Cookie Consent byPrivacyPolicies.competit probleme de conscience. - Eugenol

petit probleme de conscience.

aterman

27/05/2013 à 12h08

Voila patient suivi par le directeur de la clinique depuis 10ans.
Vient aujourd hui en consultation pour controle.
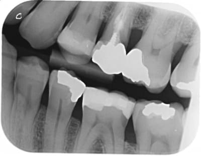
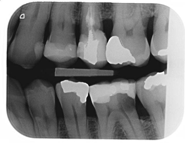
Je compare les btw precedents et tombe sur un hic au niveau de 36 en evolution depuis 2010.
Je le renvois au directeur pour l endo? Un composite en 2010 aurait coute 100 euros et maintenant le patient va en avoir pour 7 a 8 fois plus.

Vous feriez quoi?

ps: j ai juste dit au patient qu il y avait un risque de bio

ps1: je sais que l on fait tous des erreurs, mais face a un directeur qui nous demande une activite irreprochable... Je garde le dossier sous le coude pour la prochaine fois?

Carie1 igujaq - Eugenol
Carie2 jim6zs - Eugenol
Carie3 e1basb - Eugenol

R8 p797bs - Eugenol
vive l'endo à perte

27/05/2013 à 12h25

pourquoi tu lui re-adresse ? si le patient viens te voir.

après perso sur un cas comme ca je dit rien; un loupé sur les clichés sa peut arrivé tu lui dit juste qu'il y a échecs sur le soin et qu'il va falloir dépulpé et couronné ou inlayisé


01 ukhwbq - Eugenol
ʎqqoq

27/05/2013 à 12h35

Si tu gardes le dossier pour le lui ressortir, bonjour l'ambiance...
Irréprochable c'est quoi? C'est qui rapporte? lol


aterman

27/05/2013 à 13h01

Non en fait on est 8 dentistes a la clinique et le directeur veut que nos soins soient toujours impeccables.L argent n est pas un souci, le plus important est la qualite.

L autre jour une collegue avait pas vu une carie sur une 55 l annee derniere et le patient a eut le malheur de venir en urgence chez le directeur pour extraction apres abces.

Elle a pris une sacree engueulade..

Je prepare juste mes arrieres au cas ou...

Patient de 11h30, une zirkone scellee avec un ciment au phosphate en 2011 qui est tombee. Opps c est mon directeur encore.
Sacre loi des series today.


aterman

27/05/2013 à 13h04

En fait il a 1,5 ans de retard pour ses patients, donc en ce moment, vu qu il en fait de moins en moins( vient d feter ses 50 ans), on recupere tous ses patients.


vive l'endo à perte écrivait:
-----------------------------
> pourquoi tu lui re-adresse ? si le patient viens te voir.
>
> après perso sur un cas comme ca je dit rien; un loupé sur les clichés sa peut
> arrivé tu lui dit juste qu'il y a échecs sur le soin et qu'il va falloir dépulpé
> et couronné ou inlayisé


King lcqqit - Eugenol
King of PAP

27/05/2013 à 13h05

Un compo à 100 Euros...
Tu ne bosses pas en France, toi.


aterman

27/05/2013 à 13h13

Non suede,consult a 90 euros, la bio molaire est a 600 euros plus un composite 3 faces a 200 euros ou une couronne a 600.
A ce prix, le patient a droit a la qualite...

King of PAP écrivait:
---------------------
> Un compo à 100 Euros...
> Tu ne bosses pas en France, toi.


Marque a3 orange fyvhyq - Eugenol
Marc Apap

27/05/2013 à 13h53

Pour ce que je vois sur les radios, ces soins sont propres, mais pas exceptionnels. Notamment les faces proximales, reconstituées avec des matrices insuffisamment galbées qui produisent un point de contact presque occlusal et qui ne protège pas très bien l'espace inter dentaire en évitant aux aliments de se coincer.
Ceci étant, nous avons tous des patients qui ne passent pas assez les brossettes inter dentaires et déclenchent des caries cervicales incontrôlées.
A stade où nous en sommes, la pulpectomie semble difficile à éviter. Ton patron devrait s'en réjouir, sauf s'il n'est pas payé au pourcentage.


