Cookie Consent byPrivacyPolicies.comphoto intrabuccale - Eugenol
caledent

09/05/2013 à 05h13

Je souhaite acheter un appareil photo numérique pour de la photo intra-buccale. Avez-vous quelques conseils à me donner par rapport au type, marque... etc.
Merci


Img 5097 lxchd7 - Eugenol
Queixal

09/05/2013 à 17h24

Pour faire de belles photos.
Boitier reflex numerique, objectif macro dédié, flash anulaire, et jeu de miroirs pour radio intraorale.
Canon ou nikon en fonction de ta religion.
Compter minimum 2000€.

Si juste pour montrer des choses aux patients camera intraorale soit de "marque" ou pas cher sur ebay.


Bebe 038 nf8eum - Eugenol
danteyeah

09/05/2013 à 22h50

Il y a peu, j'ai eu envie de changer tout mon matériel, retourner à mes premiers amours (Nikon), et surtout j'étais titillé par une option qui me plaisait bien: la possibilité de balancer mes clichés sur un Ipad (entre les mains du patient, grâce à un petit connecteur maison et vraiment pas cher (contrairement au routeur wifi), le WU-1a)
Je te passe ce que ma recherche priceminister m'a donné

Nikon D7100 - Appareil photo numérique - Reflex...

1 099,00 €
Port : 10,70 €

dans la boutique de PhotoUnivers

Nikon Micro-Nikkor - Macro-objectif - 85 mm -...

459,00 €
Port : 10,70 €

dans la boutique de accrophoto

NIKON FLASH KIT R1

527,09 €
Produit Neuf
[Fabricant : Nikon - Référence : FSA906BA] Nikon SB R1 - Système flash macro sans fil -


eusebius

10/05/2013 à 12h48

les sets de miroirs se trouvent où??, ils y en a éviter?


Pierre-E

10/05/2013 à 13h29

pour les miroirs, va à l'ADF sur le stand de Petitjean, ils font de bons miroirs.


En plus ils bradent leurs "défectueux", qui parfois sont impec à part une petite rayure sur un bord, autrement dit on s'en tape.

Sinon + 1000 pour le Micro-Nikkor 85mm, c'est celui que j'ai sur un D3100, il est top.

Pour le flash annulaire, va voir sur la Baie également, j'ai acheté un "Delta" à moins de 100€


Bebe 038 nf8eum - Eugenol
danteyeah

10/05/2013 à 14h06

A Eusebius.

Là c'est pas cher, et ça semble pas s'abimer que mes ancien miroirs en verre hors de prix.
A voir dans le temps (pour l'instant moins d'un an).

http://www.ebay.fr/itm/Dental-Oral-Clinic-Stainless-Steel-Photographic-Mirror-Reflector-1-set-3pcs-/251273217846?pt=LH_DefaultDomain_0&hash=item3a810d0736#ht_7566wt_1176


Bebe 038 nf8eum - Eugenol
danteyeah

10/05/2013 à 14h19

Pierre-E écrivait:
------------------
>
> Pour le flash annulaire, va voir sur la Baie également, j'ai acheté un "Delta" à
> moins de 100€

Ça c'est un message souvent véhiculé sur ce forum. Hors le flash macro est peut être l'élément le plus important du trio boitier/objectif/flash en macro, surtout chez nous qui fermons nos focales au maximum ou presque pour améliorer notre profondeur de champ.
Les "sous" flash généralement aux leds que l'on trouve sur ebay n'ont pas les caractéristiques requises à la modulation de lumière nécessaire pour donner du volume à nos images en macro, ils sont capables d'éclairer le site de manières +/- homogène certes, mais entrainent des images plates. Pour la chir on peut s'en foutre,par contre pour dialoguer avec son prothésiste on perd une grande partie des informations.
J'en suis arrivé à me demander aussi si les flash annulaire de grande marque ou de marque généraliste n'étaient pas finalement dépassés par les plus récent flash macro déportés comme le R1 (ou R1C1 chez Nikon). Je n'ai pas encore sauté le pas pour renouveler mon parc photo (passer de Canon à Nikon: primo pour le tarif "light" du flash, et aussi pour le WU-1a) mais je suis de plus en plus tenté


