Cookie Consent byPrivacyPolicies.comPlus personne n'extrait les dents de sagesses ? - Eugenol

Plus personne n'extrait les dents de sagesses ?

1980 husqvarna 390 automatic 2 kl7m5v - Eugenol
Cyanolit

09/07/2013 à 20h12

Si tu as les références de cet article pourrai tu me les passer? Ça serai super gentil. Merci !


Mario ycg44a - Eugenol
Mario180

09/07/2013 à 22h42

dentiste57 écrivait:
--------------------
> Titof2000 écrivait:
> pour ta spécialisation en chir buccale. Je ne l'ai pas faite par manque de temps
> > mais pour deux raisons. La première je l'ai dit plus haut, ce n'est pas
> > rentable, et la deuxième c'est que je pense que quelque soit la qualité de la
> > formation, on ne sera jamais au niveau d'un stomato capable de gérer n'importe
> > quelle cas. C'est pour moi insupportable de faire quelque chose sans avoir la
> > possibilité d'être au top.
>
> je comprends pas !
> tu dis que tu pose des implants mais que tu ne fais pas les extractions simples
> ou compliquées parce que tu n'est pas au top pour extraire des dents?
> je suis désolé, mais si tu ne l'est pas pour extraire des dents et gérer des
> extractions difficiles, je ne vois pas comment tu peux poser des implants en
> toute quiétude.
> en tout cas , moi je ne serai pas très rassuré...

+1

Franchement entre des 8 incluses et faire une ROG, y a pas photo niveau complexité...


aterman

09/07/2013 à 23h49

Cyanolit écrivait:
------------------
> Si tu as les références de cet article pourrai tu me les passer? Ça serai super
> gentil. Merci !

http://www.ox.ac.uk/media/news_stories/2013/130521.html


Ico v for vendetta08 jzhpep - Eugenol
o⅁ pnɐuɹ∀

10/07/2013 à 04h51

Je fais les dds beaucoup plus lentement que mes autres éminents confrères mais j'avoue que c'est de la connerie : c'est continuer à encourager ce système qui nous prend pour des andouilles acceptant des honoraires indécents.


1309531 ours brun n5iukf - Eugenol
seespan

10/07/2013 à 05h05

aterman écrivait:
-----------------
> Quand j ai un souci avec racines des 8 du bas, je demande une consultation
> electronique du fichier patient et des 2 retro alveolaires plus eventuelle pano
> a un specialiste en radiologie dentaire.

Il n'y a pas de spécialiste qualifié en radiologie dentaire en France. A la limite ou pourrait consulter par internet mais il y a un petit problème si le spécialiste en question n'a pas l'autorisation pour travailler sur le territoire Français ( chose qu'il n'aura évidement pas) la consultation aura un avis consultatif mais aucune valeur médico légale.


Pour en revenir au problème des DDS du moment que tu peux soupçonner un rapport anatomique en imagerie classique tu es justifier a demander une 3D, tu n'es pas obliger car c'est toi le dentiste.
Si il n'y a pas de problème, pas de problème.
Si il y a un problème, manque a l'obligation de moyen.

Sortir une étude sur les danger des scanner ne changera rien, juste pour le fun.
Pour l'étude c'était quel type de scanner, sur quel zone et pour diagnostiquer quoi ?
Si tu fais des CBCT régulièrement de la poitrine pour évaluer l'évolution d'une malformation ou d'une lésion cancereuse tu n'es pas dans vraiment dans le même cas de figure qu'un CBCT unique pour éviter une lésion nerveuse.

La dessus je peux vous éclairer car ça nous touche directement depuis quelque temps.
Il y a des ortho qui font le CBCT de manière systématique sur tout leur patient pour le diagnostique voir même pour le contrôle en fin de traitement.

1 Il n'y a l'heure actuelle aucune publication indiquant qu'il y ai un risque pour le patient avec 1 ou 2 CBCT.

2 Il n'y a l'heure actuelle aucune publication prouvant qu'il n'y ai PAS de risque pour le patient avec 1 ou 2 CBCT

3 Il n'y a l'heure actuelle aucun avantage prouvé a utiliser le CBCT dans le cadre d'un traitement ortho hors cas particulier ( asymétrie important ou dent incluse )

Donc on a des dentistes et ortho qui font des CBCT champ large de maniéré systématique avec pour la vaste majorité de leur patient ZERO avantage thérapeutique prouvé. Patient relativement jeune j'ajouterais. Personne a l'heure actuelle n'a était en mesure de les mettre en faute. En fait les seules cas ou ils se font allumer par les tribunaux au US c'est quand ILS NE FONT PAS DE CBCT sur un cas ou il est prouvé SCIENTIFIQUEMENT qu'il y a un avantage pour le patient.

