Cookie Consent byPrivacyPolicies.comAgénésie des latérales maxillaire - Eugenol

Agénésie des latérales maxillaire

Img 5404 pmlzfi - Eugenol
Chicot44

15/06/2013 à 23h36

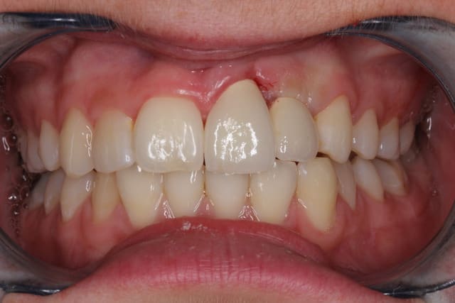
Mon fils de 14 ans présente une agénésie des 2 latérales. D' après mon ami ortho il faut ouvrir l'espace pour créer l'espace suffisant pour de futurs implants. Quels sont les critère de choix entre l'ouverture et la fermeture des espaces? J'aimerai avoir quelques lumières sur ce sujet..
Par avance merci...


Nouveau image bitmap fz77zh - Eugenol
Sethef

15/06/2013 à 23h50

Esthétique/occluso/temps de traitement.


Ca reste la solution idéale, d'autant que tu pourras facilement lui confectionner un petit bridge collé de temporisation qui servira également de contention.

Fermer les espaces, bof: occluso/esthétique pas top, nécessité de modifier les canines... Le seul avantage, c'est la facilité et le coût du traitement.


Debroc

16/06/2013 à 01h14

Exact.. En plus les données acquises de là science vont vers les implants .
bon là c est ton enfant...!,,
Mais surtout l occlusion évidemment .....la canine doit rester à sa place


1309531 ours brun n5iukf - Eugenol
seespan

16/06/2013 à 08h42


Si tu fermes les espaces :

La canine se retrouve en position de latéral et la Pm ne position de canine donc :

- tu dois faire deux coronoplastie ce qui est relativement délabarant mais il n'y a pas mort d'homme non plus
- la canine se retrouve a devoir travailler comme une latérale ce qui ne pose aucun problème pour la dite canine.
- La prémolaire se retrouve a devoir travailler comme une canine se qui ne pose non plus aucun problème. Du moins aucun problème n'a était observer dans la littérature a ce jour et a ma connaissance

Ca fait criser un peut les occluso mais vue que l'importance de la fonction canine est un mythe qui n'est étayer PAR AUCUN DONNEES SCIENTIFIQUE faut pas trop s'inquiéter pour ça.

Au niveau esthétique ça donne une arcade étroite, le sourire semble moins large que sur une arcade complète.
Cet effet est principalement attribué au volume de la racine de la canine.

Il y a eu un bouquin écrit sur le sujet

Orthodontic management of agenesis and other complexities.
an interdisciplinary approach to functionals esthetics

Quelque soit l'option choisie il est bien de faire un peut d'ortho avant pour faire passer la canine dans la position de la latéral. Ca permet de créer un volume d'os alvéolaire qui va rester en place.

Sinon l'auteur du bouquin remarque qu'au niveau esthétique il a eu de meilleur résultat avec des bridges qu'avec des implants mais c'est juste son opinion personnel.

--
หมอจัดฟัน


Nouveau image bitmap fz77zh - Eugenol
Sethef

16/06/2013 à 10h45

Le problème occluso n'est pas vraiment la canine manquante, mais plus de recréer des cycles masticatoires harmonieux avec une prémolaire en place de canine... Il faudra probablement associer une extraction de prémolaire en bas pour récupérer les contacts 6/6...
C'est bien sûr tout à fait possible, mais ne sera jamais idéal.


