Cookie Consent byPrivacyPolicies.comTout sur l'irrigation en endo - Eugenol

Tout sur l'irrigation en endo

pointG

04/06/2013 à 21h53

Bravo à Oscar pour la démonstration sur le pourcentage hypo 2.5% (un berlingot à 9,6° de chlore actif dans 250 ml),mais le gentil scarabee peut irriguer avec de l'hypo coltène?
septodent ,zizine ;certains à 15 EUROS les 250ml...Comme disait
un endo exclusif de Lyon(Serge Bal pour ne pas le citer!) c'est un peu comme si on irriguait au "Chateau d'Yquem" sa dent....
Autrement chacun ses recettes mais le minimum pour une endo reste
digue+cathétérisme alésage sous hypo.activé aux ultrasons et obturation 3D mac spaden.Tout ceci pour une endo reproductible et
d'un cout minimal.Bien sur les 30 secondes à la fin à l'EDTA pour ouvrir les tubulis et éliminés un peu de smear layer, bien sur avec un dernier passage à l'hypo sont un super plus.C'est comme cela que l'on peut obturer des canaux secondaires!(fréquents chez les endos exclusifs....)
Ces infos étaient disponible dans un numéro exclusif sur l'endo
du "fil dentaire" en 2008


Marque a3 orange fyvhyq - Eugenol
Marc Apap

04/06/2013 à 22h27

N'empêche que le CanalPro Extra avec des tensio actifs donne sérieusement l'impression de nettoyer nettement mieux que l'hypo normal. Très cher malheureusement, sauf si on comprend que vider des seringues de 10 cc ne sert à rien.


Grumpy cat ifik8s - Eugenol
radich_a_tord

04/06/2013 à 23h22

Si les représentants de GACD pouvaient nous donner les chiffres de vente des pipettes plastiques, on rigolerait (jaune).

Je préfère un praticien qui vide ses 10 mL de ClONa par canal sous digue plutôt qu'un mec qui fait respirer les vapeurs d'eau oxygénée à ses endos.

Sinon 100% d'accord avec la préparation de l'hypochlorite au berlingot. Utilisation 15 jours maxi par contre, en effet il n'y a pas d'agent stabilisant.


Nouveau image bitmap fz77zh - Eugenol
Sethef

04/06/2013 à 23h51

L'EDTA liquide est-il plus efficace que le glyde?


Grumpy cat ifik8s - Eugenol
radich_a_tord

05/06/2013 à 00h21

Si c'est pour rincer à la fin de ta séquence instrumentale, oui
Si c'est pour faciliter le cathétérisme au début du traitement, non.


Marque a3 orange fyvhyq - Eugenol
Marc Apap

05/06/2013 à 00h45

1/ Que tu préfères un corniaud bon élève à un crétin je m'en foutiste, c'est ton droit. Je donnais juste une info pour informer ceux qui pensent se valoriser en faisant du zèle, que cela ne sert à rien tant que l'aiguille ne va pas au bout du canal. Les utilisateurs de pipettes, ou même de précelles fermées pour puiser une goutte de liquide comme je l'ai vu, font bien ce qu'ils veulent, je ne suis pas leur patient.
2/ Ca doit faire à peu près 278 ans, 9 mois et 25 jours qu'on explique partout en long en large et en travers que l'on peut utiliser de l'eau de Javel du commerce même pure mais non parfumée ni accompagnée d'additifs pour irriguer les canaux, et il faut toujours que la question revienne sur le tapis. C'est désespérant.
Ah, une dernière info utile : l'eau de Javel en berlingot est moins stable que celle en bidon prête à l'emploi. Pourquoi faire simple quand on peut faire compliqué ?


Grumpy cat ifik8s - Eugenol
radich_a_tord

05/06/2013 à 01h03

Tt à fait d'accord avec toi Marc.

Si tu veux m'aider dans la bonne humeur sur les marronniers du forum, on a aussi les sujets sur le matériel en photo au cabinet, la cotation des inlay core, la cotation des prothèses sur implant, le taux urssaf et comment tondre les signataires de protocoles santéclair-MGEN.


La mule ynmlik - Eugenol
la mule

05/06/2013 à 01h42

Ah bon! Moi qui croyais qu'il fallait rincer avec de l'hypochlorite..