Donc dans le cadre d'une extraction de DDS avec rapport anatomique supposé il n'y a aucune justification possible pour ne pas faire de CBCT. Les données acquises de la science c'est quand cas de rapport soucponner on voit mieux en 3D qu'en faisant une extrapolation a partir de cliché 2D

The results of this study show that CBCT is not better than panoramic radiography in predicting IAN exposure in patients who are at high risk of IAN injury. CBCT images provide a reliable insight in the bucco-lingual relationship between the third molar root and the mandibular canal, which cannot be achieved with panoramic radiography. This information is important when planning and carrying out the surgical removal, to avoid subjecting the mandibular canal to pressure from movements of the roots or the careless use of burrs and elevators. Knowing the bucco-lingual position of the mandibular canal in relation to the third molar root is valuable because it identifies cases that are at higher risk of IAN injury: patients with a lingually positioned mandibular canal and grooving of the third molar root. In these cases the information could help to decide whether to extract the tooth or to provide a coronectomy20 to prevent IAN injury. The patient can also be more adequately informed about his or her risk profile.


--
หมอจัดฟัน


1309531 ours brun n5iukf - Eugenol
seespan

10/07/2013 à 06h36

aterman écrivait:
-----------------
> Cyanolit écrivait:
> ------------------
> > Si tu as les références de cet article pourrai tu me les passer? Ça serai
> super
> > gentil. Merci !
>
> http://www.ox.ac.uk/media/news_stories/2013/130521.html

Et qui c'est qui avait raison ?

Cet article parle de CT scan et pas de CBCT. Les CT scan sont nettement plus irradiant qu'un CBCT.
Ils ont aussi mélangé tout les types de patient et tu ne peux pas comparer tout les CT scan entre eux

- Plus la patient est jeune plus les risques sont élève, et la tu as des patients qui sont très très jeunes avec pathologie associé.
- Ça dépende de la zone examiné tu as des tissues qui sont plus élevé que d'autre.
- si tu regarde le nombre de CT scan et le nombre de patient tu verras que des patients on reçu de multiples CT scan.

En cas de problème tu peux essayer de sortir cette étude pour justifier que tu n'as pas fait de CBCT mais juste deux problème.

- N'importe quel radiologue ou expert médico légal va t'allumer grave avec cet article.
- Vue que tu dois faire un CBCT dans une zone restreinte, la radiation est franchement pas éloignée de ce que tu fais avec une pano, tu rajoute deux ou trois rétro alvéolaire et tu te retrouve au même niveau qu'un CBCT champ restreint.

http://www.dental-tribune.com/uploads/downloads/c146d18edb6ab78b10165ca9e3f15ea0.pdf

http://www.dentaleconomics.com/articles/print/volume-101/issue-1/features/cone-beam-computed-tomography-how-safe-is-cbct-for-your-paitents.html


--
หมอจัดฟัน


aterman

10/07/2013 à 08h35

Donc la prochaine fois que j ai un jeune patient pour exo de 8 en rapport avec Nai, une bio molaire du haut et en fin de traitement ortho, je demande 3 cbct?

Pour avoir une meilleure definition et une plus belle image des racines qui vont quand meme leser le nai lors de l extraction, mais l image est plus jolie.

Dans 10% des cas j ai un 4 eme canal sur une 6 du haut, je voudrais pas passer a cote...

En fin de traitement ortho, c est a la mode donc allons y...

Finalement en dose d irradiation cummulee, si mon jeune patient a fait un scanner tres detaille de l abdomen et des poumons plus tous les cbct qui assurent mes arrieres en cas de probleme et qu il vient porter plainte a 25 ans car il a un cancer?

A qui la faute? Sa 26 est super bien traitee, son traitement ortho est parfait, bon il a toujours un peu de sensibilite apres l exo de sa 8. Le petit hic, peut etre un cancer a force d examens radios...

Que ferais tu si c etait toi le patient?


1309531 ours brun n5iukf - Eugenol
seespan

10/07/2013 à 09h08

1 un CT scan et un CBCT ne sont pas les même examens radiologique. Donc utiliser une étude se portant sur des CT scan pour en déduire que le CBCT sont nocif ne rime a rien.