Pierre-E

10/05/2013 à 14h35

je n'ai pas un usage quotidien de la photo au cab. Ceci explique cela ;)


eusebius

10/05/2013 à 15h45

merci pour le lien des miroirs...

je vais tester. :-)


Bebe 038 nf8eum - Eugenol
danteyeah

10/05/2013 à 16h32

Pierre-E écrivait:
------------------
> je n'ai pas un usage quotidien de la photo au cab. Ceci explique cela ;)

Aucun jugement dans mon propos, c'est pas mon style d'ailleurs. Il semble que le choix du reflex pour toi soit lié à un usage autant privé que pro, non?

Utiliser un bon boitier et une optique ad hoc avec un flash pas vraiment spécialisé, c'est un peu comme mettre un moteur de Fiat Panda dans une Aston, on garde la classe du look, on perd l'agrément de l'outil. Dans cette configuration et uniquement pour une utilisation "non expert" autant rester au Bridge (pas la prothèse!) dédié, et là on s'en sort pour un tarif très raisonnable (choix très souvent fait par les ortho, et ça leur suffit amplement).


Pierre-E

10/05/2013 à 16h43

j'ai un D5000 à la maison et un D3100 au cab. Avec queqlues optiques, toutes Nikkor : 18-105, 18-50, 70-300 (le seul qui soit une optique FX/DX), 85 Micro, et mon préféré pour la maison : le 35/1,8.
J'aimerais le compléter par un ultra-grand-angle, mais..... €€€.
En étant pleinement satisfait, je ne compte aps changer de boitier, même si le D7100 a l'air d'être somptueux.

Le reflex est pour moi le seul qui me permet de gérer facilement les paramètres au quotidien : choix du point AF si besoin, changement d'optiques, un vrai mode P que j'utiliser 95% du temps.

Mes échanges de photo avec le proto se résument à la la teinte des voisines dans les cas "un peu délicats". Dans les cas réellement esthétiques, ben le patient va voir le proto, qui est à 4km du cabinet, ça aide !


Grumpy cat ifik8s - Eugenol
radich_a_tord

10/05/2013 à 17h57

eusebius écrivait:
------------------
> les sets de miroirs se trouvent où??, ils y en a éviter?

J'ai le PTJ, excellent : Tout en bas, kit Titanium + cassette. http://ptj-intl.fr.linkfirst-prod.linkeo.org/index_catalogue.html?categories_id=1

Les miroirs de ce type se rayent moins, perdent peu de luminosité et n'ont pas d'image dédoublée

Pour le reste, le seul truc sur lequel on peut rogner c'est le boitier : tout boitier reflex même un peu ancien conviendra.

Par contre objectif macro FIXE obligatoire ET flash annulaire ou déporté, mais pas de flash LED comme si bien dit plus haut (IRC faible, température de couleur faible, tout est bleu).

J'achète TOUT ici : http://www.onestop-digital.com

Magasin basé à HongKong, sérieux, et si frais de douanes ils les remboursent sur justificatif. Prendre la garantie Mack de 7 ans valable en France.

Sinon, rester dans des compacts ou avec une caméra intrabuccale ou même smartphone, pour expliquer au patient ça suffit.


