Cookie Consent byPrivacyPolicies.comDents de sagesses, kystes et NDI - Eugenol

Dents de sagesses, kystes et NDI

Mario ycg44a - Eugenol
Mario180

23/05/2013 à 12h23

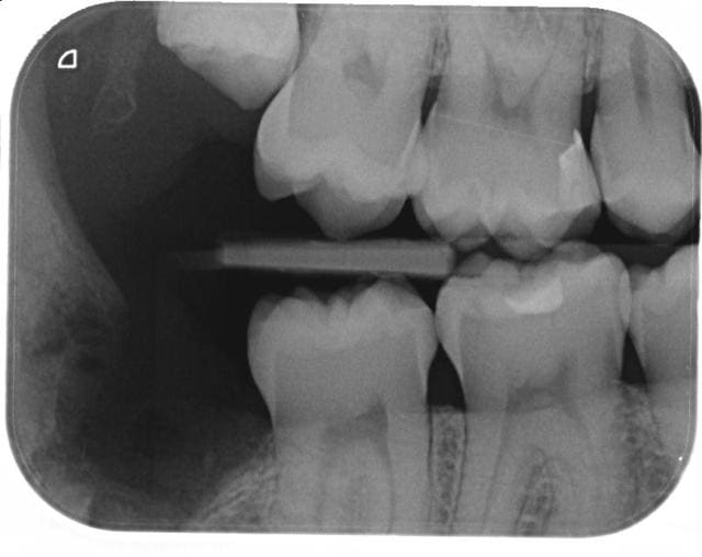
Patient d'environ 45-50, consultation fortuite, voilà ce que je trouve.

D'un côté, la situation est juste un peu tendue : la dent repose franchement sur le NDI.

De l'autre, les deux racines le pince littéralement.

Tout cela est asymptomatique bien entendu.

Quelle conduite tiendriez-vous dans ce cas ?

(Les coupes sont toutes deux du même côté, l'autre me semble moins discutable)

Global cad99b - Eugenol
Image mpr 1 gtffuq - Eugenol
Image mpr 2 mvxqal - Eugenol

Nouveau image bitmap fz77zh - Eugenol
Sethef

23/05/2013 à 12h44

CAT: adresser au stomato ;-)

Bon, plus sérieusement, je serais curieux de connaître l'avis des spécialistes chir.

Sur le plan intellectuel, j'hésiterais entre
-la séparation des racines (mais vu le crochet apical, le risque de léser le nerf semble tout de même bien présent)
-ou laisser volontairement les apex et attendre qu'ils soient résorbés ou expulsés (mais vu la taille du processus kystique, risque de récidive j'imagine?)


(pure spéculation hein, c'est bien loin de mon champ de compétences)


Mario ycg44a - Eugenol
Mario180

23/05/2013 à 12h54

Vu que les kystes sont évolutifs, refoulant potentiellement davantage les dents, et qu'ils entraineraient une fragilisation de la mandibule, amha, l'extraction est nécessaire.

Après, le contrôle du risque n'a pas de raison d'être meilleur chez un stomato que chez un chir-dent qui a suffisamment préparé son intervention.

A dire vrai, je suis en train d'envisager le fait de gérer ça, en étudiant la possibilité de séparer les racines qui font étau. Pour cela il me faudra une reconstruction 3D bien proprette.

Mais à dire vrai, je me demande comment blinder la chose sur le plan des assurances et du consentement (le patient étant toubib, il ne pourra pas dire qu'il n'a pas compris...)

Mais si c'est trop emmerdant, je refilerai le bébé.


Nouveau image bitmap fz77zh - Eugenol
Sethef

23/05/2013 à 13h06

Mario180 écrivait:
------------------

>
> Après, le contrôle du risque n'a pas de raison d'être meilleur chez un stomato
> que chez un chir-dent qui a suffisamment préparé son intervention.
>



Ah oui, là je suis bien d'accord, je ne parlais que pour mon cas. J'envoie une bonne partie de mes dents de sagesse chez un autre chir dent, sauf que contrairement à moi, il sait les faire!


aterman

23/05/2013 à 13h43

J ai du mal avec cette image. Un bon pano et 2 retro alveolaires ca me parle bien mieux...vieille ecole sans doute
Informer du risque de lesion, torsion du V3 :0)
De toute facon, cela arrive dans 3% des dds. Ensuite savoir que les problemes de sensibilite sont reversibles a 90% dans les 2 ans...
exemple Exo 48 avec sensibilite post op. a 1 mois. A 6 mois la patiente vient faire un etat des lieux avec un neurologue si persistance d absence de sensibilite.