(j'ai tendance à me baser sur Lauret et Le Gall pour tout ce qui est occluso, qui ont le mérite d'être extrêmement pragmatiques et rationnels à mon sens. Du coup, l'importance de la canine, ça fait longtemps que je l'ai relativisée ;-))



Pour le coup du bridge, je l'ai déjà lu, en particulier dans des bouquins de paro. J'ai tendance à penser que c'est probablement vrai le jour de la pose. 20 ans plus tard... Là, il y a 60 ans d'espérance de vie à gérer en amont.


jt2000

16/06/2013 à 11h34

bonjour,

si des implants sont prévus (conservation d'espace),il existe aussi la solution de fermer les espaces en antérieur (transformer la canine en latérale et la prémo en canine) et faire un implant en place de 4 ou 5.
ca permet de rendre moins visible la limite de l'implant et l'espace et plus facile a conserver.

j'ai jamais essayer mais c'est une alternative.

aussi non tu fermes tout, vite fait (mais en 6 semestres), quelque soit la situation.


1309531 ours brun n5iukf - Eugenol
seespan

16/06/2013 à 11h50

Sethef écrivait:
----------------
> Le problème occluso n'est pas vraiment la canine manquante, mais plus de recréer
> des cycles masticatoires harmonieux avec une prémolaire en place de canine... Il
> faudra probablement associer une extraction de prémolaire en bas pour récupérer
> les contacts 6/6...
> C'est bien sûr tout à fait possible, mais ne sera jamais idéal.

Ca dépend du cas bien sure mais par stripping on peut réduire le volume dentaire dans la direction mésio distal d'environs 7 mm soit plus que la différence de largeur entre la canine et latéral.

Faudrait faire un set up model pour être sure mais a priori pas besoin d'extraction.

> (j'ai tendance à me baser sur Lauret et Le Gall pour tout ce qui est occluso,
> qui ont le mérite d'être extrêmement pragmatiques et rationnels à mon sens. Du
> coup, l'importance de la canine, ça fait longtemps que je l'ai relativisée ;-))
>
>
>
> Pour le coup du bridge, je l'ai déjà lu, en particulier dans des bouquins de
> paro. J'ai tendance à penser que c'est probablement vrai le jour de la pose. 20
> ans plus tard... Là, il y a 60 ans d'espérance de vie à gérer en amont.

Et en cas de pose d'implant il n'y aura pas de continuation de la croissance dans le sens vertical. L'implant va donc finir par se retrouver dans une situation haute. Vue que la ligne du sourire baisse avec l'age ça ne devrait pas être trop gênant. Mais la situation esthétique vas quand même se dégrader.

--
หมอจัดฟัน


Nouveau image bitmap fz77zh - Eugenol
Sethef

16/06/2013 à 11h57

Implant posé après la fin de la croissance, non? A priori, à 20 ans ça devrait être plutôt stable, si je ne m'abuse? Là c'est plus ton domaine, corrige moi si je me trompe.


1309531 ours brun n5iukf - Eugenol
seespan

16/06/2013 à 12h21

La croissance des processus alvéolaire ne s’arrête jamais dans le sens vertical. Elle continue tout au long de la vie.
Normalement l'implant ne se retrouve pas en infraclusion car l'absence de croissance a son niveau est compenser par l'éruption de l'antagoniste. Mais la ligne de coller va migrer en position apical par rapport aux autre dent avec le temps.

Vue que les deux latérales sont absentes sa ne devrait pas être gênant car la situation devrait évoluer de manière symétrique.
Et la plus part des études qui on était faite sur la perception du sourire on montrer que ce qui choquer c'était l'asymétrie .

Par exemple on peut faire varier la tailles des incisives latérales de manière importante ( de la même taille que les centrales a très fines ) et ça ne vas choquer personnes. A part les dentiste qui on décréter qu'il fallait que la dimension mesio distal d'un latéral soit d'environ 60% de celle de la central.
Par contre si les latérale n'ont pas la même formes ou dimension ça ça va être perçus comme inesthétique très rapidement.

--
หมอจัดฟัน


Nouveau image bitmap fz77zh - Eugenol
Sethef

16/06/2013 à 12h35

Je pensais qu'on avait une résorption verticale tout au cours de la vie, je ne savais pas qu'il s'agissait de croissance.
Je me repenche sur le 'explication tout à l'heure.


