Cookie Consent byPrivacyPolicies.comOrthopédie dento faciale fonctionnelle, Lyon 13/15 septembre - Eugenol

Orthopédie dento faciale fonctionnelle, Lyon 13/15 septembre

Ylfwcw979cz1jnx9gfqeaxndiuzk - Eugenol
Algi

24/06/2013 à 14h33

Montpellier s'est bien passé pour un galop d'essai.

Comme j'avais annoncé la rencontre un peu ricrac certains auraient aimé venir mais ont pas pu....

On remet ça sur Chaponost, proche de Lyon le samedi 14 septembre.

Au programme: je parlerai d'ortho fonctionnelle à ma sauce, mix de planas, de dentosophie, de padovan et d'autres choses.
"Respiration, deglutition et mastication, la manducation et la posture, l'impact de l'émotionnel dans tout ça, leur rôle et comment les "remettre en route".

Suivra une conférence sur les activateurs silicone du labo EPK, une communication de François Buendia sur les orthoclonics et peut être une autre conf sur la cohérence cardiaque et les activateurs.



Pour l'instant on met en place et rien n'est définitivement décidé mais faites vous connaitre qu'on note ceux qui sont interressés.

Si possible arrivée le vendredi soir pour faire connaissance, cours et discussions tout le samedi, voire le dimanche matin si c'est nécessaire.

--
"On a toujours le choix! Mais entre quoi et quoi?
Vas-y boulégue et l'avenir te le dira!"


1 p3qrc4 - Eugenol
Bjc.

26/06/2013 à 21h05

C'est quoi
une Orthopédie dento faciale non fonctionnelle ?

@+ Bjc.


Ylfwcw979cz1jnx9gfqeaxndiuzk - Eugenol
Algi

27/06/2013 à 18h20

Non fonctionnelles techniques sont: tweed, multibague qui déplace les dents sans tenir compte du couloir musculaire, orthodontie qui ne tient pas compte de la respiration ou de la langue et qui doit utiliser des artifices de contention pour palier la récidive, les extractions de prémolaires...... bref ce que j'appelle "l'alignodontie", c'est fait pour gagner du pognon sans fatiguer le patient avec une quelconque prise de conscience sur sa façon de fonctionner.

Ca, pour moi, c'est "l'axe du mal"...

Ensuite on a la purement fonctionnelle: planas, soulet et besombes, l'axe du bien mais chemin ardu et ô combien difficile car nécessite implication du patient et de ses proches. Merveilleux quand ça marche mais très aléatoire quand aux resultats et au temps nécessaire pour obtenir quelque chose..

Au milieu: pas vraiment du mécanique, pas vraiment purement fonctionnel, mais néanmoins respectueux (je pense) du patient: damon et orthoclonics. Sans doute plus efficaces en terme de predictibilité du résultat.

Donc je ne te considère pas comme un sale alignodontiste mais comme un mec qui fait un truc bien car pas trop violent pour le patient mais neanmoins efficace.

Ca te va comme réponse?


--
"On a toujours le choix! Mais entre quoi et quoi?
Vas-y boulégue et l'avenir te le dira!"


Ylfwcw979cz1jnx9gfqeaxndiuzk - Eugenol
Algi

27/06/2013 à 18h32

Tant que j'y suis:

A Chaponost, prés de LYON, le samedi 14 septembre de 9h à 17h30 on vous parlera de ce qu'est, selon nous une ODF fonctionnelle.
Le truc étant en train de se mettre en place on fera payer la journée prix coutant, donc environ 100€.

On dispose de 25 places, ça commence à partir et y'en aura pas pour tout le monde.

Que ceux qui sont intéressés me contactent par mp.

--
"On a toujours le choix! Mais entre quoi et quoi?
Vas-y boulégue et l'avenir te le dira!"


Ylfwcw979cz1jnx9gfqeaxndiuzk - Eugenol
Algi

27/06/2013 à 21h36

Suite à un judicieux pm d'un nonolien: la rencontre est ouverte aux chirdents curieux et pas qu'aux ortho, elle peut (et devrait) interresser les pédiatres, les orthophonistes, les osteos, les kines et les posturo et est d'ailleurs née de la rencontre de gens comme ça au sein d'une assos dont je ne peux dire que du bien: l'AEREF, initiée par un osteo qui a travaillé en son temps avec michel montaud et rodrigue mathieu.

si mp: merci de me donner vos coordonnées, tel, nom et mail.

Bise à l'oeil à tous.

--
"On a toujours le choix! Mais entre quoi et quoi?
Vas-y boulégue et l'avenir te le dira!"


