Cookie Consent byPrivacyPolicies.comresorption interne, quelle attitude, facteur de cause? - Eugenol

resorption interne, quelle attitude, facteur de cause?

aterman

23/05/2013 à 12h54

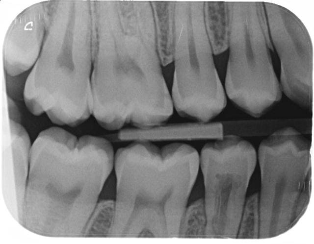
Ci joint btw pre et post orthodontie.
Au niveau de la 45, cela sent la resorption interne. Quel est le mecanisme? Quel traitement? Est ce l orthodontie qui a provoque cette resorption?
ps: il s est ecoule 2 ans entre les 2 radios. Merci pour vos informations.

Ires1 yus7pz - Eugenol
Ires2 ld8rou - Eugenol

Nouveau image bitmap fz77zh - Eugenol
Sethef

23/05/2013 à 13h15

Pour la cause, je n'en sais rien. Pour le traitement, c'est l'endo, tu peux sinon être certain que ça continuera d'évoluer.


LGBen

23/05/2013 à 14h12

Je dirais résorption interne de remplacement
Due sans doute au traitement ortho, en théorie c'est un état d'inflammation léger et chronique de la pulpe qui entraine l'apparition d'un tissu osseux/cémentoide

ttt: traitement endo, et caoh


Eldrya

24/05/2013 à 10h53

Une résorption interne ne serait pas plus symétrique? pour vérifier il faut faire une incidence exentrés, si ça se déplace c'est autre chose (externe? Ca se verrait en bouche je pense)..
Pour la cause...
J'ai vu une résorption externe en distal d'une 17 et je me pose encore la question


1309531 ours brun n5iukf - Eugenol
seespan

24/05/2013 à 12h45

Eldrya écrivait:
----------------
> Une résorption interne ne serait pas plus symétrique? pour vérifier il faut
> faire une incidence exentrés, si ça se déplace c'est autre chose (externe? Ca se
> verrait en bouche je pense)..

En fait une resorption externe comme son nom l'indique a son étiologie en dehors de la dent et une interne a l'interieur. Donc quand on prend des radio sous plusieurs incidence

1 la résorption interne sera toujours relativement nette et liée a la pulpe , normal c'est un élargissement de la cavité pulpaire.

2 la résoprtion externe ne sera pas toujours liée a la pulpe car il n'y a pas forcément de contact de plus la zone est délimité par de l'os et de la dentine donc les bords seront moins nette.

Personnellement je ne peux pas affirmer que se soit interne avec seulement c'est deux radios il faudrait l'avis des endodoniste exclusif.

L'étiologie est inconnue pour les externes il me semble.


--
หมอจัดฟัน


1309531 ours brun n5iukf - Eugenol
seespan

24/05/2013 à 14h46

Mon erreur la lésion apparaît clairement au-dessus de l'os donc c'est une résorption interne et pas externe.

--
หมอจัดฟัน


Smaze

25/05/2013 à 01h23

Si les tests de percussions sont négatifs, ca laisserai supposer à une résorption interne seulement.


Grumpy cat ifik8s - Eugenol
radich_a_tord

25/05/2013 à 02h43

Et celle ci est elle externe ou interne ? Je dirais externe.

ATCD de chute et traitement ortho il y a 2 ans...

Que penser du pronostic de la 21 ? Mal parti aussi...

Radio1 k0wdvx - Eugenol
Radio2 axolxx - Eugenol

F e01w igu3rl - Eugenol
roumette

25/05/2013 à 03h29

@ aterman :

Tente l'endo. Qu'as tu à perdre?
Si le processus est interne, tu lui coupes les vivres.
Mais je n'en suis pas si sûre, au regard de la petite dépression qui s'est creusée sur la face distale de la racine.

@radich :

Ne touche pas à la 21. Oblitération totale de la lumière canalaire, elle s'est mieux défendue que sa voisine. Certes l'apex est un un peu "plat", mais moins inquiétant que la 22. Voeux pieux ici, la tentative d'endo...:-(


Smaze

25/05/2013 à 07h52

@radich :

résorption externe, stade déja avancé. Le pronostic de cette dent est faible.
Il faudrait passer par un stade de CaOh pendant quelques semaines puis
je pense que l'obturation au MTA serait souhaitable car la perf à l'air importante.


Grumpy cat ifik8s - Eugenol
radich_a_tord

25/05/2013 à 10h30

Je pensais ne pas toucher à la 21 vu l'absence de lumière canalaire visible, en effet. Mais à surveiller très régulièrement.

Pour la 22, mauvaise surprise quant à l'importance de la résorption...
J'ai de toutes façons fait l'endo pour diminuer l'infection en irrigant +++ en interne. j'ai prévu d'extraire dans quelques semaines.

Ensuite, ben on verra ça avec mon pote plus calé en implanto...Je pense à une ROG et pas mal de temporisation.


Désolé de squatter ton post Aterman, mais en faire un 2ème sur le même sujet ça faisait beaucoup !


aterman

25/05/2013 à 20h04

No problemo radich...

Merci a Roumette d avoir fait remarquer la carie sur 16 qui est sous surveillance depuis 2 ans avec fluoration locale tous les 6 mois et bain de bouche fluore. Malheureusement elle sera traitee le mois prochain car evolutive au niveau dentinaire.

Pour ce qui est de la resorption, j ai vu avec l ortho traitant et il voit la patiente la semaine prochaine pour controle de fin de traitement ortho. Il me conseille de reevaluer la dent a 3 mois, 6 mois et si evolution devitalisation..

Ce qui me tourmente, c est quel est le processus qui a declenche la resorption? Trop de force de maniere trop rapide au niveau de la dent lors du traitement ortho?
La patiente a 16 ans et j ai les boules de lui devitaliser sa dent car c est un peu une resorption de causalite iatrogene..


aterman

26/06/2013 à 13h31

Patient venu pour couronne et bio sur 16 il y a 2 ans (Necrose)
Revient avec des douleurs sur 17 provoquees par le froid mais supportables. Encore une resorption interne?

Intern resorption jh3vgx - Eugenol

bine

07/08/2013 à 15h43

oui on dirait bien :-/
demande un avis chez l endodontiste
pronostic mauvais dans ces cas de reorptions