Img 5404 pmlzfi - Eugenol
Chicot44

16/06/2013 à 13h25

merci pour tous vos messages...
je penche depuis le début pour l'ouverture (je parle pas de politique) , en effet mon fils a déjà une légère tendance à la prognathie et j'ai peur que la fermeture des espaces augmente encore cette sensation.
Mais évidement la maman du " petit" , pousse de hauts cris dès qu'on parle de bridge provisoire et surtout d'implants...Ceux ci de toute façon ne seront à envisager qu' à la fin de sa croissance et même un peu plus tard pour pas prendre de risques. Par mon expérience personnelle je trouve que la plastie des canines n'est pas si évidente que ça car elle a tendance a augmenter le côté jaune et opaque naturel de la canine par rapport aux incisives et il faut dans certains cas enlever beaucoup d'émail pour obtenir une forme correcte ce qui m'a amené 2 fois à la demande des patients de couronner complètement la dent pour corriger notamment la teinte et la différence de diamètre vestibulo-lingual.

Je vous montre une empreinte d'un cas traité il y a un peu plus d'un an...la dent en position 21 est une canine , l'implant est en position 22 et la 24 en position 23 suite à résorption interne traumatique et perte de 21 et 22 ; on voit nettement que la difficulté vient de la largeur de la canine... j'ai récupéré la patiente une fois l'orthodontie faite, il a fallut se débrouiller,heureusement la ligne du sourire nous sauve. Evidemment dans le cas de mon fils c'est symétrique mais déjà faire tenir une canine pour une centrale c'est balèze alors pour une latérale ! (empreinte itero avec analogue d'implant repositionnable)

Img 4757 vbbggh - Eugenol
Img 4753 semqe4 - Eugenol
Besnard 037 spfjlb - Eugenol
Besnard 034 s6rfsa - Eugenol

1309531 ours brun n5iukf - Eugenol
seespan

16/06/2013 à 13h54

Pour le cas présenter je dirais que les problèmes viennent plus de l'os que des dimension de la 23.

La position du collet gingival est plus basse au niveau de 23 que 11.

Il est plus que probables qu'il y a une déhiscence osseuse en vestibulaire de 23.
L'os doit être minimum 3 mm plus bas au niveau de 23 comparait a 11 ( en plus la gencive est enflammée donc plus volumineuse ).

Ça c'est la faute de l'ortho ^^. Soit il a créer la déhiscence soit plus probablement la déhiscence était déjà présente et non diagnostiqué.
Dans tout les cas quand une fermeture d'espace est prévue il faut faire un état des lieux de la situation paro très minutieux pour éviter ce genre de surprise.

De votre coté vous ne pouvais pas vraiment faire grand chose, une greffe paro ne résoudrait rien la position de la gencive étant déterminer par l'os. Toutes les solutions possible serait très coûteuse et délabrante.

--
หมอจัดฟัน


1309531 ours brun n5iukf - Eugenol
seespan

16/06/2013 à 13h58

Regardez la photo en vue occlusal de votre empreinte, la différence de volume des racines de 23 et 11 saute au yeux.

--
หมอจัดฟัน


jt2000

16/06/2013 à 14h29

pour la 24 en place de 23, enthéorie il faut mettre du torque radiculopalatin pour éviter ce genre de souci (déséquilibre dento-parodontal) et bien sur du coup meuler la cuspide palatine.

peut etre que ni l'un ni l'autre ont été fait....


Img 5404 pmlzfi - Eugenol
Chicot44

16/06/2013 à 15h08

seespan écrivait:
-----------------
> Regardez la photo en vue occlusal de votre empreinte, la différence de volume
> des racines de 23 et 11 saute au yeux.
>
> --
> หมอจัดฟัน


c'est justement ce qui m'embête dans la plastie des canines, cette différence de diamètre lié à la forme de la racine , c'est le traitement de ce cas qui m'a vraiment montré la difficulté de l'acte.Je n'ai pas eu besoin de corriger beaucoup la cuspide palatine de la 24 et j'ai renoncé a toute tentative de greffe au niveau de la 21 (23) car vouée à l'échec. pourtant cette jeune fille est très heureuse du résultat et l'inflammation gingivale a disparue.