Bebe 038 nf8eum - Eugenol
danteyeah

05/06/2013 à 06h04

Marc Apap écrivait:
-------------------
> 2/ Ca doit faire à peu près 278 ans, 9 mois et 25 jours qu'on explique partout
> en long en large et en travers que l'on peut utiliser de l'eau de Javel du
> commerce même pure mais non parfumée ni accompagnée d'additifs pour irriguer les
> canaux, et il faut toujours que la question revienne sur le tapis. C'est
> désespérant.

Et ce n'est pas près de s'arrêter ;-)

Une petite histoire qui devrait te plaire marc, toi qui porte un jugement très critique sur l'enseignement: en cinquième année un professeur (thésé 3ieme cycle, donc pas un MCU), assimilable à un dieu vivant pour un petit étudiant , prônait à qui voulait l'entendre le conseil suivant quand à l'irigation des canaux lors de ses endos: imbiber une pointe de papier d'hypo. pour nettoyer le canal était bien assez suffisant. C'était il y a 20 ans, biensur c'est faire preuve d'intelligence que de remettre en question l'un des "commandement" du dieu, mais tout laisse à croire que ce genre d'affirmation marque l'esprit les brebis égarés dont le discours revient alors comme un écho nourrir les fils des forums pro.


La mule ynmlik - Eugenol
la mule

05/06/2013 à 13h35

Bon alors je vais peut être irriguer avec de l'eau oxygénée ?


Grumpy cat ifik8s - Eugenol
radich_a_tord

05/06/2013 à 13h57

Parfait, après quand tes patients auront des résorptions externes tu me les envoies pour le traitement implantaire.


La mule ynmlik - Eugenol
la mule

05/06/2013 à 17h03

Ah ben je vais peutêtre essayer la chlorhexidine..


Marque a3 orange fyvhyq - Eugenol
Marc Apap

05/06/2013 à 17h31

Dis donc, la Mule, tu n'as pas fini tes âneries ?


pointG

06/06/2013 à 21h21

Pour Sethef:l'idéal est que l'endo dure au moins 30 minutes pour que les instruments successifs baignent dans l'hypo et une minute à la fin par canal avec de l'hypo activé par une lime endosonore
(le + 1 minute max, avant d'edta liquide suivi encore d'hypo)
Et pour Zouzoupette 74 :c'est dommage que tu retournes au Dakin
qui ne délivre pas assez de Chlore actif;tu as du faire un emphysème à cause de l'hypo passé dans le periapex un risque de plus en plus fréquent avec nos alésages en Niti importants à l'apex.La seringue est dangereuse pour cela ,meme avec une aiguille à sortie latérale il ne faut pas forcer et etre à distance du périapex.Cela m'est arrivé ,aussi j'utilise donc
une lime endosonore(prophymax endo de Satelec,mais aussi Pmax,
EMS etc...)pour amener l'hypo au début sans activer les ultrasons!
C'est une recette...
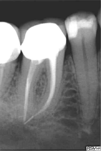
Autrement j'ai joint 2 radios en 2011 ou suite à une bio sous digue+ hypo à 2,5% j'ai cassé 2 Niti un ,racine mésiale de 46
et en distal dans sans doute un canal secondaire.Tout cela baignait dans l'hypo.Je n'étais pas fière( surement pas assez de cathétérisme apex mésial dépassé etc...)Et donc j'ai fait un suivi
et en 2013 le périapex semble guéri,pas de sensibilité à la pression, la nature est sympa et bien sur je ne casse plus de Niti
dans mes endos.....

2011 yf6dsf - Eugenol
2013 dibdsa - Eugenol

flicflac

08/06/2013 à 15h27

la brisure du Nti est probablement plus du à la courbure
Malheureusement je casse encore des limes...j'aimerais savoir la sorte que tu utilises?

L'hypochlorite, je ne le dilue pas, il est de 4.5% à 5.5%,
je le filte seulement pour enlever les cristaux.
Edta 17% chlohexidine 2% (acheter à 20% et dilué dans eau stérile) attention de bien assècher l'hypochloride avant de mettre chlohexidine, le précipîté qui se forme est merdique et toxique... bref MarcApap avait tous dit

Activation avec appareil sonique ou autre pointe de peso adapter à cette fin, action mécanique augmenté ainsi qu'une légère augmentation de la temperature qui augmenterait l'effet de l'ypochloride mais à une concentration de 5% pas besoin d'avoir l'effet d'augmentation de la température...il existe des microvac....

faire essayage des tiges de gutta avec zonite dans les canaux (désinfecte la gutta et imite l'espace du ciment de scellement)

Avant d.assècher avec pointe de papier l'hypochlorite, mettre la seringue à irriguée au fond du canal et faire aspiration negative, le nombre de pointes utilises sera réduite, idem à la fin avec chlohexidine que j'utilise dans les cas non vital seulement.

