Cookie Consent byPrivacyPolicies.competite greffe pour des incisives centrales. - Eugenol

petite greffe pour des incisives centrales.

3f3boxni50k58rq7e9ce9ddqrxgk - Eugenol
dentiste57

15/10/2013 à 01h22

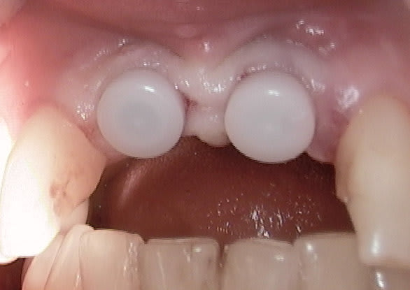
dificile de juger du résultat final à j=0 , non ?


le mieux est que je poste la suite dans 18 mois, après la maturation des tissus.


3f3boxni50k58rq7e9ce9ddqrxgk - Eugenol
dentiste57

15/10/2013 à 01h26

Marc Apap écrivait:
-------------------
> Au prochain coup, il faudra mettre un numéro sur les photos et toutes les
> orienter dans le bon sens.
> Sinon, c'est normal d'avoir plusieurs spires à nu sur l'implant remplaçant la 11
> ?

ben ça sort pas dans le bon sens ?

pas d'inquiétude pour la petite fente osseuse laissant apparaître un peu les spires.
le plus important, c'est la position des implants.


Photo pluton1b h9n4ea - Eugenol
pluton

15/10/2013 à 01h37

Olivier a dit tout haut ce que je pensais tout bas, n'ayant ni sa maîtrise ni son expertise dans la gestion des tissus mous, je préférais me taire...

la photo 2: désépithélialisation à la fraise diam pour faire une technique du rouleau?

perso, j'aurais probablement opté pour un conjonctif enfoui et réalisé un lambeau avec préservation des papilles au niveau des latérales...mais c'est peut être pas une bonne idée non plus et il y a peut être encore plus efficace et prédictible...

je suis quand même curieux de voir la suite et merci pour ton partage


S2y2o1v7q53ws4r5wy6ou8czrpom - Eugenol
pxav

15/10/2013 à 01h43

dentiste57 écrivait:
--------------------

> pas d'inquiétude pour la petite fente osseuse laissant apparaître un peu les spires.

Pas trop d'accord..ça peut jouer sur le résultat final (esthétique)


> le plus important, c'est la position des implants.

oui, mais pas que.


--
xbk
"Si tous ceux qui croient avoir raison n'avaient pas tort, la vérité ne serait pas loin" Dac Pierre


Logo vuaztn - Eugenol
mac

15/10/2013 à 10h13

dentiste57 écrivait:
--------------------


>
> pas d'inquiétude pour la petite fente osseuse laissant apparaître un peu les
> spires.
> le plus important, c'est la position des implants.


tu veux dire qu'on s'en fou complètement d'avoir des spires a nu?

et quel avenir pour cette corticale toute fine?

y a til des études sérieuses avec du recul sur le remaniement à long terme de ces blocs?


Logocolornotext kiwlk1 - Eugenol
Clio

15/10/2013 à 11h20

pluton écrivait:
----------------

>
> la photo 2: désépithélialisation à la fraise diam pour faire une technique du
> rouleau?
>

Dans la technique du rouleau, il me semble que le lambeau doit être de demi épaisseur et que les incisions de décharges verticales doivent être à distance des papilles pour les préserver. Ce qui ne semble pas être le cas là ( peine épaisseur pour retirer les vis...).
Noah pourra peut être nous renseigner d'avantage?


S2y2o1v7q53ws4r5wy6ou8czrpom - Eugenol
pxav

15/10/2013 à 11h34

On va reprendre par le début, dans un cas comme ça:

avant la greffe, incision au disque de 12 à 22, incision de décharges autour de l'épine nasale, ensuite PAS d'expansion à l’ostéotome cylindrique, mais au tatum D1 au maximum, ou un plat, en douceur, en maintenant fermement l'os entre le pouce et l'index, ce qui n'est pas simple vu la qualité de l'os, et ensuite, si besoin en apicale greffe ou ROG que tu domine parfaitement d'ailleurs.
Comme tu aimes bien 2 ou 3 couche de prf par dessus et roule ...
Un joli cas à présenter dans la gestion des problèmes (car je suis sur que tu vas gérer ça très bien.
amicalement.

--
xbk


Elephant 018 u6kzyq - Eugenol
confrère

15/10/2013 à 11h35

+1 Clio, faire la technique du rouleau en incluant les papilles ce serait quand même assez fort :))))

je pense pas que d57 pousse le bouchon aussi loin bien qu'il soit assez fervent des expérimentations


Logocolornotext kiwlk1 - Eugenol
Clio

15/10/2013 à 12h18

aprés la methode du rouleau décrite par Abrams en 1980, modifié par Scharf et Tarnow en 1992, voilà la petite dernière par D57 en 2013 ;-)


3f3boxni50k58rq7e9ce9ddqrxgk - Eugenol
dentiste57

16/10/2013 à 00h35

mac écrivait:
-------------
> dentiste57 écrivait:
> --------------------
>
>
> >
> > pas d'inquiétude pour la petite fente osseuse laissant apparaître un peu les
> > spires.
> > le plus important, c'est la position des implants.
>
>
> tu veux dire qu'on s'en fou complètement d'avoir des spires a nu?
>
> et quel avenir pour cette corticale toute fine?
>
> y a til des études sérieuses avec du recul sur le remaniement à long terme de
> ces blocs?

non, bien entendu ce serait mal me connaitre. il y a eu une ROG aussi.

rendez vous dans 6 mois. enfin, j’espère..

d'ici là, j'attends vos propre cas .


