Cookie Consent byPrivacyPolicies.comDent dyschromiée (flurose ou tétracycline) et prise en - Eugenol

Dent dyschromiée (flurose ou tétracycline) et prise en charge sécu.

levm

27/05/2013 à 23h59

-Patient CMU
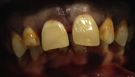
-Teinte "orange" sur la moitié cervicale , le patient me dit que petit l'eau de son village était très fluorée.
-Classe II div 1
Que peut-on lui proposer ?
-La CMU ou la sécu prend-elle en charge les couronnes sur dents dyschromiées (type tétracycline, ou fluorose).


Avatar hjdsnm - Eugenol
TiGabi

28/05/2013 à 00h22

Faire une couronne pour une simple dyschromie sans anomalie de structure majeure me semble très mutilant.

Du moins au plus invasif : érosion-infiltration de résine, micro-abrasion amélaire, remplacement par composite, facettes.

Impossible de dire quelle solution serait adaptée sans une photo.

HN !


levm

28/05/2013 à 00h36

C'est pris en vitesse avec mon iphone .
érosion infiltration , je suis pas contre mais j'ai des doutes dessus .J'ai lu quelques articles , on pouvait masquer quelques taches blanches avec des résultats pas toujours parfaits.
Composites ou facette , Que vaut le collage sur ce type de surface..

Img 4469 qmlrwi - Eugenol

F e01w igu3rl - Eugenol
roumette

28/05/2013 à 09h38

C'est un cas de fluorose...
C'est le petit frère de ma patiente...;-), exposé plus jeune au fluor.

http://www.eugenol.com/sujets/396126-fluorose-de-folie?page=1

Pour info j'ai fini par couronner vivantes les 4, 5 et 7 sans aucun problème. Non, je ne m'appelle pas D......a....

Les centrales ont été retouchées?


levm

29/05/2013 à 02h53

Je sais que couronne est une des possibilités thérapeutiques , peut etre pas la moins mutilantes mais une solution durable .

Mais question , est peut-on peut avoir une prise en charge sécu ou c est entierement HN?


ceel

29/05/2013 à 10h54

j'ai entendu parlé du traitement ,de dyschromie liée à la prise de tétracyclines, par du peroxyde de carbamide à 10% pris pendant plusieurs mois. est ce que certains d'entre vous ont essayé ? quels ont été les résultats ?
merci