J'utilise les aiguilles endo de Bisico qui me semblent moins dispendieuse.


33.2 - Eugenol
scuba06

08/06/2013 à 23h25

Sethef écrivait:
----------------
>
> Actuellement, ce que j'en sais:
> -l'hypochlorite reste le meilleur désinfectant canalaire à tout point de vue.

Oui

> -de mémoire, on parlait d'un temps d'action minimum de 20min à l'apex

En fait c'est 20 minutes depuis le cathétérisme.

> -l'EDTA permet d'éliminer les boues dentinaires et autres merdouilles. L'EDTA en
> crème (Glyde) remplit-il cette fonction aussi bien que l'EDTA liquide?

Le glyde te sers lors de la pénétration initiale (avec instruments manuels) afin de la faciliter. Il ne faut pas utiliser de Glyde avec les NiTi. Le Glyde est assez pateux, si tu l'utilises avec les NiTi, tu risques d’amener ce gel + des boues dentinaires jusqu'au foramen et créer un bouchon.

L 'EDTA liquide sert lors de la désinfection finale. Elle est utilisée pour éliminer les boues dentinaires (toujours supposées contenir des bactéries) de l'entrée des tubulits.
Le protocole de désinfection final est :
Après essayage et calibrage du maître cône dans le canal baignant d'hypochlorite, tu rinces ton canal avec EDTA liquide (concentration 17%, 2ml par canal avec seringue dont l'aiguille a une ouverture latérale, en faisant un geste de : contact, retrait, éjection). Tu actives cette solution pendant 30sec à 1 minute (avec endo-activator ou insert US irri safe). Cette action élimine les boues dentinaires à l'entrée de tubulits.
Ensuite tu rinces tes canaux avec 2ml d'hypochlorite par canal que tu vas activer de la même façon que précédemment. De cette façon, l'hypo va pouvoir pénétrer les premiers millimètres des tubulits et les désinfecter.
Puis tu rinces une dernière fois tes canaux (2ml/canal)avec de l'hypo.
Enfin tu séche les canaux avec des pointes papier stériles (en blister).


> -Quelles sont les différentes méthodes d'activation? Je suis complètement ignare

A aujourd'hui 3 façons:
- endo-activator : sorte de contre angle e plastique qui fait vibrer une pointe en plastique (différentes tailles de pointes). tu peu amener cette pointe à ta LT et passe dans les canaux courbes.
- insert US Satelec Irri safe: ne doit jamais entrer en contact avec les parois canalaires (donc ne passent pas les courbes). Rester à LT-2 mm.
- Le cône de gutta: faire 200 mouvements de va et viens par canal...

> en ce domaine, n'ayant jamais vu d'endos exclusifs en parler en conf. Cela
> apporte-t-il quelque chose?
> -Existe-t-il d'autres méthodes pour amener l'irrigant dans le canal que la
> simple endo needle? Est-il envisageable d'utiliser un PMAX ou équivalent pour
> irriguer?

Les instruments (manuels ou NiTi) amènent la solution d'irrigation vers le foramen. C'est pour cela qu'il faut avoir dès le début de ton endo, une chambre avec 4 parois qui sert de réservoir à l'hypo.
Malgré ce que dit Marc, il est recommandé d'utiliser 2ml d'hypo/canal/instrument (ce qui faut beaucoup). En effet,les ions hypochloreux (ceux qui servent à la désinfection) sont très vite neutralisés, et c'est le renouvellement fréquent et régulier de la solution qui permet une désinfection totale.
L'irrigation se fait avec une seringue dont l'aiguille a une ouverture latérale. Mais il faut savoir, que le liquide ne pas au delà de 2 à 3 mm de la pointe de l'aiguille. Avec l'arrivée d'instruments NiTi à 8% de conicité, le liquide peut vraiment être amené au niveau du foramen.


> Bref, ici on parle de la meilleure méthode pour réussir proprement ce qu'on ne
> devrait jamais avoir à faire dans un pays civilisé. Lâchez-vous. Biblio ou
> références sont bienvenues.

