisin, mais pas la poutre dans le sien"....

on traine tous des casseroles, et puis des fois il y a aussi les coups de pas de bol qui font qu'un traitement pourtant bien conduit fini par merder...

qui sais , son passe temps favori est peut être de casser des noix avec sa 16, ou alors elle à bêtement mordu sur un caillou dans sa salade, d'où fissure, nécrose, d'où l'endo puis l'inlay core parce-qu'il fallait retrouver un plancher sans fissure (du moins apparente...)
et puis pas de bol çà a continué et là la dent amha est foutue

mais bon, le premier à qui c'est pas arrivé de passer à côté d'une fissure, de couronner pour ensuite quelques temps après extraire la dent, peut me jeter la première pierre...


Toriko ucqp9i - Eugenol
Giantcoco

19/04/2013 à 18h13

pluton écrivait:
----------------
> "On voit la paille dans l’œil de son voisin, mais pas la poutre dans le
> sien"....
>
> on traine tous des casseroles, et puis des fois il y a aussi les coups de pas de
> bol qui font qu'un traitement pourtant bien conduit fini par merder...
>
> qui sais , son passe temps favori est peut être de casser des noix avec sa 16,
> ou alors elle à bêtement mordu sur un caillou dans sa salade, d'où fissure,
> nécrose, d'où l'endo puis l'inlay core parce-qu'il fallait retrouver un plancher
> sans fissure (du moins apparente...)
> et puis pas de bol çà a continué et là la dent amha est foutue
>
> mais bon, le premier à qui c'est pas arrivé de passer à côté d'une fissure, de
> couronner pour ensuite quelques temps après extraire la dent, peut me jeter la
> première pierre...

eh ben met ton casque parce que MOI je suis irréprochable je fais jamais rien d'autre qu'apposer les mains comme ça je suis tranquille


RépondreCiter
Image r6habu - Eugenol
Thomas Crown

19/04/2013 à 18h15

Un truc pas net à la furcation..pronostic sombre.. À vue du dossier, te reste plus qu'à demandé un CBCT et conf l'irréversibilité de/des lésions .. C'est quoi qui te déranges ici? Je veux dire dans la prise en charge, hormis le cas 34.


Rape p0as4f - Eugenol
rapelapente

19/04/2013 à 18h26

casa écrivait:
--------------
Bref ,pour corser
> l'histoire , je remarque qu'il lui manque la 34 .. et là , elle m'explique qu'on lui a extrait parce que elle bloquait ... sa féminité !!! 34 totalement saine ,objectivée sur la pano de 2011, en rotation effectivement >

L'extraction de la 34 est tout à fait logique et justifiée.
La rotation provoquait à l'évidence des frottements indésirables lors de pratiques sexuelle buccales.
Nul doute que la privation de fellation pour son partenaire bloquait la féminité du sujet.
L'application d'huiles essentielles, qui comme chacun sait, sont essentiellement de l'huile, sur le pénis du partenaire aurait pu, par lubrification, relancer la féminité de ta patiente. Mais le remède est d'un effet assez court, et de possibles allergies au WD40 peuvent affecter les muqueuses.
J'ai eu un cas semblable avec une 49 ectopique dans l'ampoule rectale qu'il a fallu également extraire pour le même motif.
Je n'ai malheureusement pas de pano pour illustrer ce cas passionnant.


Protée

19/04/2013 à 18h30

C'est comme la sono. A moins de préférer écouter sa musique sur un poste basique (en mono) je pense que l'on préfère tous la stéréo voir plus si affinité et/ou moyens financiers.

Sinon peux tu changer le passé? Je ne le crois pas. Pondères et améliores le futur si tu le peux.


129 fucieh - Eugenol
rs4

19/04/2013 à 18h50

la patient a t'elle au moins retrouvé sa féminité ????







je rigole mais autant de travail et d'argent pour si peu à la base, c'est dur dur


ameli

19/04/2013 à 19h02

pluton écrivait:
----------------
d'où fissure,
> nécrose, d'où l'endo puis l'inlay core parce-qu'il fallait retrouver un plancher
> sans fissure (du moins apparente...)
> et puis pas de bol çà a continué et là la dent amha est foutue

Change pas de sujet pour trouver des excuses.
On parle d'une patiente félée, pas d'une dent.
Or, on a trépané une dent, et pas la patiente.
C'est une erreur professionnelle grave.


Mouton volant jlatmr - Eugenol
Toto le Héros

19/04/2013 à 19h21

ameli écrivait:
---------------
> pluton écrivait:
> ----------------
> d'où fissure,
> > nécrose, d'où l'endo puis l'inlay core parce-qu'il fallait retrouver un
> plancher
> > sans fissure (du moins apparente...)
> > et puis pas de bol çà a continué et là la dent amha est foutue
>
> Change pas de sujet pour trouver des excuses.
> On parle d'une patiente félée, pas d'une dent.
> Or, on a trépané une dent, et pas la patiente.
> C'est une erreur professionnelle grave.

