Cookie Consent byPrivacyPolicies.competite greffe pour des incisives centrales. - Eugenol

petite greffe pour des incisives centrales.

3f3boxni50k58rq7e9ce9ddqrxgk - Eugenol
dentiste57

31/05/2013 à 22h15

juste pour le plaisir des yeux...

j'étais hier à Strasbourg dans une formation avec Fouad Khoury.
génial ce type!

Dsc 5942 fiqvut - Eugenol
Dsc 5945 iwxsvh - Eugenol
Dsc 5946 fpkb9j - Eugenol
Dsc 5950 ghwnyn - Eugenol
Dsc 5959 qinfvv - Eugenol
Dsc 5961 tec7zq - Eugenol
Dsc 5967 bituk7 - Eugenol
Dsc 5970 oikgas - Eugenol
Dsc 5972 re4nvh - Eugenol

dock

31/05/2013 à 22h58

De quel type de greffons s'agit-il?


G-P

31/05/2013 à 23h01

Biobank ?


S2y2o1v7q53ws4r5wy6ou8czrpom - Eugenol
pxav

31/05/2013 à 23h32

oui biobank, je pense, mais plus simple; il y avait non?
en tout les cas c'est très propre, comme d’habitude.

PS. Fouad c'est le top.

--
xbk
"Si tous ceux qui croient avoir raison n'avaient pas tort, la vérité ne serait pas loin" Dac Pierre


Grumpy cat ifik8s - Eugenol
radich_a_tord

01/06/2013 à 00h02

Et par dessus ? des granulés de biooss ? Par dessus le biooss ? Un steak de PRF ?


3f3boxni50k58rq7e9ce9ddqrxgk - Eugenol
dentiste57

01/06/2013 à 00h15

oui biobank et granules de biobank par dessus.
la prochaine fois je fais à partir d'un ramique, ça coûte moins cher.

:)


dentiste68

01/06/2013 à 00h23

Et avec de l'autogène, Fouad sera certainement plus content! Et sans PRF, aussi ;-)


3f3boxni50k58rq7e9ce9ddqrxgk - Eugenol
dentiste57

01/06/2013 à 11h36

effectivement, avec de l'autogène, je pense que ce sera peut être mieux.


tarski

02/06/2013 à 20h35

oui mais avec le biobank : pas de 2éme site, temps opé réduit, moins de stress, moins de suite douloureuse.

Inconvénient : ce n'est pas de l'autogène...mais est-ce réellement un problème ? !


Icon poker h4nm2d - Eugenol
jeff

02/06/2013 à 22h05

Je trouve que tu ne gagnes rien en épaisseur au niveau de la crête ( mais on ne vois pas bien avec le lambeau , tu as peut être assez ? ).

Pour juste combler les dépressions, tes deux vis en piquets de tente sans bloc auraient fait aussi bien.

Sans membrane collagène sous le PRF , tu ne crains pas de perdre tous tes granules ?

Si tu prélèves en retromolaire, dans ce cas, je verrais bien un box pour épaissir aussi la crête .

Ou alors avec une membrane en PDLLA .


Protée

03/06/2013 à 11h12

D'autres voies ne seraent elles pas ouvertes déjà; surtout pour ce genre de défaut osseux?
Mais quelle a été la gestion du remplacement provisoire des dents? La personne a t'elle accepté de rester sans?


Android jyzura - Eugenol
Tavéca

03/06/2013 à 12h47

jeff écrivait:
--------------
> Je trouve que tu ne gagnes rien en épaisseur au niveau de la crête ( mais on ne
> vois pas bien avec le lambeau , tu as peut être assez ? ).

> Sans membrane collagène sous le PRF , tu ne crains pas de perdre tous tes
> granules ?


La chir et les photos sont magnifiques, mais je partage certaines réflexions de Jeff.


Protée

03/06/2013 à 13h06

Tavéca écrivait:
----------------
> jeff écrivait:
> --------------
> > Je trouve que tu ne gagnes rien en épaisseur au niveau de la crête ( mais on
> ne
> > vois pas bien avec le lambeau , tu as peut être assez ? ).
>
> > Sans membrane collagène sous le PRF , tu ne crains pas de perdre tous tes
> > granules ?
>
>
> La chir et les photos sont magnifiques, mais je partage certaines réflexions de
> Jeff.

Oui et non la meilleure membrane étant le périoste, dans ce cas précis les scarifications sembleraient ne pas avoir été necessaires de par le defaut en dépression. Cette situation permet au périsote d'appliquer +++ et de tout maintenir.


OST

04/06/2013 à 16h14

Je ne suis pas un utilisateur de ce type de produits moi-même mais comme j'en "fabrique" je suis intéressé pour la question du choix de l'autogreffe vs allogreffe.

Est-ce qu'il est guidé par la certitude d'un meilleur pronostic clinique? La différence de coût? Le temps disponible? Un peu tout?...

Est-ce que vous exposez les alternatives au patient pour guider votre choix?

Merci d'avance...


