Cookie Consent byPrivacyPolicies.comFiltek silorane - Eugenol
kirikou13

22/06/2013 à 17h26

bonjour ,
apres avoir parcouru le forum a la recherche de retour sur l utilisation du filtek silorane de 3m en reconstitution posterieure , je n ai pu lire que des posts remontants a plus de 4 ou 5 ans , juste apres la mise sur le marche en 2007 si mes souvenirs sont bons .

ceci voudrait il dire que le silorane n est pas ou peu employe ?

quel sont vos avis sur ce produit avec le recul , et sinon quelles alternatives pour vos compos posts , merci

ps : j utilise personnellement le silorane , suis je le seul ?


Grumpy cat ifik8s - Eugenol
radich_a_tord

22/06/2013 à 17h51

Je pense que c'est lié à l'obligation d'utiliser l'adhésif exclusif au système.

Personnellement je n'ai jamais essayé. Mais sur le papier ça a l'air sympa.

Je privilégierais plutôt les composites bulk, qui pardonnent plus en épaisseur. Mais bon au vu des tarifs de restauration, on peut pas trop finasser. Déjà je ne veux pas trop penser au prix de mon système de matrice V3 ring...


Bebe 038 nf8eum - Eugenol
danteyeah

22/06/2013 à 18h13

Des composites j'en ai testé un paquet, le silorane c'était aux alentours de 2006 (je venais d'être sensibilisé à l'importance du facteur C, et au taux de contraction des composite lors de la polymérisation). Aucun recul scientifique à apporter ici, mais juste le témoignage d'un utilisateur lambda (une dizaine de seringues utilisées): au final le composite n'était pas compatible avec les propositions de montage en fonction du facteur C, car il était beaucoup, mais alors beaucoup trop ferme (bien plus ferme que du P60, qui était déjà béton), avec des risque de bulles entre parois et composite, je ne sais pas si un flow est sortit entre temps pour compenser cela.
Bref le montage d'un composite nécessite de diminuer au maximum le stress de polymérisation (suffit pas de coller sous digue), cela nécessite un montage par incrément (centripète), et c'est plus facile à gérer avec des composites souples, comme le GC Gaenial par exemple, dont on parle beaucoup quelques post plus bas (faut chercher). Pour des explications sur le montage réduisant l'impact du facteur C, je crois que "je ris" avait posté une planche photo très explicative, là aussi faut chercher dans les posts traitant de composite.


Dsc01433 2 qnf68y - Eugenol
Ramasoft

22/06/2013 à 18h25

Effectivement, sur le papier ça à l'air sympa mais je l'ai vite abandonné pour les raisons suivantes:
- Double adhésif => joint d'adhésif important et parfois visible à la radio !!
- Rajouts quasi impossible à postériori => si c'est en sous-occ, ça le reste
- incompatible avec les autres composites
- Meulage pénible: très dur et odeur de résine
- temps de mise en oeuvre trop long
- esthétique pas terrible et mauvaise tenue dans le temps
- plus cher

et je suis passé chez Voco ... XTrafill (un des moins chers) et GrandioSO + leur adhésif Futurabond que je trouve très bien (pub gratuite).






Grumpy cat ifik8s - Eugenol
radich_a_tord

22/06/2013 à 19h20

Merci pour les avis. Perso j'ai encore ce qu'utilise mon prédécesseur (retraite dans 1 semaine) du 3M Supreme XTE. ça va rien de spécial à redire.

Je verrai pour le Gaenial dont vous dite beaucoup de bien. Sinon ya le Tetric evoceram/bulk fill de chez Ivoclar, ils font des offres intéressantes.

Coté adhésif je vais au moins cher : Kerr Optibond Solo Plus.

J'ai vraiment du mal à trouver un avantage objectif à un produit ou un autre, à part le grand choix M&R2/SAM (et all in one universel maintenant).

Le post sur l'incrémentation des compos : http://www.eugenol.com/sujets/398749-fraises-et-astuces-pour-sculpter?page=1#post_649314

Pour le polissage j'ai trouvé le protocole de danteyeah, au top sur le sujet :-) :

"pré polissage avec cupule et pointe Enhance (Densply), polissage avec disque poil de chêvre Shiny et pâte diamenté 3 puis 1 micron(Micerium), et enfin brillantage avec pâte blanche Shiny et cupule de feutrine à usage unique Enhance."

