Cookie Consent byPrivacyPolicies.comAméliorer mes couronnes provisoires - Eugenol

Améliorer mes couronnes provisoires

magnague

31/05/2013 à 15h53

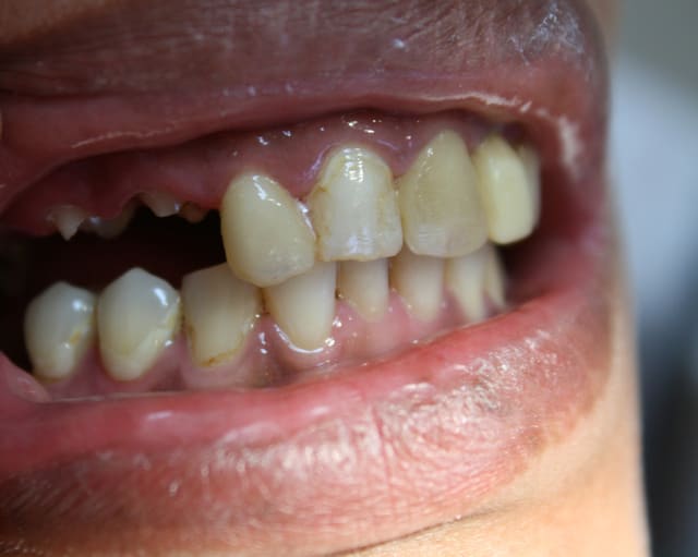
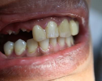
Bonjour, j'ai un soucis avec mes provisoires. Je ne les trouve pas satisfaisante au niveau de mon joint cervical. Avez vous une résine avec une faible rétraction et si c'est le cas quelle marque? Ou rebasez vous vos provisoires?
Mon problème lorsque je rebase, est que mes provisoires se retouvent en sur occlusion...
Merci pour vos conseils!


Avatar2 u3u8yh - Eugenol
riccyman

31/05/2013 à 15h57

parce que tu n'évides pas assez ou/et que t'as résine n'est pas assez fluide à l'insertion.

Palavit 55, une petite boule, j'attends la prise , je sculpte comme j'ai appris à la fac. La plupart du temps, ça colle en one shot sans rebasage.

J'ai horreur des préformes.

Et puis tu peux te faire des secteurs entiers (voir photo)... attention ça peut chauffer ^^ faut laisser les doigts dessus, enlever et remettre plusieurs fois pour protéger les muqueuses et la t'es souvent obligé de rebaser.

Mais bon ça coute pas 200 euros de proto ... Et sur du CMU faut ça ^^

Img 6363 oswoxj - Eugenol
Img 6355 pbfqus - Eugenol

Bouddha 2 wmj1zk - Eugenol
HAIG

31/05/2013 à 16h07

Tu utilises quoi au depart ??
- Un preformée
- ton labo
- block-technique

Avant de rebaser , je fais tjrs un peu trou en lateral pour que la resine s'echappe quand ça vient du labo.

Sinon j'utilise l'Unifast que reproduit tres bien les limites mais chauffe pas mal.



--
" Douter c'est penser et du doute vient le progrès" Descartes

HAIG d(º¿º)b


celse

31/05/2013 à 16h09

pareil, résine bien fluide pour le rebasage,
souvent avant je passe la fraise résine dans l'intrados de la cp au niveau du collet pour laisser la place à la résine de rebasage,
ou autre astuce : faire un pertuis en occlusal pour laisser fuser le surplus de résine lors du rebasage et bien sûr faire serrer le patient une fois ou deux pour être sur de ne pas avoir de surocclusion.

si je ne fais pas de pertuis je fais attention de ne mettre de la résine qu'au niveau des limites, pas dans tout l'intrados.

pas de soucis rencontrés avec la résine tab 2000 de kerr ou bien unifast.


Nouveau image bitmap fz77zh - Eugenol
Sethef

31/05/2013 à 16h12

Pour un bloc technique à l'Unifast:

Boulette de résine insérée en place, le patient serre dessus, marquage des sillons à la spatule de bouche.
Je la retire, sculpture grossière aux ciseaux, et je la rebase à la résine fluide avant la prise complète. Je la remets en place 2 ou 3 fois, et attends la prise complète en occlusion.

Sculpture et polissage pendant la prise de l'empreinte.


Grumpy cat ifik8s - Eugenol
radich_a_tord

31/05/2013 à 16h59

Unifast. Sethef a très bien décrit la bloc technique.

Sinon un automoulage d'une reconstitution au cavit ça marche. Sinon un automoulage d'un wax up ça coute moins cher que des vraies provisoires de labo (chez moi en tt cas).