J'oubliais la capacité surnaturelle des dentistes "conseils" qui arrivent à préjuger d'un boulot, passé ou à venir à partir d'une simple radio.
Comme chacun sait, les fêlures sont automatiquement apparentes sur une rétro. D'ailleurs j'en ai même vu avec des panneaux indicateurs : "Ne tentez pas l'endo, je suis foutue". Ca clignotait , avec des jolis néons.

Avec des clichés préop, on pourrait se faire un idée "un peu" plus précise, mais là encore, sans examen clinique, je ne vois pas comment vous pouvez (osez) vous prononcer.

Bon, en revanche, mes opinions plus que sectaires vis-à-vis des huiles-essentiellalistes, je les garde pour moi.



ameli

19/04/2013 à 19h33

Toto le Héros écrivait:
-----------------------
> J'oubliais la capacité surnaturelle des dentistes "conseils" qui arrivent à
> préjuger d'un boulot,

T'es de mauvais poil ?
T'as des difficultés sexuelles ? Tu veux qu'on t'enlève une dent ?


dentalproject

19/04/2013 à 19h42

...


paradoxe

19/04/2013 à 20h00

Il y a un praticien pas loin d'ici qui fait des pseudo curetage paro avec attelles composites pour 6000€ à 9000€ HN


Orezza gazeuse verre litre ocoxey - Eugenol
casa

19/04/2013 à 20h12

Et ben voilà ... ce que j'attendais arrive .... La patiente est fêlée , elle mange des pierres , et pour finir le tableau elle a des difficultés de fellation ( ça , ça m'a fait bien rire .) et bien sûr nos chers confrères sont irréprochables .. Alors oui j'accuse ! tout d'abord une dent "saine" qui se nécrose : y'a un problème et là je vous rejoins : fêlure , fracture .usure importante .. bref on recherche la cause ... je vous rappelle que l'endo a été faite sous microscope .. à quoi cela sert -il de posséder une tel appareillage si on ne peut objectiver ce genre de problème. Première erreur et à 750 € la patiente est en droit de réclamer une durée de vie de sa dent supérieure à 8 mois , non ? nous avons tous des doutes, des échecs mais un minimum en cas de doute c'est d'en faire part à sa patiente .. c'est sur que ça passe beaucoup moins bien quand elle vient de vous faire un gros chèque ! deuxième erreur (à mon avis !!) l'inlay core à clavette : je vous rapelle que cette dent était saine au départ .l'endodotiste a donc mutilé la dent autant que ça ??? troisième erreur (toujours à mon avis !) la précipitation de poser les éléments prothétiques ..un mois après alors que cette dent présentait une image apicale depuis longtemps ... un petit temps de latence et d'observation m'auraient paru utiles .. Tout ceci est mon avis et je le partage !! à vos claviers acerbes ...
PS : par contre vous réagissez mollement (enfin ce n'st pas le bon mot !)sur une extraction de 34 sans motif valable .. décidément on est pas tous fait dans le même moule !


G-P

19/04/2013 à 20h21

Non mais à quoi bon étaler ça sur un forum public je le rappelle ?
Si tu as des choses à reprocher aux praticiens qui ont réalisé ces traitements, appelle-les, au lieu de te fier à ce que te dit une patiente...


dentalproject

19/04/2013 à 20h27

...


Protée

19/04/2013 à 20h37

casa écrivait:
--------------
> PS : par contre vous réagissez mollement (enfin ce n'st pas le bon mot !)sur une
> extraction de 34 sans motif valable ..

Certes! Comme je l'ai déjà dit ce n'est qu'une version.
Aussi je poserai une question candide:
Que penses tu des extractions de PM (saines et bien portante) pour traitement ortho?


Images qct94b - Eugenol
themumbly

19/04/2013 à 20h51

paradoxe écrivait:
------------------
> Il y a un praticien pas loin d'ici qui fait des pseudo curetage paro avec
> attelles composites pour 6000€ à 9000€ HN
il s'appelle pas comme un célèbre joueur de foot brésilien??


dentalproject

19/04/2013 à 20h56

...


Orezza gazeuse verre litre ocoxey - Eugenol
casa

19/04/2013 à 21h02

G-P écrivait:
-------------
> Non mais à quoi bon étaler ça sur un forum public je le rappelle ?
> Si tu as des choses à reprocher aux praticiens qui ont réalisé ces traitements,
> appelle-les, au lieu de te fier à ce que te dit une patiente...

Ben justement , vos diverses réactions ne font que me confirmer mon titre ... et je ne ne me fie pas à ce que dit une patiente mais à un dossier , complet, radio, pano de 2011,
que cette patiente à récupérer auprès de son praticien (pas l'endodontiste ... ) je râle tous les jours dans mon coin contre les dérives "affairistes" de notre profession ... et les exemples ne manquent pas ... parfois la coupe est pleine et je l'exprime mais je vois que ça ne ma fait pas de bien, bien au contraire ....Alors je vais rentrer dans mon trou , faire des endos sécu , préserver des dents le plus possible d'une prothèse (et là l'inlay core, par exemple ,n'était vraiment pas utile !) et continuer mon petit bonhomme de chemin sans vous embêter avec mes interrogations idiotes .