Tout ça tu l'achètes direct fabricant ou chez ton fournisseur ?


Bebe 038 nf8eum - Eugenol
danteyeah

22/06/2013 à 22h11

radich_a_tord écrivait:
-----------------------
> Merci pour les avis. Perso j'ai encore ce qu'utilise mon prédécesseur (retraite
> dans 1 semaine) du 3M Supreme XTE. ça va rien de spécial à redire.

C'est effectivement un très bon produit en antérieur.

> Je verrai pour le Gaenial dont vous dite beaucoup de bien. Sinon ya le Tetric
> evoceram/bulk fill de chez Ivoclar, ils font des offres intéressantes.

L'initiateur de la "pub" pour le Gaenial, c'est choixp., moi je ne l'utilisait qu'en postérieur, mais maintenant il a remplacé les Mycérium ( y a plus mauvais comme concurrent ;-)), en antérieur et en l'associant au Renamel microfill et une résine de modelage, on obtient un rendu époustouflant.

>
> Coté adhésif je vais au moins cher : Kerr Optibond Solo Plus.

Il n'y a pas meilleur qualité/prix sur le marché.

>
> J'ai vraiment du mal à trouver un avantage objectif à un produit ou un autre, à
> part le grand choix M&R2/SAM (et all in one universel maintenant).

Les optibond Fl et 3M scotchbond multi. sont fabuleux, mais élitiste.

Dans la majorité des cas les SAM nécessite un etching de l'émail (et surtout pas de la dentine), pour arriver à des résultats similaire au MR2, donc au final c'est kif-kif.
Le all in one s'utilise avec ou sans etching, mais obtient de meilleur résultat avec. Donc encore une fois on revient à du MR2 style.

Conclusion économique pour le porte monnaie, les placards et le cerveau (moins à réfléchir):
Optibond solo, une grosse seringue jumbo d'etching, et l'activateur dual de l'Optibond pour les collages, et on peut tout coller efficacement avec ça.

Bon ça m'empêche pas de tester plein de truc, mais au final et depuis un moment déjà je reviens toujours à cette même conclusion. Je fais juste une exception pour le collage de tenon fibré, la c'est de l'Exite DSC small (microbush fine allongée pré montée sur réservoir individuel.....une ergonomie hors pair!)
>

> Le post sur l'incrémentation des compos :
> http://www.eugenol.com/sujets/398749-fraises-et-astuces-pour-sculpter?page=1#post_649314

Merci pour l'effort de recherche.

>
> Pour le polissage j'ai trouvé le protocole de danteyeah, au top sur le sujet :-)
> :
>
> "pré polissage avec cupule et pointe Enhance (Densply), polissage avec disque
> poil de chêvre Shiny et pâte diamenté 3 puis 1 micron(Micerium), et enfin
> brillantage avec pâte blanche Shiny et cupule de feutrine à usage unique
> Enhance."
>
> Tout ça tu l'achètes direct fabricant ou chez ton fournisseur ?

Densply Enhance pointe silicone et feutrine, chez VPCiste (DPI pour moi), le reste c'est du Micerium et c'est distribué par Bisico.


Grumpy cat ifik8s - Eugenol
radich_a_tord

22/06/2013 à 23h18

Merci pour les infos.

Le SAM je n'utiliserai jamais, je préfère rester au M&R2. J'utilise ta solution "économique" en effet ! Sauf que j'arrive pas à trouver l'activateur dual de l'optibond (tu l'as trouvé chez DPI ? C'est aussi mon fournisseur)

Du coup j'utilise comme toi l'Excite DSC quand je colle des restaurations indirectes au Variolink. Mais ça fait cher le pinceau !

Tiens un autre bon plan en parlant de tenon fibré, les Glassix de Nordin, vendus une misère comparé aux concurrents. Perso j'achète ça chez Dental-elite.





