Cookie Consent byPrivacyPolicies.comCarie sous couronne, abstention ? - Eugenol

Carie sous couronne, abstention ?

PulpiLeo

15/05/2013 à 11h57

Bonjour à tous,

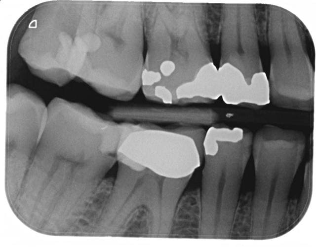
Voici un cas. Patiente 60 ans, RAS anamnèse.
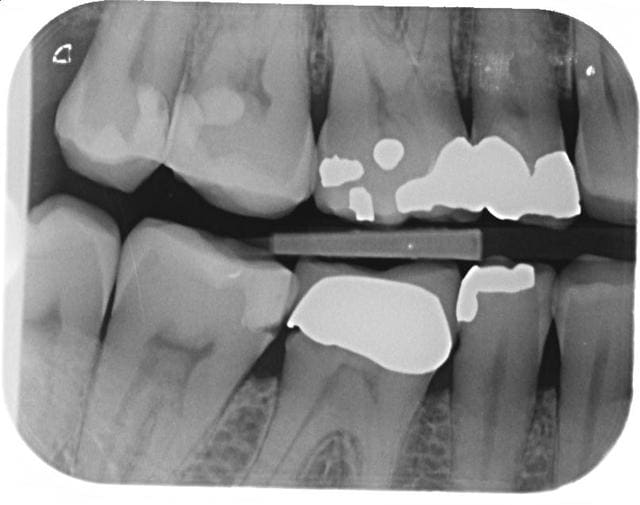
Carie distale sous 47 couronnée et traitée.
Pas de douleurs, aucun signe clinique.

Quelle est l'attitude que vous adoptez ?
La patiente ne ressent rien sous cette couronne métallique, doit-on vraiment intervenir ? Si oui quels sont les mots qui peuvent la convaincre ?

La carie a l'air basse, je ne suis pas sur de la solidité restante des racines après dépose.

Surveillance et Abstention ou Dépose ?

Si dépose, doit-on reprendre le traitement endodontique qui n'a pas l'air si mal ?

Merci,
A très bientôt.

47d dywur4 - Eugenol

Photo pluton1b h9n4ea - Eugenol
pluton

15/05/2013 à 12h08

si tu fais rien dans quelques mois c'est bon pour l'implant

si tu déposes tu as une chance de pouvoir re-couronner, c'est peut être pas trop tard...mais si c'est foutu, tu ne fais que retourner à la case implant...

donc amha tu informes ton patient, tu lui proposes les différentes options de ttm


220px don camillo4 qrcfhs - Eugenol
camillo

15/05/2013 à 12h12

Voilà Madame,

Regardez la radio, votre dent a une carie sous la couronne. Vous ne la sentez pas car la dent est dévitalisée.

Peut-être que vous sentez parfois une douleurs ou des saignements entre les dents, non?

En tout cas, si on laisse les choses en l'état, la dent sera bonne à extraire à plus ou moins long terme.

On peut tenter de déposer la couronne et d'en refaire une autre, mais le succès n'est pas totalement garanti.
Je pourrais vous dire les choses de façon certaine quand j'aurai enlevé la couronne en place et que j'aurai vu l'état de la racine.
Si on ne peux pas récupérer la dent, il faudra envisager un bridge ou un implant.
remontre la radio
devis
si vous voulez le faire, rappellez moi
au revoir.


1309531 ours brun n5iukf - Eugenol
seespan

15/05/2013 à 12h17

Idem que pluton.

Si tu ne fais rien on peut te reprocher une perte de chance d'après la radio la racine a l'aire conservable.

Avec la radio tu es couvert pour déposer la couronne.

Plus bonus si tu dépose la couronne de 47 tu pourras probablement soigner le début de carie en distal de 46 sans déposer la couronne.

