Cookie Consent byPrivacyPolicies.comInsertion immediate au niveau de 46 dans le septum - Eugenol

Insertion immediate au niveau de 46 dans le septum

grigorell

04/05/2013 à 17h22

Salut a tous , une petite cas avec amitie :)
Grigore

Slide 001 copunm - Eugenol
Slide 002 ozqrf4 - Eugenol
Slide 003 k9a8ht - Eugenol
Slide 004 eiyjry - Eugenol
Slide 005 cmfk27 - Eugenol
Slide 006 yewqud - Eugenol
Slide 007 uhanpc - Eugenol
Slide 008 nbdaif - Eugenol
Slide 009 qqbqsb - Eugenol

003 penrd2 - Eugenol
Cingulum

04/05/2013 à 19h18

Bien visé :)
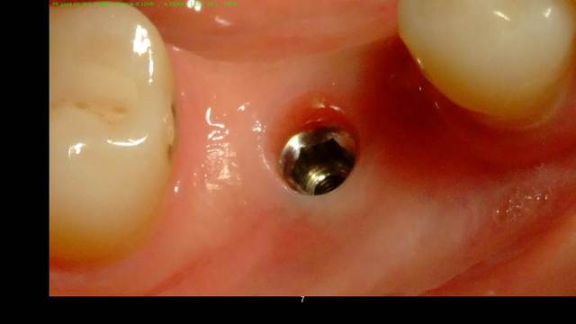
Mais tu aurais attendu 10 jours que la muqueuse se referme et tu pouvais avoir une jolie gencive attachée à déplacer en vestibulaire, ce qui fait défaut ici ...


--
Dr Cingulum
-----Ancien interné----
----Attaché à l'apex----
http://www.clinic-all.fr/ formation par passion


Blocperso talon jer3sl - Eugenol
mrquentin

04/05/2013 à 20h25

je pense que j'aurais au moins fait la carie en distal de 45 avant de mettre la couronne en 46


Image001 e0kg9q - Eugenol
clemsdent

04/05/2013 à 23h22

+1
et 16 et 35; c'est assez énorme!


G-P

04/05/2013 à 23h27

Ici l'EII (extraction implantation immédiate) n'était pas indiquée à mon avis. Risque d'échec augmenté (suture ouverte) pour aucun bénéfice pour le patient.
Extraction, pose à 45 jours, implant plus large bien centré (meilleur profil d'émergence = hygiène facilitée).


Icon poker h4nm2d - Eugenol
jeff

05/05/2013 à 18h57

bienvenue sur eugenol, grigore.

tu vois que les eugénoliens ne laissent rien passer :)

Continue a mettre des cas, c'est par l'échange et la critique que l'on progresse..


arno

05/05/2013 à 19h44

+1 avec jeff
j'ajouterai que même si je n'aurai pas eu la même approche que toi, regarder ton cas permet de se reposer des questions sur la prise en charge de ce genre de cas bateau