Dds1 xh5pbq - Eugenol
Dds2 eog9cp - Eugenol
Dds3 lib5mr - Eugenol

Images jm2g2g - Eugenol
dr_0le

23/05/2013 à 13h44

asymptomatique, je ne touche pas..

dans des situations tendues comme çà, c'est en voulant bien faire que l'on foire..

après si un stomato veut jouer à docteur maboul, tu peux adresser...


Nouveau image bitmap fz77zh - Eugenol
Sethef

23/05/2013 à 14h05

dr_0le écrivait:
----------------
> asymptomatique, je ne touche pas..
>
> dans des situations tendues comme çà, c'est en voulant bien faire que l'on
> foire..
>
> après si un stomato veut jouer à docteur maboul, tu peux adresser...



Tu parles du second cas? Parce que pour le premier, le processus kystique ne va pas s'arrêter d'évoluer tout seul, non?


Mario ycg44a - Eugenol
Mario180

23/05/2013 à 14h06

aterman écrivait:
-----------------
> J ai du mal avec cette image. Un bon pano et 2 retro alveolaires ca me parle
> bien mieux...vieille ecole sans doute
> Informer du risque de lesion, torsion du V3 :0)
> De toute facon, cela arrive dans 3% des dds. Ensuite savoir que les problemes de
> sensibilite sont reversibles a 90% dans les 2 ans...

;)

Chez moi ça a commencé aussi par la pano, mais j'ai sauté la case retro en voyant ça.

Comme je suis pas au cab, et que je suis en train de bosser sur le scan, j'ai mis tout ce dont je disposais... Cela dit, faire cette chir sans 3D, "à la retro" (aux deux sens du terme), c'est criminel.


dr_0le écrivait:
----------------
> asymptomatique, je ne touche pas..
>
> dans des situations tendues comme çà, c'est en voulant bien faire que l'on
> foire..
>
> après si un stomato veut jouer à docteur maboul, tu peux adresser...

Donc pour toi, le kyste n'est pas évolutif ? (tu dois effectivement parler du deuxième cas : remonte plus haut ;)


Canin

23/05/2013 à 15h33

Pour moi, il y a indication pour opérer. Ça ne va pas évoluer favorablement sans savoir quand ni comment

Après, bien sûr que ici il y a un vrai risque pour le nerf.

Sur le plan technique difficile de communiquer plus détails ave
les coupes fournies.

Reste la possibilité, si besoin, de laisser apex en place afin de limiter un peu une lésion du nerf

--
Canin


Mario ycg44a - Eugenol
Mario180

23/05/2013 à 16h24

Canin écrivait:
---------------
> Reste la possibilité, si besoin, de laisser apex en place afin de limiter un peu
> une lésion du nerf


En fait j'y ai pensé, mais je n'ai pas appris à faire ça :

- jusqu'où rogner la dent ?
- comment assurer l'éviction du kyste sans en faire de la charpie avec la fraise ?
- comment faire en sorte que les débris soit tolérés le mieux possible ?




> Sur le plan technique difficile de communiquer plus détails ave
> les coupes fournies.
>

Tiens, voilà du boudin ;) :

- CT 1 et 2 : le côté gauche, LE gros morceau
- CT 3 et 4 : le côté droit, dont on peut tout de même se demander si le nerf ne sera pas un peu adhérent à l'apex.

Ct1 olvmyv - Eugenol
Ct2 svflfu - Eugenol
Ct3 m4z0pm - Eugenol
Ct4 ekv8ss - Eugenol

G-P

23/05/2013 à 22h18

Et pourquoi pas virer les kystes et laisser les dents ?


Mario ycg44a - Eugenol
Mario180

23/05/2013 à 22h29

A la connaissance c'est récidivant.


dentatronche

23/05/2013 à 23h09

il y a une indication a extraction la dent et exerese du kyste.

Tu fais une coronectomie basse ce qui te permet de virer les 3/4 de la dent sans risque, et tu laisses la pointe apicale en place. Aucun risque pour le nerf.

Il faut trépaner large en distal pour bien appréhender le kyste.