1 p3qrc4 - Eugenol
Bjc.

28/06/2013 à 18h16

Je ne cherche pas à polémiquer, je pose simplement la question :

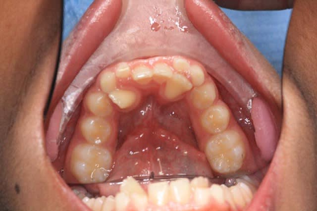
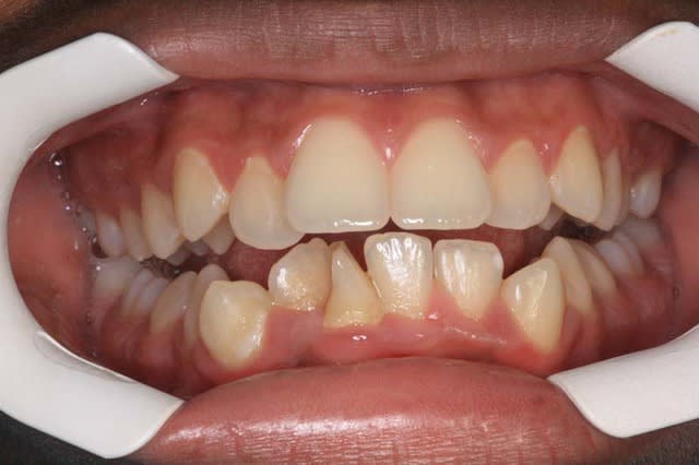
Tu penses arriver à traiter des cas comme ceux là, avec des gouttières ?

Amicalement

@+ Bjc.

P.S.: la faiblesse des gouttières est la correction des rotations

Img 3218 l9hvjz - Eugenol
Img 3610 pmoxur - Eugenol

01 ukhwbq - Eugenol
ʎqqoq

28/06/2013 à 18h53

Ça n'est pas parce qu'une technique ne permet pas de traiter certains cas qu'elle ne permet d'en traiter aucun...

Je ne comprends pas l'intérêt de ta question...

Amicalement.



ps: la faiblesse de certains ODF est leur étroitesse d'esprit (et la peur de la concurrence).


1 p3qrc4 - Eugenol
Bjc.

29/06/2013 à 15h23

Cher Algi,

Tu dis que les autres techniques « déplacent les dents sans tenir compte du couloir musculaire, »
Ah ! Ce fameux couloir de CHATEAU !!!, qui détermine la forme d’arcade PERSONNELLE du patient,
Personne ne peut la déterminer à l’avance.
Par contre, avec des gouttières que l’on choisit, on impose une future forme d’arcade.
C’est aussi directif que du TWEED.

Et on se trompe souvent.


Gouttières = grands principes et petits résultats
Je les ai étudiées, un peu pratiquées, et vite remplacées.
J’ai eu autant d’échecs que les confrères, mais contrairement à eux, je ne les ai pas imputées à un manque de coopération.

C’est un peu trop facile.

Cordialement et
@+ Bjc.


Lydia777

29/06/2013 à 22h05

Bonjour,

Travaillant en Reprogrammation Posturale et très intéressé par ce que je lis puis-je participer aux journées de septembre ?
Merci pour votre réponse,
Cordialement,
Lydia


Ylfwcw979cz1jnx9gfqeaxndiuzk - Eugenol
Algi

01/07/2013 à 14h27

Lydia: vois tes mp.

BJC: tu vois le diable là où il n'est pas....

Je n'ai jamais prétendu que pour des rotations les gouttières soient la panacée.

1/ j'utilise des soulet et besombes qui ne formatent pas les arcades selon une quelconque préforme mais en réhabilitant les fonctions de respiration nasale et en replaçant la langue.
A ça on essaie de rajouter une information sur la necssité de se servir de sa denture correctement (aliments plus coriaces, mastication bilaterale alternée). On peut y adjoindre des collages oucdes meulages façon Planas, bref on ne se contente pas d'appliquer une recette avec des gouttières miracle à tout faire même si dans bien des cas à elles seules elles donnent de bons resultats.
On remet en route, on constate bien des fois des améliorations spectaculaires mais aussi des echecs, nul n'est parfait.

Pour info je bosse quelquefois avec des gouttières silicones de dureté 12shore et malgré cette mollesse j'obtiens des résultats. Preuve, s'il en est, que ce n'est pas de l'orthodontie.

2/ j'ai pu constater que dans certains cas des rotations se solutionnent spontanément alors que mécaniquement c'est effectivement pas explicable... je m'interroge mais en bon pragmatique je prends avec bonheur ce que le "hasard" me donne.