Images jm2g2g - Eugenol
dr_0le

31/05/2013 à 17h09

Personnellement je passe quasi tout. Le temps par des provisoires de labo( sauf urgence)
Et pour plusieurs raisons:
Après un rebasage unifast, ajustage cervical parfait.
Esthétique sympa sans perdre de temps.
Point de contact nickel.

Ça coûte plus cher mais je trouve que l'étape de temporisation provisoire est importante, je préfère que les tissus mous soient au top pour empreinte.

Et puis comme ça le rdv est beaucoup plus rapide et je n'en fous pas partout dans le çab ))


Nouveau image bitmap fz77zh - Eugenol
Sethef

31/05/2013 à 17h16

J'utilise les auto-moulages à partir de 3 éléments, sinon ça me prend plus de temps que les blocs techniques.

Pendant des années, j'avais des surrocs monstrueuses, dûes à l'expansion de prise de l'unifast, ça me prenait plus de temps de retoucher, rebaser... que de tout faire en bloc technique.

Le jour où j'ai fini par comprendre qu'un auto moulage, ça se faisait en occlusion sur un porte empreinte de mordu, j'ai un peu fait la fête.
Si ça peut éviter à d'autres d'abandonner la technique pour la même raison...


Olieve

31/05/2013 à 17h17

Toujours par auto-moulage chez moi. Le matériaux est "sous pression" et les limites des provisoires sont alors bien nettes.

Avec une gouttière thermo-formée pour un provisoire de grande étendue. (J'ai une thermo-formeuse au cabinet, ça démocratise la technique...)

Avec une empreinte en mordu pour les unitaires. Si la dent est fort délabrée, j'évide un peu l'empreinte pour reformer le volume de la dent.

J'utilise le Structur 3 de Voco. (Beaucoup mieux que les Structur 1 et 2 qui laissaient une couche non polymérisée extérieure très désagréable à polir.)


jeff13

31/05/2013 à 17h56

-Soit isomoulage (c'est ce qui reste le plus simple et le plus rapide je trouve)
-Si la dent est trop abimée, dent ion en anterieur/bloc technique en posterieur


Samy8 mgu6if - Eugenol
oliverKapaspeur

31/05/2013 à 18h04

Bonjour,
J'en profite pour poser une question annexe: quelle résine conseillez vous pour éviter la forte exothermie lors de la prise?

J'utilise actuellement l'Unifast Trad mais je crains souvent de trop chauffer la muqueuse ou la pulpe.


Grumpy cat ifik8s - Eugenol
radich_a_tord

31/05/2013 à 18h08

Unifast Trad aussi. Je désinsère/réinsère avant la prise complète pour éviter de ne plus pouvoir sortir la provisoire par la suite...

Une fois que ça commence à vraiment durcir (et chauffer) je laisse la prise se finir en dehors de la bouche. Un coup de souflette en continu sinon ça marche assez bien.


Nouveau image bitmap fz77zh - Eugenol
Sethef

31/05/2013 à 18h11

Unifast également.
Si plusieurs éléments, ou sur dent vivante, je refroidis à la seringue air/eau au moment de la prise.


Samy8 mgu6if - Eugenol
oliverKapaspeur

31/05/2013 à 18h13

Merci les amis. Je fais comme vous mais je me disais qu'il existe peut-etre une résine "miracle"...


Nouveau image bitmap fz77zh - Eugenol
Sethef

31/05/2013 à 18h26

radich_a_tord écrivait:
-----------------------

> Une fois que ça commence à vraiment durcir (et chauffer) je laisse la prise se
> finir en dehors de la bouche. Un coup de souflette en continu sinon ça marche
> assez bien.


De manière un peu empirique, il m'a semblé remarquer que c'est au moment où ça chauffe que se produit l'expansion de prise. Du coup, j'essaye toujours si possible de la laisser en place quasiment jusqu'au bout.


Nouveau image bitmap fz77zh - Eugenol
Sethef

31/05/2013 à 18h27

Remarque, pour peu qu'on aie l'esprit mal tourné, la conversation commence à devenir intéressante.


01 ukhwbq - Eugenol
ʎqqoq

31/05/2013 à 18h30

Ça pue autant que l'Unifast la Palavit 55?
J'utilise de plus en plus de Revotek, c'est photpolymérisable, et souvent, pas besoin de rebaser. Ça ne sent pas. Ça prend un temps record de faire une pro avec ça!


jeff13

31/05/2013 à 18h31

Sinon personne n'utilise les résines en pistolet genre protemp et autre
C'est génial, rapide, simple, donne d'excellent résultat esthetique. Reste le cout légèrement supérieur au classique poudre/liquide à melanger


