Cookie Consent byPrivacyPolicies.comLesion muqueuse - Eugenol

Lesion muqueuse

R8 p797bs - Eugenol
vive l'endo à perte

25/06/2013 à 21h32

Bonjour ,

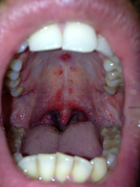
un ami présenté les lésion suivante au palais.
ne sachant pas répondre a ses attente je vous demande un avis.
lésion légèrement sensible , avec petit démangeaison
et léger mauvais gout.

il prend actuellement un anti inflammatoire : tilcotil

désolé pour la qualité de photos ca a été fait a la va vite a l'iphone

Img 2794 aob55h - Eugenol
Img 2795 q7itew - Eugenol

G-P

25/06/2013 à 22h37

fumeur ?


R8 p797bs - Eugenol
vive l'endo à perte

25/06/2013 à 22h46

ancien , il a arrete y a 2 ans , mais c etait un gros fumeur


R8 p797bs - Eugenol
vive l'endo à perte

25/06/2013 à 22h46

ancien , il a arrete y a 2 ans , mais c etait un gros fumeur


dentatronche

25/06/2013 à 23h56

NFS plaquette sero VIH et biopsie


Index vakr2r - Eugenol
pgc

26/06/2013 à 18h20

Peut-être pas se jeter tout de suite sur les hypothèses très péjoratives.
Ecarter les pathologies bénignes et fréquentes (herpès) avant de recruter les pathologies graves et rares (cancer et HIV).
Questionner pour trouver les pathologies archi-bénignes (éraflure avec une croûte de pain, brûlure avec un aliment très chaud).
Prendre l'avis d'un stomato, ou de deux.
Examiner le patient, mener l'interrogatoire clinique, gamberger.

Les cancers buccaux chez les fumeurs arrivent assez tard (quel âge a ton patient?)et sont très régulièrement liés à une association alcool/tabac. Pour le peu qu'on voit de ton patient il n'a pas l'air si vieux. Est-ce qu'il est alcoolique?
Et attention plus on est proche du patient moins bien on le soigne (un proche aura du mal à révéler une addiction ou un comportement hors norme, pour un proche on va penser "leucémie KC pathologies rares et graves" avant de penser aux petits trucs qui guérissent spontanément). La proximité dans ce cas peut introduire un biais dans le diagnostic et le plan de traitement.


choupette29

08/02/2014 à 22h05

vive l'endo à perte écrivait:
-----------------------------
> Bonjour ,
>
> un ami présenté les lésion suivante au palais.
> ne sachant pas répondre a ses attente je vous demande un avis.
> lésion légèrement sensible , avec petit démangeaison
> et léger mauvais gout.
>
> il prend actuellement un anti inflammatoire : tilcotil
>
> désolé pour la qualité de photos ca a été fait a la va vite a l'iphone
>

Finalement c'était quoi le diagnostic?
--
Choupette


sa a guéri spontanément en 1 semaine , et ca n'est jamais revenu.

je dirai donc idiopathique ;)

--
Dentiste, tout seul dans son cabinet, qui ne peut juger qu’à partir de son vécu quotidien


sa a guéri spontanément en 1 semaine , et ca n'est jamais revenu.

je dirai donc idiopathique ;)

--
Dentiste, tout seul dans son cabinet, qui ne peut juger qu’à partir de son vécu quotidien