Cookie Consent byPrivacyPolicies.comRadio-opacité - Eugenol

Radio-opacité

Erasmus2 n92rjx - Eugenol
Lancel

03/07/2013 à 18h19

Bonjour,

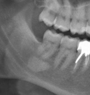
Un OPT de routine chez mon conjoint et voilà l'image retrouvée au niveau des apex de 47/48.
J'ai fait une rétro alvéolaire pour écarter la possibilité d'un artéfact.
J'ai joint les deux images.
Le tout est asymptomatique. Pas de voussure.

Diagnostic?

Optg x6sc3a - Eugenol
Iog oyly1c - Eugenol

G-P

03/07/2013 à 22h03

Cémentome


Canin

03/07/2013 à 22h16

énostose

--
Canin


lai

04/07/2013 à 12h07

Lancel écrivait:
----------------
> Bonjour,
>
> Un OPT de routine chez mon conjoint et voilà l'image retrouvée au niveau des
> apex de 47/48.
> J'ai fait une rétro alvéolaire pour écarter la possibilité d'un artéfact.
> J'ai joint les deux images.
> Le tout est asymptomatique. Pas de voussure.
>
> Diagnostic?

Il s'agit de :
- cémentome ou cémentoblastome ou dysplasie cémentaire péri-apicale.
Il s’agit d’une tumeur bénigne.

Cliniquement , 2 cas possibles :
1- sans douleur = découverte fortuite radiologique ;
2- avec douleur.

CAT
- Si cémentome sans signe douloureux : l’abstention s’impose mais suivi régulier.
- Si cémentome avec signe douloureux : la chirurgie s’impose afin d’effectuer l’exérèse.


01 ukhwbq - Eugenol
ʎqqoq

04/07/2013 à 13h47

Un cémentome n'est-il pas toujours en continuité avec la dent?


G-P

04/07/2013 à 21h47

On voit la continuité sur la rétro, mais pas sur la pano effectivement...
Faire un scan ?


Canin

04/07/2013 à 22h14

ʎqqoq écrivait:
---------------
> Un cémentome n'est-il pas toujours en continuité avec la dent?

Très juste, c'est justement le critère diagnostic, donc pas de cémentome (terme qui est censé tomber en désuétude au passage) par ici et c'est pourtant assez net sur la pano.

--
Canin


Canin

04/07/2013 à 22h19

.

--
Canin


Erasmus2 n92rjx - Eugenol
Lancel

05/07/2013 à 02h10

En résumé, c'est bénin, je n'ai pas a m'inquiéter et je contrôle avec un nouvel OPT tous les deux ans, sauf apparition de symptomatique, c'est bien ça ?


01 ukhwbq - Eugenol
ʎqqoq

05/07/2013 à 12h10

Vu les différences de projection à la radio, on peut penser que ça n'est pas dans le plan vertical que la dent. Je pense à la glande sous-mandibulaire...


Gonzo k0qhwz - Eugenol
matten

05/07/2013 à 12h18

Si c'etait du cement il ne devrait pas y avoir de ligament alveolaire visible non?


Canin

05/07/2013 à 12h34

Lancel écrivait:
----------------
> En résumé, c'est bénin, je n'ai pas a m'inquiéter et je contrôle avec un nouvel
> OPT tous les deux ans, sauf apparition de symptomatique, c'est bien ça ?

Tu peux aussi adresser pour un avis plus spécialisé et en particulier s'il s'agit de la famille et plus spécifiquement du conjoint. Les trucs chiants et bizarres ça tombent toujours chez une personne qu'on connait et là, d'après l'expérience crois moi, il faut s'en débarrasser au plus vite.

--
Canin