Avatar jt8tlq - Eugenol
bogenom

16/10/2013 à 01h40

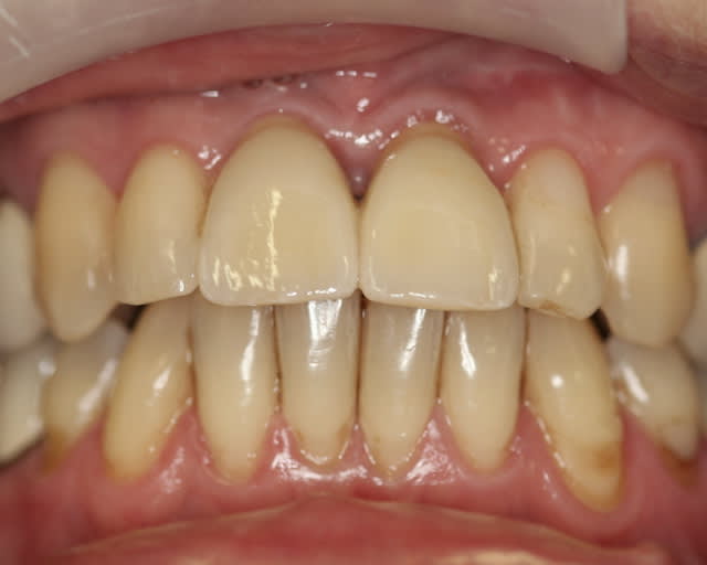
Merci pour le partage D57,
Je pense que le design de tes Axiom devraient être favorable à tes papilles par contre peut être que des piliers un peu plus anatomiques avec des provisoires préparés à l'avance avec un collage sur des capsules résines auraient facilité la suite mais je n'ai pas d'études ancestrales pour appuyer mes propos ni l'experience des membranes magiques
Une petite RX serait la bienvenue

et petite question métaphysique au passage :

est-ce que ce fameux bombé vestibulaire de la gencive est aussi primordial que cela dans les cas ou la gencive ne se découvre pas ?

Img 7908 rwcdfq - Eugenol
Img 9764 d5tafj - Eugenol

Imagesca1x6rbd kwb9r6 - Eugenol
Dr Nedjat

16/10/2013 à 21h18

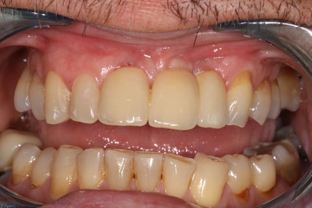
Bonsoir chers confrères Français!
Longtemps sans faire des messages ici, mais je regarde souvent les cas sur votre forum :-)
Voici un cas que l'on a fait sur des incisives avec une consoeur de Frankfurt. (la patiente a eu un accident).
Il y a aussi une vidéo.

à bientôt

1 x3xxzu - Eugenol
4 nzsa0a - Eugenol
6 t6trt7 - Eugenol
12 ck6gce - Eugenol
14 hxqdu5 - Eugenol
20 j2vtrg - Eugenol
2 xf4nvk - Eugenol
3 xlz6zc - Eugenol
5 sy1wzh - Eugenol
7 a6avcp - Eugenol
8 hir8qt - Eugenol
9 h5vg3c - Eugenol
10 tdisig - Eugenol
11 dcrbqe - Eugenol
13 gof377 - Eugenol
15 nzz3te - Eugenol
16 dlcvqk - Eugenol
17 idfziz - Eugenol
18 q3baog - Eugenol
19 hqnreq - Eugenol

Imagesca1x6rbd kwb9r6 - Eugenol
Dr Nedjat

16/10/2013 à 21h19

la suite

21 owfiwh - Eugenol
22 xy0k4b - Eugenol
23 wkybgj - Eugenol
24 anvpua - Eugenol
25 h1qlkn - Eugenol

Img 3657 cwjvqm - Eugenol
alapex

17/10/2013 à 22h13

j'envie ce bon Dr Nedjad à qui tout réussi .
Et donc tu vends quoi aujourd'hui mon petit ?


SAMIRA

18/10/2013 à 12h42

alapex écrivait:
----------------
> j'envie ce bon Dr Nedjad à qui tout réussi .
> Et donc tu vends quoi aujourd'hui mon petit ?

:-))))))))))


berli

28/10/2013 à 08h27

Qu'elle sont les données cliniques pour la décision d extraction et implantation?
Il semblerait qu un traitement prothétique conventionnelle soit d un bon pronostic?


12