Cookie Consent byPrivacyPolicies.comtartre sérique - Eugenol

tartre sérique

francesca

24/05/2013 à 19h27

Quelle est la cause du tartre sérique chez l'enfant, et quelle en est la prévention (pour rassurer les parents)?


Avatar hjdsnm - Eugenol
TiGabi

24/05/2013 à 19h39

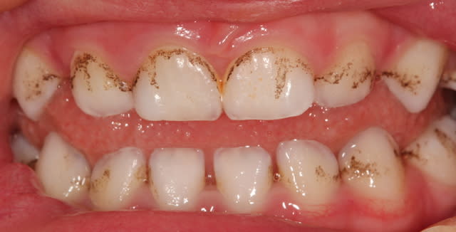
- Taches noires chez l'enfant (fréquent) : colonies bactériennes d'une espèce particulière ayant les caractéristiques suivantes :
* effet carioprotecteur
* disparait toujours à l'adolescence
C'est le cas de la première photo.
Tu peux les retirer avec un ultrason ou une cupule abrasive pour motif esthétique. Attention à certaines mamans qui peuvent demander un détartrage tous les mois : prévenir que cela reviendra toujours jusqu'à l'adolescence et proposer un délai raisonnable (1 à 2 fois par an).

- Tartre sérique chez l'enfant (rare) : prescrire une glycémie à jeun, c'est un signe de diabète. C'est le cas de la seconde photo : enfant avec diabète de type 1.

Img 5377 vezcjv - Eugenol
Img 5119 xgvbbo - Eugenol

francesca

24/05/2013 à 20h03

Merci Tigabi pour ces explications!


isaïe

25/05/2013 à 09h34

"- Taches noires chez l'enfant (fréquent) : "

Quelle est la nature de ce "noir" ?


Avatar hjdsnm - Eugenol
TiGabi

25/05/2013 à 10h12

isaïe écrivait:
---------------
> "- Taches noires chez l'enfant (fréquent) : "
>
> Quelle est la nature de ce "noir" ?

Dans les études, on les appelle "black stains", littéralement "tâches noires" : personne ne leur a donné de nom propre pour l'instant.
C'est un biofilm bactérien calcifié formé par des bactéries anaérobies(actinomyces ++) en réaction avec le Fer présent normalement dans la salive.
C'est un type de plaque particulier associé à une flore buccale particulière que l'on retrouve chez 2 à 4% des enfants. Les études montrent que cette flore particulière est moins propice à former des caries.


roger chicot

25/05/2013 à 12h00

"La coloration noire, fine ligne ou large bande qui apparaît au niveau des surfaces vestibulaires et linguales des dents près du bord marginal et s'étend sur les faces proximales (....) est le fruit d'une bactérie chromogène, actinomyces (c'est un sulfide ferrique issu de la réaction entre un sulfide hydrogène produit par la bactérie et le fer présent dans la salive et l'exsudat gingival)"

dyschromies dentaires AJ FAUCHER et COLL ed CDP 2001 p9


Bagheera tudzjy - Eugenol
bagheerra

25/05/2013 à 12h23

Les incisives permanentes peuvent-elles être autant concernées que les lactéales ? (Hormis le fait que ça passe à l'adolescence)


isaïe

25/05/2013 à 13h17

"C'est un biofilm bactérien calcifié formé par des bactéries anaérobies(actinomyces ++) en réaction avec le Fer présent normalement dans la salive."
C'est une population bactérienne connue pour son utilisation du fer ?