3/ j'ai parlé des orthoclonics qui associent un arc sectionnel et un ressort à des gouttieres thermoformées et des élastiques.

L'arc agit comme un quadhelix, les gouttieres peuvent être travaillées comme des invisalign afin de corriger des malpositions transversales ou des rotations légères, les elastiques sont des elastiques.
C'est avec ça que je compte m'attaquer aux rotations, aux dents en dehors de leur rail, aux versions, egressions et mesialisations et je te concède que ce n'est pas de la fonctionnelle.

On organise un truc en septembre mais y'en aura d'autres, peut être me feras tu le plaisir de te pointer en métropole un de ces 4 ou alors on organise une séminaire au pays des mygales et des crapauds buffle si on trouve suffisamment de praticiens intéressés. Je te propose même un créneau pour venir parler de damon car je pense que là aussi y'a des choses fort inintéressantes.

Pour finir: je déteste les pistes de planas bien que les utilisant mais certains y trouvent leur bonheur exclusif, je suis pas trop bagues mais certains s'en sortent bien avec, tu aimes pas les gouttieres et tu as trouvé autre chose pour mener tes cas à bien, j'en suis content pour toi mais ce n'est pas une raison pour dire que ça ne marche pour personne.

ps: y'a presque 10 ans j'ai demandé aux ocluso du forum de se rencontrer afin de cesser de se taper sur la gueule, ça a accouché du crroc (et de ses détracteurs), serait peut être temps de confronter nos techniques en orthopedie.....

--
"On a toujours le choix! Mais entre quoi et quoi?
Vas-y boulégue et l'avenir te le dira!"


Ylfwcw979cz1jnx9gfqeaxndiuzk - Eugenol
Algi

01/07/2013 à 17h34

Pas aussi complexe que le cas que tu as montré mais pas si mal et uniquement avec conformateur n°5, le basique de chez soulet et besombes, le tout en 24 mois, de 2005 à 2007, stable depuis sans aucune contention.

Son petit frére, cas dentaire quasi identique n'avance pas alors que suivi depuis presque 1 an et qu'à priori il porte activateur et fait ce qu'il doit faire, mêmes dents mais caractère totalement différent, ceci expliquant peut être cela....

Donc non ça ne regle pas tout mais....
mais, celui dont tu montres les photos, comment il fonctionne????
Il respire par le nez, deglutit en pim langue au palais, dort bien, ni ne ronfle ni ne serre????? Ca m'étonnerait.

Personnellement je ne vois pas comment on peut faire de l'ortho stable sans d'abord ou au moins en paralléle remettre en route une fonction correcte.....

Ah si.... en faisant de la contention!

--
"On a toujours le choix! Mais entre quoi et quoi?
Vas-y boulégue et l'avenir te le dira!"

Img 3654 vckekd - Eugenol
Img 3657 x5qmpb - Eugenol

1 p3qrc4 - Eugenol
Bjc.

02/07/2013 à 15h28

"""Personnellement je ne vois pas comment on peut faire de l'ortho stable sans d'abord ou au moins en paralléle remettre en route une fonction correcte....."""


Les fonctions correctes, comme tu les appelles, sont la conséquence d’un traitement sans extraction.

Ce sont des conséquences et non pas des causes.

c'est là ou nous divergeons le plus.

@+ Bjc.


doagui

02/07/2013 à 16h22

Bjc. écrivait:
--------------
>
> Les fonctions correctes, comme tu les appelles, sont la conséquence d’un
> traitement sans extraction.
>
> Ce sont des conséquences et non pas des causes.

PARFOIS la forme induit la fonction, mais le plus souvent c'est bien l'inverse qui se produit ! La langue bien positionnée va induire un développement harmonieux du palais, c'est certain. Peut-on être sûr qu'en élargissant un palais on va automatiquement induire un repositionnement de la langue ? Parfois oui, avec un peu de chance, mais pas systématiquement.

De la même façon, crois-tu qu'en refermant une béance on corrige de suite une mauvaise déglutition ? Peu probable, tandis que l'inverse est à peu près certain.

La fonction crée la forme, l'inverse est bien plus incertain.


1 p3qrc4 - Eugenol
Bjc.

02/07/2013 à 20h42

"""La fonction crée la forme,"""

Peut être, encore faut-il que ce soit la bonne forme ...

Ce qui est sur, c'est que la bonne forme permet la fonction.


@+ Bjc.


doagui

02/07/2013 à 20h44

Bjc. écrivait:
--------------
> """La fonction crée la forme,"""
>
> Peut être, encore faut-il que ce soit la bonne forme ...