Fêlée je suis , fêlée je reste ...et c'est de l'humour aussi !


RépondreCiter
Capture d  cran 2015 03 12 12.28 - Eugenol
chicot29

20/04/2013 à 01h36

Ben pètes les radios alors. Faut être con pour choisir une molaire saine à 4 canaux pour planter une ceram à but lucratif plutôt qu'une prémolaire du bas à un canal. A moins que le pendule du dentiste holistico-énergéticien se soit scotché sur la molaire.))))))))


marcus

20/04/2013 à 10h10

Et si au lieu de focaliser sur la 16 en écoutant la patiente dire du mal de son ex praticien on parlait de la 15 qui semble avoir (à la radio ) une obturation ainsi qu'une micro porte d'entrée en distal inter dentaire
Ça te coûte pas grand chose de sortir ta seringue ,virer l'obturation poser un coton très imbibé de nonol et d'attendre 2 ou 3 semaines histoire de voir
C'est un classique le : "docteur la couronne que vous m'avez posée l'an dernier me fait mal c'est pas normal " sous entendu ' "t'es qu'un gros nul docteur" alors qu'en lui faisant ouvrir la bouche tu t'aperçois de la présence d'une carie une ou deux dents plus loin.
Mais je dis ça,je dis rien !


1309531 ours brun n5iukf - Eugenol
seespan

20/04/2013 à 10h38

J'avoue que je vois mal l’intérêt du post.

On a pas tout la documentation, la dent en question a était traiter par plusieurs praticien.

Si l'on avait les documents de la situation initial et des différentes étape je dis pas mais la ça relève de l'exercice de futilité.

Sur ce coût la essayer d'attaquer ou disculper les confrères est impossible.

L'auteur de ce post peut peut etre juger ayant tout la documentation, en tout les cas si dans sa courte carrière c'est le pire qu'il a vue il a bien de la chance.

Je dis courte parce que pour juger que ce "cas" est digne d’intérêt il n'a pas due en voir défiler beaucoup. Le fait de juger de ce genre de situation qui ont souvent une étiologie complexe ( déjà une lésion périapical sur une dent saine radiologiquement c'est peut commun) a partie d'une simple rétro est aussi plus que léger quand on s’appuie la dessus pour critiquer des confrères.

Pas par esprit corporatiste mais juste que pour poser une diagnostique la péricapical peut étre insuffisante donc critique a la fois le diagnostique et le traitement de non un mais deux ou trois confrère ...

Je me souvient de nombreuse année dans le passé j'attaqué ma troisième année de pratique et j'ai récupéré les patients CMU d'un confrère qui ne faisait quasiment que les prothèse et pas les soins.
J'ai vue défiler des trucs marrant, genre endo sur molaire avec une seul canal traiter ( au 2/3) avec lésion apical sur la racine traiter et le reste de la dent en pulpite.
Patient venant pour des douleurs suite a des poses de couronne la pano révélant qu'il y avait des carie dans quasiment tout les cadrant.
Avec ma forte expérience ( 2 ans quand même donc quasiment pré retraite) j'avais juger ça peut digne d’intérêt ( même pas digne d'être montrer a mon employeur qui était aussi l'ancien employeur du dentiste en question).
Donc j'ai fermer ma gueule et j'ai fais beaucoup de soins.

Je tiens a souligner que concernant le dentiste en question si il avait tendance a se concentrer sur la prothèse je n'ai pas vue un seul cas ou il avait couronner une dent qui n'en avait pas besoin.


--
หมอจัดฟัน


Mouton volant jlatmr - Eugenol
Toto le Héros

20/04/2013 à 11h21

ameli écrivait:
---------------
> Toto le Héros écrivait:
> -----------------------
> > J'oubliais la capacité surnaturelle des dentistes "conseils" qui arrivent à
> > préjuger d'un boulot,
>
> T'es de mauvais poil ?
> T'as des difficultés sexuelles ? Tu veux qu'on t'enlève une dent ?

Vraiment désolé que le terme "conseils" t'ait fait bondir. Je ne sais pas en quoi consiste ton job. Je sais juste que tu n'as pas, et tant mieux pour toi, les problèmes d'un dentiste libéral
(du coup, je saisis mal l'intérêt de tes interventions, mais c'est un autre débat).

J'englobais plutôt tout ceux qui sont prompts à donner leur avis sur un sujet qu'ils ne maîtrisent pas.
Et là, effectivement, tu tombes dans la bonne catégorie. La preuve, tu parles de ma vie sexuelle. Si tu en connaissais un rayon, tes propres dents tomberaient d'elle-mêmes.


12