Toutes ces données sont préconisés par la SFE et enseignées lors du DIU d'endo.


pointG

09/06/2013 à 12h05

Pour répondre à Flicfac =ok pour la courbure en partie responsable
en mésial de la casse Niti;j'ai été surtout" puni" par le fait de n'avoir pas suffisament déterminé ma LT!J'ai "transfixé"l'apex par le dépassement de mon niti suivi d'une casse au moment de retirer le Niti...Conséquences:toujours vérifier la LT radiologiquement +localisateur d'apex(si il ne donne pas de fausses données...)Des qu'on saute ou on fait mal une étape,les risques d'erreur augmentent.
Autrement j'ai des séquences toutes faites emballées stériles
inspirer de formations continues endo.(en particulier de Serge Bal)
Cela me convient ,je ne suis pas protaper, pour moi,meilleur alésage mais les risques de casse plus important pour un omnipraticien qui ne cathétérise pas suffisament...
Donc ma séquence de base:lime à mains N1O microméga pour le cathétérisme(avec possibilités d'utiliser des limes N6,N8,N15,n20)
puis la séquence "universelle" héroshaper N20 diamètre 6% à utiliser au 3/4 de la LT,puis N20 4% à la LT;puis N25 à4%
et N30 à 4%,un endoflare pour élargie l'entrée du canal que je n'utilise pas en première intention par risques de dévier le futur
canal à aléser(recette perso)et un compacteur Mac spaden.A coté ciment canalaire et cones de gutta hygiénic médium;fine-médium;médium fine réglette.Tout cela sous hypo comme scuba 06
a très bien détaillé ,cavité à 4 parois pour faire "baigner",activation fréquentes aux ultrasons;edta liquide suivi
d'hypo apparement pas de chlorex (comme moi ,et je ne trouve pas cela indispensable pour un risque de combinaison toxique avec l'hypo)Autrement du parle de"zonit" pour la gutta=tug back ou autres explications???


pointG

09/06/2013 à 12h13

Et merci à Scuba 06 j'utilisais du glyde aussi avec les Niti
au début;j'ai compris :à utiliser uniquement avec les instruments à mains pour le cathétérisme je comprends maintenant les bouchons en court de traitement (j'uitilise bien l'Edta liquide à la fin;j'avoue pas toujours;je pense toujours que digue+hypo+compactage de gutta sont la base minimale pour une endo
suffisante et reproductible.
Et je pense que la "mode" instrument unique te laisse "songeur"...


33.2 - Eugenol
scuba06

09/06/2013 à 17h35

pointG écrivait:
----------------

> Et je pense que la "mode" instrument unique te laisse "songeur"...

Oui....non...
Je pense que tous appareils, tous instruments, tous procédés qui peuvent faciliter le traitement sont les bien venus.

Maintenant pour l'instrument unique, si c'est pour préparer un canal en 3 minutes puis obturer... beaucoup vont se retrouver devant de gros problèmes dans quelques temps.
Mais si, une fois le canal préparé, on mets à profit ce gain de temps pour irriguer/désinfecter un peu plus longtemps, alors oui l'instrument unique est un plus.


Marque a3 orange fyvhyq - Eugenol
Marc Apap

09/06/2013 à 17h50

Cette remarque est bien conventionnelle, pour ne pas dire convenue.
Autrefois, je veux dire du temps de Schilder, il était impossible de préparer correctement un canal sans y passer au moins 45 minutes.
Avec l'instrumentation mécanisée et le NiTi, on a pu raisonnablement descendre à 20 minutes.
Aujourd'hui, les limes comme le Reciproc permettent d'envisager un temps encore plus court.
Donc, à l'époque, on ne se préoccupait pas de la durée de l'irrigation, qui était nécessaire avant tout pour éliminer les débris qui se formaient au cours de la préparation mécanique.
Je dis cela parce que comme je l'ai évoqué dans mes messages précédents, on voyons depuis le début, une succession de recettes qui expliquent comment il faut faire, mais pas exactement pourquoi.
Aujoud'hui, deux ou trois limes (je pense qu'il faut quand même pénétrer le canal sur toute sa longueur pour s'assurer de sa perméablité, et également bien évaser l'entrée pour faciliter le travail de la lime "unique" qui viendra ensuite) permettent de faire le même travail que 6 ou 7 instruments, forets de Gates compris. Il n'est donc pas forcément indispensable de consacrer un temps infini à l'irrigation. Surtout que comme je l'ai déjà dit plus haut, mais que tu n'as pas fait tilt, tant que le canal n'est pas assez évasé, tu peux verser un litre d'hypochlorite à la seringue, le liquide n'ira pas plus loin que le bout de l'aiguille, c'est à dire que la portion apicale ne sera jamais nettoyée.
Sur une dent vivante, on peut même irriguer avec de l'eau, cela n'entraînera rien de bien méchant, et pourvu que l'on n'introduise pas de microbes dans le canal, les résultats, si l'obturation est bien conduite, seront bien plus honorables qu'on ne pourrait l'imaginer (je ne le dis pas au hasard, il y a des études sur ça). Cependant, l'irrigation a également pour fonction, surtout si elle est "active" de dissoudre la pulpe dans les zones non accessibles aux instruments (isthmes, portions étroites de canaux) et cela est, tout au moins intellectuellement, extrêmement intéressant.
Une fois traité le pb de l'élimination physique des débris qui participe également du traitement de l'infection, puisque les bactéries dans les canaux et sur les parois sont également physiquement éliminées, l'irrigation terminale est aussi, voire plus efficace que celle réalisée tout au long du traitement. Alors, oui, un renouvellement de l'irrigation, l'agitation de la solution etc peuvent être autant d'atouts pour une bonne efficacité du nettoyage et de l'assainissement endodontique, surtout nécessaires sur les pulpes nécrosées, mais il ne devrait n'y avoir aucun complexe à passer deux ou trois minutes à cela, et pas 20.