Grueavatar nptrc9 - Eugenol
Le Choixpeau magique

23/06/2013 à 00h18

radich_a_tord écrivait:
-----------------------
> Merci pour les infos.
>
> Le SAM je n'utiliserai jamais, je préfère rester au M&R2. J'utilise ta solution
> "économique" en effet ! Sauf que j'arrive pas à trouver l'activateur dual de
> l'optibond (tu l'as trouvé chez DPI ? C'est aussi mon fournisseur)

L'activateur de l'optibond solo a été retiré du marché parce qu'il ne marchait pas.

> Tiens un autre bon plan en parlant de tenon fibré, les Glassix de Nordin, vendus
> une misère comparé aux concurrents. Perso j'achète ça chez Dental-elite.

Tu peux les trouver chez les vpcistes habituels (mega...). Sinon les Itena ne sont pas chers non plus.


Grueavatar nptrc9 - Eugenol
Le Choixpeau magique

23/06/2013 à 00h24

danteyeah écrivait:
-------------------
> L'initiateur de la "pub" pour le Gaenial, c'est choixp., moi je ne l'utilisait
> qu'en postérieur, mais maintenant il a remplacé les Mycérium ( y a plus mauvais
> comme concurrent ;-)), en antérieur et en l'associant au Renamel microfill et
> une résine de modelage, on obtient un rendu époustouflant.

Je dois avouer que je ne l'utilise plus à cause du manque de radio-opacité dans sa version antérieure, c'était déjà un truc pénible avec le gradia mais ils l'ont à peine amélioré.
L'autre point négatif c'est que comme il est assez translucide (ce qui lui confère probablement son excellent mimétisme), il est quasiment impossible de l'utilise sur des dents à la luminosité élevée.


Marque a3 orange fyvhyq - Eugenol
Marc Apap

23/06/2013 à 00h36

Pour vous rafraîchir la mémoire, mon reportage sur le sujet publié en 2007 dans l'Information Dentaire.
Allez directement à la conclusion si vous voulez savoir pourquoi il n'est pas si utilisé que ça. Mes commentaires à chaud restent, je pense, tout à fait valables aujourd'hui.
http://www.information-dentaire.fr/pdf/idvol89n41p2675-2682.pdf?PHPSESSID=zmioxcyv


Bebe 038 nf8eum - Eugenol
danteyeah

23/06/2013 à 02h51

Marc Apap écrivait:
-------------------
> Pour vous rafraîchir la mémoire, mon reportage sur le sujet publié en 2007 dans
> l'Information Dentaire.
> Allez directement à la conclusion si vous voulez savoir pourquoi il n'est pas si
> utilisé que ça. Mes commentaires à chaud restent, je pense, tout à fait valables
> aujourd'hui.
> http://www.information-dentaire.fr/pdf/idvol89n41p2675-2682.pdf?PHPSESSID=zmioxcyv

Merci marc, surtout pour la conclusion. Je comprend que finalement si je n'ai pas accroché avec le Silorane à l'époque, c'est tout connement parceque je suis une gonzesse!! Et merde c'est partit pour 10 ans de psychanalyse ;-)


Bebe 038 nf8eum - Eugenol
danteyeah

23/06/2013 à 03h01

Le Choixpeau magique écrivait:
------------------------------
> radich_a_tord écrivait:
> -----------------------
> > Merci pour les infos.
> >
> > Le SAM je n'utiliserai jamais, je préfère rester au M&R2. J'utilise ta
> solution
> > "économique" en effet ! Sauf que j'arrive pas à trouver l'activateur dual de
> > l'optibond (tu l'as trouvé chez DPI ? C'est aussi mon fournisseur)
>
> L'activateur de l'optibond solo a été retiré du marché parce qu'il ne marchait
> pas.

?? sérieusement. Faut croire que la photopolymérisation à travers les inlay/onlay suffit alors car il n'y a eu aucun soucis ni décollement d'inlay/onlay, lors de l'utilisation de cet activateur, mais c'est vrai aussi que j'utilise plus ce produit depuis 2,3 ans, tellement l'ergonomie des DSC me plait.
Tu utilise toujours le Surpass de Kanka?