2 Interpréter se genre d'étude pour en déduire des recommandation médical relève d'une concertation pluridisciplinaire et pas de l’interprétation d'un praticien libéral isolé.
Si cyanolite pense que citer se genre d'étude va le protéger en cas de pépin c'est faux.

3 Le consensus actuelle est que bien que la nocivité des CBCT champ large ( ceux que l'on fait en ortho ) est loin d’être évidente par principe de précaution se type d'examen devrait être réservé au cas ou un bénéfice médical pour le patient est avéré.

Si un ortho décide de faire ce type d'examen de manière systématique c'est ça responsabilité propre qui est engagé comme l'est celle de tout praticien quand il décide de faire ou de ne pas faire un CBCT pour des DDS


4 concernant les dents DDS en cas de proximité avec le nerf, il y a justification point barre. Si vous décider de faire sans c'est votre choix mais en cas de problème il y a manque de moyen.
Il y a besoin de pour trois Dent ? vous faite un champ large. Le patient a déjà subit de nombreux examen radiologique vous en discuter avec une personne compétente, I.E un radiologue.
Dans ce cas de figure si vous avez un problème pendant l’opération vous êtes capable de justifier votre choix thérapeutique en faisant valoir le rapport bénéfice risque.

Mais dire j'ai pas fais car je ne voulais pas que ça coûte cher en remboursement ou le radiologue il est loin c'est pas pratique pour le patient ne marche pas.

--
หมอจัดฟัน


Avatar2 u3u8yh - Eugenol
riccyman

10/07/2013 à 13h10

48 sortie mais j'ai touché la 47, les élévateurs passaient pas entre 48 et 47, j'ai voulu me faire une encoche... j'assumerai...

Touch  hrvsyk - Eugenol

paradoxe

10/07/2013 à 14h04

riccyman écrivait:
------------------
> j'assumerai...
Respect pour tant de dévotion.


Pepsi tmi4vp - Eugenol
cartman

10/07/2013 à 15h27

riccyman écrivait:
------------------
> 48 sortie mais j'ai touché la 47, les élévateurs passaient pas entre 48 et 47,
> j'ai voulu me faire une encoche... j'assumerai...

Tu assumeras le bel hématome que tu m'as laissé? Je passe pour un junkie auprès de mes patients maintenant.. Bien rentré j'espère? :)


Avatar2 u3u8yh - Eugenol
riccyman

10/07/2013 à 16h34

t'es bon toi, j'en ai un aussi ^^ t'avais pas oublié quelque chose ^^ le garrot par exemple ^^

le mien faisait 2 bons cm et toi ? ?

j'ai fait ma première injection IV hier ^^ moins stressant qu'à la formation avec tout le monde autour ^


Avatar2 u3u8yh - Eugenol
riccyman

10/07/2013 à 17h26

célestène 8 mg


Pepsi tmi4vp - Eugenol
cartman

10/07/2013 à 18h08

Shit désolé pour l'hématome. bon j'ai fait mon premeir prelevement ce matin et j'ai enlevé le garrot cette fois.


Titof2000

10/07/2013 à 21h30

dentiste57 écrivait:
--------------------
> Titof2000 écrivait:
> pour ta spécialisation en chir buccale. Je ne l'ai pas faite par manque de temps
> > mais pour deux raisons. La première je l'ai dit plus haut, ce n'est pas
> > rentable, et la deuxième c'est que je pense que quelque soit la qualité de la
> > formation, on ne sera jamais au niveau d'un stomato capable de gérer n'importe
> > quelle cas. C'est pour moi insupportable de faire quelque chose sans avoir la
> > possibilité d'être au top.
>
> je comprends pas !
> tu dis que tu pose des implants mais que tu ne fais pas les extractions simples
> ou compliquées parce que tu n'est pas au top pour extraire des dents?
> je suis désolé, mais si tu ne l'est pas pour extraire des dents et gérer des
> extractions difficiles, je ne vois pas comment tu peux poser des implants en
> toute quiétude.
> en tout cas , moi je ne serai pas très rassuré...

J'ai dit que je ne faisais pas ou peu les extractions parce que c'est un acte pas rentable et que l'on peut déléguer facilement pas parce que je ne savais pas... Nuance! Maintenant j'avoue que je suis loin d'être aussi bon qu'un stomato qui fait ça à longueur de journée. Stomato qui est mieux formé aux situations d'urgences... Moi si une dent de sagesse part dans le sinus ou dans la gorge, je panique. Si je fracture une mandibule, je panique. Peut être pas vous?