Quel "peut-être" ? Les 2 exemples cités ne sont pas suffisants ?


> Ce qui est sur, c'est que la bonne forme permet la fonction.
>
>
> @+ Bjc.

Exact : PERMET la fonction ! Ne l'induit que rarement, mais la permet, ce qui est donc insuffisant dans la plupart des cas.


1 p3qrc4 - Eugenol
Bjc.

02/07/2013 à 21h01

Cher Algi,

si le cas que tu as montré:Img 3654, est stable, je me fais moine tibétain !!!

@+ Bjc.


1 p3qrc4 - Eugenol
Bjc.

02/07/2013 à 21h11

Cher Algi,

Voici un cas que l'on peut espérer stable

@+ Bjc.

Img 3374 ndr5wl - Eugenol

1 p3qrc4 - Eugenol
Bjc.

02/07/2013 à 21h30

"""Exact : PERMET la fonction ! Ne l'induit que rarement, mais la permet, ce qui est donc insuffisant dans la plupart des cas."""

Pas de violence, que de la douceur, c'est pourquoi on induit pas, on n'est pas directif, pas contraignant.

on PERMET. c'est tout le secret :-)

@+ Bjc.


1 p3qrc4 - Eugenol
Bjc.

03/07/2013 à 02h55

La langue

Je vais redonner, une fois de plus, un avis sur la langue.

Exemple :
Admettons que la forme d’arcade dépende des directions des forces exercées par la langue.
Des formes d’arcades asymétriques résulteraient d’une pression asymétrique de la langue, conséquence de forces asymétriques, résultant d’influx nerveux, eux aussi asymétriques.

Et vous pensez symétriser l’influx nerveux asymétrique par des exercices de rééducation !


Autre exemple :
L’interposition linguale antérieure, qui serait due à la langue.
Il faudrait admettre, cette fois, que la cause est, non pas asymétrique, mais symétrique avec une hyper-fonction localisée, dont l’effet serait uniquement antéro-propulseur.


Ces Pbs. de langue, liés à l’influx nerveux, existent chez les mongoliens, par exemple, et je vous mets au défi de les traiter par réeducation

@+ Bjc.


isaïe

03/07/2013 à 07h56

"Et vous pensez symétriser l’influx nerveux asymétrique par des exercices de rééducation !"
Pas moi. Quoique... j'ai quelques petits patients pour lesquels la seule logopédie a corrigé assez spectaculairement des béances. Par contre l'ostéo sur des articulés croisés... zéro (mais c'est un autre débat.)


"... pression asymétrique de la langue, conséquence de forces asymétriques, résultant d’influx nerveux, eux aussi asymétriques."
Bémol : l' asymétrie du fonctionnement peut être due à une asymétrie de la viscoélasticité et pas de l'influx nerveux" Voir publications sur fibromyalgie.


"mongolien..."
re-bémol : macroglossie, palais ogival, pas lié à l'influx nerveux.


Ylfwcw979cz1jnx9gfqeaxndiuzk - Eugenol
Algi

03/07/2013 à 11h17

Au tibet j'ai pas de point de chute mais au népal oui.... le minot sur les photos est stable depuis 6 ans...

Bisous.

--
"On a toujours le choix! Mais entre quoi et quoi?
Vas-y boulégue et l'avenir te le dira!"


1 p3qrc4 - Eugenol
Bjc.

03/07/2013 à 13h46

Salut,

"""le minot sur les photos est stable depuis 6 ans..."""


Depuis 6 ans, et il est encore en denture mixte !!!

Tu as commencé le traitement in-utéro ?

plus fort que la sardine
:-)

@+ Bjc.


Ylfwcw979cz1jnx9gfqeaxndiuzk - Eugenol
Algi

04/07/2013 à 10h45

Eh banane les empreintes datent mais je l'ai revu depuis! Et il n'est plus en denture mixte.

--
"On a toujours le choix! Mais entre quoi et quoi?
Vas-y boulégue et l'avenir te le dira!"


full

04/07/2013 à 13h13

"je l'ai revu depuis......."

montre nous les moulages ou les photos !!!!

chui impatient de voir ça.


Ylfwcw979cz1jnx9gfqeaxndiuzk - Eugenol
Algi

04/07/2013 à 16h54

Je dois voir son petit frere en septembre, je verrai si je peux lui aussi le voir, faudra attendre.

--
"On a toujours le choix! Mais entre quoi et quoi?
Vas-y boulégue et l'avenir te le dira!"


12