Cookie Consent byPrivacyPolicies.comdepose pin's membrane ou pas? - Eugenol

depose pin's membrane ou pas?

arno

19/06/2013 à 16h17

Salut la compagnie,
est-ce que vous déposez systématiquement les pin's de vos membranes résorbables, ou est-ce que vous les laissez en place?
Merci


G-P

19/06/2013 à 17h55

Dépose systématique, quel intérêt de les laisser ?
Au bout de 6 mois en général.


1980 husqvarna 390 automatic 2 kl7m5v - Eugenol
Cyanolit

19/06/2013 à 17h57

G-P écrivait:
-------------
> Dépose systématique, quel intérêt de les laisser ?
> Au bout de 6 mois en général.

C'est rigolo, j'aurai dit l'inverse, pourquoi les enlever ?


arno

19/06/2013 à 18h12

G-P écrivait:
-------------
quel intérêt de les laisser ?


Pour ne pas réintervenir...
Cette question m'est venue après avoir visionné cette vidéo de maximini:



EII / MCI, je me disais que c'était absurde de faire un 2e temps chirurgical juste pour déposer les pins...


145 kssowa - Eugenol
Chicot30

19/06/2013 à 18h30

Et bien je dirai un truc qui me paraît sensé...
Si réintervention, on enlève et sinon on laisse, tout dépend aussi de la membrane qu'on a mis (résorbable ou non).
Bref ça dépend.

--
"C'est parce que la vitesse de la lumière est supérieure à celle du son que certains paraissent brillants avant d'avoir l'air cons."


G-P

19/06/2013 à 19h20

La question était pour des membranes résorbables, et on les enlève évidemment si on réintervient, mais moi je les enlève toujours. Une incision de 2mm et un coup de tournevis ça a jamais tué personne.


arno

19/06/2013 à 19h36

vu comme ça, je ne peux qu'être d'accord!
Quand prenez vous la décision de pinser la membrane et quelles marques me conseillez-vous?


tarski

19/06/2013 à 19h53

pour les pin's : je commande chez USTOMED en Allemagne.

http://www.ustomed-shop.de/product_info.php/info/p791_.html

http://www.ustomed-shop.de/index.php/cat/c195_Titan-Pin-Set.html


pour la dépose : pour ma part, je dépose (presque) systèmatiquement lors de la phase d'implantation si chir pré implantaire. Cela me permet de contrôler visuellement le gain.

J'avoue avoir laissé 1 ou 2 pin 's à gauche ou à droite...


G-P

19/06/2013 à 21h22

J'ai le kit de mega, c'est pas mal, deux longuer de pin's et tu met des vis avec le même kit.


dentiste68

19/06/2013 à 23h33

Membrane Boneshield et clous Frios. Membrane titane non résorbable donc dépose... Et les clous en même temps. Le tout disponible chez Dentsply Implants. Matos très satisfaisant.


3f3boxni50k58rq7e9ce9ddqrxgk - Eugenol
dentiste57

20/06/2013 à 00h03

quand je fixe une membrane résorbable avec des pins, je ne les retire pas toujours. tout dépend de la zone où ils sont.
ex: mandibule en linguale je vais les rechercher, trop de risque de migration dans des zones sensibles.

ps: les meilleurs pins et de loin sont les densply. je dis ça parce que j'en ai testé une bonne dizaine de marques, si ça peux profiter aux autres.


Logocolornotext kiwlk1 - Eugenol
Clio

20/06/2013 à 16h25

Pour tout dire,
Au risque de m'exposer a la vindicte populaire;-)
Je ne mets plus de pins depuis un grand moment, je suture la membrane en même temps que le lambeau....


arno

20/06/2013 à 18h17

ok merci pour avis.

sinon que pensez-vous de cette vidéo:



à la fin , on voir la membrane franchement exposée et ça n'a pas l'air de l'inquiéter.
je suis psychorigide, ou....


Pepsi tmi4vp - Eugenol
cartman

20/06/2013 à 19h16

il s'agit d'une membrane cytoplast (eptfe + armature titan) qui n'exige pas d'etre totalement recouverte par les tissus mous


Logocolornotext kiwlk1 - Eugenol
Clio

20/06/2013 à 21h45

arno écrivait:
--------------

>
> à la fin , on voir la membrane franchement exposée et ça n'a pas l'air de
> l'inquiéter.
> je suis psychorigide, ou....