Par contre les implants, c'est planifié, c'est facile... La preuve, même moi j'y arrive!

Titof, spécialiste en choses simple.


Titof2000

10/07/2013 à 21h34

Mario180 écrivait:
------------------
> dentiste57 écrivait:
> --------------------
> > Titof2000 écrivait:
> > pour ta spécialisation en chir buccale. Je ne l'ai pas faite par manque de
> temps
> > > mais pour deux raisons. La première je l'ai dit plus haut, ce n'est pas
> > > rentable, et la deuxième c'est que je pense que quelque soit la qualité de
> la
> > > formation, on ne sera jamais au niveau d'un stomato capable de gérer
> n'importe
> > > quelle cas. C'est pour moi insupportable de faire quelque chose sans avoir
> la
> > > possibilité d'être au top.
> >
> > je comprends pas !
> > tu dis que tu pose des implants mais que tu ne fais pas les extractions
> simples
> > ou compliquées parce que tu n'est pas au top pour extraire des dents?
> > je suis désolé, mais si tu ne l'est pas pour extraire des dents et gérer des
> > extractions difficiles, je ne vois pas comment tu peux poser des implants en
> > toute quiétude.
> > en tout cas , moi je ne serai pas très rassuré...
>
> +1
>
> Franchement entre des 8 incluses et faire une ROG, y a pas photo niveau
> complexité...
>

C'est comme les maths. C'est toujours compliqué pour ceux qui ne comprennent pas...


billabong

11/07/2013 à 14h23

Merci, et tu trouves que m'envoyer tes exos ne me couillonne pas à moi?
La sécu ne subit aucune pression si vous adressez vos exos au stomatologue. Aucune. Les dépassements qu'ils pratiquent ne touche pas la sécu. c'est une excuse pour te dire que tu es militant hehehe.
C'est également à cause de ça que peu de dentistes osent s'installer en exclusif car ils savent qu'ils risquent de devenir la poubelle de leur confrère dentiste-implantologue-prothésiste.


Lily

11/07/2013 à 16h33

J'ai suivi ce fil et je suis d'avis qu'il ne faut pas déléguer à tout bout de champ.

Pas plus tard qu'hier, j'ai passé plus d'une heure à transpirer (la clim est en panne, évidemment) pour enlever une 5 vraiment mal fichue.

J'ai plusieurs fois été tentée d'abandonner et d'envoyer ma patiente à mon sto préféré qui est très fort et adorable, mais j'ai tenu le coup, très fière de moi. La patiente, qui est cmu et flippée, était ravie de ne pas avoir à souffrir deux fois, payer un dépassement, etc.

Cela dit, quand aujourd'hui pour la SECONDE FOIS elle m'appelle pour gueuler parce que je lui ai prescrit de la pénicilline alors qu'elle est allergique, et que je lui réponds pour la seconde fois que si elle me l'avait signalé quand je lui ai demandé si elle avait des allergies, je l'aurai su... Ben c'est vrai que ça donne pas envie de se faire ch... pour 30 euros.

Je suis en début de carrière et j'adore la chir, mais il n'est pas exclu que je m'épargne de plus en plus les années à venir.


Titof2000

11/07/2013 à 20h38

billabong écrivait:
-------------------
> Merci, et tu trouves que m'envoyer tes exos ne me couillonne pas à moi?
> La sécu ne subit aucune pression si vous adressez vos exos au stomatologue.
> Aucune. Les dépassements qu'ils pratiquent ne touche pas la sécu. c'est une
> excuse pour te dire que tu es militant hehehe.
> C'est également à cause de ça que peu de dentistes osent s'installer en exclusif
> car ils savent qu'ils risquent de devenir la poubelle de leur confrère
> dentiste-implantologue-prothésiste.

Je suis désolé pour toi si tu n'es pas stomatologue et que par conséquent tu ne peux pas faire de dépassement... Chez moi je ne connais pas de chirdent en exclusif chirurgie et donc j'adresse à des stomatos qui eux, se rémunèrent plus justement. Peut être que la sécu n'en souffre pas directement, mais si tout les dentistes refusaient toutes les extractions, on aurait vite fait d'avoir des listes d'attentes intolérable chez les stomatos. Ça ferait du bruit dans les chaumières... Un bon moyen de protester et de faire pression sans que cela n’affecte beaucoup notre activité.


