Cookie Consent byPrivacyPolicies.comFacettes pressées en Lithium Dissilicate avec stratification - Eugenol

Facettes pressées en Lithium Dissilicate avec stratification céramique

leonardo

06/07/2013 à 23h37

Bonsoir,
Vos critiques sont sollicitées.
Positivement votre!

Sans titre - Eugenol
Sans titre - Eugenol
Sans titre - Eugenol
Sans titre - Eugenol
Sans titre - Eugenol
Sans titre - Eugenol
Sans titre - Eugenol
Sans titre - Eugenol
Sans titre - Eugenol
Sans titre - Eugenol
Sans titre - Eugenol
Sans titre - Eugenol
Sans titre - Eugenol

Img 3657 cwjvqm - Eugenol
alapex

06/07/2013 à 23h45

Tu peux passer prendre ton compte , t'es viré !


Img 3657 cwjvqm - Eugenol
alapex

06/07/2013 à 23h45

Nickel , bravo .


G-P

07/07/2013 à 12h53

Salut,
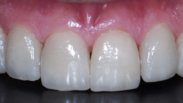
La photo 11 c'est avec la try-in paste ou collé ?


leonardo

07/07/2013 à 14h25

La 11 est une couronne collée.


hachehaine

07/07/2013 à 14h28

Techniquement ,ca a l'air d etre irréprochable .
Mais je ne comprends pas l'indication de facette .
Couronner la 11 : Ok mais tu ne pouvais pas gerer avec un éclaircissement le reste ? D'autant plus que le sourire initial a l'air d etre harmonieux (en dehors de la 15)


Img 5404 pmlzfi - Eugenol
Chicot44

07/07/2013 à 14h29

manque juste un coup de polissage en palatin pour oter les tâches de tabac....;) un peu trop "blanc" pour moi mais le patient doit être aux anges....


leonardo

07/07/2013 à 15h13

Merci Hachehaine pour ton feedback. Ta question est pertinente. Je me la suis posée aussi.

Mais c'est soit on est dans le recréation d'un sourire et la il faut au moins les six dents antérieures.
Soit on est dans l'imitation fidèle de l'anatomie usée des dents résiduelles. ce qui est un autre type d'exercice que j'aime bien par ailleurs.

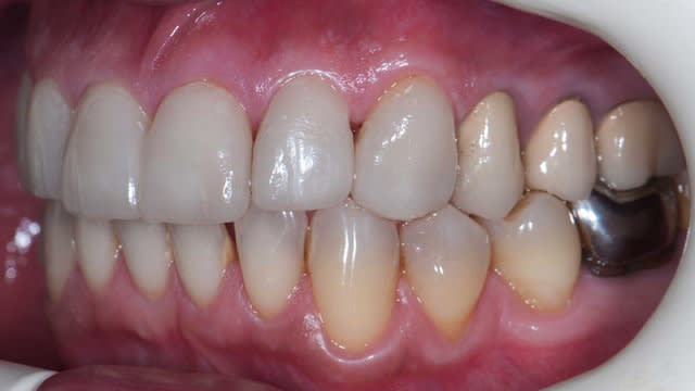
La 15 oui, trop palatine, on est d'accord. Facette
La 11 bien sur, gros composite qui a fini par lâcher. Facette
La 21 trop courte dans le sourire avec un composite sur les faces distale et vestibulaires. Facette ou refaire un composite.
Le blanchiment a été fait en premier lieu. On est passé de A3,5 a A1.

S'agissant d'un professionnel des médias télévisuels, l'effet patchwork (metamerisme) devait être évité.

En cas de restauration partielle, la re coloration differentielle entre la céramique des dents restaurées, les composites anciens et l'email des dents intactes est en soi un problème et obligera la patient a faire des blanchiments répétés, pas forcement chez le dentiste d'ailleurs...

