Cookie Consent byPrivacyPolicies.comOui mais j'étais fatigué ! - Eugenol

Oui mais j'étais fatigué !

1 pdnfdy - Eugenol
oɔɹ4ɯ

14/06/2013 à 00h19

Oui bon, c'était la fin de la journée, la dame elle me disait qu'elle avait très mal, je lui ai fait les pulpecs vite fait avant d'aller regarder "les Anges", et cette conne elle revient le lendemain matin en me disant qu'elle a bien plus mal qu'avant ! Y'a vraiment des sans gêne, j'vous jure ! Je lui ai dit "c'est normal Madame, ça va passer" et lui ai confirmé son rendez-vous de la semaine prochaine pour l'empreinte des ICs ! Non mais !

--
Si tu ne sais pas, demande.
Si tu sais, partage !

R1 smz3zw - Eugenol

4a338550 6a5b 47ea b2a7 d3cb675c5076 oni5gh - Eugenol
fistule69

14/06/2013 à 00h34

Boire ou dévitaliser, il faut choisir !
Joli travail, pas mieux !
Le cône est en place, mais bon ?
Un cas d’école :-)))))))))))))))))))


Mario ycg44a - Eugenol
Mario180

14/06/2013 à 00h45

J'espère que tu lui as rappelé qu'elle avait qu'à bien se brosser les dents avec le côté poilu de la brosse pour éviter d'avoir mal.

Je connaissais pas les implants immédiats en gutta. Tu préfères pas passer directement au grade 4 au moins ?


Avatar2 u3u8yh - Eugenol
riccyman

14/06/2013 à 01h59

Merci pour la barre de rire. ^^ gg


Photo pluton1b h9n4ea - Eugenol
pluton

14/06/2013 à 02h00

pas mieux...
endos KO implants OK???

bizarre que çà saigne pas avant d'obturer...ni qu'un localisateur d'apex ne s'affole dans ce genre de situation...


Capture d  cran 2015 03 12 12.28 - Eugenol
chicot29

14/06/2013 à 03h11

La prochaine fois rases les couronnes avant l'endo, on y voit plus clair et on peut faire les empreintes d'ic et les provisoires dans la séance.


dcs

14/06/2013 à 03h59

il te reste photoshop!


1 pdnfdy - Eugenol
m4rco

14/06/2013 à 13h24

Blague à part, cette dame est venue nous voir (c'est mon collègue qui l'a reçue) parce qu'elle avait encore mal après les pulpecs d'un autre praticien (un confrère installé pas très loin, proche de la retraite et qui, me semble-t-il, a depuis longtemps perdu le feu sacré de la dentisterie), elle est vraiment retournée le voir le lendemain, il lui a vraiment dit que c'était normal et, toujours d'après elle, elle avait vraiment rendez-vous la semaine suivante "pour les couronnes."

Ce n'est pas la première qui passe chez nous après une visite chez lui, mais là, je me devais de partager cette radio !

--
Si tu ne sais pas, demande.
Si tu sais, partage !


Mosquitogif zt3c7k - Eugenol
mosquito

14/06/2013 à 19h55

vous n'avez pas le même angulateur c'est tout!


Avatar transparent iqadnc - Eugenol
adhoc

14/06/2013 à 20h54

Toujours suivre les axes pulpaires, ca devient d'un ennuyeux!!


Image001 e0kg9q - Eugenol
clemsdent

14/06/2013 à 21h47

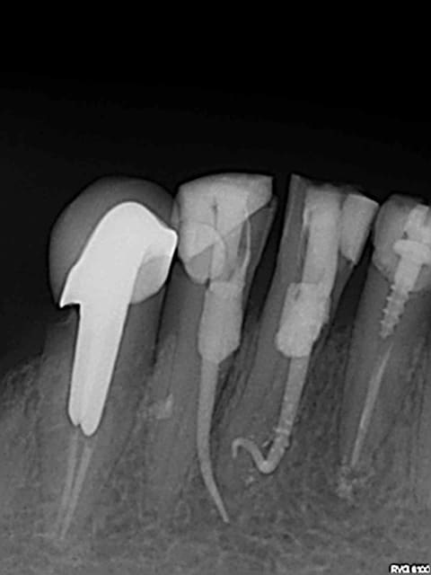
putain il a eu le "S" apical de la 41!


F e01w igu3rl - Eugenol
roumette

14/06/2013 à 21h55

"putain il a eu le "S" apical de la 41!"

C'est ce que je me suis dit en regardant la radio en tout petit et sans mes lunettes : c'est quoi cette endo de ouf???
Après, j'ai mis mes lunettes et ouvert le lien...


S2y2o1v7q53ws4r5wy6ou8czrpom - Eugenol
pxav

15/06/2013 à 11h42

Dans un autre post, ils parlent de mutilation :
http://www.eugenol.com/sujets/401684-la-mutilation?page=1#post_693472
peut être que tu devrais poster ce cas là bas?
--
xbk
"Si tous ceux qui croient avoir raison n'avaient pas tort, la vérité ne serait pas loin" Dac Pierre


colza2

15/06/2013 à 11h48

l'important c'est de finir à l'apex: objectif réussi pour 41


4a338550 6a5b 47ea b2a7 d3cb675c5076 oni5gh - Eugenol
fistule69

15/06/2013 à 11h51

:-))))))))))))
J'avais bien compris qu'il s'agissait d'un cas extérieur.
On se plante sur une, mais deux !
Comme chicot sur canaux fins, fraise roue et arasement de la moitié de la couronne, meilleur visuel et on observe la dentine sclérosée sombre qui nous guide. Mais bon, parfois on merde tous.
Vive moi !