3f3boxni50k58rq7e9ce9ddqrxgk - Eugenol
dentiste57

05/06/2013 à 10h11

il y a effectivement un peu de tout ça et en plus j'ai un gros poil dans la main.
bon, sinon, la patient ne souhaitais pas entendre parler de prélèvement. j'ai pas vraiment insisté...


145 kssowa - Eugenol
Chicot30

05/06/2013 à 18h04

Moi j'ai une autre question (bon, on a pas la photo pré op donc difficile à dire)
C'est un très joli travail tout d'abord, mais ton frein ne risque-t-il pas de gêner, si oui, tu comptes faire la chir mucco après ?

PS : l'angle de la photo est peut-être trompeur...
--
"C'est parce que la vitesse de la lumière est supérieure à celle du son que certains paraissent brillants avant d'avoir l'air cons."


3f3boxni50k58rq7e9ce9ddqrxgk - Eugenol
dentiste57

14/10/2013 à 05h51

la suite demain matin...

enfin, dans quelques heures...

Coralie overview zdjjr0 - Eugenol
Coralie panoramic umhmwi - Eugenol
Coralie 3d xfxv42 - Eugenol
Coralie axial fcc2ou - Eugenol

Avatar transparent iqadnc - Eugenol
adhoc

14/10/2013 à 10h52

Pour les non-initiés, mon 57, tes photos sont tres belles, mais ca manque un peu de texte et d'explications, non?. Tu as fait plus didactique!


Choukroun Joseph

14/10/2013 à 10h59

que de chemins détournés...
Sorry D57 , mais il me semble que la pose des implants est tout à fait possible en première intention. la configuration anatomique est tout à fait favorable à une ROG classique sur les implants avec ou sans vis supplémentaire.
pourquoi faire compliqué ?


S2y2o1v7q53ws4r5wy6ou8czrpom - Eugenol
pxav

14/10/2013 à 11h09


Je crois bien que tu vas pouvoir faire une petite expansion, sur greffe biobank, il me semble que j'ai déjà vu ça et que ça marche...;-))


--
xbk
"Si tous ceux qui croient avoir raison n'avaient pas tort, la vérité ne serait pas loin" Dac Pierre


3f3boxni50k58rq7e9ce9ddqrxgk - Eugenol
dentiste57

14/10/2013 à 22h33

adhoc écrivait:
---------------
> Pour les non-initiés, mon 57, tes photos sont tres belles, mais ca manque un peu
> de texte et d'explications, non?. Tu as fait plus didactique!

he ben je vais être encore moins didactique et encore moins locace. :)

suis crevé en ce moment...

je vous laisses même donner les explications pour la photo 2...

bon, j'vais r'garder la TV, je ramasse les copies tout à l'heure.

Dsc 7950 oorukf - Eugenol
Dsc 7952 juflzt - Eugenol
Dsc 7954 mzaw6b - Eugenol
Dsc 7956 ntwhcs - Eugenol
Dsc 7960 tzbwo5 - Eugenol
Dsc 7962 wgfl9v - Eugenol
Dsc 7968 xm0y9b - Eugenol
Dsc 7969 osakho - Eugenol
Dsc 7951 nuzatm - Eugenol
Dsc 7953 tveu1q - Eugenol
Dsc 7955 h8njpt - Eugenol
Dsc 7967 zckg7r - Eugenol

RépondreCiter
S2y2o1v7q53ws4r5wy6ou8czrpom - Eugenol
pxav

14/10/2013 à 22h49

des fois t'es meilleur mon ami.
Pour les photos , bien sur...:-))

--
xbk
"Si tous ceux qui croient avoir raison n'avaient pas tort, la vérité ne serait pas loin" Dac Pierre


Marque a3 orange fyvhyq - Eugenol
Marc Apap

14/10/2013 à 23h26

Au prochain coup, il faudra mettre un numéro sur les photos et toutes les orienter dans le bon sens.
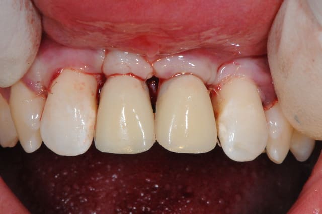
Sinon, c'est normal d'avoir plusieurs spires à nu sur l'implant remplaçant la 11 ?


Img 8465 fqhxid - Eugenol
noahaxeltiger-olivier

14/10/2013 à 23h44

J'ai bien peur que tu aies massacré tes papilles aussi bien dent/implant que implant/implant :-(((


SAMIRA

14/10/2013 à 23h59

jeff écrivait:
--------------
> Je trouve que tu ne gagnes rien en épaisseur au niveau de la crête ( mais on ne
> vois pas bien avec le lambeau , tu as peut être assez ? ).
>
> Pour juste combler les dépressions, tes deux vis en piquets de tente sans bloc
> auraient fait aussi bien.
>
> Sans membrane collagène sous le PRF , tu ne crains pas de perdre tous tes
> granules ?
>
> Si tu prélèves en retromolaire, dans ce cas, je verrais bien un box pour
> épaissir aussi la crête .
>
> Ou alors avec une membrane en PDLLA .

et pourquoi pas une chainette en TI


12