Bebe 038 nf8eum - Eugenol
danteyeah

23/06/2013 à 03h12

Le Choixpeau magique écrivait:

> L'autre point négatif c'est que comme il est assez translucide (ce qui lui
> confère probablement son excellent mimétisme), il est quasiment impossible de
> l'utilise sur des dents à la luminosité élevée.

Dans cette situation, j'ai fini par augmenter ma consomation de Renamel (incisal, médium et light), pour compenser ce problème, et je n'ai jamais eu avant un composite aussi efficace en modelage, polissage et luminosité. Je n'ai pas de recul avec pour l'instant, donc je ne sais pas comment il vieilli.

Pour la radio opacité, on obtient quelque chose de proche de celle de l'émail, quel intérêt d'en avoir plus?


Grueavatar nptrc9 - Eugenol
Le Choixpeau magique

24/06/2013 à 01h43

danteyeah écrivait:
-------------------
> Tu utilise toujours le Surpass de Kanka?

Non, pas souvent, surtout à cause des projections d'adhésif qui sont pénibles à retirer (obligeant souvent à y aller à la fraise, ce truc colle sacrément !).
Pour les compos directs j'utilise Scotchbond universal avec total etch.
Pour tout ce qui est indirect et dual cure j'utilise l'optibond XTR.


Grueavatar nptrc9 - Eugenol
Le Choixpeau magique

24/06/2013 à 01h48

danteyeah écrivait:
-------------------
> Dans cette situation, j'ai fini par augmenter ma consomation de Renamel
> (incisal, médium et light), pour compenser ce problème, et je n'ai jamais eu
> avant un composite aussi efficace en modelage, polissage et luminosité.

Le renamel microfill, je le trouve très très dur, ce n'est pas facile à manipuler surtout qu'il faut en mettre une couche très fine (corrige moi si je me trompe).

Je n'ai
> pas de recul avec pour l'instant, donc je ne sais pas comment il vieilli.

Renamel ou g-aenial ?

G-aenial et Gradia, le gros point faible c'est la résistance à l'usure qui est relativement mauvaise, mais un peu comme de l'or ça se patine et les marges restent présentables avec les années (faible stress de polymérisation).

J'utilise Filtek XTE qui est quasiment aussi mimétique que le G-Aenial, sans avoir son problème de luminosité, avec des propriétés mécaniques supérieures en théorie, mais par contre j'ai un problème de jaunissement de certains composites (parfois en une semaine) qui m'empêche de le recommander.

J'ai essayé Venus Pearl, mais il me semble que le mimétisme est en retrait.

Pour moi le graal du compo reste à trouver....


>
> Pour la radio opacité, on obtient quelque chose de proche de celle de l'émail,
> quel intérêt d'en avoir plus?

Tu as pris des radios de tes compos en version g-aenial anterior ?


Bebe 038 nf8eum - Eugenol
danteyeah

24/06/2013 à 03h38

Le Choixpeau magique écrivait:
> Le renamel microfill, je le trouve très très dur, ce n'est pas facile à
> manipuler surtout qu'il faut en mettre une couche très fine (corrige moi si je
> me trompe).

