Cookie Consent byPrivacyPolicies.comPour Pluton ;-) - Eugenol

Pour Pluton ;-)

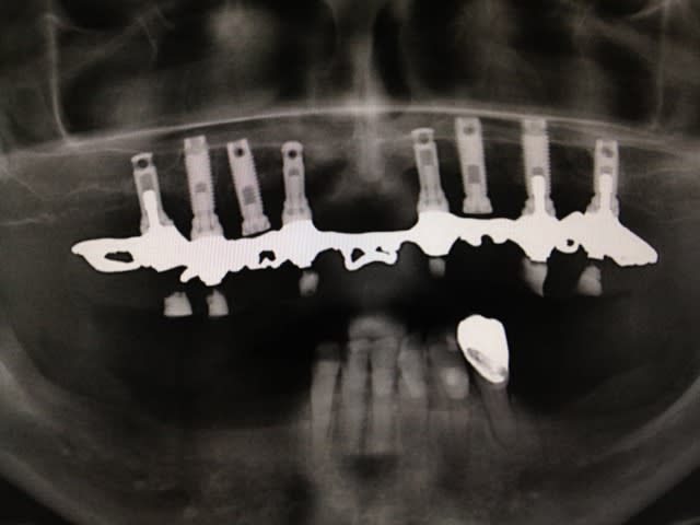
Smile beach jgh0a1 - Eugenol
Céramik

29/05/2013 à 04h55

Implants posés autour de 1987,
complet transvissé acrylique sur structure en "or"
2 des implant sonts non-utilisés...

Patient veux refaire le haut.
Elle affirme que c'est du "Branemark"

La question, c'est quoi c'est implants, et les lisses ?

Merci


--
Céramik

Photo 1 t7gwn3 - Eugenol
Photo 2 lb1wsn - Eugenol
Photo 3 l7rotp - Eugenol

Logo vuaztn - Eugenol
mac

29/05/2013 à 09h22

C'est des branemark mkII et des IMZ impactés.


Photo pluton1b h9n4ea - Eugenol
pluton

29/05/2013 à 09h30

elle doit avoir raison...
Nobel MK (peu importe...hex externe) et les lisses doivent être des steri-oss (racheté par Nobel...)

rapproche toi d'un représentant Nobel pour savoir si tu peux avoir encore des pièces pour les steri-oss (pas certain...) , une trousse de prothèse de prêt pour être sûr de pas bousiller les têtes de vis, et sinon, gaffe quand tu démontes de conserver un max de pièces en bon état!!!


aterman

29/05/2013 à 10h42

Juste une interrogation de neophyte.

Sur un cas comme celui ci, est qu une armature Atlantis Isus Cad /cam peut etre compatible?


Bart simpson etu9x2 - Eugenol
scenicoste

29/05/2013 à 12h36

pluton écrivait:
----------------
> elle doit avoir raison...
> Nobel MK (peu importe...hex externe) et les lisses doivent être des steri-oss
> (racheté par Nobel...)
>
> rapproche toi d'un représentant Nobel pour savoir si tu peux avoir encore des
> pièces pour les steri-oss (pas certain...) , une trousse de prothèse de prêt
> pour être sûr de pas bousiller les têtes de vis, et sinon, gaffe quand tu
> démontes de conserver un max de pièces en bon état!!!

Il est possible que ce soient tous des steri oss car ils avaient également des impactés ce qui ne change rien pour construire la prothèse tu vas probablement avoir un connection hex externe de 0,7 mm pour des régular et de 1mm pour des narrow ou des wide:

pour démonter l'armature en place sur les piliers c'est un tournevis hexagonal de 0,050" (réf Steri oss de l'époque pour le mandrin adaptable sur contre angle : 62 741 si tu t'adresse à ton représentant Nobel dis lui de regarder ce qu'il te faut dans leur catalogue Spare Part).

pour démonter les piliers qui reçoivent l'armature en or (PME transmucosal abutment de l'époque)tu auras besoin d'un tournevis creux le Transmucosal Abutment Wrench (Réf Steri oss de l'époque : 2129)

pour retirer les vis de couverture sur les implants qui ne sont pas en charge là il y a 2 types de tête de vis possible
une vis de couv à tête plate avec un sillon donc un tournevis plat
ou une tête de vis convexe pour lesquelles tu auras besoin d'un tournevis hexagonal de 0,030" (réf Steri oss de l'époque pour le mandrin adaptable sur contre angle :2410).

pour reconstruire une armature que ce soit direct implants ou sur piliers PME, tu peux sans soucis t'adresser à un Labo qui utilise le Cad Cam Nobel depuis longtemps car ils ont forcément les pièces spécifiques Stéri oss pour scanner.

Si le représentant nobel ne peux pas te donner les infos, je devrais pouvoir te donner un ou deux tuyaux.

Bonne journée à bientôt sur le forum





tournevis steri oss est un


Bart simpson etu9x2 - Eugenol
scenicoste

29/05/2013 à 12h44

aterman écrivait:
-----------------
> Juste une interrogation de neophyte.
>
> Sur un cas comme celui ci, est qu une armature Atlantis Isus Cad /cam peut etre
> compatible?

Compatible au sens où elle va s'emboiter sur les hexagones externe mais pas compatible au sens où il y a un gros risque pour l'ajustage entre la jonction plateforme prothétique de l'implant et l'armature.


Smile beach jgh0a1 - Eugenol
Céramik

31/05/2013 à 05h25

Merci pour les info.
J'ai remarqué aussi que les vis n'étaient pas les même. Les dents ont été changées une fois, il y a 6-7 ans.

Le plan de tx est de remplacer les dents en conservant l'armature, car la patiente n'a pas le budget pour du cad/cam. J'ai prévu changer les vis, pour repartir au moins avec quelques pièces rêcente ;-)


--
Céramik