Bebe 038 nf8eum - Eugenol
danteyeah

10/05/2013 à 19h43

radich_a_tord écrivait:
-----------------------

> Pour le reste, le seul truc sur lequel on peut rogner c'est le boitier : tout
> boitier reflex même un peu ancien conviendra.
>
Oui et non, finalement avec le recul, certaines options peuvent être bien utile comme une fonction de nettoyage du capteur, pas toujours présente, ni au même niveau d'un boîtier à l'autre (perso j'en ai pas sur mon 20D, je nettoie le capteur avec le matos adéquate, c'est crânien et j'ai toujours des "poils de cul" sur les images.....ça m'agace!). Autre option: la connexion sans fil avec le matos informatique: je n'ai pas encore testé: mais si la connexion entre le WU-1a ( ou b) chez Nikon et une tablette (IOS ou Android) est rapide, alors j'y vois un intérêt énorme en communication pour pas cher (50€). De plus chez Nikon en prenant un boîtier sans flash intégré cela oblige en macro à passer au flash R1C1 près de 400€ plus cher que le R1 pour la même chose, donc ici il faudra privilégier le D7100 au D3200 car finalement il n'y aura aucun avantage économique à prendre le boîtier basique.

Évidement, on est plus dans la problématique: j'veux juste faire des photos intra orale. Mais en poussant le "tuning" a un bon niveau le reflex remplacerais aussi très avantageusement les caméra intra.
> J'achète TOUT ici : http://www.onestop-digital.com

Merci pour ce lien!


Grumpy cat ifik8s - Eugenol
radich_a_tord

10/05/2013 à 20h32

danteyeah écrivait:
-------------------

> Oui et non, finalement avec le recul, certaines options peuvent être bien utile
> comme une fonction de nettoyage du capteur

Oui c'est pratique si on utilise son reflex en dehors du cabinet !
Si on ne démonte jamais l'objectif macro, il y a très peu de chances d'avoir des saletés qui rentrent.

Je suis bien emm*rdé par ce problème aussi, mon boitier n'a pas de système de nettoyage et je l'emmène en voyage en changeant d'objectif.

Je le faisais moi même avec le matos adapté : sensor swab et liquide eclipse préconisé mais je n'arrivais jamais à un résultat parfait. http://www.reidlimaging.com/numerique.htm

Résultat, je le fais faire 1 fois par an pour une trentaine d'euros.

> la connexion sans fil avec
> le matos informatique: je n'ai pas encore testé

Bon argument. Perso j'ai lecteur de carte sur le PC mais ça oblige à une petite manipulation pénible.

De plus chez Nikon
> en prenant un boîtier sans flash intégré cela oblige en macro à passer au flash
> R1C1 près de 400€ plus cher que le R1 pour la même chose

Canon, Superior !

:-p sérieusement, je ne connaissais pas ce petit inconvénient des Nikon.


> Évidement, on est plus dans la problématique: j'veux juste faire des photos
> intra orale.

Tout à fait ! Comme souvent sur les posts sur la photo, on part d'une problématique simple pour arriver à 3 k€ de matos, une mire colorimétrique, changer son éclairage et la peinture du cabinet, étalonner son boitier, son écran, son imprimante et l'écran du prothésiste :-)


Asphodele wfksth - Eugenol
Asphodèle

12/05/2013 à 13h26

J'ai des questions concernant les miroirs

J'ai usé les miens suite au passage au stérilisateur : cycle flash- j'ai les traces du plateau du stérilisateur sur les miroirs...qu'il faut nettoyer au produit lave-vitre.
Et surtout suite au passage préalable aux US...Je ne recommencerai plus, la grille du panier s'est imprimée sur le miroir par transfert d'ions métalliques.

Mes questions :

- Quel plateau pour votre stérilisateur : alu ? inox ?
- Quel produit détergent-nettoyeur ?
- Des petits trucs pour leur entretien ?
- Avez-vous un chiffon dédié aux miroirs type micro-fibre ?

Pour équipement : mon vieux Nikon D 50 + flash annulaire Sigma + objectif Nikkor 60 mm Macro
Miroirs PTJ, GH.


H.D.

30/06/2013 à 13h57

Bonjour, je relance le sujet car je suis en train de m'équiper ;)
Possédant déjà un nikon d7000 a la maison et voulant garder un boîtier uniquement au cabinet je serais partant pour le d3200.
On va me vendre le NIKON 105mm AF-S VR f/2.8G IF-ED MC d'ocasion a moitie prix ;).

