Cookie Consent byPrivacyPolicies.commerci de votre avis - Eugenol
rere

12/06/2013 à 19h53

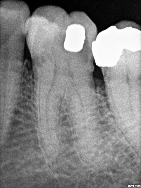
Patient de 65 ans qui consulte pour une fracture OL de 36.
Pas de douleur mais il veut une solution pour reconstruire sa dent.
La dent semble pouvoir recevoir un inlay mais je réalise une radio pour confirmer le traitement proposé.
On visualise bien la perte de substance mais aussi une lesion cervicale juxta-osseuse en mesial de 36.
cette resorption est ressentie a la sonde sous la gencive.
Comment faire ? un inlay + lambeau pour acceder a la lesion et soin avec cvi ou ag ?
cr avec elongation coronaire en Mesial?
je ne sais pas trop quoi lui dire si ce n'est que la perennite de la dent est engagée.
Merci de vos conseils

R22 bn5cvf - Eugenol
R20 hlpdyi - Eugenol

Avatar2 u3u8yh - Eugenol
riccyman

12/06/2013 à 20h12

tu traites à minima, tu surveilles. les orientations de traitement que tu cites sont cohérentes.

Vire cet amalgame débordant. ça te fera un accès plus facile.

Je vois pas pourquoi la pérennité de cette dent serait engagée.

les tissus parodontaux sont sains dans l'ensemble.


rere

12/06/2013 à 20h37

merci de ta reponse mais je parle de la lesion cervicale en M.
C est elle qui me pose pb.


Avatar2 u3u8yh - Eugenol
riccyman

12/06/2013 à 22h12

ben y a la même en distal encore plus apicale, non ?


33.2 - Eugenol
scuba06

13/06/2013 à 13h09

Solution intermédiaire :

Tu fais ta préparation inlay, tu mets un cavit et tu temporise 15 à 20 jours, tu ré évalue (sensibilité chaud/froid, mastication...)

Naturellement, tu expliques au patient pourquoi tu procède ainsi.


Grumpy cat ifik8s - Eugenol
radich_a_tord

13/06/2013 à 14h49

ça part en résorption externe pour moi, en mésial et distal.

La vitalité est comment ? si faiblarde, je ferais l'endo.


Zz cnsu38 - Eugenol
toto48

14/06/2013 à 00h06

Effectivement, tu commences par lui dire que ça sent le sapin.
Hors considérations économiques, tu peux procéder par étapes.
1. Lambeau + débridement des lésions + CVI en temporisation
2. Réévaluation de la vitalité pulpaire et de la résorption
Si ok: onlay
Si vitalité pas ok : faire endo + onlay
Toutefois, si tu vois que une fois la dent dévitalisée, tu ne peux pas la restaurer correctement sans passer par une couronne et donc une élongation coronaire, la solution davier + implant doit être envisagé avec le patient comme une alternative préférable ( meilleur pronostic et une élongation coronaire pourrait rendre la pose d'un implant ultérieurement plus compliquée).
Si résorption continue, davier...
Bon courage car ce genre de lésion est un vrai challenge!


Nouveau image bitmap fz77zh - Eugenol
Sethef

14/06/2013 à 00h18

Si c'était ma dent, je ferais une petite élongation coronaire associée à un inlay métal, finition biseau cervical. Mais ce n'est clairement pas la seule solution.


(d'ailleurs, je pense que je ferais d'abord l'éviction de la lésion, passage de la touati dans le sulcus pour prendre une jolie empreinte, et élongation coronaire le jour de la pose, une fois que les limites seront bien propres et lisibles.)


rere

14/06/2013 à 09h35

Merci de vos réponses
Je vais essayer de la garder en étant le plus conservateur en vue d un futur implant. Le patient est prévenu mais il faut dire que ce type de résorption me gênent particulièrement. Et je trouve qu elles ne sont pas si rare que ça !
Je posterai un autre cas ou la patiente était venue au stade de pulpite ( à cause d une même lésion) et après endo sans cr ( la dent n était que très peu délabrée) la dent s est fracturée 2 ans après. Il y a désormais un implant depuis 1 an.