33.2 - Eugenol
scuba06

09/06/2013 à 18h36

Nous sommes donc d'accord sur l'ensemble.

Marc Apap écrivait:
-------------------
> oui, un renouvellement de l'irrigation, l'agitation de la solution etc peuvent
> être autant d'atouts pour une bonne efficacité du nettoyage et de
> l'assainissement endodontique, surtout nécessaires sur les pulpes nécrosées,
> mais il ne devrait n'y avoir aucun complexe à passer deux ou trois minutes à
> cela, et pas 20.

Crois tu vraiment que 3 minutes suffisent à éliminer toutes les bactéries de l'ensemble du réseau canalaire d'une dent nécrosée ?


Marque a3 orange fyvhyq - Eugenol
Marc Apap

09/06/2013 à 18h57

Non, je pense qu'aujourd'hui, il n'est pas possible d'éliminer les bactéries qui seraient profondément implantées à l'intérieur des canalicules dentinaires.
Et pas plus en laissant l'hypochlorite 20 minutes que 5.
Les questions sont plutôt : est-ce indispensable et jusqu'où peut-on/doit-on aller ?
La réponse à la première question est non, mais cela dépend aussi de la configuration de la dent et ce qu'il en reste, des canaux latéraux plus ou moins infectés,ouverts,du type de bactéries entre autres causes.
En médecine, la loi du tout ou rien n'est pas correcte.
La guérison peut intervenir même en cas d'imperfections car tout est relatif : c'est l'importance de la charge microbienne qui compte, suffisamment faible chez l'individu que l'on soigne, pour être sans incidence plutôt qu'une réelle stérilité du complexe canalaire.
Stériliser le canal n'est ni utile ni possible, et comme je l'ai déjà dit, il faut plutôt s'étonner de voir souvent disparaître des lésions apicale après traitement que le contraire, quand on observe au microscope électronique à balayage les merdouilles qui restent dans un canal même instrumenté.


Pa050055 igyagy - Eugenol
mark

10/06/2013 à 02h49

mon kit endo comprend:
10cc d'hypoChl
3cc d'EDTA liquide
3cc de CHX
1 dose de glyge

ma séquence:
hypo
glyde
hypo
hypo
hypo
edta
hypo
edta
chx si canaux infectés

en gros cela me fait
30mn la monoradiculée
40 à 60 la prémo (2 canaux principaux)
60 à 90mn la molaire (3 à 4 canaux)

obturation et reconstitution comprises (10mn maxi)


mat2t

12/06/2013 à 13h21

Question idiote , vous avez autant d’échec sur vos endos pour vous prendre la tête comme ça pour un acte sous payé ?

Théoriquement je ne nie pas que c'est intéressant mais dans les faits, moi modeste dentiste qui me contente de réaliser mon endo sous digue et à l'apex avec uniquement mes petites seringues à 2 pctt je n'ai eu que très peu de retour. Mes collègues qui travaillent au Dakin mais qui cherche à obturer correctement à la Lt ne présentent pas non plus un taux de retour significatifs.


La mule ynmlik - Eugenol
la mule

12/06/2013 à 13h30

Je crois qu il faut irriguer avec de l'Hypochlorite..))