Pour ce qui concerne l’agénésie bilatéral des canines, c'est la durée du traitement qui m'interroge, en tant qu'implanto je sais que mes implants seront là vraisemblablement dans 20 ou 30 ans mais 50 ou 60 ans plus tard ? et puis les difficultés de l'implantation en site de latéral sur agénésie sont bien connues :proximité des apex de 3 et 1, manque de volume osseux et instabilité ,lié à la croissance,de la ligne des collets. Je suis persuadé de la validité du choix mais je ne mésestime pas la difficulté du traitement.


1309531 ours brun n5iukf - Eugenol
seespan

16/06/2013 à 15h33

Chicot44 écrivait:
------------------
> seespan écrivait:
> -----------------
> > Regardez la photo en vue occlusal de votre empreinte, la différence de volume
> > des racines de 23 et 11 saute au yeux.
> >
> > --
> > หมอจัดฟัน

> Pour ce qui concerne l’agénésie bilatéral des canines, c'est la durée du
> traitement qui m'interroge, en tant qu'implanto je sais que mes implants seront
> là vraisemblablement dans 20 ou 30 ans mais 50 ou 60 ans plus tard ?

Idem pour les bridges, si un implant est perdus on se retrouve dans une situation d'édentement unitaire, c'est quand même gérable ^^

et puis les
> difficultés de l'implantation en site de latéral sur agénésie sont bien connues
> :proximité des apex de 3 et 1, manque de volume osseux et instabilité ,lié à la
> croissance,de la ligne des collets. Je suis persuadé de la validité du choix
> mais je ne mésestime pas la difficulté du traitement.

Pour le volume osseux c'est la que la phase orthodontique est importante.
Il faut procéder de la manière suivante :
- amener la canine en position de latéral
- ouvrir les espace en ramenant la canine dans sa position naturelle

En procédant ainsi vous aller créer de l'os au niveau du site des latérales. L'os alvéolaire créer par mouvement orthodontique a une excellente stabilité, vous perdrait environs 1% du volume tout les quatre ans. Soit 20% en 80 ans

C'est aussi ce que vous voyer dans le cas présenter, vous avez un excellent volume au niveau de l'implant remplaçant la latérale.

Par contre si vous ouvrait juste les espaces vous aurez un manque d'os, l'os alvéolaire étant déficient aux niveau des latéral ( principalement dans le sens vestibulo lingual) car il n'y a pas eu de dent pour le développer.
Même si vous compenser par des greffes ou élargissement de crête l'os rajouter n'aura jamais la même stabilité que celui créer par mouvement orthodontique.


--
หมอจัดฟัน


Bebe 038 nf8eum - Eugenol
danteyeah

16/06/2013 à 17h36

sethef écrivait:
-------------

j'ai tendance à me baser sur Lauret et Le Gall pour tout ce qui est occluso, qui ont le mérite d'être extrêmement pragmatiques et rationnels à mon sens. Du coup, l'importance de la canine, ça fait longtemps que je l'ai relativisée ;-))

En fait Lauret et Le Gall donne à la canine une importance de guide lors de la sortie de cycle masticatoire contro latéral. Donc tout n'est pas supporté par les cuspides palatines des molaires, donc l'importance de la canine n'est pas si relative que ça.


seespan écrivait:
-----------------

> Par contre si vous ouvrait juste les espaces vous aurez un manque d'os, l'os
> alvéolaire étant déficient aux niveau des latéral ( principalement dans le sens
> vestibulo lingual) car il n'y a pas eu de dent pour le développer.
> Même si vous compenser par des greffes ou élargissement de crête l'os rajouter
> n'aura jamais la même stabilité que celui créer par mouvement orthodontique.
>
+1
Ci joint un cas de réhabilitation esthétique par facettes d'un cas fermé par l'ortho
(ça va ennerver, les anti mutilation ;-))