Avatar2 u3u8yh - Eugenol
riccyman

11/07/2013 à 21h01

Lily écrivait:
--------------
> J'ai suivi ce fil et je suis d'avis qu'il ne faut pas déléguer à tout bout de
> champ.
>
> Pas plus tard qu'hier, j'ai passé plus d'une heure à transpirer (la clim est en
> panne, évidemment) pour enlever une 5 vraiment mal fichue.
>
> J'ai plusieurs fois été tentée d'abandonner et d'envoyer ma patiente à mon sto
> préféré qui est très fort et adorable, mais j'ai tenu le coup, très fière de
> moi. La patiente, qui est cmu et flippée, était ravie de ne pas avoir à souffrir
> deux fois, payer un dépassement, etc.
>
> Cela dit, quand aujourd'hui pour la SECONDE FOIS elle m'appelle pour gueuler
> parce que je lui ai prescrit de la pénicilline alors qu'elle est allergique, et
> que je lui réponds pour la seconde fois que si elle me l'avait signalé quand je
> lui ai demandé si elle avait des allergies, je l'aurai su... Ben c'est vrai que
> ça donne pas envie de se faire ch... pour 30 euros.
>
> Je suis en début de carrière et j'adore la chir, mais il n'est pas exclu que je
> m'épargne de plus en plus les années à venir.

Y a eu un Décès d'ailleurs suite à un bug informatique dans un hôpital, et une prescription par système automatisé de péniciline à une allergique, y a quelques jours. C'est beau le progrès quand même.

titre du journal "MORT sur Ordonnance"

Aucune explication sur les circonstance du drame alors qu'il y a Deux pages dans le journal.

Z ont pas pu lui injecter d'adrénaline ou ça n'a pas suffit je ne comprends pas.

Si quelqu'un sait....


Mario ycg44a - Eugenol
Mario180

11/07/2013 à 21h59

Titof2000 écrivait:
-------------------
> Mario180 écrivait:
> ------------------
>
> > Franchement entre des 8 incluses et faire une ROG, y a pas photo niveau
> > complexité...
> >
>
> C'est comme les maths. C'est toujours compliqué pour ceux qui ne comprennent
> pas...

Tu m'otes les mots de la bouche.

Les complications dont tu parles, on n'en a jamais eu ni moi ni mon associé depuis des années avec plusieurs dizaines par an.
Mais si on savait pas faire, on ferait pas, comme toi.


Titof2000

11/07/2013 à 22h22

Mario180 écrivait:
------------------
> Titof2000 écrivait:
> -------------------
> > Mario180 écrivait:
> > ------------------
> >
> > > Franchement entre des 8 incluses et faire une ROG, y a pas photo niveau
> > > complexité...
> > >
> >
> > C'est comme les maths. C'est toujours compliqué pour ceux qui ne comprennent
> > pas...
>
> Tu m'otes les mots de la bouche.
>
> Les complications dont tu parles, on n'en a jamais eu ni moi ni mon associé
> depuis des années avec plusieurs dizaines par an.
> Mais si on savait pas faire, on ferait pas, comme toi.
>

J'ai pas compris? Tu joues sur le fait que les complications sont rares ou bien tu saurais gérer tout les complications? Tu saurais aller chercher une dent de sagesse dans le cou ou dans le sinus? Tu saurais aller chercher une aiguille cassé au fond de la gorge?


uɹöɾq

11/07/2013 à 22h38

Les stomato, dont le diplôme n'existe plus, ne savent pas le faire non plus, je te rassure.
--
Faut savoir faire autre chose que de regarder toute sa vie dans la bouche des gens. (Ameli, 7/12/11)


aterman

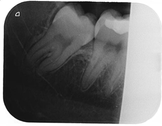
30/07/2013 à 11h14

Je fais quoi? Pericoronite sur pericoronite.
Examen radio complementaire avant extraction?

48 op ex uguvk5 - Eugenol
Op ex2 iyntzw - Eugenol

paradoxe

30/07/2013 à 14h12

aterman écrivait:
-----------------
> Je fais quoi? Pericoronite sur pericoronite.
> Examen radio complementaire avant extraction?
Tu envois à mario180 pour lui faire plaisir;-)
Sinon un examen scan ou cone pour pouvoir préciser la position de la dent par rapport au nerf inf en 3D, bien sur.


1...456