Les facettes de 3 dixièmes de mm d'épaisseur sont une option très conservatrice. A mon sens les facettes (sur mesure, faites chez le prothésiste bien entendu et non pas préfabriquées), ne sont pas "dangereuses" pour les tissus dentaires comme peuvent l'être des blanchiments a répétition, au fauteuil ou au coin de la rue. La correction esthétique est plus puissante, plus juste et plus durable, voire quasi permanente quand le travail est bien fait.

Le rendu esthétique en cas de réhabilitation étendue au moins aux six dents antérieures est supérieur puisqu'il permet de travailler le placement du sourire par rapport a la face et aux lèvres en dynamique...On redessine ou en retrouve un sourire...et c'est la une grande motivation pour le patient et pour le praticien.

En te remerciant de ton intérêt.

PS : Pour un cas moins exposé mediatequement, j'aurais, peut être, procédé différemment. Je vais poster un cas de centrale unitaire que j'ai refaite toute seule : Imitation fidèle de la dent voisine


leonardo

07/07/2013 à 15h36

Tu as raison chicot. Son généraliste devait s'en charger. Si je commence a faire les detartrages des patients adressés a mon avis je n'en verrais plus beaucoup.


RépondreCiter
G-P

07/07/2013 à 17h27

leonardo écrivait:
------------------
> La 11 est une couronne collée.

Je parle de la photo N° 11 pas de la dent N° 11...


leonardo

07/07/2013 à 18h09

J'avais mal compris GP.
Effectivement, la 11 c'est du try in transparent sous un emax Value 1 opalescent pas encore stratifié. la 21 résultat A1 2 jours après le blanchiment et la taille.


Bebe 038 nf8eum - Eugenol
danteyeah

07/07/2013 à 18h13

Plutôt d'accord avec le plan de traitement, surtout après l'explication. Il me reste toutefois 2 questions:

- Comment explique tu qu'avec un éclaircissement ayant permis de passage de A3,5 à A1 ont trouve sur tes photos (N°10): 33,34,35 de 2 à 3 teinte plus saturées que les facettes?

- Pourquoi toujours signer subtilement tes images de "posts" par le nom de la clinique où tu travail? Il serait bon que l'échange reste anonyme pour ne pas le taxer de publicitaire, non?


G-P

07/07/2013 à 18h28

Je pense que c'est pour éviter qu'on lui pique les images.


leonardo

07/07/2013 à 19h08

Désolé. J'ai pas fait attention au mot Casablanca. Ceci dit c'est un nom de ville...il permet de poser le contexte technique, professionnel voire éthique, qui peut être diffèrent selon les pays. De la a deviner qu'il s'agit d'une clinique...

Une approche promotionnelle ou publicitaire serait autrement plus explicite. L'intention ici n'est pas de faire de la pub. Ce serait se tromper de cible.

Rares sont les sites ou un feed back critique et de qualité peut être obtenu et Eugenol en fait partie. L'autocritique d'abord puis la critique par les confrères est une source inépuisable de progression. Mais tu as rasion, il faut essayer d'être aussi anonyme que possible dans le propre intérêt de la démarche.

D'un autre cote, je pense qu'il faut trouver un moyen pour toujours marquer (subtilement) soit les images avant soit les images après ou peut être les deux si ça ne nuit pas au message. Ca complique un peu la tache aux voleurs d'images ;) j'y penses. En attendant j'ai essayée de changer les deux images litigieuses sans succès.

Pourquoi pas un marquage automatique pour toutes les images uploadees avec le logo d'eugenol?

Pour la couleur obtenue après l'éclaircissement. Je t'avoue que je n'en sais rien. Le résultat est toujours accepté en l'état de toute façon. Hors de question pour moi de recommander une séance d'éclaircissement avant deux ans au moins. Il est normal par ailleurs que la couleur de la dent naturelle soit un peu moins lumineuse un peu plus saturée et un peu plus teintée de rouge dans une direction corono-apicale.

Du moment que la couleur des facettes est assez proche de celle de la surface des dents inférieures visible au sourire, c'est pour moi cliniquement acceptable.

Merci d'avoir regardé et merci pour tes remarques.