Et récemment tristanavi nous montrait un cas nickel et pas mutilant du tout sur le fil des composites

http://www.eugenol.com/sujets/395202-quels-compo-stratifie-pas-trop-cher-pour-se-faire-plaisir-et-debuter?page=3#post_692793

Si ça peut donner des idées et rassurer la maman de chicot44 junior






 mg 7155 j412hx - Eugenol
 mg 7156 smpbqq - Eugenol
 mg 8208 eoxl1s - Eugenol
 mg 8195 obpxpu - Eugenol

Nouveau image bitmap fz77zh - Eugenol
Sethef

16/06/2013 à 21h06

danteyeah écrivait:
-------------------
> sethef écrivait:
> -------------
>
> j'ai tendance à me baser sur Lauret et Le Gall pour tout ce qui est occluso, qui
> ont le mérite d'être extrêmement pragmatiques et rationnels à mon sens. Du coup,
> l'importance de la canine, ça fait longtemps que je l'ai relativisée ;-))
>
> En fait Lauret et Le Gall donne à la canine une importance de guide lors de la
> sortie de cycle masticatoire contro latéral. Donc tout n'est pas supporté par
> les cuspides palatines des molaires, donc l'importance de la canine n'est pas si
> relative que ça.
>


Relativisée, pas oubliée ;-).
D'où la complexité occluso de transformer une prémo en canine. Mais je n'ai encore jamais eu à gérer le cas moi-même, juste vu le résultat chez d'autres.


Très joli cas par ailleurs, évidemment.


Img 5404 pmlzfi - Eugenol
Chicot44

16/06/2013 à 21h20

c'est sur que les 2 options donnent des résultats très bon, mais justement, quel sont les critères de choix objectifs pour déterminer la solution la plus approprié en fonction du patient. En éliminant déjà l'aspect financier... il me coûte déjà un bras , j'suis plus à un implant prés ;-)....


Nouveau image bitmap fz77zh - Eugenol
Sethef

16/06/2013 à 21h23

Je reste persuadé que le seul avantage à fermer les espaces, c'est le temps de traitement: c'est bien plus rapide. Tous les autres facteurs plaident pour les implants.


1309531 ours brun n5iukf - Eugenol
seespan

17/06/2013 à 10h32


Une solution simple est de faire un set up model ça va vous permettre de vérifier ;

L'occlusion possible en fin de traitement et de ce que donnerais esthétiquement une coronoplastie.

Vous pouvez aussi simuler un implant avec le set up en rajoutant une dent en résine.

Sinon les deux options vous donnerons de très bon résultat.

Pour la prognathie , je suppose que vous voulez dire qu'il est presque en bout a bout ? D’où votre crainte d'avoir un inversé d'articulé en antérieur si l'on ferme les espaces ?

Dans ce cas pas d'inquiétude il faut utiliser un ancrage squelettique pour garder les antérieures ne place.

PS : c'est pour ça qu'il ne faut jamais soigner ses proches, on pense trop et on chipote sur des poins de détaille.
--
หมอจัดฟัน


Avatar transparent iqadnc - Eugenol
adhoc

17/06/2013 à 11h00

>en effet mon fils a déjà une légère tendance à la prognathie et j'ai peur que la fermeture des espaces augmente encore cette sensation. <

impec!

Les indications de choix therapeutique [fermeture espace coronoplasie] et [ouverture implants futurs] reposent sur la typo, la ddm, la ddd relative et l'age (notion d’irréversibilité)


Img 5404 pmlzfi - Eugenol
Chicot44

23/06/2013 à 12h40

Merci à Tous pour votre aide , un peu débordé cette semaine je n'ai pas pu intervenir... juste pour seepan , je ne vais évidement pas faire le traitement moi même, mais en tant que parent c'est à nous qu'appartient le choix au final et à mon fils... et tout choix est anxiogène ;-).C'est pour çà qu'il faut pas trop réfléchir ...