Ci joint cas avec membrane résorbable laissée exposée volontairement ( technique Bio coll proposée par Anthony G. Scar dans les années 2000 remis au gout du jour par tarnow en 2006 ).
Celà ne marche pas avec toutes les membranes...
fig 1 coupe tomo Jo
fig 2 vue clinique ( léger décalage des collets entre 11 et 21 )
fig 3 exo
fig 4 pose membrane résorbable + os xénogène
fig 5 membrane suturée
fig 6 réouverture J0 + 6mois
fig 7 vue clinique J0 + 2ans ( Prothèse Dr G.D 31 )
fig 8 vue clinique JO + 5ans (léger décalage des collets entre 11 et 21 comme à l'origine)
fig 9 radio J0 + 5 ans

Fig2 imum8i - Eugenol
Fig1 u2xya2 - Eugenol
Fig3 jc5vip - Eugenol
Fig4 vpc0lb - Eugenol
Fig5 rpnkh2 - Eugenol
Fig6 jpkk3s - Eugenol
Fig7 nlcnmp - Eugenol
Fig8 uoccfd - Eugenol
Fig9 alzozz - Eugenol

S2y2o1v7q53ws4r5wy6ou8czrpom - Eugenol
pxav

20/06/2013 à 23h18

Clio écrivait:
--------------
> Pour tout dire,
> Au risque de m'exposer a la vindicte populaire;-)
> Je ne mets plus de pins depuis un grand moment, je suture la membrane en même
> temps que le lambeau....

idem, et je ne crains pas non plus l'exposition de la membrane (ostéobiol)
--
xbk
"Si tous ceux qui croient avoir raison n'avaient pas tort, la vérité ne serait pas loin" Dac Pierre


arno

21/06/2013 à 11h25

toutes mes certitudes s'écroulent... ;)


Img 5097 lxchd7 - Eugenol
Queixal

21/06/2013 à 12h58

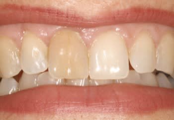
Quel genre de provisoire as tu utilisé. Maryland?


Logocolornotext kiwlk1 - Eugenol
Clio

21/06/2013 à 14h30

Queixal écrivait:
-----------------
> Quel genre de provisoire as tu utilisé. Maryland?

Son praticien lui avait réalisé en amont un bridge collé.
je lui ai posé le jour de la première chirurgie

Toussain1 bbzjtk - Eugenol
Toussain2 gq9pw3 - Eugenol

Photo pluton1b h9n4ea - Eugenol
pluton

21/06/2013 à 15h26

elle doit préférer une petite perle ( ou rubis) comme çà...;-)

Un beau sourire s3d4hh - Eugenol

Michel4 ve7g1x - Eugenol
chabit

21/06/2013 à 15h57

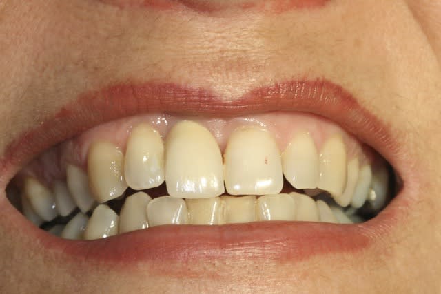
J'aime bien la légende de ta photo: "photo ratée". Là tu te demandes ce qui est le plus raté !
Pour en revenir aux pins: je les retire systématiquement, donc 2°tps chirurgical. Mais je décide ce 2°tps en les posant et je ne me dis pas: je ne mets pas de pins parcequ'il faudra un 2° tps chir.
Enfin pour la mb exposée, les qq fois où cela m'est arrivé, prescription de PAROEX 10 jours et basta. 2 mois après on a une belle muqueuse toute neuve.


Logocolornotext kiwlk1 - Eugenol
Clio

21/06/2013 à 16h01

rubis écrivait:
---------------
> Couronne moche +++ La patiente est contente ?
En tant que "voyeur", voilà en PJ ce que vous êtes susceptible de voir chez cette Dame.
fig1 avant
fig2 aprés.
Et s'il s'agit bien de la définitive dont vous parlez,je ne manquerais pas de faire remonter l'information , chère Rubis, à son praticien qui a réalisé la prothèse, de ce que pense une " MGEN qui se rebelle" de son travail,.
on sait jamais celà peut servir.

Toussain4 c9pv11 - Eugenol
Toussain3 wcftd2 - Eugenol

hachehaine

22/06/2013 à 00h44

J'aurais réduit un peu le bord libre et adoucit l'angle en mésial . Après tout dépend des exigences de ta patiente.
Pour certaines , le joint métallique n est pas un problème et pour d'autre la moindre translucidité, épaisseur qui ne va pas et c'est la refection assurée


Img 5097 lxchd7 - Eugenol
Queixal

22/06/2013 à 01h08

Merci


Photo pluton1b h9n4ea - Eugenol
pluton

22/06/2013 à 14h31

incisive(s) latérale(s) entre les deux mon coeur balance...
il faut dire que ce cas est très bien exécuté...
la 12 semble avoir une couronne un peu courte et au niveau de la gencive en haut il me semble deviner une petite cicatrice gingivale...
maintenant la 22 semble aussi avoir une hauteur un peu importante avec une gencive dont la texture semble différente...à moins que çà ne soit le flou de la photo...

là est aussi le piège des photos (et en plus sur nonol c'est pas mal compressé...)...un rendu à la lumière naturelle est un bien meilleur indicateur de la réussite esthétique car une lumière artificielle d'un flash peut modifier de manière importante le rendu des couleurs...


12