Pierre-E

27/05/2013 à 15h13

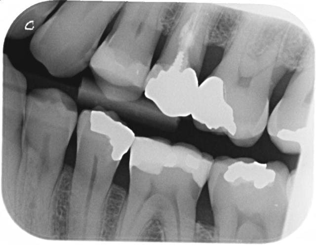
je m'inquiéterais aussi pour la 25.

En parlant matrice, mon stock d'automatrix diminue, qu'est-ce qui est le mieux actuellement pour les points de contact ?


Bebe 038 nf8eum - Eugenol
danteyeah

27/05/2013 à 15h29

Pierre-E écrivait:
------------------
> je m'inquiéterais aussi pour la 25.
>
+1

> En parlant matrice, mon stock d'automatrix diminue, qu'est-ce qui est le mieux
> actuellement pour les points de contact ?

V3 Ring (Triodent), et son clone: Palodent+ (Densply)


paradoxe

27/05/2013 à 15h31

aterman écrivait:
-----------------
> demande une activite irreprochable... Je garde le dossier sous le coude pour la
> prochaine fois?
oui


charles976

27/05/2013 à 15h45



face distal de 23 également, y a une petite radio clarté.
sinon moi j'utilise les V3 rings avec du CVI (equia), les points de contacts son nickels et bien placé. par contre une fois utilisé toute les matrices de V3 , j'ai acheté les matrices qu'on utilisait avec les anneaux de mc kean anciennement toujours en vente. bombé plus marqué, matrice plus profonde et tout aussi fine, ça fait un bon compromis avec l'intensité des V3 et leurs coins de plastiques moins traumatisant pour la papille. voila!


--
charles976


aterman

27/05/2013 à 15h56

.


aterman

27/05/2013 à 15h57

merci pour vos inquietudes..

Au passage le patient a 75 ans(31 dents en bouche, manque la 18) et la 25... on va la laisser tranquille.
Il a le bateau, la voiture, la maison qui passeront avant m a explique :0)

Pour les matrices, j utilise Garisson, c est la meme chose que palodent je crois et cela fait de jolis galbes avec point de contact garanti.

Loi des series?

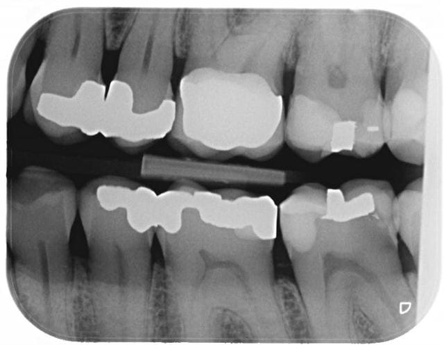
Je rescelle zirkon de 11h30 au multilink et radio de controle pour voir si j ai pas oublie du materiau en interproximal. Et bingo!!!

ps: la patiente etait a la clinique il y a 2 mois pour controle avec 4 btw.

Recem czr0vn - Eugenol

aterman

27/05/2013 à 16h07

charles976 écrivait:
--------------------
>
>
> face distal de 23 également, y a une petite radio clarté.
>

Composite realise en 2011-03, donc no touch...:0)


arno

27/05/2013 à 17h35

Au risque de poluer un peu ton post, peux-tu nous expliquer en quelques mots le principe d'une structure comme ça en Suède: statut du boss, est-ce le seul investisseur, statut des collaborateurs, chaque collab a-t-il une spécialité, combien de collab, d'hygièniste, d'AD....
Bref nous partager ce monde qui est bien loin du notre ;)


eletha

27/05/2013 à 18h27

aterman écrivait:
-----------------
> Non suede,consult a 90 euros, la bio molaire est a 600 euros plus un composite 3
> faces a 200 euros ou une couronne a 600.
> A ce prix, le patient a droit a la qualite...
>
> King of PAP écrivait:
> ---------------------
> > Un compo à 100 Euros...
> > Tu ne bosses pas en France, toi.


Je vais pleurer. C'est dur le suédois à apprendre????? Y fait pas trop froid?????