--
หมอจัดฟัน


paradoxe

15/05/2013 à 12h44

pluton écrivait:
----------------
> si tu fais rien dans quelques mois c'est bon pour l'implant
> si tu déposes tu as une chance de pouvoir re-couronner, c'est peut être pas trop
> tard...mais si c'est foutu, tu ne fais que retourner à la case implant...
>
> donc amha tu informes ton patient, tu lui proposes les différentes options de
> ttm

+1
tu informes, tu montres, et c'est elle qui prend la décision.
Si c'est trop bouffé en dessous et que l'implant n'est pas possible maintenant, tu repose la couronne ou tu fais un provisoire
et ce sera toujours mieux car tu aura stabilisé les processus carieux.


Nouveau image bitmap fz77zh - Eugenol
Sethef

15/05/2013 à 12h45

Refaire la 47. En profiter pour vérifier la limite distale pas nette de la 46, et probablement refaire 46 dans la foulée.
Avec des points de contact cette fois, ça évitera ce genre d'emmerdes.
Et tant qu'à faire s'occuper de la 16, ça évitera de se taper la 17 dans 2 ans.


L'autre côté c'est pareil?


Images jm2g2g - Eugenol
dr_0le

15/05/2013 à 13h50

déposer la 47 ne sera pas difficile, vue l'absence de tenon. nettoie bien dessous et recouronner.
Ne rien faire et ne pas prévenir la patiente est une faute selon moi.
après si elle ne veut pas.. c'est son choix.


PulpiLeo

15/05/2013 à 13h55

Merci à tous pour ces précieuses réponses.


PulpiLeo

15/05/2013 à 13h55

Dois-je réaliser alors le rte ?


Nouveau image bitmap fz77zh - Eugenol
Sethef

15/05/2013 à 14h09

La théorie dirait que oui, il y a perte d'étanchéité coronaire depuis longtemps, et la conicité du traitement semble assez faible.


Dans la pratique, selon le matériau d'obturation, la difficulté à repasser, tes compétences propres en endo, la possibilité de diguer, la compliance de la patiente, l'ouverture buccale...


Je pense que celui-là, je le reprendrais par acquis de conscience, mais si c'est une affreuse résine dure comme la pierre ou une cochonnerie équivalente, je n'insiste pas et réalise la RCR immédiatement pendant que la digue est en place.


aterman

15/05/2013 à 15h23

Y aurait pas la meme chose sur la 46?

- si probleme d argent, tu passes a travers la couronne et tu fais un composite distal. Bien informer du risque de fracture de la couronne lors de l eviction carieuse. A 5 ans post op cela tient toujours...

ps: la couronne a ete faite aux canaries et un an apres le patient voulait pas la refaire...Test vitalite ras au dernier controle.

ps2: la 45 en mesial a ete traitee hier :0)

Ccm stnfat - Eugenol
Ccm1 twwnjw - Eugenol

Gutt-A

15/05/2013 à 18h45

PulpiLeo ecrivait:
Surveillance et Abstention ou Dépose ?



Surveiller quoi, l'evolution de la carie qui empire?
Informer le patient, faire le devis et lui qui choisit de faire ou pas.


Bashar

16/05/2013 à 13h50

J'ai l'habitude de dire qu'il n'y a pas de question idiote, mais la...


Img 5404 pmlzfi - Eugenol
Chicot44

16/05/2013 à 17h18

Vous connaissez la différence entre un rhume soigné et un rhume non soigné ?


Img 5404 pmlzfi - Eugenol
Chicot44

16/05/2013 à 17h20

Chicot44 écrivait:
------------------
> Vous connaissez la différence entre un rhume soigné et un rhume non soigné ?

Réponse: l'un dure une semaine et l'autre 7 jours...


Vous connaissez la différence entre une carie soignée et une carie non soignée ?....


aterman

16/05/2013 à 17h41

caries soignee: composite 2 faces 30 euros

carie non soignee: abces, Extraction, implant 2000 euros :0)

je sors...


Img 5404 pmlzfi - Eugenol
Chicot44

16/05/2013 à 18h19

aterman écrivait:
-----------------
> caries soignee: composite 2 faces 30 euros
>
> carie non soignee: abces, Extraction, implant 2000 euros :0)
>
> je sors...

+1
fait Ch..., tu m'as coupé la parole....;-)....
Le sage dit bien qu'il faut faire au mieux avec ce qu'on a...Alors vive la sécu....