Un impératif avec le Renamel (tu l'as toi même écrit), c'est la résine de modelage.
Bisico distribue depuis peu la résine de modelage de Bisco. L'association Renamel/Bisco permet de travailler le composite avec facilité à la spatule (pas au pinceau silicone), le montage et le maintient des formes est alors très agréable, en réalité c'est le composite le plus simple qu'il m'ai été donné d'utiliser: pas de réchauffeur (c'est toi qui l'a dit, j'ai donc pas testé)), pas de pinceau (c'est plutôt un outil nécessaire au Enamel HFO/HRI), le produit se tient bien (ne s'écrase pas sous son poids).
Au polissage et à la tenu de la microgéographie, il dépasse même les capacités du HFO.
Résultat: on gagne du temps.
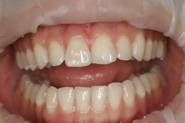
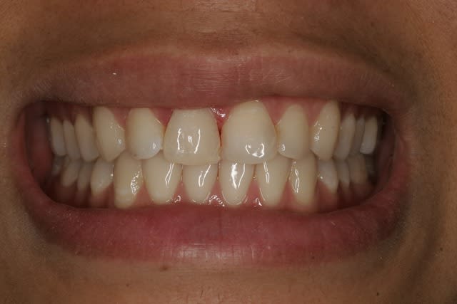
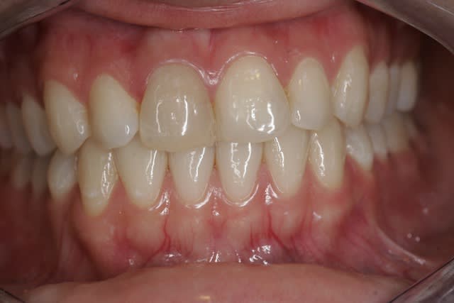
Exemple: ici un cas d'éclaircissement interne + Gaenial, pas extraordinaire, j'ai simplement rajouté un "chips" de Renamel IL (peut être un peu trop long), pour améliorer le résultat, ça m'a pris 15 minutes (pas de digue, je me flagellerai plus tard ;-)), j'ai adoré voir le visage de la patiente s'illuminer en voyant le résultat dans le miroir.

>
> Je n'ai
> > pas de recul avec pour l'instant, donc je ne sais pas comment il vieilli.
>
> Renamel ou g-aenial ?

Renamel

>
> G-aenial et Gradia, le gros point faible c'est la résistance à l'usure qui est
> relativement mauvaise, mais un peu comme de l'or ça se patine et les marges
> restent présentables avec les années (faible stress de polymérisation).

Je te dévoile un scoop :-), c'est le cas de la plupart des composites "esthétique"


>
> J'utilise Filtek XTE qui est quasiment aussi mimétique que le G-Aenial, sans
> avoir son problème de luminosité, avec des propriétés mécaniques supérieures en
> théorie, mais par contre j'ai un problème de jaunissement de certains composites
> (parfois en une semaine) qui m'empêche de le recommander.

Ça, je l'avais déjà écrit sur le XT (il se colore, se tache), et c'est pourquoi je l'avais abandonné. Apparemment le XTE ne s'est pas amélioré.

>
> J'ai essayé Venus Pearl, mais il me semble que le mimétisme est en retrait.
>
> Pour moi le graal du compo reste à trouver....

Je vais augmenter mes teintes en Renamel, je crois, car pour l'instant je suis bluffé, mais il faut tout de même voir l'évolution et la tenu dans le temps.


>
>
> >
> > Pour la radio opacité, on obtient quelque chose de proche de celle de l'émail,
> > quel intérêt d'en avoir plus?
>
> Tu as pris des radios de tes compos en version g-aenial anterior ?

Non uniquement en postérieur, et ça ne m'a pas gêné. Une infiltration en antérieur se détecte facilement sans radio, le problème pour le patient sera au cas de nomadisme, mais bon si le composite est esthétiquement satisfaisant, peu de praticiens risquerons de le déposer parce qu'il est radio clair.

 mg 7134 cia82e - Eugenol
 mg 7693 lnpyod - Eugenol
 mg 8326 zsodfc - Eugenol

Smile beach jgh0a1 - Eugenol
Céramik

24/06/2013 à 04h46

Le Renamel viellit super bien dans le temps, ce truc existe depuis 20 ans, et est tjrs bien côté .
J'ai bcp utilisé il y a 7-8 ans.

Le xtr, super, mais odeur horible !

Excite Dsc, j'ame bcp, simple et efficace, dunmoins, j'ai eu aucun soucis avec +++ cas faits

Excite F uniose reste un de mes favoris pour le total etch.




--
Céramik


Grueavatar nptrc9 - Eugenol
Le Choixpeau magique

24/06/2013 à 10h36

En fait comme tous les composites microchargés le polissage est très bon et le composite garde très bien le polissage dans le temps, mais par contre les propriétés mécaniques sont mauvaises, donc ce n'est pas une bonne idée de l'utiliser pour tout, ça doit juste rester un composite de surface en antérieur.