Xv950 x01biv - Eugenol
island

27/05/2013 à 19h21

mais non c'est facile, aussi facile que de retenir le nom des meubles chez ikeo!

--
Vieux motard que jamais


aterman

27/05/2013 à 21h41

Vous emballez pas, un dentiste doit assurer le salaire de 2 assistantes et une receptionniste et quand je vois que mes assistantes tournent a 2000 euros net ( le net en suede c est du net, tout a ete preleve, taxe habitation, fonciere, impots sociaux, retraite, c est argent de poche quoi) un dentiste gagne moins qu en France....mais question qualite de vie au boulot......


4a338550 6a5b 47ea b2a7 d3cb675c5076 oni5gh - Eugenol
fistule69

27/05/2013 à 22h11

Pour ton Boss, il faut le pendre !
Oublier une carie à 90€ la consultation, cela mérite au moins de la prison ferme.
Entre nous, je pense qu'au précédent contrôle, la pulpo était probable, donc profil bas et excuse du genre : " le soin c'est fracturé et voilà !"
Et puis à 600€ la pulpo, c'est plus simple de ne pas voir les caries ?
Je fais pareil pour faire des couronnes chez nous.
Vive les échanges France-Suede !


youn

27/05/2013 à 22h28

A ces prix là comment ça se fait qu'on ne voit pas plus d'inlays/onlays?

2 assistantes? et une réceptionniste? Vous avez 16 assistantes et 8 réceptionnistes pour 8?

Ca fait un peu gros, y'a peut-être un léger souci de gestion...

Et quand bien même à 2000€ par dent couronnée... Même en faisant de la qualité tu les paies les salaires...


aterman

27/05/2013 à 23h33

Y a les hygienistes qui rapportent aussi, elles sont 5 et une assistante peut bosser seule sur un fauteuil pour la prevention et fluoration...
Sinon le ratio est 1 dentiste/3 personnels...
La clinique est publique et son but est l equilibre financier, des qu il y a un benefice il est reinvesti, ou depense dans voyages pour la clinique. Et on est souvent en benefice, mais pas de bonus a la quantite de soin, donc on bosse pour le patient pas pour nos salaires.


Logo vuaztn - Eugenol
mac

27/05/2013 à 23h40

tu gagnes combien si c'est pas indiscret?


youn

28/05/2013 à 00h24

aterman écrivait:
-----------------
> Y a les hygienistes qui rapportent aussi, elles sont 5 et une assistante peut
> bosser seule sur un fauteuil pour la prevention et fluoration...
> Sinon le ratio est 1 dentiste/3 personnels...
> La clinique est publique et son but est l equilibre financier, des qu il y a un
> benefice il est reinvesti, ou depense dans voyages pour la clinique. Et on est
> souvent en benefice, mais pas de bonus a la quantite de soin, donc on bosse pour
> le patient pas pour nos salaires.

Oui d'accord mais les hygienistes s'auto-paient. Donc en gros avec 7-8 couronnes + dévitalisations t'as payé les 2 autres salaires qui t'incombent, plus le matos et les autres charges (largement)... J'espère que tu en fais plus que ça (après que vous décidiez d'être payés en vacances plutôt qu'en salaire ça vous regarde) mais je ne pense pas que soyez moins payés qu'en France.


aterman

28/05/2013 à 00h57

7-8 couronnes, devitalisations c est ce que je fais en 1 trimestre... 75% des patients qui viennent faire des controles n ont rien!!!! C est le revers de la prophylaxie , c est pourquoi la consultation est aussi cher. Et ne parlons pas des urgences. Une extraction simple un samedi c est tres tres cher.

Apres on a le temps de se consacrer aux cas " compliques" et travailler sans penser a l argent, le roulement financier est apporte par les patients qui sont controles annuellement. Il y en a meme qui ont un abonnement avec la clinique et tous les mois ils paient une somme en fonction de leur risque a avoir des problemes ( carie, fracture, dds, couronnes) pour etre pris en charge sans avoir a payer quand ces problemes arrivent. ( quasi jamais)...en fait c est la clinique qui joue le role de mutuelle.


12