Mon problème reste le flash et là, dilemme .....:
NIKON Kit Flash Contrôleur R1C1
Ou
SIGMA FLASH MACRO EM 140 DG

Qu'en pensez vous?


Bebe 038 nf8eum - Eugenol
danteyeah

30/06/2013 à 19h13

H.D. écrivait:
--------------
> Mon problème reste le flash et là, dilemme .....:
> NIKON Kit Flash Contrôleur R1C1
> Ou
> SIGMA FLASH MACRO EM 140 DG
>
> Qu'en pensez vous?

J'en pense que la différence de prix va tout bonnement du simple au double, et vue que tu projète d'acquérir un matos économique (3200, et optique d'occaz), le Sigma semble être dans la droite ligne du reste.
Au niveau technique, je ne peux pas t'aider, n'ayant testé ni l'un , ni l'autre. Les flashs déportés semblent permettre une plus grande modularité de la lumière, par rapport à l'annulaire, mais il me semble que cela va nécessiter un temps d'apprentissage supplémentaire et des clichés plus chronophage.


Bebe 038 nf8eum - Eugenol
danteyeah

30/06/2013 à 22h31

.


H.D.

01/07/2013 à 01h27

J'en arrive aussi à ces conclusions..... Je pars donc pour le sigma ;)


Egy194 ietbqd - Eugenol
tristanavi

02/07/2013 à 22h57

Si ça intéresse quelqu'un je vends un METZ Flash Macro 15 MS-1 Digital pour passer a un système multiflashs genre usine à gaz .Je l 'utilise avec un 600 D et un 100 macro Canon mais il compatible avec pas mal de marques.

Img 1955 xcmlwp - Eugenol
Img 1338 nhn3z6 - Eugenol

200106 10150128247663588 709988587 6466236 5598391 n d7mksb - Eugenol
hallboy

03/07/2013 à 01h39

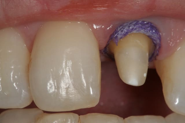
tres jolie taille. Comment as tu conservé une si jolie gencive avec une taille assez profonde?
pou l'empreinte tu prevois un double fil?


Egy194 ietbqd - Eugenol
tristanavi

04/07/2013 à 21h41

double fil non imprégnés sans anesthésie. Triple 0 puis 0.
Empreinte alginate centrifugée.

Img 1835 vs259n - Eugenol
Img 1953 z3gxqf - Eugenol
Img 1944 naz8qw - Eugenol

200106 10150128247663588 709988587 6466236 5598391 n d7mksb - Eugenol
hallboy

04/07/2013 à 23h39

et pour tailler bas comme cela sans fusiller la gencive? Fil avant taille puis sonique a insert diamanté?


Grumpy cat ifik8s - Eugenol
radich_a_tord

05/07/2013 à 00h33

hallboy écrivait:
-----------------
> et pour tailler bas comme cela sans fusiller la gencive? Fil avant taille puis
> sonique a insert diamanté?

Pas sur que la photo soit le jour de la préparation. Je pense plutôt qu'il y a eu temporisation avec une jolie provisoire avec ajustage parfait et bon profil d'émergence. Ensuite le sulcus tient tout seul !

Belles photos en tt cas.


Egy194 ietbqd - Eugenol
tristanavi

05/07/2013 à 13h20

pas d' insert a US mais je crois que je vais investir.La préparation se fait avec un fil 3/0 en place ou fil de suture 2/0 qui s 'effiloche moins.Je confirme que la photo 1 est prise le jour de l 'empreinte sans retouche de la prep.la provisoire parfaitement ajustée a fait le boulot. Pour le fun la photo de la couronne réalisée auparavant par un collègue.

Img 1337 av5quf - Eugenol
Img 1372 gtgj3e - Eugenol

12