Cookie Consent byPrivacyPolicies.comConnaissez vous la marque de ces implants ? (secteur 1) - Eugenol

Connaissez vous la marque de ces implants ? (secteur 1)

Hinanui

13/05/2013 à 19h00

Bonjour
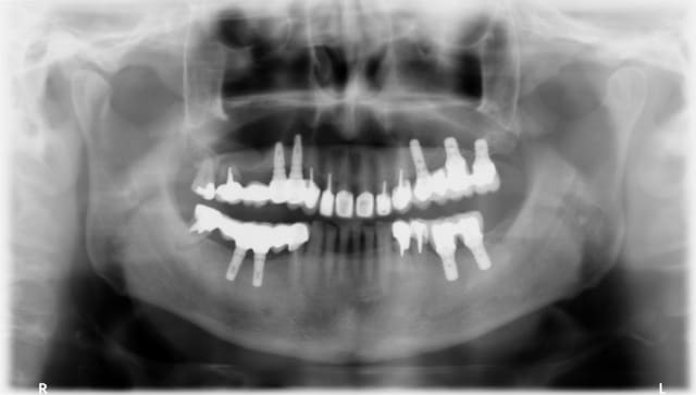
Un patient se présente avec le bridge secteur 1 mobile à cause de la fracture de 17. De plus, les piliers sont dévissés sur 14 et 15. Le patient n'a qu'une facture indiquant : pose de 2 implants dentaires.
Avez vous une idée de la marque des implants au vue de la pano, afin que je puisse commander le tournevis adequat ?
Je précise que ce n'est pas moi qui ai réalisé ce bridge, pas de débat sur la solidarisation dent / implant.
Je vous remercie de votre aide.

P1 fxesau - Eugenol

olivier

13/05/2013 à 19h33

Hinanui écrivait:
-----------------
> Bonjour
> Un patient se présente avec le bridge secteur 1 mobile à cause de la fracture de
> 17. De plus, les piliers sont dévissés sur 14 et 15. Le patient n'a qu'une
> facture indiquant : pose de 2 implants dentaires.
> Avez vous une idée de la marque des implants au vue de la pano, afin que je
> puisse commander le tournevis adequat ?
> Je précise que ce n'est pas moi qui ai réalisé ce bridge, pas de débat sur la
> solidarisation dent / implant.
> Je vous remercie de votre aide.

t'as pas une retro ??


Hinanui

13/05/2013 à 19h44

J'ai ça comme rétros. Par contre, on voit mal l'implant sur 14.

C14 bxikkj - Eugenol
C15 dodra6 - Eugenol

itou

13/05/2013 à 20h18

Ces implants me font penser à des BIOMET 3 I coniques connexion "certain".


Photo pluton1b h9n4ea - Eugenol
pluton

13/05/2013 à 20h27

pareil, biomet 3i...
attention, fait gaffe au devis, çà douille vite chez eux...

http://whatimplantisthat.com/implant/osseotite-tapered-certain-2/


Hinanui

13/05/2013 à 22h09

Merci mille fois !