F e01w igu3rl - Eugenol
roumette

31/05/2013 à 18h42

La plupart du temps, on a une morphologie d'origine "correcte" que ce soit une ancienne couronne ou la dent. Dans ce cas, je réalise une clé en silicone en mordu préalable. Après la taille, j'injecte une résine bis-acryl type Voco Structur dans la clé que je replace sur la préparation. 50 secondes, je démoule, et il ne reste qu'à adapter les bords à la fraise diam sur bague rouge et meulettes résine pour polir.
Parfois je retouche la clé au scalpel, ou avec un instrument à faire les évents pour les empreintes en wash technique, si par exemple les points de contact ne sont pas corrects.... voire je recrée une morho en creux adéquate plus compliquée.
On peut rebaser avec la même résine, mais en fait si on retouche les bords de la préparation il vaut mieux refaire une nouvelle provisoire, c'est aussi rapide.
Et dans le cas d'un bridge de plus grande étendue, c'est d'autant plus "facile" et rentable.
Si pas de du tout de morpho, pour un bridge par exemple, je fais réaliser un wax-up par le protho, sur lequel je réalise une clé hors bouche.
Ce type de résine ne chauffe pas, ne pue pas, et se travaille bien mieux que la résine auto qui a tendance à fondre et à coller sur une fraise diam.
Seul défaut, une couche d'inhibition en surface un peu grassouilette que l'on peut nettoyer à l'alcool, mais qu'il ne faut pas ôter si on veut rebaser.
Et si on a des irrégularités en surface, genre petite bulles, c'est compatible avec un compo flow.
On peut également faire un bloc technique pour une unitaire, en coulont la résine doucement autour de la préparation, et en faisant mordre lorsque la résine gélifie.
Un peu plus sportif, mais faisable.

Franchement un des trucs qui m'a simplifié la vie depuis pas mal de temps...
Plus de stress de voir mes provisoires de longue étendue péter au démontage... c'est toujours facile de les refaire en peu de temps.

@jeff 13 : tu m'as devancée, et je suis bien d'accord avec toi.... :-) Le surcoût est vite amorti par le temps gagné, voire une économie sur des provisoires de labo.

@ Sethef... :-)))))


01 ukhwbq - Eugenol
ʎqqoq

31/05/2013 à 19h20

J'utilise de la Phoenix d'Elsodent avec des clefs silicone également (un équivalent de l'optsil qui coûte trois francs six sous). C'est vrai que c'est super rapide aussi.


Marque a3 orange fyvhyq - Eugenol
Marc Apap

31/05/2013 à 22h13

@ Sethef : à te lire, j'ai vraiment de plus en plus l'impression que tu as besoin d'une sérieuse formation en ergonomie. Pas étonnant que tu sois "lent" au travail.
Après, tu te demandera à quoi te sert une assistante.


Image saznoz - Eugenol
Hodina

31/05/2013 à 22h23

Bonjour,
Pour ma part j utilise protemp
Je trouve cette resine géniale, car pas de rétraction de prise, pas de chauffe a la prise, un aspect de surface glace, un temps de prise pile poil, une esthétique top
Je l utilise soit en auto moulage quand je peux avec un silicone par condensation pas cher et un quick tray, soit avec les moules de chez 3M en resine composite souples qui sont vraiment top
Même si un peu cher, l économie de ,temps pour les faire compense très largement le prix( pensez a votre coût horaire!). E d un de vue ergonomie, je ne vois pas mieux
Je ne reviendrai en arrière pour rien au monde après avoir utilise unifast, tab 2000 et autres resines qui se rétractent, qui brûlent et qui sont hyper râpeuses..... Des qu on les retouche.
Essayer c est l adopter


Nouveau image bitmap fz77zh - Eugenol
Sethef

31/05/2013 à 23h05

Marc Apap écrivait:
-------------------
> @ Sethef : à te lire, j'ai vraiment de plus en plus l'impression que tu as
> besoin d'une sérieuse formation en ergonomie. Pas étonnant que tu sois "lent" au
> travail.
> Après, tu te demandera à quoi te sert une assistante.


Possible. Je m'améliore chaque jour, ce qui tend à prouver qu'il me reste beaucoup à apprendre (comme tout le monde j'imagine).
Mais j'aime bien ma méthode pour les pros: que lui reproches-tu?


(je vais essayer de ne pas relancer le débat sur les assistantes dans ce sujet, j'aurais peur de tourner un peu en rond)


G-P

31/05/2013 à 23h22

+1 protemp en automoulage quasiment tout le temps, quitte a reconstituer en bouche avec un CVI avant l'empreinte partielle.
En secteur antérieur, temporaires de labo, sauf unitaire (protemp + composite)


Grueavatar nptrc9 - Eugenol
Le Choixpeau magique

31/05/2013 à 23h33

Hodina écrivait:
----------------
> soit avec les moules de chez 3M en
> resine composite souples qui sont vraiment top

A quels moules fais-tu allusion ? Les protemp crown ?


12...